CASE LÂM SÀNG: ĐIỀU TRỊ MIỄN DỊCH BỆNH NHÂN UNG THƯ HẮC TỐ DI CĂN HẠCH, PHỔI TẠI TRUNG TÂM Y HỌC HẠT NHÂN VÀ UNG BƯỚU, BỆNH VIỆN BẠCH MAI.

Ngày đăng: 11/12/2024 Lượt xem 1377
CASE LÂM SÀNG:  
ĐIỀU TRỊ MIỄN DỊCH BỆNH NHÂN UNG THƯ HẮC TỐ DI CĂN HẠCH, PHỔI
TẠI TRUNG TÂM Y HỌC HẠT NHÂN VÀ UNG BƯỚU, BỆNH VIỆN BẠCH MAI.
GS.TS Mai Trọng Khoa, BSNT. Mai Thị Quỳnh,  PGS.TS Phạm Cẩm Phương, TS. Phạm Văn Thái, TS. Nguyễn Thanh Hùng, 
                                                               Trung tâm Y học hạt nhân và Ung bướu- Bệnh viện Bạch Mai
                                                                                                                        Trường Đại học Y Hà Nội
                                                                               Trường Đại học Y Dược- Đại học Quốc Gia Hà Nội

Ung thư hắc tố là những u tế bào sinh hắc tố melanin trên da hoặc các cơ quan khác (ống hậu môn, đại tràng, hốc mắt...). Bệnh gặp chủ yếu trên da, thường xuất hiện trên những nốt ruồi. Bệnh thường rất ác tính, di căn xa sớm và gây tử vong cao. Nếu được phát hiện sớm bệnh sẽ làm tăng hiệu quả điều trị và cải thiện tiên lượng. Ngược lại, nếu phát hiện muộn khi bệnh đã có di căn xa (vào hạch hoặc phủ tạng) tiên lượng rất xấu, khó điều trị và hiệu quả kém. Tần suất mắc bệnh trên thế giới đang có xu hướng tăng. Thống kê một số nước cho thấy tần số tăng gấp đôi sau 10-15 năm và tăng dần theo tuổi.

Phương pháp điều trị chính là phẫu thuật. Hóa trị, xạ trị giúp điều trị bổ trợ hoặc điều trị triệu chứng. Ngày nay, cùng với sự phát triển mạnh mẽ của ngành sinh học phân tử, liệu pháp miễn dịch sinh học đã mang lại nhiều hiệu quả trong điều trị ung thư hắc tố giai đoạn tiến xa.

Sau đây, chúng tôi xin giới thiệu một trường hợp lâm sàng bệnh nhân Ung thư hắc tố di căn hạch, di căn phổi được điều trị hiệu quả bằng Pembrolizumab tại Trung tâm y học hạt nhân và ung bướu- Bệnh viện Bạch Mai.
Họ và tên: Đ. T. C.                         Giới: Nữ                           Tuổi: 59
Lý do vào viện: Đau ngực âm ỉ 
Bệnh sử: Năm 2001, bệnh nhân được chẩn đoán Ung thư hắc tố ở gót chân phải, đã phẫu thuật tại Bệnh viện Da liễu Trung ương nhiều lần. 
Kết quả nhuộm hóa mô miễn dịch phù hợp với u hắc tố ác tính. 
Năm 2018, bệnh nhân xuất hiện đau ngực âm ỉ, không ho, không khó thở, không sốt, không gầy sút cân, vào Trung tâm ung bướu đánh giá và điều trị tiếp.
Tiền sử: Tăng huyết áp nhiều năm đang điều trị bằng Coversyl 5mg/ ngày, Betaloc Zok 50mg/ ngày.
Tình trạng lúc vào viện: 
Bệnh nhân tỉnh, tiếp xúc tốt
Không sốt
Đau ngực âm ỉ
Không ho, không khó thở
Không có tổn thương tăng sắc tố bất thường
Thể trạng trung bình: chiều cao: 156cm, cân nặng: 62 kg 
Da niêm mạc hồng
Hạch bẹn phải kích thước 1x1cm, chắc, không đau, không di động
Mạch: 85l/p, Huyết áp: 110/70mmHg
Tim đều, T1T2 nghe rõ
Phổi rì rào phế nang rõ, không ran
Bụng mềm, không chướng, ấn không đau
Xét nghiệm cận lâm sàng: 
- Công thức máu: Hồng cầu: 4,18 T/L, Bạch cầu: 5,08 G/L, Tiểu cầu: 267 G/L (trong giới hạn bình thường)
- Hóa sinh máu: Ure:5,3mmol/l, Creatinin 82mol/l, GOT: 19 U/L, GPT: 11 U/L. (trong giới hạn bình thường)
- Đông máu: PT(s):1, PT (%): 98, INR: 0,85 (trong giới hạn bình thường)
- Siêu âm hạch bẹn: Nhiều hạch bẹn phải,  kích thước lớn nhất 1,2x1cm, mất cấu trúc rốn hạch.
- Bệnh nhân được tiến hành sinh thiết hạch bẹn phải dưới hướng dẫn của siêu âm, kết quả mô bệnh học là: Melanoma di căn, PD-L1 (+)
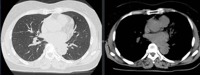
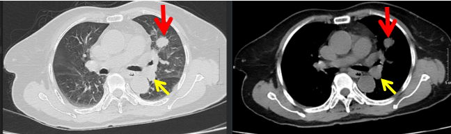
- Chụp cắt lớp vi tính ngực: Hình ảnh u thùy trên phổi trái kích thước 36x28mm, bờ không đều, ngấm thuốc mạnh sau tiêm, rốn phổi trái có vài hạch kích thước lớn nhất 17x19mm, bờ không đều, ngấm thuốc không đều sau tiêm.

  
Hình 1:  Hình ảnh chụp cắt lớp vi tính ngực: U thùy trên phổi trái kích thước 36x28mm (mũi tên màu đỏ), hạch rốn phổi trái (mũi tên màu vàng).

Chẩn đoán xác định: 
Ung thư hắc tố (Melanoma) da gót chân phải di căn hạch bẹn, phổi/ Tăng huyết áp.

Điều trị: Bệnh nhân được điều trị thuốc miễn dịch:
Pembrolizumab 200mg/ ngày, truyền tĩnh mạch ngày 1, chu kỳ 21 ngày. 
Đánh giá đáp ứng sau 4 chu kỳ điều trị thuốc miễn dịch:
Lâm sàng: Bệnh nhân ổn định, không đau tức ngực, không ho, không khó thở, không xuất hiện các nốt tăng sắc tố bất thường trên da, hạch ngoại vi không sờ thấy.
Công thức máu, sinh hóa: trong giới hạn bình thường.
Siêu âm vùng cổ, bẹn: không phát hiện thấy hạch bất thường trên siêu âm.
Kết quả chụp cắt lớp vi tính lồng ngực: 
 
Hình 2:  Hình ảnh chụp cắt lớp vi tính ngực: Không phát hiện các khối, nốt bất thường.

Nhận xét: Sau 4 chu kỳ điều trị Pembrolizumab, không thấy tổn thương ở nhu mô phổi hai bên, hạch ngoại vi không phát hiện cả trên khám lâm sàng và siêu âm.
- Liệu pháp miễn dịch là sử dụng các thuốc ức chế điểm kiểm soát miễn dịch với cơ chế ngăn chặn các protein kiểm soát trên bề mặt các tế bào miễn dịch (tế bào T) liên kết với các protein gắn trên các tế bào khác (như tế bào khối u), từ đó giúp tế bào T nhận diện và tiêu diệt các tế bào ung thư. 
Các thuốc ức chế điểm kiểm soát miễn dịch hiện nay được sử dụng trong điều trị ung thư hắc tố giai đoạn tiến xa, đó là: Các thuốc kháng PD-1 (Nivolumab, Pembrolizumab…), các thuốc kháng PDL-1 (Atezolizumab, Durvalumab…), kháng CTLA-4 (Ipilimumab). 
- Từ ca lâm sàng trên chúng ta nhận thấy hiệu quả điều trị của thuốc ức chế miễn dịch Pembrolizumab trong điều trị ung thư hắc tố giai đoạn di căn. Một vài nghiên cứu cũng cho thấy việc điều trị bằng Pembrolizumab đơn độc hoặc kết hợp với các liệu pháp khác làm tăng tỷ lệ sống thêm bệnh không tiến triển và tỷ lệ sống thêm toàn bộ. Pembrolizumab ngăn chặn sự liên kết giữa PD1 và PDL-1 để làm cho các tế bào lympho T dễ tấn công và tiêu diệt khối u.    

Tin liên quan