Ca lâm sàng: Điều trị bệnh nhân Ung thư phổi không tế bào nhỏ di căn não, gan, tuyến thượng thận bằng Osimertinib tại Trung tâm YHHN và Ung bướu Bệnh viện Bạch Mai.

Ngày đăng: 30/05/2025 Lượt xem 775
Ca lâm sàng: 
Điều trị bệnh nhân Ung thư phổi không tế bào nhỏ di căn não, gan, tuyến thượng thận bằng Osimertinib tại Trung tâm YHHN và Ung bướu Bệnh viện Bạch Mai.
GS. TS. Mai Trọng Khoa, PGS. TS. Phạm Cẩm Phương, BSNT Lê Thùy Dương và CS
Trung tâm Y học hạt nhân và Ung bướu-Bệnh viện Bạch Mai

Ung thư phổi là loại ung thư phổ biến trên thế giới theo Globocan năm 2022 ung thư phổi chiếm tỷ lệ lớn nhất về cả tỷ lệ mắc chiếm 12,4% và tỷ lệ tử vong chiếm 18,7%. Tại Việt Nam tỷ lệ mắc ung thư phổi xếp thứ ba 13,5% ( sau ung thư gan 13,6% và ung thư vú 13,6%) tỷ lệ tử vong xếp thứ hai 18,8% ( sau ung thư gan 19,8%) [1].
Điều trị nhắm trúng đích là một trong những phương pháp điều trị mới trong điều trị nội khoa trên bệnh nhân ung thư phổi. Nhờ ứng dụng các thành tựu trong nghiên cứu sinh học phân tử, điều trị trúng đích có thể dùng đơn độc hoặc phối hợp với các phương pháp kinh điển như hóa trị, xạ trị và phẫu thuật nhằm kéo dài thời gian sống, giảm bớt các tác dụng phụ cho người bệnh. Trong ung thư phổi có rất nhiều các đích phân tử đã được phát hiện trong đó có đột biến gen EGFR (Epidermal Growth Factor Receptor) là một loại thụ thể trên bề mặt tế bào, thuộc họ thụ thể tyrosine kinase. Các kinase này đóng vai trò quan trọng trong các con đường tín hiệu tế bào, kiểm soát sự phân chia, tăng trưởng và sống sót của tế bào. Từ đó đã nghiên cứu ra các thuốc ức chế con đường tín hiệu này trong đó có thuốc Osimertinib. 
Dưới đây là một case lâm sàng ung thư phổi không tế bào nhỏ di căn não, gan, tuyến thượng thận có đột biến EGFR dương tính được điều trị Osimertinib tại Trung tâm Y học hạt nhân và Ung bướu Bệnh viện Bạch Mai.
1, Hành chính
Họ và tên: Nguyễn V. Ch.                         
Giới: Nam                         
Tuổi: 65
Nghề nghiệp: Tự do
Ngày vào viện: 29/03/2024
2, Chuyên môn
- Lý do vào viện: ho ra đờm lẫn máu
- Bệnh sử: 
Cách vào viện khoảng 1 tháng bệnh nhân xuất hiện ho khan, thỉnh thoảng khạc ít đờm có dây máu, không khó thở, đau tức ngực trái. Bệnh nhân tới viện Bạch Mai khám được chụp cắt lớp vi tính lồng ngực: Phổi trái nhu mô ngoại vi thùy trên có khối đặc tròn bờ tua gai, kích thước 28x24mm, ngấm thuốc không đồng nhất sau tiêm, có vài hạch cạnh khí quản và rốn phổi hai bên, hạch lớn kích thước 14x7 mm, siêu âm hạch cổ: Vị trí hố thượng đòn hai bên có nhiều hạch (hạch tập trung nhiều hơn ở bên trái) không rõ cấu trúc rốn hạch, hạch lớn nhất ở bên trái kích thước 10x11mm. Chọc hút tế bào hạch thượng đòn, kết quả mô bệnh  học là: ung thư biểu mô di căn. Bệnh nhân được nhập viện vào Trung tâm Y học hạt nhân và Ung bướu-BV Bạch Mai để điều trị tiếp.
Tiền sử:
Bản thân: Hút thuốc lá nhiều năm, không có tiền sử dị ứng
Gia đình: Chưa phát hiện bệnh liên quan
Khám lâm sàng
Bệnh nhân tỉnh, tiếp xúc tốt
Không sốt, huyết động ổn, thể trạng trung bình
Da niêm mạc hồng, không phù, không xuất huyết dưới da
Tuyến giáp không to, hạch ngoại vi không sờ thấy
Ho khan, đau tức ngực trái không thường xuyên, không khó thở
Phổi 2 bên rì rào phế nang rõ
Tim đều, tiếng T1, T2 rõ
Bụng mềm, không chướng
Nhịp thở 18 lần/phút
Cơ lực 2 chi trên 5/5, cơ lực 2 chi dưới 5/5
Các cơ quan khác chưa phát hiện bất thường
Cận lâm sàng
- Xét nghiệm công thức máu, đông máu cơ bản, sinh hoá máu: trong giới hạn bình thường
- Định lượng CEA: 14,63 ng/mL; Cyfra 21-1: 7,14 ng/mL
- Xét nghiệm vi sinh: viêm gan B, Viêm gan C, HIV kết quả âm tính
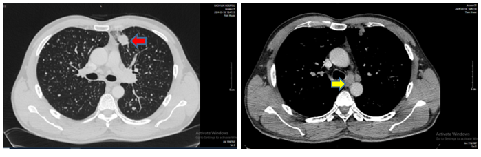
 - Chụp cắt lớp vi tính lồng ngực ngày 18/03/2024
    

 Hình 1: Phổi trái nhu mô ngoại vi thùy trên có khối đặc tròn bờ tua gai, kích thước 28x24mm (mũi tên màu đỏ), ngấm thuốc không đồng nhất sau tiêm. Trung thất cân đối, có vài hạch cạnh khí quản và rốn phổi hai bên, hạch lớn kích thước 14x7mm (mũi tên màu vàng)

- Chụp cộng hưởng từ sọ não:
  Hình 2: Hình ảnh cộng hưởng từ não có các nốt ngấm thuốc rải rác trong nhu mô trên và dưới lều, nốt lớn nhất vị trí cạnh não thất bên bên phải đường kính ~11mm (mũi tên đỏ), tín hiệu hỗn hợp trên FLAIR và T2W 

- Chụp cắt lớp vi tính ổ bụng:
   
Hình 3: Hình ảnh nhu mô gan sát bao gan phân thùy S5 có nốt giảm tỷ trọng trước tiêm, ngấm thuốc kém sau tiêm, đường kính 10mm (mũi tên đỏ). Tuyến thượng thận trái dày cạnh trong thành các nốt, nốt lớn nhất kích thước 14x25mm ( mũi tên vàng), bờ đều, sau tiêm ngấm thuốc kém. 
- Siêu âm tuyến giáp: Tuyến giáp 2 bên kích thước bình thường nhu mô đồng nhất. Vị trí hố thượng đòn hai bên có nhiều hạch (hạch tập trung nhiều hơn ở bên trái) không rõ cấu trúc rốn hạch, hạch lớn nhất ở bên trái kích thước 10x11mm.
- Bệnh nhân được tiến hành sinh thiết hạch cổ trái dưới hướng dẫn siêu âm, kết quả mô bệnh học và hóa mô miễn dịch: Ung thư biểu mô tuyến có nguồn gốc từ phổi
- Xét nghiêm gen: Phát hiện đột biến L858R trên exon 21 EGFR(+) , ALK (-)
Chẩn đoán: Bệnh nhân được chẩn đoán là Bệnh nhân được chẩn đoán là Ung thư biểu mô tuyến thùy trên phổi trái di căn não, gan, tuyến thượng thận cT1N3M1 giai đoạn IV, đột biến EGFR dương tính.
Điều trị:
Bệnh nhân được chỉ định điều trị bằng Osimertinib 80 mg uống 1 viên/ ngày
Hiện tại bệnh nhân đã được điều trị thuốc đích 8 tháng. 
Đánh giá kết quả sau điều trị 8 tháng điều trị:
- Lâm sàng: Toàn trạng bệnh nhân ổn định, ho khan cải thiện đáng kể, không đau ngực, không khó thở, tim nhịp đều, phổi không ran, cơ quan khác chưa phát hiện bất thường và chưa phát hiện các triệu. 
- Cận lâm sàng:
Theo dõi đáp ứng trên phim cắt lớp vi tính lồng ngực, phim cắt lớp vi tính ổ bụng, phim chụp cộng hưởng từ sọ não như sau:

- Chụp cắt lớp vi tính lồng ngực
  
 
Hình 4: So sánh phim chụp cắt lớp vi tính lồng ngực trước điều trị với phim chụp sau điều trị 4 tháng kích thước khối u thùy trên phổi trái từ 28x24 mm giảm còn 10x8 mm, phim chụp sau điều trị 8 tháng khối u phổi trái giảm còn 9x6 mm, hạch trung thất từ 14x7 giảm còn 10x8 mm. 

- Chụp cộng hưởng từ sọ não:
   
 
Hình 5: So sánh phim chụp cộng hưởng từ sọ não trước điều trị so với phim chụp sau điều trị 4 tháng:  kích thước  khối u não cạnh não thất bên phải giảm từ 11mm xuống 5 mm. Phim chụp sau điều trị 8 tháng (hình không chứa mũi tên), không thấy khối u bất thường trên phim cộng hưởng từ sọ não.

- Chụp cắt lớp vi tính ổ bụng 
  
 
Hình 6: Phim chụp CT ổ bụng sau điều trị 8 tháng gan có kích thước bình thường, bờ đều, nhu mô đồng nhất, không thấy khối khu trú. Tuyến thượng thận 2 bên thanh mảnh. Như vậy đã không còn hình ảnh nốt bất thường tại gan, tuyến thượng thận trái tại so với phim cũ ở Hình 1
 
- Các chất chỉ điểm khối u liên quan đến ung thư phổi giảm dần và trở về giới hạn bình thường:

Thời gian/Chỉ điểm

16/04/2024

16/05/2024

14/06/2024

15/07/2024

12/11/2024

CEA ng/mL

14,63

5,57

4,22

3,52

3,08

Cyfra 21-1 ng/mL

7,14

2,54

4,13

2,85

2,3


Sau 8 tháng điều trị, chúng tôi nhận thấy: Bệnh đáp ứng một phần. Bệnh nhân đã cải thiện về triệu chứng lâm sàng cũng như giảm kích thước khối u, giảm kích thước khối di căn não, gan, tuyến thượng thận.

Bàn luận:
Qua trường hợp lâm sàng trên, ta thấy được Osimertinib trong ung thư phổi giai đoạn muộn đã mang lại nhiều lợi ích cho người bệnh. Nghiên cứu FLAURA đã chỉ ra rằng Osimertinib mang lại lợi ích đồng nhất về thời gian sống bệnh không tiến triển trên tất cả các phân nhóm, đặc biệt trên nhóm bệnh nhân có di căn não được điều trị bằng Osimertinib ở bước 1 giảm xuống còn 52% nguy cơ tiến triển ở hệ thần kinh trung ương.
Nghiên cứu AURA3 cũng chỉ ra tính hiệu quả và sự an toàn của Osimertinib trong điều trị ung thư phổi không tế bào nhỏ có di căn hệ thần kinh trung ương và có đột biến gen kháng thuốc  EGFR T790M, thời gian sống trung bình bệnh không tiến triển (PFS) 8,5 tháng so với 4,2 tháng của nhóm điều trị Plastinum+Pemetrexed. Tỷ lệ bệnh nhân có tác dụng phụ ở mức độ 3 trở lên thấp hơn ở nhóm osimertinib (23%) so với nhóm dùng liệu pháp platinum cộng với pemetrexed (47%).
 Kết quả điều trị trên cho thấy Osimertinib là một lựa chọn đầu tay để điều trị cho bệnh nhân ở ca lâm sàng này. Hiện tại bệnh nhân đang được tiếp tục theo dõi và điều trị theo định kỳ tại Trung tâm Y học hạt nhân và Ung bướu – Bệnh viện Bạch Mai. 

Tin liên quan