CASE LÂM SÀNG: ĐIÊU TRỊ MIỄN DỊCH BỆNH NHÂN UNG THƯ PHỔI GIAI ĐOẠN MUỘN TẠI TRUNG TÂM YHHN VÀ UNG BƯỚU BỆNH VIỆN BẠCH MAI

Ngày đăng: 14/03/2025 Lượt xem 1484
CASE LÂM SÀNG: ĐIÊU TRỊ MIỄN DỊCH BỆNH NHÂN UNG THƯ PHỔI GIAI ĐOẠN MUỘN 
TẠI TRUNG TÂM YHHN VÀ UNG BƯỚU BỆNH VIỆN BẠCH MAI

GS.TS. Mai Trọng Khoa, BSNT Mai Thị Chung, PGS.TS. Phạm Cẩm Phương, BSNT Nguyễn Văn Tiến.
Trung tâm Y học hạt nhân và Ung bướu, Bệnh viện Bạch Mai

            Theo thống kê của GLOBOCAN 2022 trên toàn thế giới ước tính có khoảng 19,9 triệu ca ung thư mới và 9,7 triệu ca tử vong. Tại Việt Nam, cụ thể năm 2022, tỷ lệ mắc ung thư phổi xếp thứ 2 so với các bệnh ung thư với số liệu lần lượt 170,007 ca. Ung thư phổi không tế bào nhỏ (UTPKTBN) là loại ung thư phổi thường gặp nhất, chiếm khoảng 80% tổng số ung thư phổi. Ở nước ta hiện nay, rất nhiều bệnh nhân ung thư phổi được chẩn đoán khi đã ở giai đoạn muộn. 
Bên cạnh các phương pháp điều trị UTPKTBN như phẫu thuật, hóa chất, xạ trị, thì các phương pháp điều trị mới như điều trị nhắm trúng đích, điều trị miễn dịch đang mở ra những cơ hội mới cho các bệnh nhân UTPKTBN giai đoạn tiến xa. Tại Trung tâm Y học hạt nhân và Ung bướu – Bệnh viện Bạch Mai đã áp dụng và cập nhật hầu hết các phương pháp mới, hiện đại trong chẩn đoán và điều trị bệnh ung thư nói chung và ung thư phổi nói riêng. 
Đối với bệnh nhân UTPKTBN có mang đột biến gen như EGFR/ ALK thì điều trị nhắm trúng đích luôn là một liệu pháp đầu tay, tuy nhiên đối với các trường hợp bệnh nhân UTPKTBN không mang các đột biến thì liệu pháp miễn dịch đóng vai trò vô cùng quan trọng, được chứng minh hiệu quả trong cải thiện thời gian sống toàn bộ (OS) và thời gian sống thêm bệnh không tiến triển (PFS), đặc biệt ở những bệnh nhân ở giai đoạn tiến xa.
Ung thư di căn màng não là một trong những biến chứng nghiêm trọng nhất của ung thư phổi. Tỷ lệ di căn màng não ở những bệnh nhân ung thư phổi không phải tế bào nhỏ (NSCLC) dao động từ 5%–15%, trong khi tỷ lệ ung thư phổi tế bào nhỏ thậm chí còn cao hơn. Thời gian sống sót chung trung bình của những bệnh nhân mắc NSCLC có di căn màng não dao động từ 3,6 đến 11 tháng.
Dưới đây chúng tôi xin giới thiệu một trường hợp lâm sàng hiếm gặp: bệnh nhân ung thư phổi di căn xương, màng não đáp ứng điều trị tốt với liệu pháp miễn dịch tại Tại Trung tâm Y học hạt nhân và Ung bướu – Bệnh viện Bạch Mai.
 
Họ và tên:    NGUYỄN N. T.                      Giới:  Nam               Tuổi: 72
Thời gian vào viện: tháng 9 năm 2024
Lí do vào viện: đau thắt lưng, đau đầu
Bệnh sử: 
            Cách vào viện 2 tháng, bệnh nhân xuất hiện đau thắt lưng liên tục, âm ỉ, dùng giảm đau, chống viêm không đỡ, đợt này đau thắt lưng tăng lên, kèm đau đầu âm ỉ vùng chẩm phải, bệnh nhân không không nôn, đại tiểu tiện bình thường, không yếu liệt cơ, nên bệnh nhân đi khám và  được chụp cắt lớp vi tính lồng ngực phát hiện u phổi trái, hạch hố thượng đòn hai bên, hạch trung thất, tiêu thân đốt sống. Bệnh nhân được chuyển đến Trung tâm Y học hạt nhân và Ung bướu Bệnh viện Bạch Mai điều trị. 
Tiền sử: 
- Bệnh phổi tắc nghẽn mãn tính: phát hiện cách 5 năm đang điều trị thuốc xịt Seretide 2 lần/ ngày, 1 đợt cấp trong năm 
- Tăng huyết áp: 7 năm đang điều trị thuốc Termisartan /Hydrothiazide thường xuyên
- Hút thuốc lá: 31 bao-năm, đã bỏ 30 năm 
- Gia đình: không phát hiện bất thường
Khám vào viện:
- Bệnh nhân tỉnh
- PS 1 (bệnh nhân có triệu chứng nhưng đi lại tương đối bình thường)
- Thể trạng trung bình: chiều cao 168cm, cân nặng 63 kg, chỉ số khối cơ thể (BMI): 22.3 (kg/cm2)
- Da niêm mạc hồng, không phù, không xuất huyết dưới da
- Hạch ngoại biên: không sờ thấy
- Tim mạch: nhịp tim đều, rõ, không có tiếng tim bệnh lý
- Hô hấp: rì rào phế nang phổi trái giảm, rales rít khu trú vùng canh ức trái
- Tiêu hóa: bụng mềm, gan lách không sờ thấy
- Thần kinh: đau đầu vùng chẩm phải, không yếu liệt
- Cơ xương khớp: điểm đau vùng thắt lưng ngang đốt L4-L5
- Các cơ quan bộ phận khác chưa phát hiện bất thường
Cận lâm sàng:
- Công thức máu, sinh hóa máu, đông máu cơ bản trong giới hạn bình thường
- Chất chỉ điểm u: 
+ CEA: 62.35 ng/L (bình thường <5.0ng/mL) - tăng rất cao
+ Cyfra 21-1: 13.09 (bình thường <2.37) - tăng cao
Chẩn đoán hình ảnh: 
- Siêu âm vùng cổ (tháng 9/2024): Hố thượng đòn hai bên có vài hạch, không rõ cấu trúc rốn hạch, lớn nhất có kích thước 6*9mm.
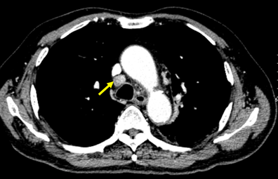
- Chụp cắt lớp vi tính ngực (tháng 9/2024)
            
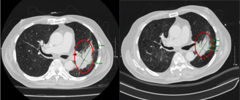
Hình 1: U trung tâm phổi trái (vòng tròn đỏ) kích thước 72*41mm trên của sổ nhu mô và cửa sổ trung thất 

 
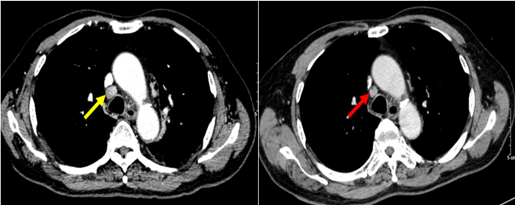
Hình 2: Hình ảnh hạch trung thất nhóm IV (mũi tên vàng) kích thước 11*18mm, bờ tròn đều, mất cấu trúc rốn hạch

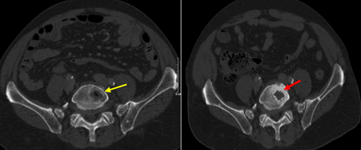
- Chụp CT bụng (tháng 9/2024): Ổ tiêu xương thân đốt sống L4-L5, theo dõi thứ phát

Hình 3: Ổ tiêu xương, phá hủy thân đốt sống L4-L5 (mũi tên vàng)
- Chụp MRI sọ não (tháng 9/2024):
           

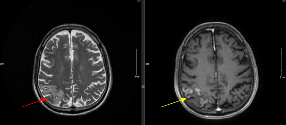
Hình 4: Dày, ngấm thuốc màng não kèm theo phù não vùng chẩm P kích thước 60*40mm trên xung T2 (mũi tên đỏ), và xung T1 tiêm thuốc (mũi tên vàng) 
- Nội soi phế quản: Phế quản gốc 2 bên sung huyết, lòng nhiều dịch đục. Niêm mạc phế quản trái thâm nhiễm, phế quản trung gian phải có dị vật gây bít tắc 2/3 lòng phế quản
Hình 5: Hình ảnh nội soi phế quản

- Sinh thiết hạch thượng đòn làm giải phẫu bệnh và nhuộm hóa mô miễn dịch: Ung thư biểu mô tuyến nguyên phát tại phổi di căn hạch, dương tính với các dấu ấn CK7, TTF1, Napsin A
- EGFR (-), ALK (-)
- Đo chức năng hô hấp: các thông số trong giới hạn bình thường
- Nội soi dạ dày: không phát hiện bất thường
- Nội soi đại tràng: 

Hình 6: Hình ảnh nội soi: đại tràng sigma có polyp kích thước khoảng 0.4cm
Chẩn đoán: Ung thư biểu mô tuyến phổi trái, cT4N3M1 di căn xương, di căn màng não, giai đoạn IVC, EGFR (-), ALK (-) /Bệnh phổi tắc nghẽn mãn tính / Tăng huyết áp.
Điều trị: Đây là trường hợp bệnh nhân ung thư phổi giai đoạn muộn di căn xương, màng não, mô bệnh học: Ung thư biểu mô tuyến, đột biến gen âm tính, tuổi cao (72 tuổi), thể trạng PS: 1, có gánh nặng khối u lớn, biểu hiện lâm sàng với triệu chứng đau đầu, đau lưng. Bệnh nhân được hội chẩn hội đồng các chuyên khoa và được thống nhất điều trị liệu pháp toàn thân. Thông qua việc giải thích tình trạng bệnh cũng như kinh phí điều trị cho người nhà và bệnh nhân, chúng tôi thống nhất điều trị liệu pháp miễn dịch phác đồ: Pembrolizumab - Pemetrexed – Carbopaltin với chu kỳ 21 ngày kết hợp với chống hủy xương theo “Hướng dẫn chẩn đoán và điều trị một số bệnh ung bướu” của Bộ Y tế năm 2021. 
Theo dõi trong quá trình điều trị: 
1. Lâm sàng: 
- Bệnh nhân tỉnh, tiếp xúc tốt
- PS 0 (không triệu chứng, thể trạng bình thường)
- Không phát hiện điểm đau vùng thắt lưng và các vị trí khác
- Không đau đầu, không xuất hiện các dấu hiệu thần kinh khu trú

2. Biến động của dấu ấn ung thư

Dấu ấn ung thư (ng/mL)

24/09

15/10

05/11

26/11

18/12

08/01

Cyfra 21-1

13.09

9.74

7.65

9.68

8.02

7.77

CEA

62.35

64.17

53.24

53.7

50.7

46.07


Bảng 1: Nồng độ dấu ấn ung thư trong quá trình điều trị (từ T9/2024 tới T1/2025)


Biểu đồ 1: Biến động dấu ấn ung thư trong quá trình điều trị (từ T9/2024 tới T1/2025)

3. Biến đổi trên chẩn đoán hình ảnh (trước và sau điều trị)


Hình 7.1: Cắt lớp vi tính ngực ở cửa sổ nhu mô


Hình 7.2: Hình ảnh cắt lớp vi tính ngực ở cửa sổ trung thất
Kết luận: Hình ảnh chụp cắt lớp vi tính ngực: sau 6 đợt điều trị khối u (vòng tròn đỏ) giảm kích thước từ 72x41mm (bên trái) xuống còn 43x28mm (bên phải)


Hình 8: Hình ảnh CT ngực: Sau 6 đợt điều trị hạch trung thất giảm kích thước từ 11x18mm trước điều trị (mũi tên vàng) xuống còn 8x10mm sau điều trị (mũi tên đỏ)
 

Hình 9: Hình ảnh CT bụng: hình ảnh tổn thương tiêu xương (mũi tên vàng) giảm bớt sau 6 đợt điều trị, xuất hiện hình ảnh đặc xương tại thân đốt sống (mũi tên đỏ)


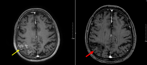
Hình 10: Hình ảnh cộng hưởng từ sọ não trên xung T1 tiêm thuốc: hình ảnh tổn thương dày, ngấm thuốc màng nào (mũi tên vàng) sau 6 đợt điều trị không còn tổn thương ngấm thuốc màng não (mũi tên đỏ)
Lời bàn: 
- Như vậy đây là một trường hợp bệnh nhân ung thư phổi giai đoạn muộn di căn xương, màng não, đặc biệt di căn màng não hiếm gặp. Với bệnh nhân tuổi cao này, thể trạng PS:1, gánh nặng khối u lớn, bệnh nhân nên được dùng liệu pháp toàn thân với phác đồ: Pembrolizumab - Pemetrexed – Carbopaltin kết hợp với chống hủy xương.  Sau 6 chu kì bệnh nhân đạt đáp ứng tốt với điều trị, cải thiện các triệu chứng lâm sàng, giảm kích thước tổn thương so với tổn thương ban đầu và không xuất hiện thêm các tổn thương mới.
- Trong thời gian sắp tới, bệnh nhân vẫn được tiếp tục điều trị đồng thời đánh giá và phát hiện các thay đổi bất thường để từ đó có kế hoạch điều trị sớm. Chúng tôi hi vọng bệnh nhân sẽ có thời gian ổn định lâu dài hơn nhờ việc áp dụng các biện pháp điều trị mới.

Tài liệu tham khảo chính
1. Siegel RL, Miller KD, Jemal A. Cancer statistics, 2019. CA Cancer J Clin 2019; 69: 7–34.
2. Metastatic meningeal carcinomatosis from lung cancer: Report of a rare case, Hui Liu, Li Liu, Xiaochen Zhang, Song Jin
3. Hướng dẫn chẩn đoán và điều trị một số bệnh Ung bướu - Bộ Y tế. 



Tin liên quan