CA LÂM SÀNG ĐIỀU TRỊ ĐÍCH BỆNH NHÂN UNG THƯ PHỔI GIAI ĐOẠN MUỘN TẠI BỆNH VIỆN BẠCH MAI

Ngày đăng: 27/11/2025 Lượt xem 312
CA LÂM SÀNG
ĐIỀU TRỊ ĐÍCH BỆNH NHÂN UNG THƯ PHỔI GIAI ĐOẠN MUỘN TẠI BỆNH VIỆN BẠCH MAI

GS.TS. Mai Trọng Khoa, PGS. TS. Phạm Cẩm Phương, BSNT Lê Hữu Dương

Theo GLOBOCAN 2022, ung thư phổi đứng thứ nhất về số ca mắc mới (2.489.675 ca, chiếm 12,4% tổng số ca mắc mới) và tử vong (1.817.469 ca, chiếm 18,7% tổng số ca tử vong) trên toàn cầu.
Theo mô bệnh học ung thư phổi được chia thành hai nhóm chính là ung thư phổi tế bào nhỏ và ung thư phổi không tế bào nhỏ, trong đó ung thư phổi không tế bào nhỏ chiếm chủ yếu đến 80-85% và là nhóm có nhiều lựa chọn phương pháp điều trị và tiên lượng tốt hơn. Ung thư phổi không tế bào nhỏ giai đoạn khu trú tại chỗ tại vùng thường điều trị triệt căn bằng phẫu thuật hoặc xạ trị, đôi khi kết hợp với liệu pháp toàn thân đồng thời hoặc bổ trợ với mục đích chữa khỏi. Trong khi đó, bệnh giai đoạn tiến triển tại chỗ - tại vùng hoặc tái phát di căn thường điều trị toàn thân, mang tính giảm nhẹ, tăng chất lượng cuộc sống và kéo dài thời gian sống, trong đó, điều trị nhắm đích là một trong những lựa chọn hiệu quả ở những bệnh nhân ung thư phổi không tế bào nhỏ có đột biến gen đặc hiệu.
Dưới đây, chúng tôi xin giới thiệu một trường hợp ung thư phổi giai đoạn muộn có đột biến gen được điều trị tại Trung tâm Y học hạt nhân và Ung bướu - Bệnh viện Bạch Mai.
Hành chính
1) Họ tên: T.T.H
2) Giới tính: Nữ
3) Năm sinh: 1978
4) Địa chỉ: Bắc Ninh
Tiền sử
- Bản thân: Chưa phát hiện tiền sử bệnh ung thư hay bệnh gan - mật, hô hấp liên quan.
- Gia đình: Chưa phát hiện bệnh lý liên quan.
Bệnh sử
Tháng 4/2024, bệnh nhân xuất hiện ho kéo dài, ho đờm trắng trong, không khó thở, không đau tức ngực, không sốt. 
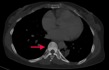
Bệnh nhân đi khám tại bệnh viện Bạch Mai được chụp cắt lớp vi tính lồng ngực phát hiện các đám tổn thương đông đặc phổi 2 bên, tổn thương đặc xương không đều các đốt sống D5, D8, D11 và xương sườn IV bên phải.
 
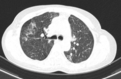
Hình 1: Hình ảnh tổn thương phổi trước điều trị: các đám tổn thương đông đặc, ranh giới không rõ, lan tỏa nhu mô phổi 2 bên.
 


 
Hình 2, 3: Hình ảnh đặc xương không đều các đốt sống D5, D8, D11 và xương sườn IV bên phải.
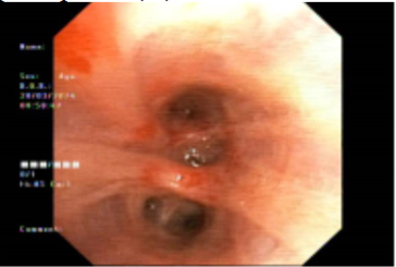
Bệnh nhân được nội soi phế quản phát hiện tổn thương chít hẹp phế quản, được sinh thiết và nhuộm hóa mô miễn dịch kết quả Ung thư biểu mô tuyến nguồn gốc tại phổi. Xét nghiệm gen EGFR phát hiện đột biến xóa đoạn trên exon 19.
 
Hình 4: Hình ảnh chít hẹp lòng phế quản trên nội soi phế quản.
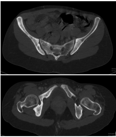
Làm các xét nghiệm khác tầm soát toàn thân phát hiện thêm các tổn thương tại gan và xương cánh chậu 2 bên.
 
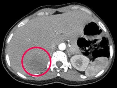
Hình 5: Tổn thương gan trước điều trị: khối giảm tỷ trọng ở hạ phân thùy S7, kích thước 37x45mm, ngấm thuốc kém sau tiêm.
  
Hình 6, 7: Hình ảnh đặc xương không đều cánh chậu 2 bên.
Đánh giá chức năng gan - thận của bệnh nhân trong giới hạn bình thường. Xét nghiệm vi sinh viêm gan B, viêm gan C, HIV âm tính.
Chẩn đoán: Ung thư phổi trái biểu mô tuyến EGFR (+) cT4N0M1 di căn phổi, di căn xương, di căn gan, giai đoạn IV.
Điều trị: 
Sau hội chẩn, bệnh nhân được chỉ định dùng thuốc điều trị đích: Erlotinib 150mg/ngày.
Erlotinib là thuốc ức chế ức chế tyrosine kinase thế hệ I.
Đánh giá sau điều trị
- Lâm sàng bệnh nhân ổn định.
- Công thức máu, sinh hoá máu cơ bản trong giới hạn bình thường.
- Chỉ điểm u:
Bảng 1: Thay đổi nồng độ chất chỉ điểm khối u trước và sau điều trị trị theo thời gian


 Chụp cắt lớp vi tính lồng ngực:
  
 

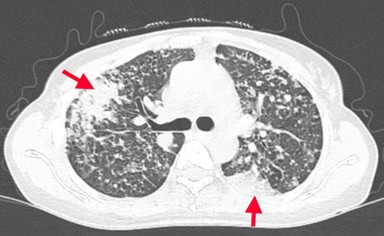
Hình 9: Hình ảnh sau 6 tháng điều trị:  Các đám đông đặc và kính mờ 2 phổi (giảm số lượng và kích thước sau các đợt điều trị).

 Chụp cắt lớp vi tính ổ bụng:
          

 

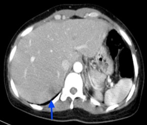
Hình 12: Hình  ảnh CT ổ bụng sau 6 tháng điều trị: Khối nhu mô gan hạ phân thùy S7 giảm tỷ trọng, ngấm thuốc kém sau tiêm,
Kích thước tổn thương giảm dần qua  các đợt   điều  trị: và 15mm (mũi tên xanh).
Như vậy, bệnh nhân đáp ứng khá tốt với Erlotinib: chất chỉ điểm khối u, kích thước tổn thương phổi, tổn thương gan có xu hướng giảm dần.

Tóm lại: Trên đây là một trường hợp Ung thư biểu mô tuyến phổi trái có EGFR (+) cT4N0M1 di căn phổi, di căn xương, di căn gan Bệnh nhân đã được điều trị thuốc đích Erlotinib. 
Nhiều nghiên cứu cho thấy, Erlotinib có hiệu quả vượt trội hơn hẳn so với hoá trị liệu, nhất là cải thiện tốt thời gian sống bệnh không tiến triển (PFS: Progression-free survival): 11,0 tháng so với 5,5 tháng của hoá trị liệu (Thử nghiệm lâm sàng ENSURE) …

Sau điều trị, bệnh nhân đáp ứng tốt, và tiếp tục tuân thủ điều trị. Thuốc điều trị đích ngày càng được ứng dụng nhiều trong ung thư phổi không tế bào nhỏ giai đoạn muộn, đem lại lợi ích cả về kéo dài thời gian sống và chất lượng cuộc sống cho bệnh nhân.

Tin liên quan