CA LÂM SÀNG ĐIỀU TRỊ BỆNH NHÂN UNG THƯ PHỔI CÓ ĐỘT BIẾN EGFR GIAI ĐOẠN MUỘN TẠI TRUNG TÂM Y HỌC HẠT NHÂN VÀ UNG BƯỚU, BỆNH VIỆN BẠCH MAI

Ngày đăng: 27/11/2024 Lượt xem 1728
CA LÂM SÀNG
ĐIỀU TRỊ BỆNH NHÂN UNG THƯ PHỔI CÓ ĐỘT BIẾN EGFR GIAI ĐOẠN MUỘN TẠI TRUNG TÂM Y HỌC HẠT NHÂN VÀ UNG BƯỚU, BỆNH VIỆN BẠCH MAI
GS.TS. Mai Trọng Khoa, PGS. TS Phạm Cẩm Phương, BS Lê Viết Nam, SV. Nguyễn Thị Minh Nguyệt
Trung tâm Y học hạt nhân và Ung bướu – Bệnh viện Bạch Mai
Trường Đại học Y Dược Đại học Quốc gia Hà Nội
 

Theo GLOBOCAN 2022, trên thế giới ung thư phổi đứng đầu về số ca mắc mới (với gần 2,5 triệu ca, chiếm 12,4% tổng số ca mắc mới) và đứng đầu về tỷ lệ tử vong (với 1,8 triệu ca, chiếm 18,7% tổng số ca tử vong). Tại Việt Nam, mỗi năm phát hiện khoảng 24500 ca mắc mới, và khoảng 22500 ca tử vong, như vậy ung thư phổi đứng thứ 3 về số ca mắc mới       (sau ung thư vú và ung thư gan), đứng thứ 2 về số ca tử vong (chỉ sau ung thư gan). Ung thư phổi thường gặp ở người lớn tuổi, 90% các ca ung thư phổi được chẩn đoán sau tuổi 55, tuổi trung bình mắc ung thư phổi là 70. Tỷ lệ mắc bệnh và tử vong ở nam giới cao gấp hai lần so với nữ giới.
  Theo mô bệnh học ung thư phổi được chia thành hai nhóm chính là ung thư phổi tế bào nhỏ và ung thư phổi không tế bào nhỏ, trong đó ung thư phổi không tế bào nhỏ chiếm chủ yếu đến 80-85% và là nhóm có nhiều lựa chọn phương pháp điều trị và tiên lượng tốt hơn. 
Gần đây các nghiên cứu đã chỉ ra một số gen liên quan đến tiên lượng và hướng điều trị đối với bệnh nhân ung thư phổi không tế bào nhỏ như EGFR, ALK, ROS1… Hiện nay đã có nhiều phác đồ điều trị đích hướng tới nhóm bệnh nhân có đột biến tại những gen này đem lại hiệu quả điều trị tốt hơn cho các bệnh nhân.
Dưới đây chúng tôi xin giới thiệu một trường hợp ung thư phổi không tế bào nhỏ giai đoạn muộn có đột biến gen được điều trị tại Trung tâm Y học hạt nhân và Ung bướu - Bệnh viện Bạch Mai.

Hành chính
- Họ và tên: T.T.M
- Giới tính: Nữ
- Tuổi: 76
- Địa chỉ: Huyện Tiên Du, Tỉnh Bắc Ninh

Tiền sử: 
- Bản thân: Phẫu thuật cắt toàn bộ tuyến giáp do ung thư cách nhiều năm, đang duy trì điều trị hormon 
- Gia đình: Chưa ghi nhận bệnh lý liên quan

Bệnh sử:
Tháng 12/2021, bệnh nhân xuất hiện đau ngực trái tăng dần kèm ho khan, khó thở nhẹ, ăn uống kém, không sốt. Đi khám tại Bệnh viện Bạch Mai được chụp cắt lớp vi tính lồng ngực phát hiện: Thuỳ trên phổi trái có khối đặc kích thước 20x21mm, bờ không rõ, co kéo xung quanh, nhiều nốt di căn phổi hai bên, thân đốt sống, dịch màng phổi bên phải 36mm, bên phải 20mm, dịch màng ngoài tim.
 
Hình 1: Hình ảnh trước điều trị: Ở thuỳ trên phổi trái có khối đặc kích thước 20x21mm,nhiều nốt di căn phổi hai bên, dịch màng phổi hai bên.
Xét nghiệm chất chỉ điểm khối u CEA kết quả là 1120.81 ng/ml tăng rất cao so với người bình thường (< 4,3 ng/ml), Cyfra 84.99 ng/ml (tăng cao)
Được chọc dịch màng phổi làm Cell block kết quả: Ung thư biểu mô tuyến di căn nguồn gốc phổi. Xét nghiệm gen EGFR phát hiện đột biến L861Q trên exon 21, không phát hiện đột biến T790M trên exon 20.
Bệnh nhân được chụp cộng hưởng từ sọ não, cắt lớp ổ bụng, siêu âm vùng cổ phát hiện: khối ngấm thuốc vị trí liềm đại não lệch trái kích thước 21x10mm, các ổ tổn thương vòm sọ hai bên, ổ lớn đường kính 15mm.

Chẩn đoán: Ung thư phổi trái biểu mô tuyến EGFR (+) di căn màng phổi, màng tim, não, giai đoạn IV

Điều trị: 
Sau hội chẩn bệnh nhân được chỉ định dùng thuốc điều trị đích phân tử nhỏ Afatinib 40mg/ngày 
Đánh giá sau điều trị bằng thuốc đích Afatinib
- Lâm sàng: Bệnh nhân ổn định
- Công thức máu: Trong giới hạn bình thường
- Sinh hoá: 

Ch s

Trưc điu tr

Sau 3 tháng

Sau 5 tháng

Sau 6 tháng

Sau 10 tháng

Sau 13 tháng

CEA (ng/ml)

1120.81

28.57

7.56

5.58

7.04

10.24


Nồng độ chất chỉ điểm khối u CEA trước điều trị  tăng cao hàng nghìn lần so với giá trị bình thường, nhưng sau điều trị giá trị này đã giảm dần gần với giá trị bình thường

- Chụp cắt lớp vi tính lồng ngực:
+ Sau điều trị 3 tháng:
 
Hình 2: Kích thước khối u sau điều trị đã giảm và nhỏ lại nhiều, giảm rõ rệt tràn dịch màng phổi so với trước điều trị
+ Sau điều trị 7 tháng:
 
Hình 3: Tổn thương giảm kích thước so với phim chụp sau điều trị 3 tháng, màng phổi hai bên không thấy dịch-khí
+ Sau điều trị 18 tháng:
 
Hình 4: Hình ảnh nốt đặc thùy trên phổi trái đường kính 9mm, màng phổi hai bên không thấy dịch-khí
- Bệnh nhân đáp ứng tốt với điều trị thuốc đích, tổn thương tại phổi giảm đi đáng kể, chỉ số CEA giảm nhanh.
Quá trình tái phát sau điều trị: 
Tháng 03/2024, sau 27 tháng điều trị afatinib bệnh nhân xuất hiện đau đầu, đau xương hông nhiều, bệnh tiến triển. Vào viện trong tình trạng: 
- Bệnh nhân tỉnh
- Không sốt, không khó thở
- Đau đầu, buồn nôn
- Đau xương hông, xương đùi
Cận lâm sàng: 
- Chất chỉ điểm khối u CEA: 165.9 ng/ml
- Chụp cắt lớp ổ bụng: Hình ảnh tổn thương đa ổ cột sống thắt lưng - cùng, khung chậu và đầu trên xương đùi hai bên.
- Cộng hưởng từ sọ não: Hình ảnh các nốt tổn thương rải rác hai bán cầu đại não và cầu não, nốt lớn thuỳ chẩm trái kích thước 10x15mm, phù não xung quanh.
- Xét nghiệm đột biến EGFR huyết tương: Không phát hiện đột biến T790M. 
Điều trị: Bệnh nhân được chỉ định điều trị hoá chất:
Pemetrexed 500mg/m2 truyền tĩnh mạch
Chu kỳ 21 ngày
Đánh giá sau điều trị hoá chất:
- Lâm sàng: Bệnh nhân ổn định, không đau bụng, không vàng mắt vàng da
- Công thức máu: Trong giới hạn bình thường
- Sinh hoá: 

Ch s

Trưc điu tr hoá cht

Sau 1 chu k

Sau 4 chu k

CEA (ng/ml)

165.9

151.5

59.26


Nồng độ chất chỉ điểm khối u CEA đã giảm rõ rệt so với trước điều trị
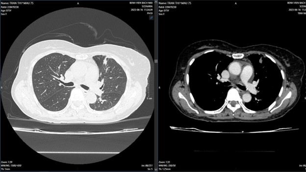
- Chụp cắt lớp vi tính lồng ngực: sau 3 chu kỳ điều trị hoá chất
 
Hình 5: Hình ảnh chụp CT ngực: Tổn thương khu trú thuỳ trên phổi trái kích thước 12x20mm kèm vài nốt đặc dạng kẽ thuỳ trên phổi trái, đặc xương các thân đốt sống ngực, không có tràn dịch màng phổi.
- Bệnh nhân đáp ứng khá tốt với phác đồ điều trị hoá chất, chất chỉ điểm khối u CEA có xu hướng giảm, kích thước khối u giảm, không còn tràn dịch màng phổi trên cắt lớp vi tính. 

Như vậy: Bệnh nhân trên là một trường hợp Ung thư biểu mô tuyến phổi trái giai đoạn IV có đột biến gen EGFR (+), có di căn màng phổi, màng tim, não, xương đã được điều trị thuốc đích Afatinib từ năm 2021 và điều trị toàn thân bằng Pemetrexed từ năm 2024. Sau điều trị bệnh nhân đáp ứng tốt, kéo dài thời gian sống thêm, chất lượng cuộc sống được nâng cao.

Tin liên quan