CASE LÂM SÀNG: DẤU ẤN SINH HỌC UNG THƯ CA 19-9 TRONG NHIỄM KHUẨN ĐƯỜNG MẬT

Ngày đăng: 26/01/2025 Lượt xem 1344
CASE LÂM SÀNG: DẤU ẤN SINH HỌC UNG THƯ CA 19-9 TRONG NHIỄM KHUẨN ĐƯỜNG MẬT

GS. TS. BS. Mai Trọng Khoa1,2, BSNT. Trần Thế Hoàng2, PGS.TS. BS. Phạm Cẩm Phương1,2, ThS. BS. Lê Quang Hiển1,2, 
1Trung tâm Y học hạt nhân và Ung bướu, Bệnh viện Bạch Mai
2Trường Đại học Y Hà Nội

Một vài thông tin về dấu ấn sinh học ung thư
Các dấu ấn sinh học ung thư (Cancer biomarker) là các gen, protein hoặc các chất khác của khối u được xét nghiệm để cung cấp thông tin về bệnh ung thư của một cá thể. Các dấu ấn này thường được dùng để đánh giá sự khác biệt giữa mô khối u và mô lành hoặc xác định sự tồn tại của khối u dựa trên căn cứ các kết quả xét nghiệm máu hoặc các dịch tiết của cơ thể. Với những người mắc nhiều loại ung thư, xét nghiệm dấu ấn sinh học có thể cung cấp thông tin hữu ích có thể ảnh hưởng đến các lựa chọn điều trị của họ. Có nhiều dấu ấn sinh học ung thư đã biết, đã được ứng dụng trong  và việc tìm kiếm những dấu ấn mới vẫn liên tục được thực hiện. 

Nếu một người được chẩn đoán mắc bệnh ung thư, xét nghiệm dấu ấn sinh học có thể cho biết liệu:
• Ung thư có nhiều khả năng phát triển và lan rộng
• Một số phương pháp điều trị ung thư có thể (hoặc không có khả năng) hữu ích
• Việc điều trị ung thư đang có hiệu quả
Xét nghiệm chỉ điểm sinh học cũng hữu ích theo nhiều cách khác, như:
• Giúp xác định xem một người có nguy cơ mắc một số loại ung thư cao hơn hay không
• Gợi ý hoặc hướng tới ai đó đó có thể mắc một loại ung thư nào đó hay không (mặc dù để chẩn đoán xác định thì cần phải tiến hành sinh thiết)
• Tìm kiếm các dấu hiệu có thể có của bệnh ung thư tái phát trở lại

Như vậy, ứng dụng lâm sàng của dấu ấn sinh học ung thư là:
- Chẩn đoán ung thư
- Tiên lượng
- Đánh giá tiến triển ung thư
- Đánh giá đáp ứng điều trị 
- Đánh giá tái phát sau điều trị
- Theo dõi xem việc điều trị đã ngừng được hay chưa
Mặc dù mức độ tăng cao của dấu ấn ung thư đang lưu hành có thể gợi ý sự hiện diện của ung thư và đôi khi có thể giúp chẩn đoán ung thư, nhưng chỉ điều này thôi thì chưa đủ để chẩn đoán ung thư. Ví dụ, các tình trạng không phải ung thư đôi khi có thể làm tăng mức độ của một số dấu ấn ung thư. Ngoài ra, không phải tất cả mọi người mắc một loại ung thư cụ thể sẽ có mức độ dấu ấn ung thư cao hơn liên quan đến loại ung thư đó. Một dấu ấn ung thư có thể tăng cao trong nhiều loại ung thư. Do đó, việc định lượng các dấu ấn ung thư đang lưu hành thường được kết hợp với kết quả của các xét nghiệm khác, chẳng hạn như sinh thiết và chẩn đoán hình ảnh, để chẩn đoán ung thư. 

Dấu ấn ung thư CA 19-9 (Carbohydrat antigen hay Sialylated Lexa)
CA 19-9 được mô tả lần đầu tiên vào năm 1979, là phức hợp glycoprotein bề mặt tế bào được sản xuất bởi các tế bào ống trong tuyến tụy, đường mật và tế bào biểu mô trong dạ dày, đại tràng, tử cung và tuyến nước bọt. CA 19-9 được biểu hiện quá mức trong nhiều bệnh lành tính và ác tính, bệnh đường tiêu hóa và ngoài đường tiêu hóa. Vai trò chính của nó là ung thư biểu mô tuyến ống tụy, nhưng nó cũng có thể tăng cao trong ung thư đường mật, tế bào gan, đường tiêu hóa, tiết niệu, phổi, phụ khoa, tuyến giáp và tuyến nước bọt. Các tình trạng lành tính trong đó CA 19-9 có thể tăng cao ở các bệnh lý có bao gồm viêm tụy, viêm đường mật, viêm gan, u nang tụy, đái tháo đường, xơ gan, bệnh ứ mật lành tính và các bệnh tiết niệu, phổi và phụ khoa khác.
CA 19-9: là chất chỉ điểm hay được sử dụng nhất trong ung thư đường mật, thường tăng cao. CA 19-9 có độ nhạy 75% và độ đặc hiệu 80% trong chẩn đoán ung thư đường mật.
Dưới đây chúng tôi xin giới thiệu một trường hợp bệnh nhân nữ, 37 tuổi. Có chỉ số dấu ấn ung thư CA 19-9 lúc vào viện tăng cao kèm theo tình trạng nhiễm trùng, phát hiện tổn thương gan. Sau khi điều trị kháng sinh và đánh giá lại sau 2 tuần ghi nhận tình trạng nhiễm trùng ổn định, chỉ số CA 19-9 giảm mạnh. 

Họ và tên: Đỗ T.O.                     Giới: Nữ                   Tuổi: 37
Nghề nghiệp: Tự do   
Địa chỉ: Thanh Xuân – Hà Nội
Ngày vào viện: 16/11/2023
Lý do vào viện: Đau hạ sườn phải
Tiền sử: Bản thân: Nhiễm khuẩn huyết không rõ nguyên nhân và điều trị 
Ăn uống, dịch tễ: Chưa phát hiện bất thường
Gia đình: Chưa phát hiện bất thường
Bệnh sử: 
Cách vào viện 4 ngày, bệnh nhân xuất hiện đau tức hạ sườn phải âm ỉ tăng dần, lan ra sau lưng, không có yếu tố tăng giảm đau, kèm sốt cơn, sốt cao nhất 39,5 độ C, thỉnh thoảng có ho thúng thắng, không khó thở, không đau đầu hay tức ngực, không sổ mũi, không nôn, đại tiểu tiện bình thường, phân vàng theo khuân. Bệnh nhân đi khám, chụp MRI gan-mật phát hiện khối tổn thương vùng gan, không rõ tính chất, kèm theo dấu hiệu gợi ý nhiễm trùng đường mật. Bệnh nhân đã được điều trị kháng sinh (không rõ loại), thuốc giãn cơ, giảm đau trong 3 ngày. Sau đó bệnh nhân nhập viện vào Bệnh viện Bạch Mai để đánh giá và điều trị.
Khám lúc vào viện:
- Bệnh nhân tỉnh, tiếp xúc tốt
- Dấu hiệu sinh tổn ổn định: Mạch 79 chu kỳ/ phút, Nhịp thở 20 chu kỳ/ phút
Huyết áp: 120/80 mmHg, Nhiệt độ 37oC
- Thể trạng béo: Cân nặng: 73 kg, Chiều cao: 152 cm, BMI: 30,7 kg/m2
- Da niêm mạc hồng, không phù, không có xuất huyết dưới da
- Tim đều, T1 T2 rõ, không có tiếng thổi
- Phổi thông khí tốt, không ran
- Bụng mềm, không chướng
- Ấn đau tức hạ sườn phải
- Gan lách không to, rung gan (-)
- Các cơ quan khác chưa phát hiện bất thường
Cận lâm sàng đánh giá:
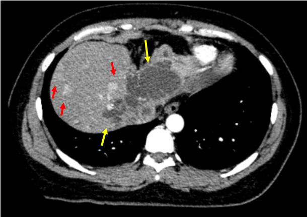
- Chụp cắt lớp vi tính ngực, bụng (có tiêm thuốc cản quang) (17/11):
+ Bụng: Hình ảnh nốt ngấm thuốc gan phải, đường kính 20 mm, ngấm thuốc mạnh thì động mạch, không rõ thải thuốc thì tĩnh mạch. Giãn đường mật hai bên. Xơ gan. Hạch vùng rốn gan và cạnh động mạch chủ (Hình 1).
 
Hình 1. Hình ảnh các nốt ngấm thuốc (mũi tên đỏ) và giãn đường mật (mũi tên vàng).
+ Ngực: Không phát hiện tổn thương bất thường.
- Nội soi dạ dày, đại tràng: Bình thường
- Siêu âm tuyến giáp và hạch cổ: Bình thường
- Các chỉ số xét nghiệm:
+ Vi sinh: HbsAg (-), HCV Ab(-), HIV (-)
+ AFP: 1.45 ng/mL ( < 9)
+ Đông máu: PT %: 73 , IRN: 1.24 (PT: 70-140%, IRN: 0.85-1.2)
+ Hóa sinh máu: Creatinin: 5.5 µmol/L (45-90)
Bilirubin toàn phần: 11.8 µmol/L (< 17.0),  AST/ALT: 34/28 U/L (< 35)
CRP: 176.4 mg/L (<5), CA 19-9: 1749.8 U/mL (< 35)
+ Công thức máu: HC: 4.52 T/L, BC/BCTT: 5.7/3.5 G/L, TC: 141 G/L
(tiểu cầu giảm nhẹ do xơ gan)
Chẩn đoán: NHIỄM TRÙNG ĐƯỜNG MẬT/ THEO DÕI U GAN 
Điều trị lúc nhập viện: Điều trị kháng sinh tích cực, hỗ trợ điều trị triệu chứng (giảm đau, bù dịch)
Cụ thể: Ceftriaxone 2g/ ngày; Ciprofloxaxin 400mg/ ngày; paracetamol 500ng khi đau nhiều hoặc sốt cao, cách nhau ít nhất 6h; natri clorid 0.9% 500ml/ ngày.
Lâm sàng trong quá trình điều trị:
- Bệnh nhân tỉnh
- Không sốt trong quá trình điều trị
- Cải thiện tình trạng đau, ăn được
- Thể trạng tốt
- Ngoài ra chưa phát hiện thêm triệu chứng bất thường
Cận lâm sàng tiếp theo:
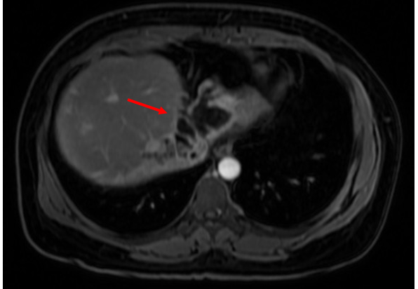
- MRI gan – mật (29/11): Hình ảnh dày đường mật gan trái kèm các đám ngấm thuốc muộn quanh đường mật gan trái (kích thước 68 x 23 mm) – theo dõi viêm mạn tính, chưa loại trừ u đường mật. Xơ gan. Giãn tĩnh mạch cửa (Hình 2).
 
Hình 2. Hình ảnh giãn và dày đường mật gan trái (mũi tên đỏ) và không còn thấy các nốt ngấm thuốc trên MRI sau điều trị kháng sinh
- Sinh thiết u gan, mô bệnh học: Để khẳng định có u khan hay không, bệnh nhân đã được chỉ định sinh thiết khối ở gan, kết quả là Không thấy tế bào ác tính

Ngày

Bạch cầu/ Bạch cầu trung tính (G/L)

CRP (mg/L)

AST/ALT

(U/L)

CA 19-9

(U/mL)

TC (G/L)

Hb (g/L)

17/11

5.7/3.5

176.4

34/28

1749.8

141

131

01/12

6.4/2.9

2.1

59/64

255.0

351

129


 Chỉ số CRP giảm từ 176.4 còn 2.1 (gợi ý tình trạng nhiễm trùng được cải thiện), tương tự với chỉ số CA 19-9 giảm từ 1749.8 -> 255 (gợi ý dấu hiệu tăng trong nhiễm trùng trong đường mật).
* Bệnh nhân đã được hội chẩn Hội đồng chuyên môn tiêu hóa (Sau khi đánh giá và thảo luận đưa đến kết luận):
Chẩn đoán: Nhiễm khuẩn đường mật
Hướng xử trí: Tiếp tục điều trị kháng sinh hết 14 ngày.
Sau đó ra viện, tái khám sau 1 tháng.

Kết luận:
Các dấu ấn ung thư có vai trò quan trọng trong việc đánh giá hiệu quả điều trị, gợi ý tổn thương mới, bệnh tiến triển hay bệnh ổn định, từ đó đưa ra chiến lược điều trị chính xác, đem lại tối ưu hiệu quả điều trị cho người bệnh… Các dấu ấn ung thư có thể gợi ý tình trạng bất thường về xuất hiện tế bào ác tính trong cơ thể. Dấu ấn ung thư CA 19-9 không chỉ tăng trong ung thư đường mật mà còn tăng trong bệnh lý lành tính đường mật như nhiễm trùng đường mật,…Vì vậy, việc chẩn đoán xác định ung thư hầu hết các trường hợp dựa vào tiêu chẩn vàng là mô bệnh học.

Tài liệu tham khảo
1. GS. TS Tạ Thành Văn, Hóa sinh lâm sàng, Nhà xuất bản y học, 2013, Hà Nội, “Dấu ấn ung thư”, Tr 263-269.
2. Hướng dẫn chẩn đoán và điều trị một số bệnh ung thư, Bộ Y Tế, Nhà Xuất Bản Y học, Hà Nội,  2020. 
3. José Donizeti de MEIRA-JÚNIOR,  Thiago Nogueira COSTA,  Andre Luis MONTAGNINI, Sergio Carlos NAHAS,  and Jose JUKEMURA , Elevated Ca 19-9 In An Asymptomatic Patient: What Does It Mean?, 2022. https://doi.org/10.1590%2F0102-672020220002e1687. 

Tin liên quan