CASE LÂM SÀNG: ĐIỀU TRỊ UNG THƯ ĐẠI TRÀNG TÁI PHÁT DI CĂN PHỔI

Ngày đăng: 18/08/2024 Lượt xem 1095
CASE LÂM SÀNG: ĐIỀU TRỊ UNG THƯ ĐẠI TRÀNG TÁI PHÁT DI CĂN PHỔI

GS. TS Mai Trọng Khoa, PSG. TS Phạm Cẩm Phương,
Ths.BS Lê Văn Long, BSNT Lê Hữu Dương

Đặt vấn đề
Ung thư đại trực tràng là một bệnh lý ác tính thường gặp và cũng là một trong các nguyên nhân gây tử vong hàng đầu trong các loại ung thư. Theo GLOBOCAN 2022, tại Việt Nam, ung thư đại trực tràng có tỷ lệ mắc mới 9,3% (đứng hàng thứ 4) và tỷ lệ tử vong 7,0% (đứng hàng thứ 5) trong tổng số bệnh nhân ung thư. 
Điều trị ung thư đại trực tràng giai đoạn sớm phẫu thuật đóng vai trò chính, với giai đoạn tái phát di căn thì các phương pháp điều trị toàn thân đóng vai trò chủ đạo như hóa trị, điều trị đích, miễn dịch. 
Dưới đây, chúng tôi xin phép trình bày một ca lâm sàng về bệnh nhân ung thư đại tràng tiến triển di căn phổi đang điều trị tại bệnh viện Bạch Mai.

1. Hành chính:
• Họ tên BN: P.N.T, nam 70 tuổi
• Địa chỉ: Hải Phòng
• Nghề nghiệp: Hưu trí
• Lý do vào viện: Tái khám định kỳ
Bệnh sử:
Năm 2019 bệnh nhân biểu hiện đau bụng âm ỉ vùng quanh rốn, đau liên tục, không lan, không nôn, đại tiện phân ít nhầy máu, gầy sút 4kg/3 tháng, khám tại Bệnh viện Bạch Mai được nội soi đại trực tràng phát hiện tổn thương khối sùi loét đại tràng trái đã được sinh thiết có kết quả là ung thư biểu mô tuyến. Bệnh nhân được phẫu thuật cắt đoạn đại tràng vét hạch (pT3N2Mo) và điều trị hóa chất bổ trợ. Sau điều trị bệnh nhân được theo dõi định kỳ, đến tháng 3 năm 2024 chụp cắt lớp vi tính phổi phát hiện có nốt đặc 13x11mm phân thùy S3 phổi phải. Bệnh nhân được nhập viện đánh giá.
Tiền sử: chưa phát hiện gì đặc biệt.

2. Khám lâm sàng:
- Bệnh nhân tỉnh, PS 1
- Thể trạng trung bình: Cân nặng: 55kg.        Chiều cao: 162cm.        
- Huyết động ổn định
- Hạch ngoại vi không sờ thấy
- Bụng mềm, không có phản ứng thành bụng
- Tim đều, T1, T2 rõ, không tiếng thổi bất thường
- Phổi rì rào phế nang rõ, không rales

3. Các xét nghiệm cận lâm sàng:
- Xét nghiệm: công thức máu, chức năng gan thận, điện giải đồ trong giới hạn bình thường, HIV âm tính, HBsAg âm tính, HCV âm tính, chỉ điểm u CEA: 1,69 ng/mL
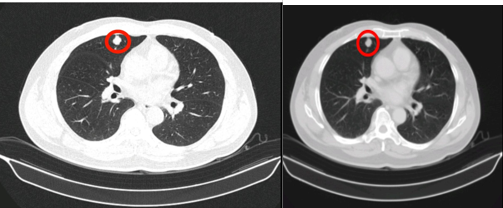
- Chụp CT lồng ngực:
  
Hình 1: Hình ảnh chụp CT ngực: có nốt đặc 13x11mm tại nhu mô ngoại vi phân thùy S3 phổi phải, bờ không đều, ngấm thuốc mạnh sau tiêm.
- Nội soi phế quản chưa phát hiện bất thường
- Bệnh nhân được tiến hành sinh thiết xuyên thành ngực, kết quả mô bệnh học là: Ung thư biểu mô xâm nhập. 
- Sau đó được tiến hành nhuộm hoá mô miễn dịch, kết quả cho thấy là: CK7 (-), CK20 (+), TTF1 (-), NapsinA (-), CEA (+) phù hợp với di căn nguồn gốc đại tràng.
+ Không có mất biểu hiện của gen MMR (pMMR)
+ Xét nghiệm gen BRAF, KRAS, NRAS chưa phát hiện đột biến
- Chụp CT  ổ bụng: các quai ruột không giãn hay dày thành, không thấy thâm nhiễm hay hạch to mạc treo ổ bụng
- Nội soi đại trực tràng:
 
Hình 2: Hình ảnh nội soi đại trực tràng: Đại tràng xuống và đại tràng sigma có 2 polyp kích thước  khoảng 0,3cm và 0,5cm
- Chụp CT sọ não: chưa phát hiện tổn thương thứ phát

4. Chẩn đoán xác định:
Ung thư đại tràng trái loại biểu mô tuyến xâm nhập, di căn phổi phải, pT3N2M1 (giai đoạn IV), pMMR, BRAF (-), KRAS (-), NRAS (-)

5. Hướng xử trí: 
Bệnh nhân được hội chẩn hội đồng chuyên môn, được chỉ định điều trị bằng phác đồ: FOLFIRI + Cetuximab:
-Cetuximab 500mg/m2 da pha truyền ngày 1
-Irinotecan 180mg/m2 da pha truyền tĩnh mạch trước 5-FU ngày 1
-Leucovorin 400mg/m2 da pha truyền tĩnh mạch trước 5-FU ngày 1,2
-5-FU 400mg/m2 da truyền tĩnh mạch bolus ngày 1,2
-5-FU 1200mg/m2 da truyền tĩnh mạch ngày 1,2 trong 22h

Tóm lại:
Đây là trường hợp bệnh nhân ung thư đại tràng đã phẫu thuật cắt đoạn đại tràng và hoá trị bổ trợ. Sau điều trị bổ trợ bệnh ổn định 3 năm rồi tiến triển di căn phổi.
Hướng điều trị: tiếp tục điều trị phác đồ FOLFIRI – Cetuximab, bệnh nhân sẽ được theo dõi đánh giá trong quá trình điều trị.

Tin liên quan