Case lâm sàng: Điều trị Sarcoma phần mềm không cơ vân vùng tiểu khung hiếm gặp tại Trung tâm Y học hạt nhân và Ung bướu, Bệnh viện Bạch Mai

Ngày đăng: 11/04/2025 Lượt xem 1207
Case lâm sàng:  Điều trị Sarcoma phần mềm không cơ vân vùng tiểu khung hiếm gặp tại Trung tâm Y học hạt nhân và Ung bướu, Bệnh viện Bạch Mai.

GS.TS. Mai Trọng Khoa, BSNT Trần Xuân Đoan , PGS.TS. Phạm Cẩm Phương, ThS.BSNT. Phạm Minh Lanh, 
Trung tâm Y học hạt nhân và Ung bướu, Bệnh viện Bạch Mai

Sarcoma (Sacôm) phần mềm không phải cơ vân có nguồn gốc trung mô gồm tế bào cơ vân, cơ trơn, mô bào, tế bào mỡ, tế bào quanh mạch, tế bào sáng, tế bào thần kinh một số loại khác. Diễn biến lâm sàng tương đối thầm lặng, tiến triển nhanh hay chậm tùy theo thể mô học, ít di căn theo đường bạch huyết, một vài loại hay di căn đến phổi. Tử vong do tái phát, lan rộng, chảy máu, di căn phổi nhiều ổ lớn gây suy hô hấp.1
Theo phân loại của Engzinger và Weiss gồm các loại sacôm phần mềm không cơ vân như sau: Sarcoma xơ, u mô bào xơ ác, Sarcoma mỡ, Sacôm cơ trơn, Sarcoma mạch máu và bạch mạch, Sarcoma Kaposi, u ác quanh mạch, Sarcoma bao hoạt dịch, u tế bào khổng lồ ác của bao gân, u trung biểu mô ác, u xơ đơn độc ác của màng phổi và màng bụng, u trung biểu mô lan toả, u thần kinh ác tính, u tế bào hạt ác, Sarcoma tế bào sáng, u schwann tế bào hắc tố ác, u thần kinh thực vật dạ dày ruột, u ngoại bì thần kinh nguyên thuỷ, u hạch thần kinh giao cảm ác, Sarcoma sụn và xương ngoài xương, u trung mô ác, các u có đặc tính khác nhau1
Sarcoma mô mềm là một loại ung thư rất hiếm gặp, chiếm khoảng 1,5% trường hợp trong tất cả các loại ung thư, Tỷ lệ mắc bệnh ở nam nhiều hơn nữ.2
Sau đây, chúng tôi xin giới thiệu một trường hợp lâm sàng bệnh nhân được điều trị Sarcoma bao hoạt dịch tiểu khung di căn hạch tại Trung tâm Y học hạt nhân và Ung bướu - Bệnh viện Bạch Mai.

Bệnh nhân: Đ.N.P.L nữ 17 tuổi
Lý do vào viện: Phù chân phải
Bệnh sử:
Tháng 7/2024 bệnh nhân xuất hiện sưng phù chân phải, sờ thấy hạch vùng bẹn phải đi khám tại bệnh viện đa khoa tỉnh được chẩn đoán và điều trị viêm mạch bạch huyết, sau điều trị không đỡ chuyển viện Tim Mạch Bệnh Viện Bạch Mai siêu âm mạch chi dưới phát hiện hạch bẹn phải kích thước 60x40mm. Bệnh nhân không đau, căng tức chân, không sốt, đại tiểu tiện bình thường, không gầy sút cân, ăn ngủ được  chuyển  đếnTrung Tâm Y học hạt nhân  và Ung bướu điều trị- Bệnh viện Bạch Mai để điều trị.
Tình trạng lúc nhập viện
Bệnh nhân tỉnh, tiếp xúc tốt
Sưng, căng tức chân phải, không nóng đỏ
Mạch khoeo, mạch mu chân rõ
Nhiều hạch vùng bẹn, đùi bên phải, kích thước to nhất khoảng 3x5 cm, di động, không co kéo da
Huyết động ổn định
Tim nhịp đều, rõ
Phổi thông khí đều
Các cơ quan khác chưa phát hiện bất thường
Tiền sử:
Bản thân: chưa phát hiện bát thường
Gia đình: Chưa phát hiện bất thường
Cận lâm sàng:
- Công thức máu. Sinh hóa máu, Điện giải đồ, Đông máu trong giới hạn bình thường
- Siêu âm vùng bẹn 2 bên -Khối hỗn hợp âm vùng bẹn phải trong có phần đặc và phần dịch kích thước 45x20x100mm, có tăng sinh mạch trên siêu âm Doppler, ôm quanh góc <180 độ động mạch đùi chung phải, khối có vùng phát triển vào ổ bụng. Hình ảnh theo dõi khối u vùng bẹn phải
- CT lồng ngực chưa phát hiện bất thường 
- Siêu âm hạch vùng cổ: Chưa phát hiện bất thường.
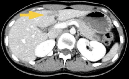
- CT ổ bụng có tiêm thuốc cản quang : Gan: Kích thước bình thường, bờ đều. Nhu mô hạ phân thuỳ IV có ổ ngấm thuốc kém kích thước ~ 25x7mm.  

Hình 1: Nhu mô gan hạ phân thuỳ IV có ổ ngấm thuốc kém kích thước ~ 25x7mm. ( mũi tên vàng)
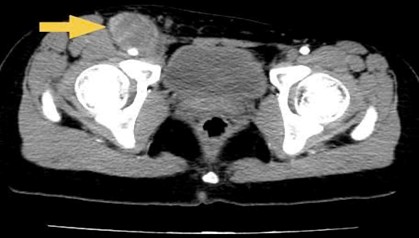
- Khối lớn vùng bẹn phải kích thước ~ 60x32mm, tỷ trọng hỗn hợp, ngấm thuốc sau tiêm, ôm quanh ~ 50% đường kính ĐM chậu ngoài kèm các hạch lân cận, hạch lớn kích thước ~ 14x8mm


 Hình 2: Khối lớn vùng bẹn phải kích thước ~ 60x32mm, tỷ trọng hỗn hợp, ngấm thuốc sau tiêm,ôm quanh ~ 50% đường kính ĐM chậu ngoài ( mũi tên vàng)

- Sinh thiết hạch bẹn, nhuộm hóa mô miễn dịch: Mô bệnh học và hoá mô miễn dịch phù hợp với synovial sarcoma.
Chẩn đoán xác định: Sarcoma bao hoạt dịch vùng tiểu khung di căn hạch bẹn
Xử trí: Bệnh nhân được hội chẩn hội đồng chuyên môn, có chỉ định điều trị liệu pháp toàn thân 
Cụ thể: Phác đồ hóa chất AI (Doxorubicin, Ifosfamide, Mesna) 
Đánh giá đáp ứng điều trị sau ba chu kỳ:
- Lâm sàng: Bệnh nhân ổn định, đỡ sưng phù chân phải, không đau đầu hoa mắt chóng mặt, đại tiểu tiện bình thường. Da niêm mạc hồng, tim nhịp đều , phổi không rale. Tạm thời chưa phát hiện các tác dụng phụ của thuốc 

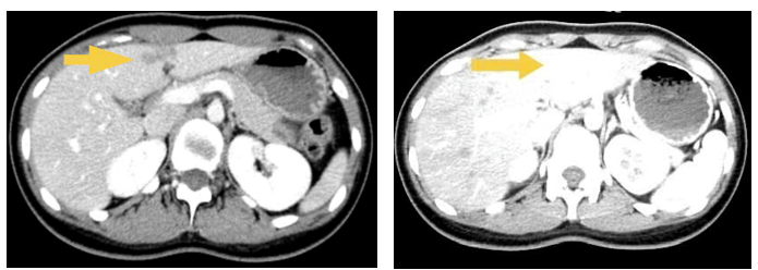
- CT ổ bụng có tiêm thuốc cản quang: Gan:  Kích thước bình thường, bờ đều. Nhu mô đồng nhất trước và sau tiêm thuốc cản quang. Không thấy khối khu trú.
 

Hình 3: Nhu mô gan hạ phân thuỳ IV có ổ ngấm thuốc kém kích thước ~ 25x7mm. ( mũi tên vàng) nay đã mất

Vùng bẹn phải, nằm dọc bó mạch chậu ngoài và đùi chung có hình ảnh khối kích thước 32x68mm


      Hình 4: Khối lớn vùng bẹn phải thay đổi kích thước không nhiều ( mũi tên vàng)
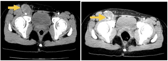
- MRI tiểu khung có tiêm chất tương phản: Vùng bẹn phải, nằm dọc bó mạch chậu ngoài và đùi chung có khối tổ chức bao gồm phần đặc ngấm thuốc sau tiêm và phần dịch, trong có vách, bờ không đều, ranh giới rõ, đè xẹp tĩnh mạch chậu ngoài, ôm quanh động mạch chậu ngoài (>180 độ) nhưng không gây hẹp lòng mạch, kích thước khối 29x66x77mm, không thấy thâm nhiễm xung quanh, lân cận có vài hạch hình bầu dục, bờ đều, lớn nhất kích thước 7x10mm

Hình 5: Khối lớn vùng bẹn phải đè xẹp tĩnh mạch chậu ngoài, ôm quanh động mạch chậu ngoài (>180 độ) nhưng không gây hẹp lòng mạch 29x66x77mm( mũi tên vàng)

Kết quả:
Theo RECIST 1.1, sau điều trị, bệnh đáp ứng một phần, không xảy ra tác dụng phụ ảnh hưởng tới điều trị.
Bệnh nhân tiếp tục được điều trị hoá chất thêm 3 chu kì sau đó tiếp tục đánh giá lại.

Lời bàn: 
- Sarcoma bao hoạt dịch khác với các Sacôm phần mềm không phải cơ vân khác ở tuổi chẩn đoán tương đối trẻ, vị trí giải phẫu (xung quanh khớp) và biểu hiện lâm sàng (tổn thương phát triển chậm, đau).3
- Với biểu hiện độc đáo này, điều quan trọng đối với các bác sĩ phẫu thuật chỉnh hình là nhận biết sarcoma bao hoạt dịch và tránh các can thiệp không phù hợp. Sacôm bao hoạt dịch có đặc điểm gen độc đáo và được thúc đẩy bởi sự chuyển vị nhiễm sắc thể t(X;18) đặc trưng và sự hình thành tiếp theo của các oncogen SS18:SSX.3
- Phẫu thuật cắt bỏ vẫn là phương pháp điều trị chủ yếu với xạ trị được sử dụng trong các khối u có nguy cơ cao. Hóa trị dường như có lợi trong các khối u có nguy cơ cao ở bệnh nhân trẻ tuổi nhưng vẫn còn dữ liệu mâu thuẫn ở người lớn. Sarcoma hoạt dịch cần theo dõi lâu hơn do nguy cơ tái phát muộn.3

Tài liệu tham khảo chính
1. Hướng dẫn chẩn đoán và điều trị bệnh ung thư thường gặp, Bệnh viện K, NXB Y học 2019
2. Hướng dẫn chẩn đoán và điều trị một số bệnh ung bướu, Bộ Y Tế, NXB Y học 2020
3. Aaron M. Gazendam,Snezana Popovic,Sohaib Munir,Naveen Parasu,David Wilson and Michelle Ghert Submission received: 23 April 2021 / Revised: 16 May 2021 / Accepted: 17 May 2021 / Published: 19 May 2021.
 https://doi.org/10.3390/curroncol28030177


Tin liên quan