Ca lâm sàng: Điều trị liệu pháp toàn thân ung thư đường mật di căn gan tại Trung tâm Y học hạt nhân và Ung bướu, Bệnh viện Bạch Mai

Ngày đăng: 24/05/2024 Lượt xem 1014
CA LÂM SÀNG: 
ĐIỀU TRỊ LIỆU PHÁP TOÀN THÂN UNG THƯ ĐƯỜNG MẬT DI CĂN GAN TẠI TRUNG TÂM Y HỌC HẠT NHÂN VÀ UNG BƯỚU, BỆNH VIỆN BẠCH MAI
GS.TS Mai Trọng Khoa, PGS.TS Phạm Cẩm Phương, TS. Phạm Văn Thái, TS. Nguyễn Thanh Hùng, BSNT. Mai Thị Quỳnh
                                                               Trung tâm Y học hạt nhân và Ung bướu - Bệnh viện Bạch Mai
                                                                                                                        Trường Đại học Y Hà Nội
                                                                               Trường Đại học Y Dược- Đại học Quốc Gia Hà Nội

Ung thư đường mật (UTĐM) là những tổn thương ác tính xuất phát từ tế bào biểu mô của đường mật, bao gồm: ung thư bóng Vater, ung thư túi mật, UTĐM trong gan và UTĐM ngoài gan. UTĐM có thể di căn ra ngoài ống mật đến các vị trí trong gan khác, phúc mạc và các cơ quan ngoài gan ở xa. 
Mặc dù đã có rất nhiều những tiến bộ trong y học nói chung và điều trị ung thư nói riêng, bao gồm từ chẩn đoán hình ảnh, phẫu thuật, xạ trị hay điều trị hỗ trợ (dẫn lưu, đặt stent đường mật...) nhưng tiên lượng của ung thư đường mật vẫn còn rất hạn chế. Tại thời điểm phát hiện bệnh, khoảng 90% các trường hợp không thể áp dụng được các biện pháp điều trị triệt để (như phẫu thuật cắt bỏ khối u) do khối u đã xâm lấn và di căn. Trong trường hợp này, liệu pháp toàn thân là phương pháp điều trị được lựa chọn. Một trong những phác đồ được khuyến nghị sử dụng trong trường hợp ung thư đường mật di căn là Gemcitabine kết hợp với Cisplatin đã đem lại hiệu quả đáng kể. 
Sau đây, chúng tôi xin trình bày một trường hợp lâm sàng bệnh nhân UTĐM ngoài gan di căn gan được điều trị hiệu quả tại Trung tâm y học hạt nhân và ung bướu- Bệnh viện Bạch Mai:
Họ và tên: N. Q. A                          Giới: Nam                           Tuổi: 56
Lý do vào viện: đau bụng hạ sườn phải
Bệnh sử: Cách vào viện bốn tháng, bệnh nhân xuất hiện đau bụng hạ sườn phải, âm ỉ, liên tục, tăng dần, không lan, kèm vàng mắt vàng da, không nôn, không buồn nôn, tiểu sẫm màu, phân bạc màu, gầy sút 3kg/ tháng. 
Bệnh nhân khám tại bệnh viện Bạch Mai được chẩn đoán: Tắc mật do u phần thấp ống mật chủ, được phẫu thuật nội soi cắt khối tá tụy, nối mật ruột tại khoa Phẫu thuật tiêu hóa gan mật tụy. 
Kết quả giải phẫu bệnh sau mổ là: Ung thư biểu mô tuyến kém biệt hóa ống mật chủ xâm lấn tụy, tá tràng. 
Sau mổ 4 tháng, bệnh nhân đến tái khám, phát hiện các tổn thương theo dõi thứ phát ở gan.
Tiền sử: Tăng huyết áp điều trị thường xuyên bằng Amlordipin 5mg/ ngày.
Tình trạng lúc vào viện: 
Bệnh nhân tỉnh, tiếp xúc tốt
Không sốt
Không đau bụng
Thể trạng trung bình: chiều cao: 170cm, cân nặng: 55 kg 
Da niêm mạc hồng
Hạch ngoại vi không sờ thấy
Mạch: 80l/p, Huyết áp: 120/80mmHg
Tim đều, T1T2 nghe rõ
Phổi rì rào phế nang rõ, không ran
Bụng mềm, không chướng, ấn không đau
Xét nghiệm cận lâm sàng: 
- Công thức máu: Hồng cầu: 4,16 T/L, Bạch cầu: 8,82 G/L, Bạch cầu đa nhân trung tính: 7,64 G/L, Tiểu cầu: 357 G/L (trong giới hạn bình thường)
- Hóa sinh máu: 
Ure:8,5mmol/l, Creatinin 76 micromol/l, GOT: 21 U/L, GPT: 28 U/L, Bilirubin toàn phần: 9,1 micromol/l, Bilirubin trực tiếp: 2,4 micromol/l, Albumin: 40,8 g/l. (trong giới hạn bình thường)
- Đông máu: PT(s):11,5, PT (%): 128, INR: 0,87 (trong giới hạn bình thường)
- Chất chỉ điểm khối u (Tumor marker):  CA19-9: 640 U/ml (tăng rất cao)
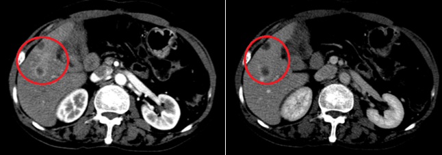
- Chụp cắt lớp vi tính ổ bụng: Hình ảnh hạ phân thùy V có 2 nốt ngấm thuốc kém, đường kính 14-15mm- theo dõi thứ phát. Thâm nhiễm dọc rễ mạc treo ruột non. Tĩnh mạch cửa không giãn, không có huyết khối.


  Hình 1:  Hình ảnh chụp cắt lớp vi tính ổ bụng: Hạ phân thùy V có 2 nốt ngấm thuốc viền thì động mạch (vòng tròn màu đỏ)
Chẩn đoán xác định: 
Ung thư biểu mô tuyến kém biệt hóa ống mật chủ ngoài gan, di căn gan, xâm lấn tụy, tá tràng đã phẫu thuật/Tăng huyết áp.

Điều trị: Điều trị toàn thân với phác đồ:
Gemcitabine 1000mg/m2, truyền tĩnh mạch ngày 1,8
Cisplatin 30mg/m2, truyền tĩnh mạch ngày 1
Chu kỳ 21 ngày
Đánh giá sau điều trị hóa chất:
Lâm sàng: Bệnh nhân ổn định, không đau bụng, không vàng mắt vàng da.
Công thức máu: trong giới hạn bình thường.
Sinh hóa:

Chỉ số

Trước điều trị

Sau 1 chu kỳ

Sau 3 chu kỳ

Sau 6 chu kỳ

Giá trị bình thường

CA 19-9 (U/ml)

640

51,6

9,3

8,2

<27.0


Kết quả cho thấy, nồng độ CA 19-9 trước điều trị hóa chất tăng rất cao (640 U/ml) nhưng sau khi điều trị hóa chất đã giảm còn 51,6 U/ml sau 1 chu kỳ, sau 3 chu kỳ là 9,3 U/ml, sau 6 chu kỳ là 8,2 U/ml và đã nằm trong giới hạn bình thường là <27U/ml). 

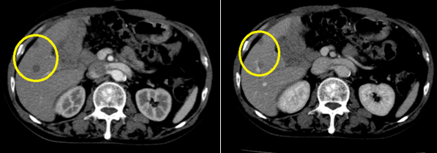
Hình ảnh chụp cắt lớp vi tính ổ bụng sau 3 chu kỳ điều trị hóa chất:


  Hình 2: Hình ảnh chụp cắt lớp vi tính ổ bụng: Các nốt ở gan phải, ngấm thuốc kém thì động mạch, tĩnh mạch, kích thước lớn nhất 10x11mm (vòng tròn màu vàng)

Hình ảnh chụp cắt lớp vi tính ổ bụng sau 6 chu kỳ điều trị hóa chất:

  
Hình 3: Hình ảnh chụp cắt lớp vi tính ổ bụng: không thấy hình ảnh tổn thương trong nhu mô gan
Nhận xét: trước điều trị hóa chất xuất hiện các nốt ở gan ngấm thuốc viền thì động mạch, tuy nhiên sau điều trị hóa chất 6 chu kỳ, không thấy hình ảnh các nốt ở gan.

Như vậy: Bệnh nhân trên đây là một trường hợp Ung thư đường mật ngoài gan di căn gan, xuất hiện tình trạng bệnh tiến triển sau điều trị phẫu thuật nội soi cắt khối tá tụy và được điều trị toàn thân bằng Gemcitabine và Cisplatin đã đem lại đáp ứng  tốt thể hiện ở chất chỉ điểm khối u CA19-9 đã giảm về mức bình thường ( 640 -> 51,5 -> 9,3 -> 8,2), không còn khối u ở gan và ổ bụng trên phim chụp cắt lớp vi tính.

Tin liên quan