Điều trị miễn dịch kết hợp hóa chất bệnh nhân ung thư phổi tế bào nhỏ giai đoạn lan tràn tại Trung tâm Y học hạt nhân và Ung bướu - Bệnh viện Bạch Mai

Ngày đăng: 28/02/2025 Lượt xem 2366
Điều trị miễn dịch kết hợp hóa chất bệnh nhân ung thư phổi tế bào nhỏ giai đoạn lan tràn  tại Trung tâm Y học hạt nhân và Ung bướu - Bệnh viện Bạch Mai

GS.TS. Mai Trọng Khoa, BSNT. Trần Thị Thúy Ngân, PGS.TS. Phạm Cẩm Phương, Ths.BS. Phạm Minh Lanh, 
Trung tâm Y học hạt nhân và Ung bướu, Bệnh viện Bạch Mai

Ung thư phổi tế bào nhỏ (Small Cell Lung Cancer - SCLC) là bệnh lý ác tính chiếm khoảng 10-15% tổng số ca ung thư phổi trên toàn cầu. Theo dữ liệu từ GLOBOCAN 2022, ung thư phổi nói chung là bệnh ung thư phổ biến nhất, đứng đầu về số ca mắc và là nguyên nhân gây tử vong hàng đầu do ung thư, với 1,8 triệu ca tử vong, trong đó SCLC đóng góp tỷ lệ không nhỏ. Bệnh lý này đặc trưng bởi tốc độ tăng sinh nhanh, khả năng di căn sớm, và có mối liên hệ chặt chẽ với hút thuốc lá – yếu tố nguy cơ chiếm hơn 90% các trường hợp mắc bệnh. Mặc dù nhạy cảm với hóa trị và xạ trị, SCLC có tiên lượng xấu, với tỷ lệ sống sót sau 5 năm dưới 10%, đặc biệt ở giai đoạn lan tràn.
Liệu pháp miễn dịch đã mở ra hướng đi mới trong điều trị ung thư phổi tế bào nhỏ (SCLC), đặc biệt ở giai đoạn lan tràn. Các chất ức chế điểm kiểm soát miễn dịch, như atezolizumab và durvalumab (ức chế PD-L1), được kết hợp với hóa trị đã chứng minh cải thiện  thêm thời gian sống toàn bộ (OS) và thời gian sống không bệnh tiến triển (PFS). Trong các thử nghiệm lâm sàng, liệu pháp này đã giúp kéo dài OS trung bình lên khoảng 12-13 tháng so với hóa trị đơn thuần. 
Sau đây chúng tôi xin giới thiệu một trường hợp lâm sàng bệnh nhân ung thư phổi tế bào nhỏ giai đoạn lan tràn được điều trị đáp ứng tốt tại Tại Trung tâm Y học hạt nhân và Ung bướu – Bệnh viện Bạch Mai:

Họ tên: N.V.T, Nam, 59 tuổi
Ngày vào viện: 20/10/2024
Lí do vào viện: Khó thở, nuốt nghẹn.
Tiền sử: Khỏe mạnh
Bệnh sử: Bệnh diễn biến trước vào viện 1,5 tháng, bệnh nhân xuất hiện nuốt nghẹn tăng dần kèm khàn tiếng, đau ngực âm ỉ sau xương ức, không sốt, sau đó, bệnh nhân khó thở tăng dần, đi khám tại Bệnh viện Medlatec được chụp CT ngực phát hiện khối u lớn trong trung thất kèm nhiều hạch trung thất, theo dõi nốt đặc thùy trên phổi phải. Bệnh nhân được nhập viện vào Trung tâm Y học hạt nhân và ung bướu – Bệnh viện Bạch Mai.
Khám lúc vào viện:
- Bệnh nhân tỉnh, tiếp xúc tốt
- Thể trạng trung bình, chiều cao: 168cm, cân nặng: 55kg      
- Mạch: 85 lần/phút, Huyết áp: 120/80mmHg
- Khó thở nhẹ, SpO2 95% tự thở khí phòng.
- Đau tức ngực âm ỉ sau xương ức. Khàn tiếng.
- Hạch thượng đòn trái kích thước ~1x1cm, cứng chắc, di động kém.
- Tim đều, T1, T2 rõ, không có tiếng bất thường
- Phổi: Thông khí đều 2 bên, không rale.
- Bụng mềm, gan lách không to.
- Cơ quan bộ phận khác chưa phát hiện bất thường.
Các xét nghiệm cận lâm sàng:
- Xét nghiệm: công thức máu, chức năng gan thận, điện giải đồ trong giới hạn bình thường; HIV (-), HBsAg (-), HCV (-)
- Xét nghiệm chất chỉ điểm u trong giới hạn bình thường: CEA: 3,19 ng/ml (bình thường: < 4,3 ng/ml).
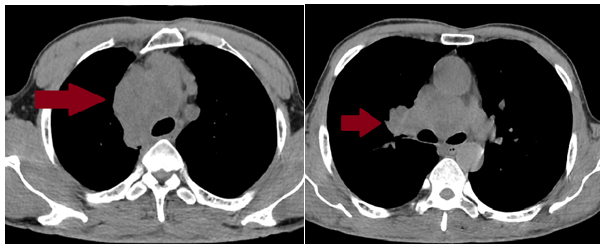
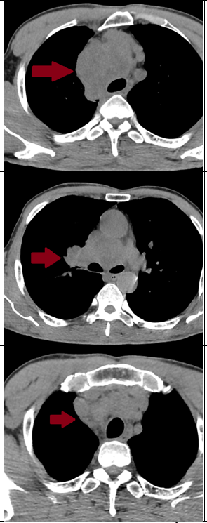
- Chụp cắt lớp vi tính lồng ngực: 
  
Hình 1. Hình ảnh khối lớn trong trung thất giữa KT 81x63x70mm, xu hướng xâm lấn màng phổi trung thất và nhu mô phổi phải vùng rốn phổi, chèn ép bờ phải khí quản, nhiều hạch trung thất kích thước lớn nhất 34x28mm (mũi tên màu đỏ), nốt đặc thùy trên phổi phải theo dõi thứ phát.
- Chụp cắt lớp vi tính ổ bụng: 
 
Hình 2. Hình ảnh chụp CTscanner ổ bụng hiện tại không thấy bất thường.
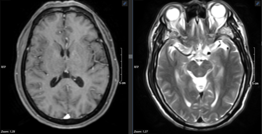
- Chụp cộng hưởng từ sọ não: 
 
Hình 3. Hình ảnh cộng hưởng từ sọ não không thấy tổn thương nghi ngờ thứ phát.
- Siêu âm hạch vùng cổ: Hạch thượng đòn 2 bên kích thước lớn nhất 2,5x3,3cm, mất cấu trúc rốn hạch.           
           - Bệnh nhân được sinh thiết hạch thượng đòn trái, làm xét nghiệm mô bệnh học và nhuộm hoá mô miễn dịch, kết quả: U thần kinh nội tiết tế bào nhỏ di căn
Chẩn đoán xác định:
Ung thư phổi tế bào nhỏ giai đoạn lan tràn (cT1N3M1a). 
Mô bệnh học và Hóa mô miễn dịch: U thần kinh nội tiết tế bào nhỏ di căn hạch thượng đòn trái.
Phác đồ điều trị: Bệnh nhân được hội chẩn và được chỉ định phác đồ điều trị miễn dịch kết hợp với hóa chất: Atezolizumab - Etoposide - Carboplatin.
+ Etoposide 100mg/m2 da, truyền tĩnh mạch ngày 1, 2, 3.
+ Carboplatin AUC 5, truyền tĩnh mạch ngày 1.
+ Atezolizumab 1200 mg, truyền tĩnh mạch ngày 1.
Chu kỳ 21 ngày.
Đánh giá hiệu quả điều trị sau 3 tháng: Các triệu chứng lâm sàng được cải thiện rõ: Bệnh nhân ổn định, không khó thở, tự thở khí phòng SpO2 99%, không nuốt nghẹn, không khàn tiếng, ăn uống tốt, tăng cân, vận động và sinh hoạt bình thường.
Bảng 1. So sánh đặc điểm của bệnh nhân trước và sau điều trị 3 tháng

Trước điều trị

Sau điều trị 3 tháng

Về lâm sàng

Bệnh nhân khó thở, thở oxy kính 3 lít/phút, mệt mỏi, khàn tiếng, nuốt nghẹn, đau tức ngực âm ỉ, ăn uống kém, các hoạt động sinh hoạt thường ngày cần có người hỗ trợ.

Bệnh nhân hết khó thở, tự thở khí phòng, không ho, không đau tức ngực, không nuốt nghẹn, ăn uống vận động và sinh hoạt bình thường.


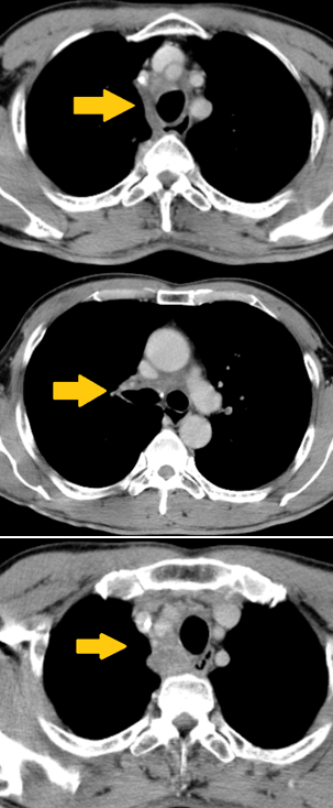
Trước điều trị Sau điều trị 3 tháng 
   

Hình 4. So sánh hình ảnh chụp cắt lớp vi tính lồng ngực của bệnh nhân trước và sau 3 tháng điều trị (các khối trung thất giảm kích thước đáng kể, kích thước lớn nhất 15x25mm – mũi tên màu vàng

=> Bệnh nhân đạt đáp ứng tốt với điều trị: khối u thu nhỏ kích thước đáng kể, lâm sàng được cải thiện rõ rệt. Trong quá trình điều trị, bệnh nhân có xuất hiện một số tác dụng phụ như: mệt mỏi, chán ăn, ngủ kém sau truyền hóa chất 2-3 ngày, ngoài ra chưa phát hiện các tác dụng phụ khác.
Đánh giá theo tiêu chuẩn RECIST 1.1, bệnh đáp ứng một phần (PR – Partial Responce). Hiện tại, bệnh nhân tiếp tục được điều trị phác đồ Atezolizumab - Etoposide - Carboplatin đủ 6 chu kỳ.
Lời bàn:
Ung thư phổi tế bào nhỏ giai đoạn lan tràn là một thách thức lớn trong lĩnh vực ung thư học do tính chất tiến triển nhanh và khả năng di căn sớm của bệnh. Việc kết hợp hóa trị với liệu pháp miễn dịch đã mở ra một chương mới trong điều trị, không chỉ cải thiện khả năng kiểm soát khối u mà còn kéo dài thời gian sống cho bệnh nhân. Trong tương lai, tối ưu hóa liệu pháp kết hợp, tìm kiếm dấu ấn sinh học dự báo đáp ứng và cá nhân hóa điều trị sẽ là trọng tâm để nâng cao hiệu quả chăm sóc. Đồng thời, việc chú trọng cải thiện chất lượng sống sẽ đảm bảo các tiến bộ y học không chỉ kéo dài thời gian sống mà còn mang lại hy vọng và giá trị thực sự cho bệnh nhân. 








Tin liên quan