Ca lâm sàng: Điều trị ung thư tuyến giáp tái phát di căn tại Trung tâm Y học hạt nhân và Ung bướu bệnh viện Bạch Mai

Ngày đăng: 28/03/2025 Lượt xem 1355

Ca lâm sàng: Điều trị ung thư tuyến giáp tái phát di căn tại Trung tâm Y học hạt nhân và Ung bướu bệnh viện Bạch Mai
GS.TS. Mai Trọng Khoa, BSNT Nguyễn Đức Minh, PGS.TS. Phạm Cẩm Phương, TS. Phạm Văn Thái, 
                       Trung tâm Y học hạt nhân và Ung bướu bệnh viện Bạch Mai 

I. Vài nét về ung thư tuyến giáp
Ung thư tuyến giáp là ung thư thường gặp nhất của hệ nội tiết. Theo GLOBOCAN năm 2020, Việt Nam đứng thứ 10 về ung thư tuyến giáp với hơn 5471 ca mắc mới (3%), tử vong 642 ca (0,52%). 
Ung thư tuyến giáp thể biệt hóa có tiên lượng tốt nếu phát hiện sớm, với việc điều trị kết hợp giữa phẫu thuật, I-131 và nội tiết tố đã nâng tỉ lệ sống sau 5 năm lên tới 90%.
Sau đây là một trường hợp lâm sàng bệnh nhân ung thư tuyến giáp đã phẫu thuật và điều trị I-131 hai lần, hiện tái phát lần 3 đang điều trị tại Trung tâm Y học hạt nhân và Ung bướu Bệnh viện Bạch Mai.
II. Ca lâm sàng
Họ và tên: Nguyễn X.D.       Giới: Nam       Tuổi: 39
Lý do vào viện: hạch vùng cổ
Tiền sử: khỏe mạnh
Bệnh sử: 
Bệnh nhân đã được chẩn đoán ung thư tuyến giáp thể biệt hóa vào tháng 9/2022.
Bệnh nhân được phẫu thuật cắt toàn bộ tuyến giáp kèm nạo vét hạch cổ 4/10/2022. Giải phẫu bệnh sau mổ: Ung thư tuyến giáp thể nhú. Bệnh nhân được điều trị I-131 với liều 100 mCi, duy trì hormon thay thế  levothyrox 150 mcg/ ngày. Sau điều trị bệnh nhân được tái khám định kỳ.
 
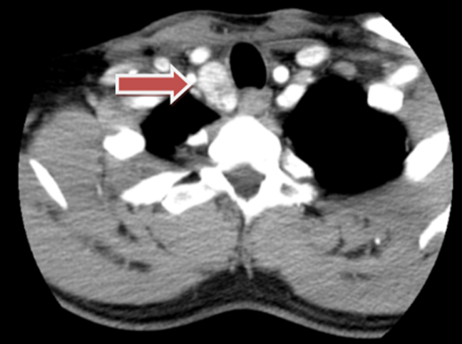
Hình ảnh chụp CT cổ ngực ngày 10/07/2023 phát hiện khối vị trí tuyến giáp ở bên phải nghi ngờ ung thư tuyến giáp tái phát
Bệnh nhân được phẫu thuật nạo vét hạch lại. Giải phẫu bệnh sau mổ: Ung thư tuyến giáp thể nhú, sau đó được điều trị lại I-131 lần 2 với liều 150mCi, duy trì hormon thay thế levothyrox 150 mcg/ ngày.
Bệnh nhân được tái khám định kỳ, siêu âm phát hiện hạch bệnh lý cổ 2 bên 1/2024. Bệnh nhân được nạo vét hạch lại, Giải phẫu bệnh: Ung thư tuyến giáp thể nhú có di căn 2/18 hạch. Sau đó bệnh nhân được nhập viện vào Trung tâm Y học hạt nhân và Ung bướu- Bệnh viện Bạch Mai xét điều để điều trị tiếp,
Tình trạng lúc nhập viện 
Bệnh nhân tỉnh, tiếp xúc tốt
Thể trạng trung bình
Da, niêm mạc hồng
Tuyến giáp không sờ thấy, sẹo mổ cũ liền tốt
Hạch ngoại vi không sờ thấy
Nhịp tim đều, tần số 85 chu kỳ/phút
Phổi rì rào phế nang rõ, không rales
Cận lâm sàng
Công thức máu: Hồng cầu: 5,4 T/L, Bạch cầu: 5,1 G/L, Bạch cầu trung tính: 5,1 G/L, Tiểu cầu: 407 G/L (Các chỉ số tế bào máu trong giới hạn bình thường)
Sinh hóa máu: Creatinin: 66 umol/l,  AST: 25 U/L, ALT: 30 U/L (Chức năng thận và men gan trong giới hạn bình thường)
Đánh giá chức năng tuyến giáp: FT3: 1,56 pmol/l; FT4: 2,0 pmol/l; TSH: 85,73 uU/mL
Tg: 7,0 ng/mL (trong giới hạn bình thường),  Anti-Tg: 1315 U/mL (tăng rất cao).
(Bệnh nhân có nồng độ FT3, FT4 thấp đồng thời TSH cao thể hiện tình trạng suy giáp do bệnh nhân đã cắt bỏ tuyến giáp hoàn toàn. Mặc dù nồng độ Tg trong huyết thanh thấp nhưng nồng độ Anti-Tg tăng rất cao, chứng tỏ bệnh nhân có dấu hiệu của sự di căn)
Siêu âm tuyến giáp:  Không thấy tuyến giáp, không thấy hạch vùng cổ
Siêu âm ổ bụng: Không thấy bất thường
Chẩn đoán xác định: Ung thư tuyến giáp thể nhú, pT3aN1bM0  tái phát di căn hạch cổ sau điều trị 
Điều trị:
Do bệnh nhân có di căn nên liều điều trị của bệnh nhân được chỉ định là 150 mCi. 
Bệnh nhân sẽ được tiến hành xạ hình toàn thân với I-131 sau 3-5 ngày điều trị.
Duy trì hormone levothyrox 150 mcg/ngày.
Từ bệnh nhân rên cho thấy: 
Bệnh nhân ung thư tuyến giáp thể biệt hóa mặc dù đã được phẫu thuật cắt bỏ tuyến giáp toàn bộ kèm nạo vét hạch, thường phải điều trị nhiều đợt I-131 ở giai đoạn di căn hạch hay di căn xa. Nguyên nhân do I-131 ngấm vào các tổ chức di căn kém hơn so với tổ chức mô giáp khác.
Ung thư tuyến giáp thể biệt hóa là ung thư có tiên lượng tốt, cùng với nhiều phương pháp điều trị, trong đó chủ đạo là điều trị phẫu thuật, ssu đó điều trị với I-131 và bòi phujb hormone tuyến giáp chủ động đem lại hiệu quả điều trị cao, an toàn, kinh tế, nâng cao chất lượng cuộc sống, giúp nhiều bệnh nhân sớm trở về  cuộc sống lao động bình thường.


Tin liên quan