CA LÂM SÀNG: ĐIỀU TRỊ UNG THƯ PHỔI GIAI ĐOẠN MUỘN CÓ DI CĂN NÃO, TUYẾN THƯỢNG THẬN TẠI TRUNG TÂM Y HỌC HẠT NHÂN VÀ UNG BƯỚU, BỆNH VIỆN BẠCH MAI

Ngày đăng: 24/12/2024 Lượt xem 2396
CA LÂM SÀNG: ĐIỀU TRỊ UNG THƯ PHỔI GIAI ĐOẠN MUỘN CÓ DI CĂN NÃO, TUYẾN THƯỢNG THẬN TẠI TRUNG TÂM Y HỌC HẠT NHÂN VÀ UNG BƯỚU, BỆNH VIỆN BẠCH MAI

GS.TS Mai Trọng Khoa(1,2), PGS.TS Phạm Cẩm Phương(1,2), BSCKII Lê Viết Nam(1), Sinh viên Lê Minh Phát(2)
1Trung tâm Y học hạt nhân và Ung bướu - Bệnh viện Bạch Mai
2Trường Đại học Y Dược- Đại học Quốc Gia Hà Nội


Theo GLOBOCAN 2022, trên thế giới, ung thư phổi đứng đầu về số ca mới mắc (với gần 2,5 triệu ca, chiếm 12,4% tổng số ca mới mắc) và đứng đầu về tỷ lệ tử vong (với 1,8 triệu ca, chiếm 18,7% tổng số ca tử vong). Theo một thống kê của Bộ Y Tế, tại Việt Nam năm 2020, tỷ lệ mắc ung thư phổi xếp thứ 2 với 26.262 ca mắc mới chiếm 14.4%, và 23.797 ca tử vong vì căn bệnh này.Theo Hiệp hội Phổi Hoa Kỳ, tỷ lệ sống qua 5 năm trung bình ở những bệnh nhân ung thư phổi là dưới 20% (18,6%). Một trong những lý do dẫn tới kết quả này là việc chẩn đoán muộn, khi bệnh đã tiến triển khiến việc điều trị khó khăn hơn và kém hiệu quả hơn. Thống kê cho thấy chỉ khoảng 30% bệnh nhân ung thư phổi đến viện ở giai đoạn sớm. 

Dưới đây chúng tôi xin giới thiệu một trường hợp ung thư phổi không tế bào nhỏ giai đoạn muộn, đã có di căn não, tuyến thượng thận, hạch thượng đòn, hạch ổ bụng được điều trị tại Trung tâm Y học hạt nhân và Ung bướu - Bệnh viện Bạch Mai:
Họ và tên bệnh nhân: Nguyễn V. T.                      Giới: Nam                            Tuổi: 70
Địa chỉ: Thành phố Thanh Hóa - tỉnh Thanh Hóa
Ngày vào viện: 08/07/2024
Lý do vào viện: Ho nhiều, khó thở
Bệnh sử: 
Cách vào viện hai tháng, bệnh nhân ở nhà xuất hiện ho nhiều, đôi khi có đờm đặc, kèm khó thở khi đi lại, mệt mỏi, ăn ngủ kém không sốt, không ho ra máu, gầy sút khoảng 3kg/2 tháng. 
Bệnh nhân đến khám tại Bệnh viện Bạch Mai được chụp phim cắt lớp vi tính phát hiện u thùy dưới phổi trái. Bệnh nhân được nhập viện trung tâm Y học hạt nhân và Ung bướu - Bệnh viện Bạch Mai điều trị.
Tiền sử: Đái tháo đường type 2, tăng huyết áp 3 năm điều trị thường xuyên. 
Khám lâm sàng: 
Bệnh nhân tỉnh
Da niêm mạc kém hồng
PS (performance status: chỉ số toàn trạng): 1
Không sốt
Ho khan, ho đờm đặc 
Khó thở nhẹ, khó thở tăng lên khi đi lại, hoạt động nhẹ và vừa
Không đau tức ngực 
Ăn kém, không buồn nôn, không nôn
Thể trạng trung bình: Cân nặng: 62 kg         Chiều cao: 168cm      BMI: 22 kg/m²
Tim đều, tiếng tim T1, T2 rõ, không có tiếng tim bệnh lý
Rì rào phế nang đáy phổi trái giảm
Không rale
Bụng mềm, không chướng, gan lách không sờ thấy
Không yếu liệt, cơ lực chi trên 5/5, cơ lực chi dưới 5/5
Đại tiểu tiện bình thường
Các cơ quan khác chưa phát hiện bất thường.
Cận lâm sàng: 
Công thức máu: Hồng cầu: 4,46 T/L, Bạch cầu: 8,6 G/L, Bạch cầu đa nhân trung tính: 5,7 G/L, Tiểu cầu: 308 G/L (trong giới hạn bình thường)
Hóa sinh máu: Ure: 7,4 mmol/l, Creatinin 104 micromol/l, GOT: 15 U/L, GPT: 21 U/L, Albumin: 39,9 g/l. (trong giới hạn bình thường)  Glucose: 8,7 (tăng) 
Đông máu: PT(s):11,6 giây; PT (%): 101,0%; INR: 0,99 (trong giới hạn bình thường)
Chất chỉ điểm khối u (Tumor marker):  CEA: 3,68 ng/mL(trong giới hạn bình thường) ; Cyfra 21-1: 54,61 ng/mL (tăng cao) 
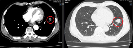
Chụp cắt lớp vi tính lồng ngực: Thùy dưới phổi trái có khối tỷ trọng tổ chức kích thước 30x21mm sau tiêm ngấm thuốc, thượng đòn phải và trung thất có vài hạch, nhóm 2, 4 lớn nhất kích thước 16x17mm, bờ rõ, ngấm thuốc sau tiêm.
 
Hình 1: Hình ảnh cắt lớp vi tính lồng ngực: Phổi trái có khối tỷ trọng tổ chức kích thước 30x21mm sau tiêm ngấm thuốc (vòng trong màu đỏ)
Chụp cắt lớp vi tính ổ bụng: Dọc động mạch chủ có vài hạch, lớn nhất kích thước 11x8mm, bờ rõ, ngấm thuốc sau tiêm. Tuyến thượng thận trái dày thân tuyến 12mm, không tạo nốt khu trú.
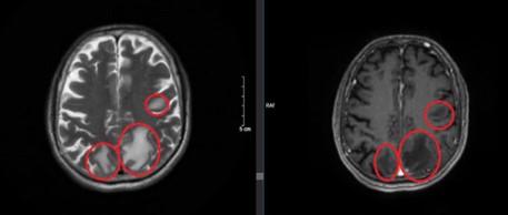
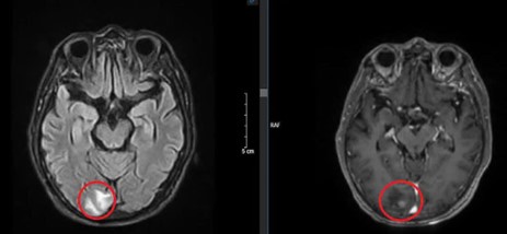
Chụp cộng hưởng từ sọ não: Nhu mô não vùng trên lều tiểu não có các nốt tổn thương nhu mô não dưới vỏ thuỳ trán trái, thùy đỉnh hai bên và thùy chẩm phải, đường kính ổ tổn thương lớn nhất 12mm, ngấm thuốc mạnh sau tiêm, có phù não rộng xung quanh.
   
Hình 2: Hình ảnh cộng hưởng từ sọ não: Các nốt tổn thương nhu mô não ngấm thuốc mạnh sau tiêm, có phù não rộng xung quanh (vòng tròn màu đỏ)(B: Thùy chẩm, A,C: Thùy đỉnh)
Sinh thiết u phổi dưới hướng dẫn chụp cắt lớp vi tính: Ung thư biểu mô tuyến nguồn gốc tại phổi 
Xét nghiệm đột biến gen: Không phát hiện đột biến gen EGFR, ALK.
Xét nghiệm sinh thiết nhuộm hóa mô miễn dịch: Ung thư biểu mô tuyến nguồn gốc phổi TPS=90%.
Chẩn đoán xác định: 
Ung thư biểu mô tuyến phổi trái, di căn hạch thượng đòn, hạch trung thất, thượng thận trái, não giai đoạn IV (T1N3M1), EGFR (-), ALK (-)
Điều trị: 
Phác đồ: –Pemetrexed – Carboplatin - Pembrolizumab.   Số đợt: 4     Chu kỳ: 21 ngày
-  Pemetrexed 500mg/m2 da  truyền tĩnh mạch ngày 1.
- Carboplatin AUC 5 truyền tĩnh mạch ngày 1.
- Pembrolizumab 200mg truyền tĩnh mạch ngày 1.
Đánh giá sau điều trị 3 chu kỳ:
Lâm sàng: Bệnh nhân ổn định, thể trạng gầy, hết khó thở, không sốt, bụng mềm, rì rào phế nang rõ, không rale.
Công thức máu: 

Chỉ số

Trước điều trị

Sau 1 chu kỳ

Sau 2 chu kỳ

Sau 3 chu kỳ

Giá trị bình thường

RBC

4.67

4.34

4.16

3.51

4.4-5.9 T/L

HGB

141

138

127

116

136-175 g/L

HCT

0.438

0.412

0.385

0.343

0.41-0.53 L/L


Miễn dịch:

Chỉ số

Trước khi điều trị

Sau 3 chu kỳ

Giá trị bình thường

CEA

3.68

4.02

<= 5.0 ng/mL

Cyfra 21-1

54.61

3.75

<= 2.37 ng/mL


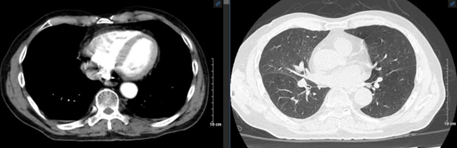
Hình ảnh chụp cắt lớp vi tính lồng ngực sau 3 chu kỳ điều trị hóa chất:
Trước điều trị  


Sau điều trị  


Hình 3: Hình ảnh chụp cắt lớp vi tính lồng ngực trước và sau điều trị 
Nhận xét: Trước điều trị hóa chất thùy dưới phổi trái có khối tỷ trọng ngấm thuốc, thượng đòn phải và trung thất có vài hạch, nhóm 2, 4 bờ rõ, ngấm thuốc sau tiêm, các hạch dọc động mạch chủ bụng ngấm thuốc, tuyến thượng thận trái dày thân tuyến, tuy nhiên sau điều trị hóa chất 3 chu kỳ, không thấy hình ảnh khối tỷ trọng ở phổi, các hạch ở trung thất, thượng đòn, dọc động mạch chủ bụng cũng như hình ảnh dày thận tuyến thượng thận.
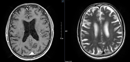
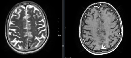
 Hình ảnh chụp cộng hưởng từ sọ não sau 3 chu kỳ điều trị hóa chất:
Trước điều trị   
 

Sau điều trị  
 
 Hình 4: Hình ảnh chụp cộng hưởng từ sọ não trước và sau điều trị 
Nhận xét: Trước điều trị hóa chất xuất hiện hình ảnh nhu mô não có các nốt tổn thương nhu mô não hai bên ngấm thuốc mạnh sau tiêm, có phù não rộng xung quanh, tuy nhiên sau điều trị hóa chất 3 chu kỳ, không còn thấy hình ảnh tổn thương thứ phát tại não.

Tóm tắt: 
Bệnh nhân nam 70 tuổi
Chẩn đoán: Ung thư phổi trái di căn não, thượng thận, giai đoạn T1N3M1
Điều trị: pemetrexed – carboplatin – pembrolizumab 
Sau điều trị 3 chu kỳ, đánh giá bệnh đáp ứng hoàn toàn. 
Bệnh nhân tiếp tục được điều trị duy trì pembrolizumab đơn chất 

Tin liên quan