CASE LÂM SÀNG: CHẨN ĐOÁN VÀ ĐIỀU TRỊ U XƠ DẠNG GÂN (U DESMOID) SAU PHÚC MẠC TẠI TRUNG TÂM Y HỌC HẠT NHÂN VÀ UNG BƯỚU, BỆNH VIỆN BẠCH MAI

Ngày đăng: 11/12/2024 Lượt xem 1194
CASE LÂM SÀNG:
CHẨN ĐOÁN VÀ ĐIỀU TRỊ U XƠ DẠNG GÂN (U DESMOID) SAU PHÚC MẠC TẠI TRUNG TÂM Y HỌC HẠT NHÂN VÀ UNG BƯỚU, BỆNH VIỆN BẠCH MAI
GS.TS Mai Trọng Khoa, BSNT.Mai Thị Quỳnh,  PGS.TS Phạm Cẩm Phương, Ths.BSNT. Phạm Minh Lanh, 
                                                         Trung tâm Y học hạt nhân và Ung bướu- Bệnh viện Bạch Mai
                                                                         Trường Đại học Y Dược- Đại học Quốc Gia Hà Nội
 Trường Đại học Y Hà Nội
                                                                        
U desmoid (U xơ dạng gân) là khối u biểu hiện tại chỗ, không có tiềm năng di căn hoặc mất biệt hóa. Thuật ngữ desmoid bắt nguồn từ tiếng Hy Lạp, trong đó “desmos” có nghĩa là dạng dải hoặc dạng gân, được mô tả lần đầu vào những năm 1800 cho những khối u có đậm độ như gân. Mặc dù không có khả năng di căn xa nhưng u desmoid có khả năng xâm lấn và phá hủy các mô xung quanh, đặc biệt là trong trường hợp đa polyp đại tràng có tính gia đình. Đây là một loại u hiếm gặp và tỷ lệ mắc ước tính 2-4/1 triệu người mỗi năm trên thế giới. Hầu hết u desmoid thường biểu hiện là các khối u không triệu chứng, tiến triển chậm, nằm sâu trong cơ thể. Ba vị trí hay gặp nhất là thân mình/tứ chi, thành bụng và trong ổ bụng (ruột và mạc treo). Khoảng 5-15% u desmoid có liên quan đến hội chứng đa polyp đại tràng có tính chất gia đình. Do đó, khi phát hiện u desmoid cần tầm soát hội chứng này bằng nội soi đại trực tràng cũng như khai thác kỹ tiền sử bản thân và gia đình bệnh nhân. Không có đặc điểm trên chẩn đoán hình ảnh hay chỉ điểm u nào là đặc trưng cho u desmoid. Chẩn đoán u desmoid cần dựa trên giải phẫu bệnh qua bệnh phẩm sinh thiết kim hoặc bệnh phẩm mổ. 
Sau đây, chúng tôi xin trình bày một trường hợp lâm sàng bệnh nhân U Desmoid sau phúc mạc đã được phẫu thuật tại Bệnh viện Bạch Mai:
Họ và tên: Nguyễn Văn H.                          Giới: Nam                           Tuổi: 66
Lý do vào viện: tình cờ phát hiện u sau phúc mạc
Bệnh sử: Bệnh nhân đi khám thoát vị bẹn tình cờ phát hiện u sau phúc mạc, không có biểu hiện đau bụng, đại tiểu tiện bình thường, không gầy sút cân.
Tiền sử: Đái tháo đường, Tăng huyết áp nhiều năm đang điều trị thường xuyên. 
Thoát vị bẹn phải.
Khám lâm sàng:
Bệnh nhân tỉnh, PS 0
Huyết động ổn
Da niêm mạc hồng
Không sốt, không đau bụng
Bụng mềm, không chướng, ấn không đau
Đại tiểu tiện bình thường
Các cơ quan khác chưa phát hiện bất thường
Cận lâm sàng:
- Công thức máu: Hồng cầu: 4.36 T/L, Bạch cầu: 6.77 G/L, Tiểu cầu: 239 G/L (trong giới hạn bình thường)
- Hóa sinh máu: Ure:5.6 mmol/l, Creatinin 32 mol/l, GOT: 9 U/L, GPT: 10 U/L (trong giới hạn bình thường)
- Đông máu: PT(s):13.4 , PT (%): 91.8, INR: 1.06 (trong giới hạn bình thường)
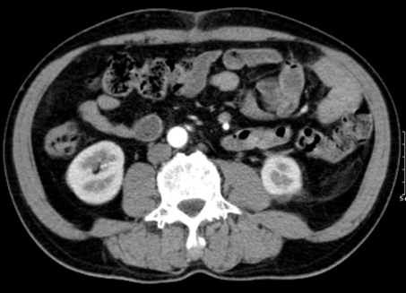
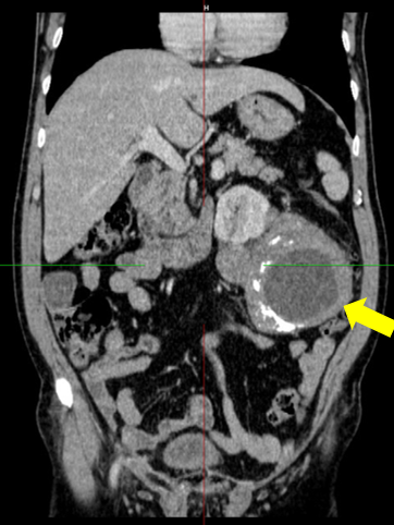
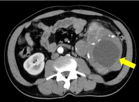
- Chụp cắt lớp vi tính ổ bụng: Vùng mạn sườn trái có tổn thương kích thước ~ 108x114x130mm, tỷ trọng hỗn hợp gồm phần dịch trung tâm và phần đặc, kèm vài nốt vôi hóa rải rác, phần đặc ngấm thuốc không đồng nhất sau tiêm, thâm nhiễm xung quanh. Tổn thương đè đẩy thận trái lên trên, vào trong, có phần ranh giới không rõ với thận trái.
 

Hình 1: Hình ảnh chụp cắt lớp vi tính bụng: u vùng mạn sườn trái có tổn thương tỷ trọng hỗn hợp kèm vài nốt vôi hóa rải rác, thâm nhiễm xung quanh (mũi tên vàng).
- Chụp cắt lớp vi tính lồng ngực: 

Hình 2: Hình ảnh chụp cắt lớp vi tính ngực: chưa phát hiện tổn thương nghi ngờ thứ phát
- Nội soi dạ dày, đại trực tràng: Polyp trực tràng kích thước 0,5cm
 
Hình 3: Hình ảnh polyp trực tràng kích thước 0,5cm
- Chẩn đoán sơ bộ: U sau phúc mạc/ Thoát vị bẹn phải/ Tăng huyết áp - Đái tháo đường
Bệnh nhân đã được phẫu thuật cắt u sau phúc mạc – phục hồi thành bụng theo Bassini tại Trung tâm Phẫu thuật Tiêu hóa, bệnh viện Bạch Mai. 
Mô tả trong mổ: Khối u sau phúc mạc bên trái kích thước 15cm, ôm quanh thận trái, ranh giới rõ với thận. Thoát vị bẹn phải gián tiếp nội dung là mạc nối lớn.
Kết quả giải phẫu bệnh sau mổ: U tế bào hình thoi. 
Nhuộm hóa mô miễn dịch: 
 SMA: dương tính; CD99: dương tính; Beta Catenin: dương tính; CyclinD1: dương tính; S100: âm tính; CD34: âm tính; STAT6: âm tính; Calretinin: âm tính; h-Caldesmon (nền); Ki67 dương tính ~5%. 
Chẩn đoán mô bệnh học: Hình ảnh mô bệnh học và hóa mô miễn dịch phù hợp với Desmoid fibromatosis (U xơ dạng gân)

- Chẩn đoán xác định: U desmoid ở sau phúc mạc đã phẫu thuật/ Thoát vị bẹn phải đã phẫu thuật/ Tăng huyết áp – Đái tháo đường 
- Đánh giá lại sau mổ 1 tháng:
Lâm sàng: 
Bệnh nhân tỉnh
Huyết động ổn
Không đau bụng
Bụng mềm, không chướng, vết mổ liền tốt
 Chụp cắt lớp vi tính ổ bụng:
 
Hình 4: Hình ảnh chụp cắt lớp vi tính bụng: chưa phát hiện tổn thương bất thường
Bệnh nhân tiếp tục được theo dõi định kỳ tại Trung tâm Y học hạt nhân và Ung bướu Bệnh viện Bạch Mai.
Bàn luận:
Với những bệnh nhân mới chẩn đoán u desmoid không triệu chứng hoặc không có nguy cơ tiến triển xâm lấn các cơ quan lân cận có thể theo dõi định kỳ mỗi 3 đến 6 tháng. Với các khối u có triệu chứng, việc điều trị cần phối hợp nhiều phương pháp dựa trên vị trí u, có liên quan đến hội chứng FAP hay không, tác dụng không mong muốn của các phương pháp điều trị và cần đáp ứng nhanh hay không. 
Với bệnh nhân có triệu chứng nguy hiểm đến tính mạng như tắc ruột, phẫu thuật là phương pháp được ưu tiên. Mục tiêu phẫu thuật cố gắng đạt diện cắt R0 hoặc R1 và đảm bảo chức năng cơ quan. Thống kê cho thấy các bệnh nhân có diện cắt R0 và R1 có tiên lượng tương tự nhau. 
Sau phẫu thuật đạt diện cắt R0 hoặc đáp ứng hoàn toàn trên chẩn đoán hình ảnh, bệnh nhân có thể chỉ cần theo dõi định kỳ. Tỷ lệ tái phát là tương đương khoảng 50% trong 5 năm với cả trường hợp theo dõi và điều trị xạ trị hoặc hóa chất bổ trợ. Trường hợp diện cắt R1 có thể phẫu thuật lại hoặc theo dõi hoặc xạ trị bổ trợ nếu u ở vị trí thuận lợi không có các cơ quan nguy cấp chịu độc tính xạ trị. Bệnh nhân có diện cắt R2 sau phẫu thuật mà không thể phẫu thuật lại được điều trị như trường hợp không phẫu thuật được. 
Với bệnh nhân không có khả năng phẫu thuật, có thể cân nhắc sử dụng xạ trị hoặc điều trị toàn thân nhưng những phương pháp này cần đến vài tuần đến vài tháng mới có đáp ứng. Do số lượng bệnh nhân không nhiều, các thuốc sử dụng trong u desmoid còn hạn chế về bằng chứng cho kết quả điều trị.   Đối với bệnh nhân này, khối u kích thước lớn (~ 108x114x130mm), nguy cơ tắc ruột cao, u gây đè đẩy thận trái, có phần ranh giới không rõ với thận trái, phẫu thuật là phương pháp cần được lựa chọn, mang lại nhiều hiệu quả. 
Đối với bệnh nhân này,  bệnh nhân đã được tầm soát nội soi đại trực tràng chỉ có 1 polyp kích thước 5mm và khai thác tiền sử gia đình không liên quan đến hội chứng đa polyp có tính chất gia đình, đánh giá sau mổ đã lấy hết tổn thương u, do đó bệnh nhân được chỉ định tiếp tục theo dõi định kỳ sau phẫu thuật bằng cắt lớp vi tính và nội soi đại trực tràng và các xét nghiệm thường quy khác.
TÀI LIỆU THAM KHẢO CHÍNH
1. NCCN guidelines version 3.2024, Soft tissue sarcoma.

Tin liên quan