Điều trị ung thư đại tràng giai đoạn di căn xa không có đột biến ras tự nhiên bằng phác đồ hóa trị phối hợp với thuốc kháng vegf bước 1

Ngày đăng: 18/07/2017 Lượt xem 6426

GS.TS. Mai Trọng Khoa, ThS. Nguyễn Thanh Hùng

Trung tâm Y học hạt nhân và Ung bướu – Bệnh viện Bạch Mai

 

Bệnh cảnh: Bệnh nhân Hà V. T., nam, 64 tuổi, nhập viện vào tháng 2/2016 với lý do đau đầu, yếu nửa người phải.

Bệnh nhân được chẩn đoán ung thư đại tràng phải loại biểu mô tuyến giai đoạn T4N2M0 từ năm 2013 và được điều trị bằng phẫu thuật triệt căn: cắt đoạn đại tràng phải, vét hạch vùng và phối hợp điều trị hóa chất bổ trợ phác đồ FOLFOX4 6 chu kỳ sau đó tại bệnh viện tỉnh.

Cách ngày vào viện 2 tuần bệnh nhân cảm thấy đau đầu kèm theo yếu nửa người phải tăng dần, đi khám được chụp cắt lớp vi tính sọ não, phát hiện thấy tổn thương u vùng thùy đỉnh não trái. Bệnh nhân xin chuyển đến trung tâm Y học hạt nhân và Ung bướu – Bệnh viện Bạch Mai để chẩn đoán và điều trị.

Tiền sử bệnh:

            Bản thân: Khỏe mạnh

            Gia đình: Không ai mắc bệnh ung thư

Khám bệnh nhân lúc vào viện:

o Bệnh nhân tỉnh táo, đau đầu nhiều, nôn

o Thể trạng gầy, cao 167cm, nặng 55kg, Sda: 1,58m2

o Yếu không hoàn toàn nửa người phải, cơ lực 3/5

o Mạch: 80chu kỳ/phút, huyết áp: 120/70mmHg

o Da, niêm mạc hồng

o Hạch ngoại vi không sờ thấy

o Tim đều, T1 T2 rõ, không có tiếng bất thường

o Phổi: Nghe không có rales

o Bụng mềm, không đau bụng, không nôn máu, phân vàng.

Thăm dò và xét nghiệm cận lâm sàng:

-       Xét nghiệm công thức máu, chức năng gan, thận: trong giới hạn bình thường

-       Xét nghiệm chỉ điểm u tăng: CEA: 53,3ng/ml; CA 19-9: 47,9ng/ml

-       Siêu âm ổ bụng: không phát hiện di căn hạch, tạng

-       Nội soi đại tràng: không thấy tổn thương u tại phát tại chỗ

-       Chụp cộng hưởng từ sọ não: Thấy tổn thương não dạng u di căn tại thùy đỉnh thái dương trái kích thước 2,1x2cm, ngấm thuốc mạnh, phù não rộng xung quanh.

 Hình 1: Hình ảnh khối u di căn trên phim cộng hưởng từ sọ não

 Chụp PET/CT đánh giá toàn thân:

Kết quả: Nhiều nốt tổn thương hai phổi kích thước max: 3,7x4,1cm, tăng hấp thu FDG, maxSUV: 14,1. Tổn thương não thùy thái dương đỉnh trái, kích thước 2,1x2,6cm, tăng hấp thu FDG, maxSUV: 8,6; có phù não rộng xung quanh. Không thấy tổn thương tái phát tại đại tràng.

Hình 2: Hình ảnh tổn thương di căn phổi trên PET/CT

Nhiều nốt tổn thương hai phổi kích thước max: 3,7x4,1cm, tăng hấp thu FDG, maxSUV: 14,1

 

Hình 3: Hình ảnh di căn não trên phim chụp PET/CT

Tổn thương não thùy thái dương đỉnh trái, kích thước 2,1x2,6cm, tăng hấp thu FDG, maxSUV: 8,6; có phù não rộng xung quanh. Không thấy tổn thương tái phát tại đại tràng.

Sinh thiết tổn thương phổi phải và nhuộm hóa mô miễn dịch: ung thư biểu mô tuyến có nguồn gốc từ đại tràng, xét nghiệm gen KRAS (+).

Chẩn đoán xác định: ung thư đại tràng phải đã điều trị phẫu thuật, hóa chất tái phát di căn phổi, não.

Mô bệnh học: ung thư dạng biểu mô tuyến.

Có đột biến gen KRAS.

Điều trị: Bệnh nhân được chỉ định điều trị hóa chất toàn thân phác đồ FOLFIRI phối hợp với Bevacizumab truyền tĩnh mạch, 6 chu kỳ, cụ thể:

            + Campto 180mg/m2 da, truyền TM ngày 1.

            + Leucovorin 200mg/m2 da, truyền TM ngày 1,2.

            + 5FU 400mg/m2 da, tiêm tĩnh mạch ngày 1,2.

            + 5FU 600mg/m2 da, truyền TM chậm, ngày 1,2.

            + Avastin 5mg/kg, truyền TM ngày 2.

Phối hợp:

            + Chống phù não: manitol 20% truyền tĩnh mạch, Corticosteroid…

            + Giảm đau.

            + Xạ phẫu khối u di căn não bằng dao Gamma quay liều: 20Gy

Đánh giá sau 6 chu kỳ hóa chất: Bệnh đáp ứng một phần.

-       Lâm sàng:

+ Bệnh nhân hết đau đầu, hết liệt vận động, đi lại và sinh hoạt bình thường.

+ Không gặp tác dụng phụ đáng kể trong qua trình truyền hóa chất.

-       Xét nghiệm chỉ điểm u giảm: CEA: 4,52ng/ml; CA 19-9: 1,75ng/ml

-       Chụp PET/CT đánh giá lại sau điều trị 6 chu kỳ hoá trị: Khối u thùy dưới phổi phải giảm KT: 2x1,2cm, tăng hấp thu FDG, max SUV: 4,9. phổi trái không thấy tổ chức tăng hấp thu FDG bất thường. Nhu mô não hấp thu FDG đồng đều, không thấy u.

 Hình 4: Hình ảnh PET/CT phổi sau điều trị

Khối u thùy dưới phổi phải giảm KT: 2x1,2cm, tăng hấp thu FDG, max SUV: 4,9. phổi trái không thấy tổ chức tăng hấp thu FDG bất thường.

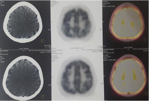
Hình 5: Hình ảnh PET/CT não sau điều trị

Nhu mô não hấp thu FDG đồng đều, không thấy u.

 

So sánh kết quả trước và sau điều trị:

Hình 6: Hình ảnh so sánh kết quả PET/CT trước và sau điều trị

Tóm lại: Bệnh nhân nam, 64 tuổi được chẩn đoán Ung thư đại tràng phải tái phát di căn phổi, não sau điều trị. Mô bệnh học: ung thư biểu mô tuyến, có đột biến KRAS. Do bệnh ở giai đoạn di căn xa, đặc biệt có di căn não 1 ổ và không có đột biến RAS tự nhiên. Vì vậy, bệnh nhân được chỉ định điều trị bước 1 với phác đồ hóa trị toàn thân phối hợp với thuốc kháng sinh mạch (VEGF). Điều trị khối u di căn não với phương pháp xạ phẫu bằng dao Gamma quay.

Kết quả: Bệnh đáp ứng một phần, cải thiện thời gian sống không bệnh, kéo dài thời gian sống toàn bộ.

Kế hoạch tiếp theo: Cân nhắc điều trị hoá chất duy trì phối hợp với xạ trị. 

Tin liên quan