Ca lâm sàng: Hiệu quả điều trị phối hợp: Miễn dịch-Hóa chất và Xạ phẫu dao gamma quay bệnh nhân ung thư phổi di căn não tại Trung tâm Y học hạt nhân và Ung bướu, Bệnh viện Bạch Mai

Ngày đăng: 15/11/2024 Lượt xem 1556
Ca lâm sàng:
Hiệu quả điều trị phối hợp: Miễn dịch-Hóa chất và Xạ phẫu dao gamma quay bệnh nhân ung thư phổi di căn não tại Trung tâm Y học hạt nhân và Ung bướu, Bệnh viện Bạch Mai

GS.TS Mai Trọng Khoa1,2, PGS. TS Phạm Cẩm Phương1,2, Sinh viên Trần Minh Dũng2
                                   1Trung tâm Y học hạt nhân và Ung bướu – Bệnh viện Bạch Mai
                                2Trường Đại học Y Dược, Đại học Quốc gia Hà Nội
Ung thư phổi là một trong những loại ung thư phổ biến và có tỷ lệ tử vong cao nhất trên toàn thế giới cũng như tại Việt Nam. Theo GLOBOCAN năm 2022, ung thư phổi chiếm 13,6% tổng số ca ung thư mới mắc tại Việt Nam và là nguyên nhân gây tử vong cao thứ 2 chỉ sau ung thư gan với hơn 20000 số ca tử vong mỗi năm do ung thư phổi. 
Một trong những biến chứng thường gặp của ung thư phổi là di căn xa đến các cơ quan khác, đặc biệt là não. Tình trạng di căn não gặp ở 10-20% bệnh nhân ung thư phổi vào thời điểm chẩn đoán và có thể cao hơn trong giai đoạn bệnh tiến triển. Di căn não làm tăng mức độ nặng của bệnh, gây ảnh hưởng nghiêm trọng đến chất lượng sống và tiên lượng của bệnh nhân.
Hiện nay, điều trị di căn não bao gồm nhiều phương pháp như phẫu thuật, liệu pháp laser, xạ trị toàn não, xạ phẫu bằng dao gamma hoặc xạ trị lập thể, cùng với điều trị triệu chứng bằng corticosteroid nhằm giảm phù não và cải thiện triệu chứng lâm sàng. Theo hướng dẫn của ASCO-SNO-ASTRO năm 2022, xạ phẫu được khuyến nghị ưu tiên cho các trường hợp khối u di căn não có kích thước dưới 4 cm và được xem là một trong những biện pháp hiệu quả để kiểm soát bệnh lý di căn não.
Dưới đây là 1 một trường hợp bệnh nhân ung thư phổi di căn não đã được điều trị bằng dao gamma quay kết hợp với điều trị toàn thân đáp ứng tốt tại Trung tâm Y học hạt nhân và Ung bướu - Bệnh viện Bạch Mai.

Họ và tên: N. Q. T
Giới tính: Nam
Tuổi: 69 tuổi
Ngày vào viện: tháng 02/2024
Lý do vào viện: Yếu nửa người trái
Bệnh sử: Cách vào viện 01 tháng, bệnh nhân xuất hiện yếu nửa người trái, hạn chế vận động kèm tê bì 2 tay, 2 chân, không sốt, không buồn nôn, không thất ngôn, đại tiểu tiện bình thường. Bệnh nhân đi khám tại Bệnh viện Bạch Mai được chụp cộng hưởng từ sọ não: Ổ tổn thương thuỳ trán phải kèm phù não nghĩ đến thứ phát; cắt lớp vi tính lồng ngực: Nốt bán đặc thuỳ giữa phổi phải.
Tiền sử: Khỏe mạnh
Khám vào viện:
- Bệnh nhân tỉnh, đau đầu nhẹ
- Huyết động ổn
- Không sốt, không co giật
- Hạch thượng đòn trái, kích thước 1,5x1,5cm, mật độ chắc, di động hạn chế.
- Liệt nửa người trái. 
Cận lâm sàng:
- Tổng phân tích tế bào máu ngoại vi: Bình thường
- Sinh hoá máu: Bình thường
- Chất chỉ điểm u (tumour marker): CEA: 7,3 ng/ml
- Sinh thiết hạch thượng đòn trái: Hình ảnh mô bệnh học và hoá mô miễn dịch phù hợp với ung thư biểu mô tuyến hướng đến nguyên phát tại phổi di căn hạch
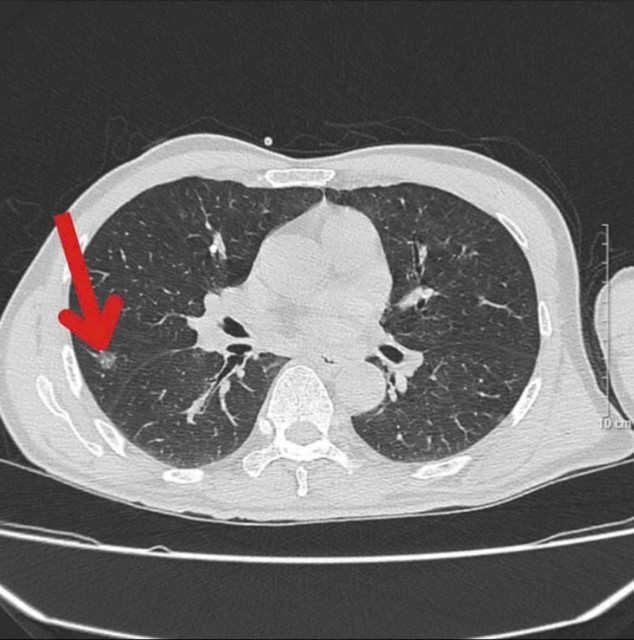
- Cắt lớp vi tính lồng ngực: Vài nốt kính mờ rải rác nhu mô phổi thuỳ trên phổi hai bên đường kính lớn nhất 6,5mm. Nốt bán đặc thuỳ giữa phổi phải đường kính 8,5mm. Nốt vôi hoá thuỳ trên phổi phải đường kính 6mm.
 
Hình 1. Hình ảnh chụp cắt lớp vi tính lồng ngực trước điều trị: Nốt bán đặc thuỳ giữa phổi phải đường kính 8,5mm (mũi tên)
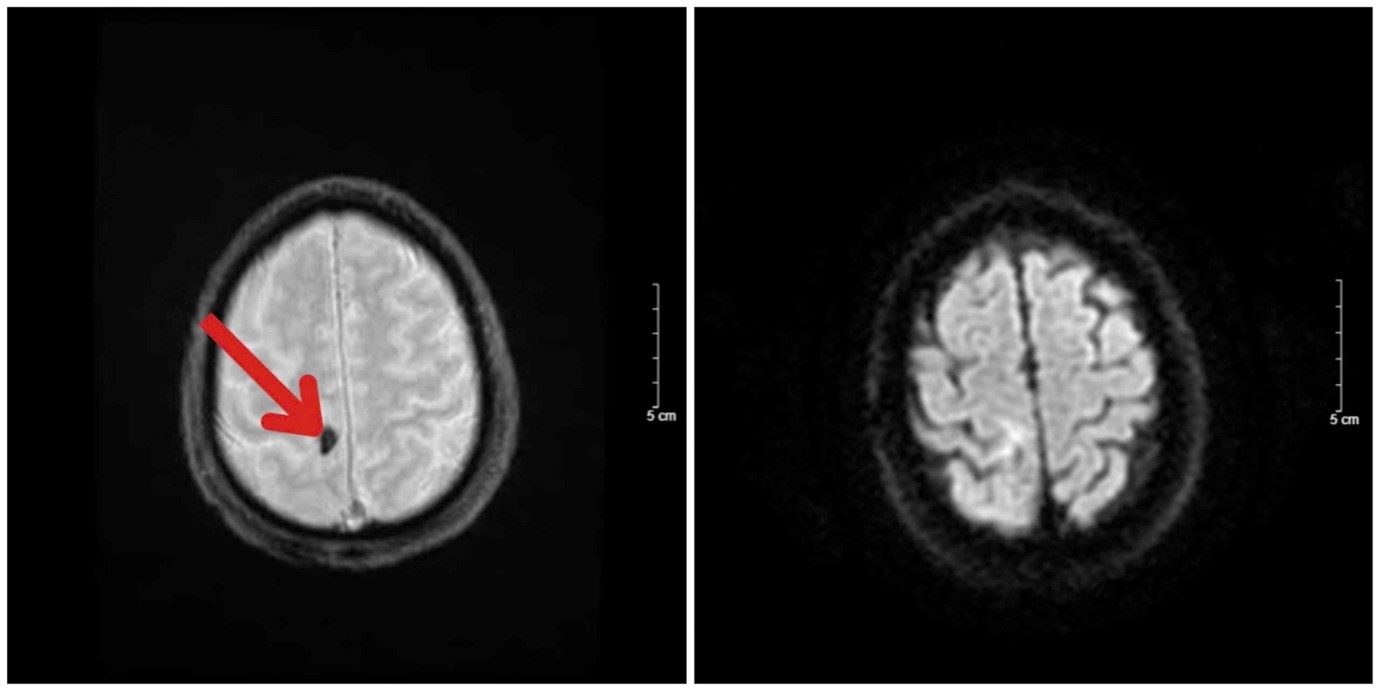
- Cộng hưởng từ sọ não: Thuỳ trán bên phải có tổn thương kích thước 18x18mm, bờ đều, ranh giới rõ, trong có thành phần hoại tử, ngấm thuốc đều dạng viền, kèm phù não rộng xung quanh. 
 
Hình 2. Hình ảnh chụp cộng hưởng từ sọ não trước điều trị: Khối u thuỳ trán phải (mũi tên đỏ) kích thước 18x18mm kèm phù não rộng xung quanh
- Xét nghiệm sinh học phân tử: Không phát hiện đột biến gen EGFR, không phát hiện đột biến gen ALK
- Xét nghiệm hóa mô miễn dịch với kháng thể PD-L1: PD-L1 dương tính với TPS = 70%
Chẩn đoán xác định: Ung thư phổi trái giai đoạn cT4N3M1, di căn não, di căn hạch.
Mô bệnh học (sinh thiết hạch): ung thư biểu mô tuyến hướng đến nguyên phát tại phổi di căn hạch
Điều trị 
- Bệnh nhân được chỉ định xạ phẫu bằng dao gamma quay vào tổn thương di căn não với liều 20Gy vào tháng 03/2024. 
- Bệnh nhân điều trị truyền hoá chất phác đồ Pembrolizumab - Pemetrexed - Carboplatin 6 đợt, chu kỳ 21 ngày từ tháng 04/2024 đến tháng 07/2024. 
- Bệnh nhân tiếp tục được chỉ định truyền hoá chất phác đồ Pembrolizumab - Pemetrexed từ tháng 08/2024, hiện tại bệnh nhân đã truyền được 03 đợt. 
Đánh giá hiệu quả điều trị
Về lâm sàng: 
- Sau 4 tháng điều trị (sau xạ phẫu và 6 đợt hóa chất): Bệnh nhân không còn yếu liệt, vận động đi lại bình thường; không đau đầu, không đau ngực, không khó thở. 
- Hiện tại, sau 8 tháng điều trị: Bệnh nhân ổn định, không sốt, không yếu liệt, không đau đầu, không đau ngực, không khó thở. Bệnh nhân dung nạp hóa chất được, không xuất hiện các tác dụng phụ ảnh hưởng đến điều trị. 
So sánh chất chỉ điểm khối u CEA sau 4 tháng điều trị:
Chỉ số Trước điều trị Sau 1 tháng điều trị Sau 2 tháng điều trị Sau 3 tháng điều trị Sau 4 tháng điều trị
CEA (ng/ml) 7.87 6.19 5.75 5.19 4.49

So sánh hình ảnh cộng hưởng từ sọ não trước điều trị và sau 4 tháng điều trị
Kết quả hình ảnh chụp cộng hưởng từ sọ não sau 4 tháng điều trị: Khối u thuỳ trán phải kích thước 8x10mm (giảm hơn 70% kích thước so với trước điều trị), không phát hiện tổn thương mới. 
 
Hình 3. Hình ảnh chụp cộng hưởng từ sọ não sau điều trị: Khối u thuỳ trán phải (mũi tên đỏ) kích thước 8x10mm, ngấm thuốc dạng viền sau tiêm kèm phù não xung quanh

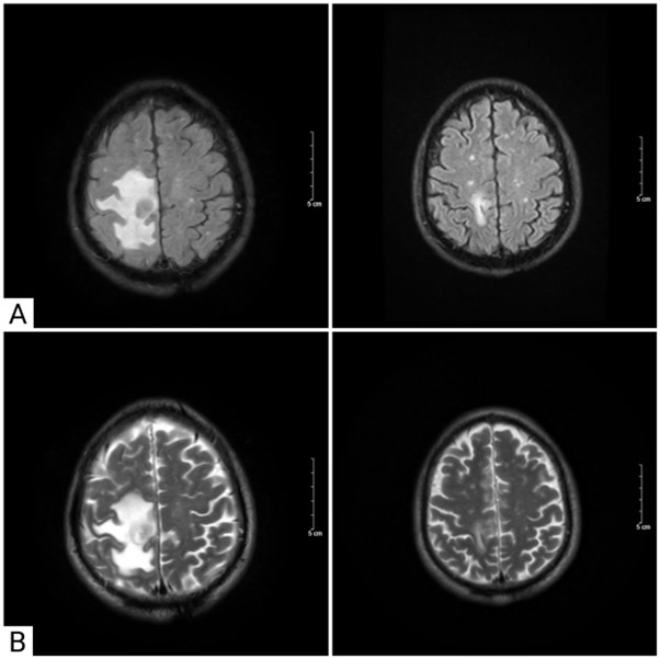
 Hình 4. So sánh hình ảnh chụp cộng hưởng từ sọ não trước và sau điều trị xạ phẫu bằng dao gamma và điều trị toàn thân
A. Hình ảnh chụp cộng hưởng từ sọ não trên chuỗi xung FLAIR: Khối u thuỳ trán phải giảm kích thước từ 18x18mm xuống còn 8x10mm 
B. Hình ảnh chụp cộng hưởng từ sọ não trên chuỗi xung T2: Khối u não ở thuỳ trán phải giảm kích thước sau điều trị 

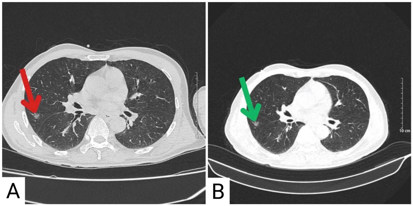
So sánh hình ảnh cắt lớp vi tính lồng ngực trước điều trị và sau 4 tháng điều trị 
 
Hình 5. Hình ảnh chụp cắt lớp vi tính lồng ngực trước và sau điều trị
A. Hình ảnh chụp cắt lớp vi tính lồng ngực trước điều trị: Nốt bán đặc thuỳ giữa phổi phải đường kính 8,5mm (mũi tên đỏ)
B. Hình ảnh chụp cắt lớp vi tính lồng ngực sau điều trị: Nốt đặc thuỳ dưới phổi trái (mũi tên xanh lá cây) kích thước 9mm (không tăng so với trước điều trị), không xuất hiện thêm tổn thương thứ phát.
Tóm lại:
Bệnh nhân đã được điều trị ổn định bằng xạ phẫu với dao gamma để kiểm soát các tổn thương di căn não, kết hợp với hóa trị liệu và liệu pháp miễn dịch pembrolizumab nhằm ức chế sự tiến triển của ung thư. Kết quả điều trị ghi nhận đáp ứng tốt, với các tổn thương di căn não được kiểm soát hiệu quả. Đáng chú ý, tình trạng liệt nửa người của bệnh nhân đã cải thiện rõ rệt, hiện tại không còn dấu hiệu yếu liệt.
Trường hợp này cho thấy vai trò quan trọng của việc phối hợp đa mô thức trong điều trị ung thư phổi di căn não, đặc biệt là xạ phẫu và liệu pháp miễn dịch. Thành công trong điều trị không chỉ kéo dài thời gian sống mà còn cải thiện chất lượng cuộc sống, mang lại hy vọng cho những bệnh nhân ung thư giai đoạn tiến xa với di căn não.

Tin liên quan