Lợi ích của PET/CT trong chẩn đoán ung thư vú

Ngày đăng: 24/12/2012 Lượt xem 5157
Kỹ thuật PET/CT rất có giá trị trong chẩn đoán, phát hiện ung thư vú sớm. PET/CT phân biệt các tổn thương lành tính và ác tính ở vú tốt hơn các phương pháp khác như Xquang, siêu âm ngay cả khi các tổn thương này kích thước nhỏ.
PGS.TS. Mai Trọng Khoa, BS Trần Hải Bình & CS.

Trung tâm Y học hạt nhân & Ung bướu, Bệnh viện Bạch Mai

Ung thư vú (UTV) là một trong những bệnh thường gặp nhất trong các bệnh ung thư ở phụ nữ trên thế giới cũng như ở Việt Nam và là nguyên nhân tử vong đứng thứ hai trong các bệnh nhân chết do ung thư. Số liệu thống kê chung trên thế giới cho thấy trong 9 người phụ nữ sẽ có 1 người mắc ung thư vú. Ở Việt Nam có sự khác biệt về tỷ lệ mắc UTV giữa 2 miền Bắc và Nam: ở miền Bắc tỷ lệ mắc bệnh UTV chuẩn theo tuổi là 27,3/100.000 dân, đứng đầu trong các ung thư ở nữ; ở miền Nam tỷ lệ mắc UTV là 17,1/100.000 dân, đứng hàng thứ 2 sau UT cổ tử cung. UTV có xu hướng tăng nhanh ở các nước, đặc biệt ở các nước đang phát triển trong đó có Việt Nam. Mặc dù tỷ lệ mắc bệnh gia tăng nhanh chóng nhưng tỷ lệ chết vẫn giữ ở mức ổn định nhờ các tiến bộ trong sàng lọc phát hiện sớm và những thành tựu đạt được trong điều trị, đặc biệt là điều trị hệ thống: hoá chất, nội tiết, miễn dịch.

Có nhiều phương pháp sàng lọc phát hiện sớm UTV như bằng tự khám vú, khám định kỳ sau 30 tuổi và chụp X quang tuyến vú (mammography)…

Các phương pháp chẩn đoán UTV là khám lâm sàng, chụp mammography, siêu âm vú, sinh thiết u vú, hạch nách, xạ hình xương và đặc biệt là chụp PET/CT.

PET/CT là kỹ thuật mới, hiện đại, được chỉ định cho các bệnh nhân UTV với mục đích:

1. Chẩn đoán ung thư vú nguyên phát:

Kỹ thuật PET/CT rất có giá trị trong chẩn đoán, phát hiện ung thư vú sớm. PET/CT phân biệt các tổn thương lành tính và ác tính ở vú tốt hơn các phương pháp khác như Xquang, siêu âm ngay cả khi các tổn thương này kích thước nhỏ.



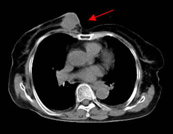
Hình 1. Bệnh nhân Phạm Th. X., nữ, 50 tuổi, bệnh nhân sờ thấy u nhỏ ở vú trái. Bệnh nhân được chụp PET/CT Hình PET/CT thấy khối u nhỏ ở vú trái tăng hấp thu FDG (mũi tên). Trên hình ảnh CT khó đánh giá được tính chất của tổn thương. Bệnh nhân được phẫu thuật và chẩn đoán là ung thư vú trái giai đoạn sớm.

(Nguồn: Mai Trọng Khoa – Trung tâm Y học hạt nhân và ung bướu – BV Bạch Mai)

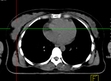
2. Chẩn đoán phân loại giai đoạn hạch nách, xác định giai đoạn bệnh:

Ung thư vú nguyên phát có thể được chia làm hai giai đoạn. Giai đoạn khu trú tại vùng (vú và hạch nách) và giai đoạn di căn xa. Di căn hạch nách là một trong những yếu tố tiên lượng quan trọng nhất giúp các bác sĩ lựa chọn phác đồ điều trị bổ trợ đúng. Nếu không có di căn hạch nách thì không cần thiết phải lấy bỏ hoàn toàn hạch nách, tránh nguy cơ phát triển chứng phù hạch (12%), chứng rối loạn chức năng và sự không thoải mái xảy ra ở hơn 50% những bệnh nhân sau khi vét hạch nách.


Hình 2a: Hình PET toàn thân của bệnh nhân Đỗ Thị N., 87 tuổi. thấy khối u ở vú phải (mũi tên đỏ) và hai hạch nách phải (mũi tên xanh) tăng hấp thu FDG.



Hình 2b: cho thấy rõ mức độ tập trung cao FDG tại vùng có khối u ở vú phải, max SUV=10,24.


Hình 2c: cho thấy hình ảnh hai hạch nách tăng hấp thu FDG (hạch di căn ung thư vú).
Nguồn: Mai Trọng Khoa – Trung tâm Y học hạt nhân và ung bướu – BV Bạch Mai)

3. Chẩn đoán phát hiện di căn xa, đánh giá giai đoạn bệnh

Đánh giá giai đoạn bệnh sau phát hiện ung thư vú nguyên phát bao gồm các xét nghiệm thường quy như siêu âm bụng, X-quang, CT, xạ hình xương,... Thay vì làm nhiều xét nghiệm chẩn đoán, PET/CT có thể đánh giá toàn thân chỉ trong một lần kiểm tra.

Hình 3 là hình chụp PET/CT của bệnh nhân Bùi T. D., nữ, 28 tuổi, chẩn đoán ung thư vú phải. Trên hình toàn thân cho thấy chỉ có tổn thương u vú phải tăng hấp thu FDG mạnh, chưa có tổn thương di căn xa.


Hình 3: Hình khối u ác tính vú phải tăng hấp thu FDG mạnh (mũi tên). (Nguồn: Mai Trọng Khoa – Trung tâm Y học hạt nhân và ung bướu – BV Bạch Mai)

            Hình 4 (a, b) cho thấy giá trị của PET/CT trong đánh giá giai đoạn của ung thư vú. Bệnh nhân Nguyễn Th. T. Tr., nữ, 63 tuổi, chẩn đoán là ung thư vú. Kết quả PET/CT toàn thân cho thấy nhiều tổn thương di căn hạch cổ, hạch trung thất, di căn 2 phổi, gan, xương tăng hấp thu FDG.


Hình 4a. Hình PET toàn thân thấy nhiều tổn thương hạch cổ, hạch trung thất (mũi tên vàng), phổi (mũi tên đỏ), gan (mũi tên tím) và xương (mũi tên xanh) tăng hấp thu FDG.



Hình 4b. Hình PET/CT ở mặt phẳng cắt ngang thấy tổn thương di căn phổi (mũi tên đỏ) và di căn gan (mũi tên da cam).
(Nguồn: Mai Trọng Khoa – Trung tâm Y học hạt nhân và ung bướu – BV Bạch Mai)

4. Đánh giá đáp ứng điều trị:

            Trong điều trị ung thư vú, hóa chất tân bổ trợ được sử dụng để cải thiện ung thư vú nguyên phát cùng khả năng cắt bỏ và khả năng phẫu thuật bảo tồn vú. Đánh giá đáp ứng sớm với phác đồ hóa chất đã lựa chọn là cần thiết nhằm thay đổi phác đồ điều trị khác hay tiếp tục điều trị phác đồ cũ. Thông tin về lâm sàng và chẩn đoán hình ảnh thường không chính xác và phải mất thời gian lâu mới phát hiện ra sự suy giảm kích thước khối u. Điều trị hiệu quả tác động đầu tiên đến quá trình trao đổi chất, sau đó làm giảm kích thước của u. Vì PET/CT là kỹ thuật có độ tin cậy cao để đánh giá mức độ đáp ứng với hóa chất hơn các phương pháp thông thường.



Hình 5. Bệnh nhân nữ 51 tuổi với ung thư vú thứ phát ở bên trái đã được điều trị hoá chất. Trên hình ảnh PET không thấy biểu hiện đáp ứng, kích thước u không thay đổi đáng kể. Bệnh nhân đã phải thay đổi cách điều trị.

5. Phát hiện tái phát và di căn:

Sau điều trị bệnh nhân ung thư vú cần theo dõi và khám định kỳ theo tuyến chuyên khoa. Hiện nay chỉ có chụp X-quang tuyến vú và khám lâm sàng được thực hiện thường quy. Khi bệnh nhân bắt đầu có triệu chứng lâm sàng hoặc nồng độ chất chỉ điểm khối u tăng lên mới sử dụng phương tiện chẩn đoán khác để phát hiện tái phát. Chụp PET/CT giúp phát hiện tái phát và di căn ở giai đoạn sớm để nhanh chóng có được liệu pháp điều trị bổ trợ kịp thời, điều trị hiệu quả hơn, tránh những biến chứng và giúp cải thiện chất lượng cuộc sống tốt hơn.



Hình 6. Bệnh nhân Lê T. H. G., nữ, 41 tuổi. Chẩn đoán: Ung thư vú đã điều trị cách đấy 8 năm. Hiện tại bệnh nhân đi khám lại thấy có chỉ điểm ung thư (CA 15-3) tăng. Trên hình PET/CT cho thấy tổn thương xương nhiều ổ tại cột sống, xương cánh tay (các mũi tên). (Nguồn: Mai Trọng Khoa – Trung tâm Y học hạt nhân và ung bướu – BV Bạch Mai)

6. PET/CT mô phỏng lập kế hoạch xạ trị ung thư vú

           Điều trị ung thư vú là sự phối hợp nhiều phương pháp: điều trị tại chỗ (phẫu thuật, xạ trị) và toàn thân (hóa chất, nội tiết, miễn dịch). Xạ trị có vai trò quan trọng trong việc kiểm soát khối u tại chỗ, tại vùng nhằm giảm tỉ lệ tái phát tại chỗ, tăng thời gian sống thêm. Trong xạ trị thì mô phỏng là bước đặc biệt quan trọng: cố định bệnh nhân, định vị khối u để tia xạ trúng đích. Mô phỏng có thể sử dụng CT hoặc tốt hơn nên sử dụng PET/CT.

            Trong xạ trị ung thư vú thì hạch vú trong được cân nhắc chỉ định xạ trị tùy theo mức độ bị di căn. Rất khó có thể đánh giá di căn hạch vú trong trên hình ảnh CT. Trong những trường hợp này mô phỏng trên PET/CT sẽ có nhiều ưu việt hơn. PET/CT cho phép đánh giá chính xác sự di căn hạch vú trong với độ nhạy rất cao.



Hình 7. Bệnh nhân Nguyễn Th. M. T., nữ, 51 tuổi, chẩn đoán: Ung thư vú trái đã phẫu thuật. Bệnh nhân được chụp PET/CT mô phỏng lập kế hoạch xạ trị hậu phẫu. Trên hình PET/CT mô phỏng thấy rõ hạch nách trái và hạch vú trong. (Nguồn: Mai Trọng Khoa – Trung tâm Y học hạt nhân và ung bướu – BV Bạch Mai)

Tin liên quan