Case lâm sàng: Chẩn đoán ung thư tiền liệt tuyến tiến triển di căn phần mềm, xương tại Trung tâm Y học hạt nhân và Ung bướu Bệnh viện Bạch Mai

Ngày đăng: 29/10/2024 Lượt xem 1135
Case lâm sàng: Chẩn đoán ung thư tiền liệt tuyến tiến triển di căn phần mềm, xương 
tại Trung tâm Y học hạt nhân và Ung bướu Bệnh viện Bạch Mai.

GS.TS Mai Trọng Khoa, BSNT. Hoàng Đăng Huy,  PGS.TS.Phạm Cẩm Phương, TS. Phạm Văn Thái, Th.S Vương Ngọc Dương, 
Trung tâm Y học hạt nhân và Ung bướu- Bệnh viện Bạch Mai

  Ung thư tuyến tiền liệt (UTTTL) là khối u ác tính xuất phát từ tế bào biểu mô của tuyến tiền liệt. Đây là bệnh ung thư phổ biến ở nam giới, đứng hàng thứ 2 sau ung thư phổi với tỷ lệ tử vong đứng thứ 8 theo Globocan 2022. Trước kia, bệnh thường gặp ở độ tuổi trên 65, tuy nhiên ngày nay bệnh đang có xu hướng trẻ hóa, gặp ở những bệnh nhân nam trẻ tuổi. Hơn 90% ung thư tuyến tiền liệt là ung thư biểu mô tuyến, chủ yếu là loại biệt hóa tốt, nếu phát hiện được bệnh sớm, tỷ lệ khỏi bệnh cao. Tuy nhiên khoảng ½ số bệnh nhân khi chẩn đoán đã có di căn xa mà hay gặp nhất là di căn xương, đối với giai đoạn muộn tỷ lệ sống sau 5 năm chỉ còn lại dưới 50%. UTTTL có thể di căn đến nhiều vị trí trong cơ thể, vị trí hay gặp nhất là xương và hạch bạch huyết,… Về trường hợp ung thư tuyến tiền liệt di căn phần mềm khá hiếm gặp.
  Dưới đây là trường hợp lâm sàng bệnh nhân ung thư tuyến tiền liệt đang được chẩn đoán và điều trị tại Trung tâm Y học hạt nhân và Ung bướu – Bệnh viện Bạch Mai:

Họ và tên: Lê .Đ .B                  Giới: Nam                    Tuổi: 67
Lí do vào viện: vào viện theo hẹn
Bệnh sử: 
Từ tháng 11/2022, bệnh nhân có triệu chứng tiểu khó và tiểu nhiều lần, đã được điều trị nội khoa tại y tế cơ sở. Đến tháng 02/2023, triệu chứng tăng lên, được chụp MRI (cộng hưởng từ) tuyến tiền liệt phát hiện có u ở tuyến tiền liệt xâm lấn vào thành bàng quang, nhiều hạch dọc bó chậu hai bên. Sau đó, bệnh nhân được nhập viện vào Trung tâm Y học hạt nhân và Ung bướu-Bệnh viện Bạch Mai và được tiến hành sinh thiết và cho kết quả mô bệnh học là ung thư biểu mô tuyến tiền liệt. Bệnh nhân đã được điều trị bằng liệu pháp ức chế androgen (ADT). Đợt này bệnh nhân nhập viện vào tháng 09/2024 để tiếp tục điều trị theo hẹn.
Tiền sử:
Bản thân: Khỏe mạnh
Gia đình: Chưa phát hiện bệnh lí liên quan
Tình trạng lúc vào khoa
Tỉnh, tiếp xúc tốt
Thể trạng trung bình
Da niêm mạc bình thường
Không sốt, nhiệt độ 36.5 độ C
Mạch: 80 lần/phút, Huyết áp: 130/80 mmHg
Tim đều, tiếng tim T1 T2 rõ
Rì rào phế nang 2 phổi rõ
Cơ xương khớp không phát hiện bất thường
Cơ quan khác chưa phát hiện bất thường
Cận lâm sàng: 
Công thức máu: Hồng cầu 4.37 T/L, Bạch cầu 6.06 G/L, Tiểu cầu: 259 G/L (trong giới hạn bình thường)
Sinh hóa máu: 
- Ure 7.2 mmol/l, creatinin 90 µmol/l, GOT/GPT 19/12 U/L ( chức năng gan, thận trong giới hạn bình thường)
- Chỉ số PSA:

Thời gian

Tháng 02/2023

Tháng 06/2023

Tháng 09/2023

Tháng 12/2023

Tháng 03/2024

Tháng 04/2024

Tháng 05/2024

Tháng 06/2024

Tháng 09/2024

PSA toàn phần ( ng/ml)

150.5

0.26

0.11

0.47

2.89

3.82

6.0

8.23

37.2

PSA tự do

( ng/ml)

23.5

0.04

0.1

Nhận xét về chỉ số PSA: 
- Tại thời điểm mới được chẩn đoán tháng (02/2023) bệnh nhân có giá trị PSA toàn phần và tự do tăng cao. Sau quá trình điều trị thì chỉ số PSA giảm về mức bình thường (từ tháng 06/2023 đến tháng 04/2024).
- Từ tháng 05/2024 bắt đầu tăng dần và đến tháng 09/2024 chỉ số PSA tăng cao hơn nhiều lần so với các tháng trước đó.
Kết quả giải phẫu bệnh: Ung thư biểu mô tuyến tiền liệt, Gleason 4+5.
Xạ hình xương (tháng 06/2023): hình ảnh tăng hoạt tính phóng xạ không đặc hiệu cung xương sườn 8 bên trái.
Chẩn đoán hình ảnh: 
- Tháng 02/2023 ( thời điểm mới chẩn đoán), MRI tuyến tiền liệt: có hình ảnh khối u tuyến tiền liệt, có xâm lấn thành bàng quang và nhiều hạch dọc bó chậu hai bên.
- Tháng 09/2024: Bệnh nhân được chụp cắt lớp vi tính ngực bụng có tiêm thuốc cản quang

  
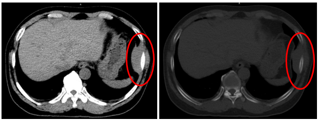
Hình 1: Hình ảnh chụp CT ở ngực - bụng có khối tỉ trọng tổ chức thành ngực trái ngang mức xương sườn 8, không xâm lấn vỏ xương lân cận ( mới xuất hiện so với trước đây).


 
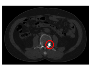
Hình 2: Hình ảnh Cắt lớp vi tính ổ bụng có nốt đặc xương bờ sau thân đốt sống L3 (mới xuất hiện so với trước đây).

   
Hình 3: Hình ảnh CT tiểu khung có u tiền liệt tuyến kích thước lớn nghi ngờ xâm lấn bao, xâm lấn túi tinh bên trái, xâm lấn qua MRF, chưa đến thành trước trực tràng, nghi ngờ xâm lấn thành sau bàng quang, tổ chức thâm nhiễm vào mạc treo trực tràng.
 
Hình 4: Hình ảnh nhiều hạch cạnh bó mạch chậu ngoài hai bên.

Chẩn đoán: Ung thư biểu mô tiền liệt tuyến tiến triển theo dõi di căn phần mềm, xương.
Hướng điều trị:
- Chụp PET/CT và xạ hình xương đánh giá tái phát di căn.
- Xét điều trị nội tiết thế hệ mới. 
Lời bàn
  Ca lâm sàng này là một trường hợp hiếm gặp về ung thư tuyến tiền liệt có di căn phần mềm. Để chẩn đoán, đối với bệnh nhân UTTTL di căn phần mềm thì chỉ đỉnh PET/CT toàn thân là phương pháp tối ưu để có thể đánh giá khối phần mềm phát hiện trên CT hay có các tổn thương di căn tăng chuyển hóa khác.Tuy nhiên nếu sử dụng thuốc phóng xạ FDG để ghi hình PET/CT thì ít có giá trị để phát hiện khối u nguyên phát tại tuyến tiền liệt, nhưng rất có giá trị để phát hiện cacs tổ chức di căn như hạch ổ bụng, hố chậu, phần mềm, xương… 
Hiện nay, 68Ga- PSMA PET/CT  là một dược chất phngs xạ rất có giá trị trong việc phát hiện các tổn thương tái phát, di căn…. Tuy nhiên phương pháp này hiện chưa được áp dụng tại Việt Nam.
  Về điều trị thì liệu pháp ức chế Androgen có vai trò cơ bản trong điều trị ung thư tiền liệt tuyến giai đoạn di căn. Hầu hết các bệnh nhân ở giai đoạn di căn xa nên được bắt đầu bằng cắt tinh hoàn ngoại khoa hoặc bằng thuốc đồng vận LHRH (Gosereline, Triptoreline, Leuprorelin acetate) hoặc đối vận LHRH (Degarelix). Dù phần lớn bệnh nhân nhạy cảm với cắt tinh hoàn, tuy nhiên bệnh thường tiến triển thành kháng cắt tinh hoàn. 
Bệnh nhân khi đang được điều trị bằng các biệt pháp kháng androgen mà có các biểu hiện bệnh tiến triển (tăng PSA, tiến triển tổn thương cũ, phát triển tổn thương mới…) được xem là kháng cắt tinh hoàn. UTTTL có diễn tiến kéo dài nên ngay cả các trường hợp kháng cắt tinh hoàn vẫn có cơ hội sống dài và tốt nhờ chiến lược điều trị đúng. 
Các thuốc đã được chấp nhận điều trị như nhóm thuốc nội tiết (abiraterone, enzalutamine), thuốc gây độc tế bào (Docetaxel, Mitoxatron, Cabazitaxel…), thuốc kích thích miễn dịch (Sipuleucel –T…), dược chất phóng xạ radium-233…, thuốc chống hủy xương (zoledrolic acid, denosunab…). 

Tin liên quan