Ca lâm sàng: U lympho không Hodgkin tế bào B lớn lan toả típ không tâm mầm điều trị tại Trung tâm Y học hạt nhân và Ung bướu Bệnh viện Bạch Mai

Ngày đăng: 17/05/2024 Lượt xem 1609
Ca lâm sàng: 
U lympho không Hodgkin tế bào B lớn lan toả típ không tâm mầm điều trị tại Trung tâm Y học hạt nhân và Ung bướu Bệnh viện Bạch Mai.
GS.TS Mai Trọng Khoa, PGS.TS Phạm Cẩm Phương, BSCKII Lê Viết Nam, BSNT Vũ Văn Định
Trung tâm Y học hạt nhân và Ung bướu, Bệnh viện Bạch Mai
Đại học Y Hà Nội

U lympho không Hodgkin là một nhóm bệnh tăng sinh ác tính dòng tế bào lympho, với biểu hiện phức tạp về lâm sàng và mô bệnh học. Tại Hoa Kỳ, bệnh đứng hàng thứ 5 trong các loại ung thư. Tại Việt Nam, tỷ lệ mắc chuẩn theo tuổi là 5.2/100.000 dân, đứng thứ 7 trong các loại ung thư. Bệnh có tỷ lệ mắc cao ở nhóm tuổi 35-40 và 50-55. Chẩn đoán và phân loại u lympho không Hodgkin đòi hỏi phải có mẫu sinh thiết đầy đủ và đánh giá mô bệnh học của chuyên gia vì các biểu hiện lâm sàng, tiên lượng và cách điều trị rất khác nhau tuỳ theo từng loại bệnh.
U lympho tế bào B lớn lan toả là loại mô bệnh học phổ biến nhất của u lympho ác tính không Hodgkin, chiếm khoảng 25% các trường hợp. Bệnh có thể chữa khỏi trong khoảng một nửa số trường hợp với các phương pháp điều trị hiện hành, đặc biệt là với những người có sự thuyên giảm hoàn toàn bằng phương pháp điều trị đầu tiên. 
Sau đây chúng tôi xin trình bày một trường hợp bệnh nhân nam giới, chẩn đoán u lympho không Hodgkin tế bào B lớn lan toả típ không tâm mầm, giai đoạn IV, đáp ứng tốt với điều trị hoá chất tại Trung tâm Y học hạt nhân và Ung bướu, Bệnh viện Bạch Mai:
Họ và tên: Nguyễn V. V. Giới: Nam Tuổi: 63
Ngày vào viện: T6/2023
Lý do vào viện: Tự sờ thấy hạch dưới hàm phải
Tiền sử: Chưa phát hiện bệnh gì đặc biệt. Gia đình không có người mắc ung thư.
Bệnh sử: Tháng 6/2023, bệnh nhân tự sờ thấy hạch dưới hàm phải, kích thước tăng dần, đau, không đỏ, kèm gầy sút cân, không sốt, không ho, đại tiểu tiện bình thường. Bệnh nhân đi khám tại bệnh viện Bạch Mai chụp phim cắt lớp vi tính phát hiện nhiều hạch lớn bất thường ở nhiều vị trí. Sau đó bệnh nhân được sinh thiết hạch cổ chẩn đoán U lympho ác tính không Hodgkin và bắt đầu điều trị tại Trung tâm Y học hạt nhân và Ung bướu.
Khám lúc vào viện:
- Bệnh nhân tỉnh, không sốt
- Da niêm hồng, huyết động ổn định
- Nhiều hạch cổ, hạch thượng đòn hai bên, lớn nhất hạch góc hàm bên phải kích thước 2x2 cm, các hạch chắc, di động hạn chế, không dính nhau.
- Tim đều, T1-T2 rõ, không tiếng thổi bệnh lý.
- Phổi thông khí đều 2 bên, không ran.
- Bụng mềm, không đau, đại tiểu tiện bình thường.
- Các cơ quan khác chưa phát hiện bất thường.
Cận lâm sàng:
- Công thứ máu: bình thường
- Sinh hoá máu: bình thường
- LDH: 339 U/L, Beta2 – Microglobulin : 2.18 mg/L
- Giải phẫu bệnh và Hoá mô miễn dịch bệnh phẩm sinh thiết hạch cổ: Phù hợp với u lympho không Hodgkin tế bào B lớn lan toả típ không tâm mầm.
- Hình ảnh chụp PET/CT đánh giá giai đoạn trước điều trị:
 
Hình 1: Hình ảnh tăng chuyển hoá FDG ở nhiều vị trí hạch cả ở trên và dưới cơ hoành.
 
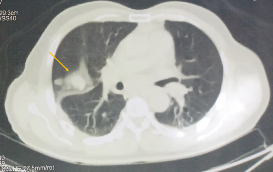
Hình 2: Hình ảnh tổn thương phổi phải không tăng chuyển hoá FDG nhưng chưa loại trừ thứ phát
 
Hình 3: Hình ảnh hạch bất thường trung thất và hạch nách
 
Hình 4: Hình ảnh các hạch ổ bụng tăng chuyển hoá FDG
Kết luận:
- Hình ảnh nhiều hạch cổ (nhóm II, III, IV, V) hai bên ưu thế bên phải, hạch lớn nhất kích thước 24x34 mm, tăng chuyển hoá F-18 FDG (SUVmax: 26.09)
- Hình ảnh 2 nốt đặc bờ đều ở thuỳ trên phổi phải, kt 19x27 mm và 10x12mm
- Hình ảnh nhiều hạch trung thất ở trước các mạch máu lớn, cạnh khí quản, dưới quai, trước và dưới carina, hạch lớn nhất kích thước 25x18mm, tăng chuyển hoá FDG.
- Hình ảnh nhiều hạch rốn phổi, hạch lớn kích thước 15x18mm, tăng chuyển hoá FDG.
- Hình ảnh nhiều hạch hố nách 2 bên, hạch lớn kích thước 21x40mm, tăng chuyển hoá FDG.
- Nhiều hạch ổ bụng quanh động mạch chủ, hạch chậu trong 2 bên, chậu ngoài bên trái, hạch lớn kích thước 39x40mm, tăng chuyển hoá FDG.
Chẩn đoán: U lympho ác tính không Hodgkin tế bào B lớn lan toả típ không tâm mầm giai đoạn IV.
Điều trị: Hoá trị toàn thân phác đồ RCHOP x 8 chu kỳ. Cụ thể
Rituximab 375 mg/m2 da truyền tĩnh mạch ngày 1
Cyclophosphamide 750mg/m2 da truyền tĩnh mạch ngày 1
Vincristin 1.4 mg/m2 da truyền tĩnh mạch ngày 1
Doxorubicin 50mg/m2 da truyền tĩnh mạch ngày 1
Prednisolon 100mg/ngày uống ngày 1-5
Chu kỳ 21 ngày.
Đánh giá đáp ứng sau điều trị 8 đợt
Lâm sàng:
- Bệnh nhân tỉnh, không sốt
- Toàn trạng tốt, tác dụng phụ hoá chất: mệt mỏi, chán ăn, buồn nôn trong giới hạn chịu đựng được và giảm dần.
- Không còn sờ thấy hạch dưới hàm, còn hạch thượng đòn trái kích thước <1cm, chắc, không đau.
- Tim đều, T1-T2 rõ
- Phổi thông khí tốt, không rales
- Bụng mềm
- Công thức máu, sinh hoá máu: trong giới hạn bình thường
- PET/CT: các hạch lớn vùng cổ, nách, trung thất, ổ bụng gần như mất hoàn toàn hoặc giảm kích thước đáng kể, không còn vị trí tăng chuyển hoá FDG bất thường.
 
Hình 5: Không thấy vị trí tăng chuyển hoá FDG bất thường trên phim PET/CT sau điều trị

 
Hình 6: Không còn thấy tổn thương phổi
Kết luận:
- Hình ảnh hạch nách 2 bên, lớn nhất 7mm, hạch chậu phải 11mm, đều không tăng chuyển hoá FDG.
- Chưa phát hiện hình ảnh tổn thương tăng chuyển hoá FDG khú trú, bất thường ở vị trí khác trên PET/CT toàn thân.
 Như vậy bệnh đáp ứng hoàn toàn trên phim PET/CT.
Hướng điều trị tiếp theo:
Theo dõi định kỳ 3 tháng/ lần trong 1 năm đầu tiên, sau đó 3-6 tháng 1 lần trong năm thứ 2, và 1-2 lần một năm trong năm thứ 3 đến năm thứ 5.
Một vài nhận xét
Trên đây là một trường hợp U lympho không Hodgkin giai đoạn IV đã được chẩn đoán và điều trị kịp thời. Mặc dù đa phần bệnh nhân u lympho được chẩn đoán ở giai đoạn III, IV nhưng vẫn có cơ hội điều trị khỏi. Bệnh nhân này thuận lợi khi bệnh biểu chủ yếu ở hạch ngoại vi, chưa có biến chứng, và không có hội chứng B (sốt kéo dài không rõ nguyên nhân, ra mồ hôi ban đêm, gầy sút > 10% trọng lượng trong 6 tháng). Vì thế bệnh nhân này thuận lợi trong sinh thiết hạch ngoại vi dễ dàng giúp sớm có chẩn đoán mô bệnh học và xác định thể bệnh chính xác.
Theo Chỉ số tiên lượng quốc tế (IPI), bệnh nhân chỉ có 1 yếu tốt tiên lượng xấu là tuổi > 60 tuổi (IPI 1 điểm). 
 
Hình 7: Bảng chỉ số tiên lượng quốc tế IPI (bên trái) và tiên lượng sống thêm 5 năm tương ứng (bên phải).
Từ bảng trên có thể thấy 73% bệnh nhân có điểm IPI thấp (0-1 điểm) có khả năng sống trên 5 năm. Như vậy tiên lượng của bệnh nhân này cũng rất khả quan nhất là khi bệnh đáp ứng hoàn toàn sau điều trị ban đầu. Tuy nhiên khoảng 1/3 số bệnh nhân đáp ứng hoàn toàn vẫn tái phát sau đó, nên theo dõi định kỳ đóng một vai trò quan trọng trong chiến lược điều trị ở bệnh nhân này.



Tin liên quan