Cơ hội sống cho một bệnh nhân trẻ tuổi bị ung thư tinh hoàn biểu hiện tại trung nhất

Ngày đăng: 01/06/2010 Lượt xem 4621
Bệnh diễn biến từ tháng 4 năm 2007, bệnh nhân thấy đau ngực trái, bệnh nhân đã đến khám tại một bệnh viện tại Hà nội, bệnh nhân được chẩn đoán: U trung thất, và đã được chỉ định phẫu thuật lấy u, nhưng do khối u quá lớn, xâm lấn ngay sát các mạch máu lớn nên chỉ phẫu thuật sinh thiết u mà không phẫu thuật lấy u được.

Bệnh nhân Nguyễn Việt H., nam 17 tuổi đến bệnh viện Bạch Mai tháng 11 năm 2007 vì lý do: khó thở, đau ngực trái

Bệnh diễn biến từ tháng 4 năm 2007, bệnh nhân thấy đau ngực trái, bệnh nhân đã đến khám tại một bệnh viện tại Hà nội, bệnh nhân được chẩn đoán: U trung thất, và đã được chỉ định phẫu thuật lấy u, nhưng do khối u quá lớn, xâm lấn ngay sát các mạch máu lớn nên chỉ phẫu thuật sinh thiết u mà không phẫu thuật lấy u được.

Giải phẫu bệnh sau mổ: ung thư tinh hoàn (seminoma), sau đó bệnh nhân được đưa về nhà.

Lúc đó bệnh nhân và gia đình rất buồn, lo lắng vì nghĩ rằng cơ hội sống không còn.

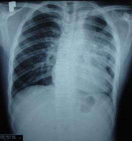
Bệnh ngày càng tiến triển với các triệu chứng đau ngực trái tăng dần, sau đó bệnh nhân xuất hiện khó thở. Ngày 22 tháng 7 năm 2007 bệnh nhân thấy khó thở nhiều, cảm giác đau tức ngực trái tăng. Gia đình đã đưa bệnh nhân đến Trung Tâm Y học hạt nhân và Ung Bướu - Bệnh viện Bạch Mai.

Tại đây các bác sỹ khám thấy bệnh nhân có khối u thành ngực trái kích thước 5x6cm, mật độ mềm, ranh giới không rõ. Tim bị đẩy sang phải (mỏm tim ở cạnh xương ức trái); hội chứng ba giảm toàn bộ phổi trái. Tinh hoàn hai bên đủ, không thấy tổn thương u.
Bệnh nhân đã được làm thêm một số xét nghiệm đánh giá tình trạng tổn thương u và tình trạng di căn xa.

Xét nghiệm máu: Hồng cầu 4,9T/l; Hemoglobin 132g/l; Bạch cầu: 7,0 G/l; Bạch cầu trung tính 68,4%; Tiểu cầu: 187G/l. Ure: 3.9mmol/l; Creatinin: 83 µmol/l; ASAT: 75U/l; ALAT: 24U/l; βHCG:539,6 mU/ml; αFP:1,28 ng/ml; LDH: 1996 U/l

Chụp CT: + Trên hình ảnh chụp CT lồng ngực: Vùng trung thất có khối lớn xâm lấn toàn bộ khoang ngực trái gây xẹp phổi trái, tổn thương lan rộng ra vùng thành ngực

 

+ Trên hình ảnh chụp CT ổ bụng: có hình ảnh dịch ổ bụng, không có hạch ổ bụng; các tạng khác không có gì đặc biệt.

Xạ hình xương: không có hình ảnh tổn thương di căn xương

Bệnh nhân được chẩn đoán tràn dịch màng phổi trái/ Ung thư tinh hoàn biểu hiện tại trung thất, phúc mạc.

Sau đó bệnh nhân đã được điều trị hoá chất phác đồ VIP 04 đợt. Sau đợt điều trị hoá chất đầu tiên, khối u thành ngực thu nhỏ dần dần và sau 20 ngày truyền hoá chất tổn thương tại thành ngực đã tan (không nhìn thấy và không sờ thấy u bằng tay trên lâm sàng)

Xét nghiệm sau điều trị hóa chất: Nồng độ các chất chỉ điểm khối u trở về bình thường: βHCG: 0,158 mU/ml; αFP:2,23 ng/ml; LDH: 331 U/l

Trên phim chụp cắt lớp vi tính lồng ngực: Tổn thương u trung thất đã thu nhỏ kích thước hơn trước, phổi trái đỡ xẹp

 
Siêu âm ổ bụng: dịch ổ bụng đã hết, không thấy hình ảnh bất thường khác.

Tin liên quan