Điều trị Ung thư vú giai đoạn sớm đáp tốt với phác đồ hoá trị kết hợp với kháng thể đơn dòng kháng HER2 tại Trung tâm Y học hạt nhân và Ung bướu - Bệnh viện Bạch Mai

Ngày đăng: 09/09/2025 Lượt xem 1028
Ca lâm sàng: 
Điều trị Ung thư vú giai đoạn sớm đáp tốt với phác đồ hoá trị kết hợp với kháng thể đơn dòng kháng HER2  tại Trung tâm Y học hạt nhân và Ung bướu - Bệnh viện Bạch Mai

GS.TS. Mai Trọng Khoa, PGS.TS.Phạm Cẩm Phương,  BSNT. Trần Thị Thêu
Trung tâm Y học hạt nhân và Ung bướu, Bệnh viện Bạch Mai

Theo số liệu mới nhất từ GLOBOCAN năm 2022, ung thư vú là loại ung thư phổ biến nhất ở nữ giới trên toàn cầu. Cụ thể, có gần 2,3 triệu ca mắc mới và hơn 666.000 ca tử vong do ung thư vú mỗi năm.
Tại Việt Nam, cùng năm, ghi nhận khoảng 24.600 ca mắc mới ung thư vú, chiếm 25,8% tổng số ca ung thư ở nữ giới, và hơn 10.000 ca tử vong, chiếm 8,3% tổng số ca tử vong do ung thư. Điều đáng chú ý là tỷ lệ phát hiện ung thư vú ở giai đoạn sớm (giai đoạn 0, 1, 2) đã tăng từ 52,4% trong giai đoạn 2008-2010 lên 76,6% trong những năm gần đây. Nếu được chẩn đoán sớm, tỷ lệ sống thêm 5 năm của bệnh nhân có thể đạt đến 90%.
Tuy nhiên, vẫn còn nhiều phụ nữ Việt Nam chưa chủ động tham gia khám sàng lọc ung thư vú. Khoảng 15% bệnh nhân dưới 40 tuổi và 45% bệnh nhân dưới 50 tuổi được chẩn đoán ung thư vú di căn ngay từ ban đầu, cao hơn so với các khu vực khác. Điều này nhấn mạnh tầm quan trọng của việc nâng cao nhận thức và chủ động tầm soát để phát hiện sớm và giảm thiểu gánh nặng do ung thư vú gây ra. 
Dưới đây là một ca lâm sàng bệnh nhân ung thư vú giai đoạn sớm đáp ứng hoàn toàn sau điều trị phác đồ hoá trị kết hợp với kháng thể đơn dòng kháng HER2 tại Trung tâm Y học hạt nhân và Ung bướu Bệnh viện Bạch Mai
Họ tên: L.T.H, 68 tuổi
Lí do vào viện: tự sờ thấy khối u vú trái 
Tiền sử: Tăng huyết áp đang dùng amlordipin 5mg 1 viên/ ngày
Bệnh sử: Khoảng tháng 8/2024 bệnh nhân tự sờ thấy khối u vú trái kích thước khoảng 3x3cm, cứng, di động ấn không đau ở vị trí 12 giờ cách núm vú khoảng 1cm. Bệnh nhân không đau tức vú, núm vú không tụt, không chảy dịch bất thường. Bệnh nhân không đau nhức xương khớp, không đau đầu, không đau tức ngực, không khó thở, không gầy sút cân, ăn uống được, đại tiểu tiện bình thường đi khám
Khám lúc vào viện:
- Bệnh nhân tỉnh, tiếp xúc tốt, PS 0
- Thể trạng trung bình, chiều cao: 158cm, cân nặng: 59kg   
- Da niêm mạc hồng
- Hạch ngoại vi không sờ thấy
- Mạch: 80 lần/phút, Huyết áp: 120/80 mmHg
- Vú trái vị trí 12 giờ cách núm vú khoảng 1cm có khối cứng chắc, di dộng kém, ấn không đau kích thước khoảng 3x3cm. Da xung quanh không nề, không tấy đỏ, không loét. Núm vú không tụt, không chảy dịch bất thường
- Tim đều, T1, T2 rõ, không có tiếng bất thường
- Phổi: Rì rào phế nang rõ, đều 2 bên, không rales
- Bụng mềm, gan lách không to
- Cơ quan bộ phận khác chưa phát hiện bất thường.
Các xét nghiệm cận lâm sàng:
- Xét nghiệm: công thức máu, chức năng gan thận, điện giải đồ, đường máu trong giới hạn bình thường; HIV (-), HBsAg (-).
- Xét nghiệm chất chỉ điểm u trong giới hạn bình thường: CEA: 3,61 ng/ml (bình thường: < 4,3 ng/ml); CA 15-3: 21,72 ng/ml (bình thường: < 25 ng/ml)
- Xquang tuyến vú trái : Vị trí 1/4 dưới trong có đám tăng đậm độ bất xứng 53x17mm, kèm có 2 cụm vi vôi hóa đa hình thai 5x6mm và 5x9mm, cách núm 25mm (BIRADS 4c)
- Siêu âm tuyến vú trái  : nhu mô vị trí ~ 11h - 12h cách núm vú 1cm có đám giảm âm, bờ không đều, ranh giói không rõ bên trong có vôi hóa kích thước 10x11mm (BIRADS 4b)
Theo NCCN Version 2.2024 (National Comprehensive Cancer Network), phân loại BIRADS 4 được chia thành ba mức độ để đánh giá khả năng ung thư. Cụ thể:
+ BIRADS 4A: Khả năng ung thư thấp (3–10%). Tỷ lệ khả năng ung thư là thấp, nhưng cần phải làm thêm các xét nghiệm hoặc sinh thiết để xác định chính xác.
+ BIRADS 4B: Khả năng ung thư trung bình (10–50%). Tỷ lệ nguy cơ ung thư vừa phải, yêu cầu thực hiện sinh thiết để có kết quả chính xác.
+ BIRADS 4C: Khả năng ung thư cao (50–95%). Tỷ lệ nguy cơ ung thư khá cao, cần thực hiện sinh thiết càng sớm càng tốt để xác định tình trạng ung thư.
Do đó, bệnh nhân được sinh thiết khối u làm giải phẫu bệnh 
- Giải phẫu bệnh: Ung thư biểu mô tuyến vú xâm nhập độ II, NST, HER2 dương tính (+++), ER âm tính, PR âm tính, Ki67 50%
Chẩn đoán xác định:
Ung thư ¼ dưới trong vú trái cT2N0M0, giai đoạn IIA
Giải phẫu bệnh: Ung thư biểu mô xâm nhập độ II, NST, HER2 dương  tính
Điều trị:
Bệnh nhân được điều trị theo hướng hoá chất kết hợp kháng thể đơn dòng kháng HER2: 
Phác đồ TCHP( docetaxel/ carboplatin/ trastuzumab/ pertuzumab) chu kỳ 21 ngày x 6 chu kỳ
Nhận xét:
Đây là bệnh nhân có biểu hiện HER2  dương tính, T2N0M0 giai đoạn IIA chưa có di căn xa. 
Chúng tôi chọn điều trị tân bổ trợ cho bệnh nhân vì theo khuyến cáo của NCCN version 2.2024, liệu pháp toàn thân trước phẫu thuật được ưu tiên cho bệnh nhân có HER2 dương tính nếu gánh nặng khối u lớn ( >= T2). Lợi ích của liệu pháp toàn thân trước phẫu thuật là giúp bảo tồn vú, giảm nguy cơ tái phát.
HER2 (Human Epidermal Growth Factor Receptor 2) là một thụ thể protein nằm trên bề mặt tế bào giúp truyền tín hiệu để điều chỉnh sự phát triển và phân chia tế bào. Khi có sự kích thích từ các yếu tố tăng trưởng (growth factors), HER2 giúp tế bào phát triển và tăng trưởng.
Trong ung thư vú có HER2 dương tính, tế bào ung thư có quá nhiều thụ thể HER2. Sự tăng số lượng thụ thể HER2  làm cho tế bào ung thư vú phát triển nhanh chóng và không kiểm soát được 
Việc xác định rằng ung thư vú HER2 dương tính là rất quan trọng vì nó ảnh hưởng lớn đến quyết định điều trị. Các bệnh nhân ung thư vú HER2 dương tính có thể hưởng lợi từ các liệu pháp điều trị nhắm mục tiêu vào HER2.
Thuốc nhắm mục tiêu HER2:
+ Trastuzumab (Herceptin): là một kháng thể đơn dòng nhắm vào thụ thể HER2. Trastuzumab gắn vào thụ thể HER2, ngăn ngừa sự kích hoạt thụ thể này và làm giảm sự phát triển của tế bào ung thư.
+ Pertuzumab (Perjeta): Pertuzumab cũng là một kháng thể đơn dòng nhắm vào thụ thể HER2, nhưng nó tác động vào một phần khác của thụ thể HER2 so với Trastuzumab. Trong khi Trastuzumab ngăn chặn sự kích hoạt thụ thể HER2, Pertuzumab lại ngăn cản sự dimer hóa (kết hợp) của HER2 với các thụ thể HER2 khác, từ đó ức chế sự phát triển của tế bào ung thư.
+ Ado-Trastuzumab emtansine (T-DM1): Đây là một phiên bản cải tiến của Trastuzumab, được gắn với một loại thuốc hóa trị. Nó được sử dụng cho bệnh nhân ung thư vú HER2 dương tính di căn.
+ Lapatinib: Một loại thuốc uống nhắm vào HER2, được sử dụng cho các trường hợp ung thư vú HER2 dương tính khi không đáp ứng với Trastuzumab.
Theo thử nghiệm APHINITY là một thử nghiệm lâm sàng, được thực hiện để đánh giá hiệu quả của Pertuzumab kết hợp Trastuzumab và hoá trị trong điều trị ung thư vú HER2 dương tính ở giai đoạn sớm. Kết quả cho thấy việc bổ sung Pertuzumab vào phác đồ Trastuzumab + hoá trị làm cải thiện rõ rệt tỷ lệ sống không bệnh ( DFS) ở bệnh nhân ung thư vú HER2 dương tính giai đoạn sớm. Cụ thể, nhóm bệnh nhân sử dụng Pertuzumab có tỷ lệ tái phát thấp hơn so với nhóm chỉ sử dụng Trastuzumab+ hoá trị
Kết quả của nghiên cứu đã dẫn đến việc phê duyệt sự kết hợp này như một phương pháp điều trị chuẩn cho bệnh nhân ung thư vú HER2 dương tính giai đoạn sớm.
Theo dõi:
Sau 1 chu kỳ, bệnh nhân được chụp MRI đánh giá kiểm tra lại:
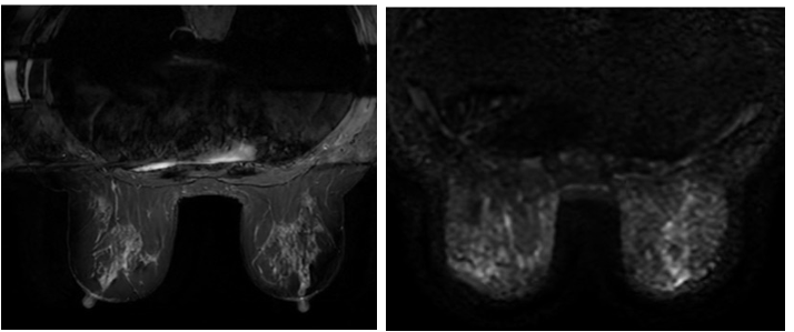
MRI tuyến vú trái (10/9/2024): Vị trí 11h cách núm vú khoảng 2cm có nốt bờ tua gai không đều, tăng nhẹ tín hiệu trên T2W, giảm tín hiệu trên T1W, hạn chế khuếch tán, ngấm thuốc sớm và mạnh sau tiêm, có thải thuốc một phần, xung quanh có các nốt nhỏ đường kính khoảng 6mm và các dải ngấm thuốc tính chất tương tự, tổn thương tạo thành đám kích thước 38x42mm, không thấy xâm lấn cơ thành ngực và da vú lân cận. (BIRADS 6)

Cách đợt truyền hoá chất tiếp theo bệnh nhân ổn định, không nôn, không sốt, ăn uống tốt
Không có tình trạng giảm bạch cầu, chức năng tâm thu thất trái trong giới hạn bình thường
Đánh giá :
  Sau 6 đợt truyền hoá chất phác đồ TCHP, bệnh nhân được làm các cận lâm sàng để đánh giá lại:
Chụp MRI đánh giá lại (4/2/2025) : Hiện không thấy tổn thương ngấm thuốc tuyến vú trái/ sau điều trị, đáp ứng hoàn toàn theo tiêu chuẩn RECIST 1.1.
 
Tiêu chuẩn RECIST 1.1 (Response Evaluation Criteria in Solid Tumors 1.1) là một bộ tiêu chuẩn được sử dụng rộng rãi trong các thử nghiệm lâm sàng để đánh giá phản ứng của các khối u đối với liệu pháp điều trị. RECIST 1.1 là phiên bản cập nhật của tiêu chuẩn RECIST, và nó được áp dụng để đo lường kích thước và sự thay đổi của các khối u trong quá trình điều trị ung thư, giúp các bác sĩ và nhà nghiên cứu đánh giá hiệu quả của liệu pháp điều trị. Nó được chia thành 4 mức độ:
+ Đáp ứng hoàn toàn ( Complete Response- CR) 
+ Đáp ứng một phần ( Pastial Response- PR)
+ Bệnh ổn định ( Stable Disease -SD)
+ Tiến triển bệnh ( Progressive Disease- PD)
Bệnh nhân có khối u vú trái kích thước ban đầu là 38x42cm, sau điều trị phác đồ TCHP 6 chu kỳ, khối u mục tiêu đã biến mất trên chẩn đoán hình ảnh, lâm sàng không sờ thấy khối u
Bệnh nhân được chuyển phẫu thuật cắt tuyến vú cải biên Patey ( BS Tuấn ngày 11/2/2025)
Sau mổ bệnh nhân ổn định, vết mổ liền tốt, không chảy dịch
- GPB sau mổ: Mô vú xơ hoá, không còn u sau điều trị. 13/13 hạch viêm mạn tính
- Các xét nghiệm khác trong giới hạn bình thường
Chúng tôi tiếp tục điều trị liệu pháp nhắm trúng đích phác đồ Trastuzumab + Pertuzumab trong vòng 1 năm kể từ khi bắt đầu điều trị

Lời kết: 
Ung thư vú giai đoạn sớm, mặc dù là một căn bệnh nghiêm trọng, nhưng nhờ vào những tiến bộ trong phương pháp chẩn đoán và điều trị, đặc biệt là sự phát triển của các liệu pháp nhắm mục tiêu như Trastuzumab và Pertuzumab, bệnh nhân có thể đạt được kết quả điều trị khả quan. 
Việc phát hiện sớm và điều trị đúng cách có thể làm tăng đáng kể cơ hội sống sót và giảm nguy cơ tái phát bệnh. Hơn nữa, sự nghiên cứu và cải tiến không ngừng trong lĩnh vực điều trị ung thư vú đang mở ra những hy vọng mới cho bệnh nhân, giúp họ có một cuộc sống khỏe mạnh hơn sau điều trị. 
Tuy nhiên, sự chăm sóc và tư vấn đúng đắn từ các bác sĩ, cùng với sự hỗ trợ tinh thần và thể chất từ gia đình và cộng đồng, vẫn luôn là yếu tố quan trọng trong hành trình chiến đấu với ung thư vú.








Tin liên quan