Vai trò của PET/CT trong chẩn đoán ung thư chưa rõ nguyên phát

Ngày đăng: 29/12/2012 Lượt xem 3963
Ung thư chưa rõ nguyên phát (UTCRNP) là loại ung thư ở thời điểm chẩn đoán ban đầu chưa biết được nguồn gốc, có biểu hiện ở các nhóm khối u hỗn tạp với những đặc điểm lâm sàng khác nhau.
 PGS. TS. Mai Trọng Khoa

Trung tâm Y học hạt nhân và Ung bướu-Bệnh viện Bạch Mai

Ung thư chưa rõ nguyên phát (UTCRNP) là loại ung thư ở thời điểm chẩn đoán ban đầu chưa biết được nguồn gốc, có biểu hiện ở các nhóm khối u hỗn tạp với những đặc điểm lâm sàng khác nhau. Theo van de Wous và cộng sự (năm 2002) có 0,5-7% các bệnh nhân ung thư được chẩn đoán là ung thư chưa rõ nguyên phát. Trong số này, ung thư phổi chiếm tỷ lệ cao nhất, tiếp đến là ung thư vòm họng, ung thư mũi họng, ung thư vú, ung thư đại tràng và ung thư thực quản. Bằng phương pháp chẩn đoán hình ảnh và tiến hành nhiều xét nghiệm kiểm tra trên tất cả các bệnh nhân đã phát hiện được nguyên phát ở mức dưới 40% trong số các ung thư chưa rõ nguyên phát. Thậm chí khi khám nghiệm tử thi cũng chỉ có thể phát hiện được nguyên phát ở 80% các trường hợp. Nguyên nhân được cho là do chỉ tổn thương di căn được phát hiện trong khi khối u nguyên phát teo nhỏ lại trong quá trình phát triển bệnh hoặc do tốc độ phát triển rất chậm của khối u.

            Trong quá trình chụp hình PET/CT cho các bệnh nhân ung thư, Mai Trọng Khoa và cộng sự nhận thấy nếu chỉ dựa vào các kỹ thuật chẩn đoán như siêu âm, CT, MRI,… thì chúng ta có thể gặp một số trường hợp ung thư nhưng chưa rõ ổ nguyên phát. Nguyên nhân là do chỉ tổn thương di căn được phát hiện trong khi khối u nguyên phát còn quá nhỏ, không phát hiện được. Rất nhiều trường hợp bệnh nhân có biểu hiện di căn rất rõ nhưng vị trí tổn thương nguyên phát không tìm thấy được, điều này gây cản trở đến chiến lược điều trị và rõ ràng là hiệu quả điều trị không cao, tỷ lệ tử vong cao và thời gian sống thêm thấp.

            Vị trí di căn thường gặp nhất là hạch ở hố thượng đòn và vùng cổ, sau đó là não và xương với chẩn đoán mô bệnh học là ung thư biểu mô tế bào vẩy, ung thư biểu mô tuyến; loại ung thư biểu mô không biệt hoá có tỷ lệ ít hơn. Việc chẩn đoán những trường hợp ung thư này đòi hỏi sự đánh giá toàn diện, phụ thuộc sự thăm khám lâm sàng, bệnh sử, kết quả xét nghiệm mô bệnh học, hoá mô miễn dịch và chất chỉ điểm khối u… Chúng ta vẫn phải phối hợp với các kỹ thuật chẩn đoán cơ bản bao gồm những phương pháp dễ tiếp cận và phổ biến như siêu âm, nội soi, chụp cắt lớp vi tính, cộng hưởng từ,... Nhưng những phương pháp chẩn đoán hình thái này trong một số trường hợp có độ nhạy và độ đặc hiệu chưa cao, không tìm thấy tổn thương nguyên phát.

Mai Trọng Khoa và cộng sự đã tiến hành chụp PET/CT cho hành nghìn bệnh nhân ung thư khác nhau tại Bệnh viện Bạch Mai và nhận thấy rằng có nhiều trường hợp rất khó phát hiện và chẩn đoán được tổn thương nguyên phát nếu chỉ dựa vào các hình ảnh của siêu âm, CT hay MRI...

            Vì vậy cần có một phương pháp có thể hỗ trợ các kỹ thuật khác để chẩn đoán nhanh, chính xác, với độ nhạy và độ đặc hiệu cao trong việc xác định vị trí của ung thư nguyên phát. PET/CT là kỹ thuật có thể đáp ứng và đảm bảo được các yêu cầu đó. Thực tế cho thấy PET và PET/CT là kỹ thuật giúp chẩn đoán nhanh và chính xác UTCRNP với độ nhạy, độ đặc hiệu tương đối cao.

Từ năm 2010 đến năm 2012 đã có hàng nghìn bệnh nhân đã được chụp PET/CT tại Trung tâm Y học hạt nhân và Ung bướu - Bệnh viện Bạch Mai. Trong số những bệnh nhân này, Mai Trọng Khoa và cộng sự phát hiện thấy có 141 bệnh nhân ung thư chưa rõ nguyên phát đã được chụp PET/CT. PET/CT đã phát hiện được khối u nguyên phát ở 52 bệnh nhân (chiếm 36,9%), ở các vị trí: u phổi, u vùng đầu mặt cổ (u vòm, u thanh quản), u vú, u tụy là 89 bệnh nhân (chiếm 63,1%). Số còn lại không tìm thấy khối u nguyên phát ở đâu.

Tiến hành phân tích kỹ hơn các trường hợp ung thư chưa rõ nguyên phát ở trên, Mai Trọng Khoa và cs nhận thấy có 39 bệnh nhân là ung thư di căn hạch vùng cổ chưa rõ nguyên phát, sau khi chụp PET/CT đã phát hiện được u nguyên phát ở 9 bệnh nhân (chiếm 23,1%), trong đó có 8 bệnh nhân có khối u nguyên phát ở vòm và 1 bệnh nhân có khối u nguyên phát ở vùng thanh quản.

Dưới đây là một số hình ảnh minh họa giá trị của PET/CT trong phát hiện ung thư chưa rõ nguyên phát tại Trung tâm PET/CT -Bệnh viện Bạch Mai

Hình 1 mô tả kết quả ghi hình PET/CT của bệnh nhân Nguyễn Th. B., nữ, 52 tuổi. Gần đây thấy xuất hiện hạch cổ hai bên. Bệnh nhân đi khám và được nội soi vòm mũi họng thì không phát hiện thấy bất thường. X-quang, siêu âm đều cho hình ảnh bình thường. Sinh thiết hạch cổ có kết quả mô bệnh học là ung thư biểu mô không biệt hóa di căn hạch. Vì vậy bệnh nhân được chỉ định chụp PET/CT để phát hiện ung thư nguyên phát. Kết quả chụp PET/CT chỉ thấy hình ảnh ung thư vòm trái, di căn hạch cổ hai bên (tổn thương u vòm nằm dưới niêm mạc thành vòm trái nên không phát hiện được khi nội soi vòm).



     



Hình 1: Hình ảnh tổn thương nằm dưới niêm mạc thành vòm trái tăng hấp thu FDG mạnh (mũi tên đỏ). Nhiều hạch cổ hai bên tăng hấp thu FDG (mũi tên vàng). Kết luận: Hình ảnh ung thư vòm di căn hạch cổ hai bên.
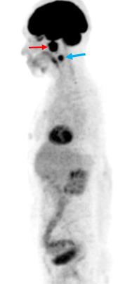
Hình 2 ghi lại kết quả chụp PET/CT của bệnh nhân Trịnh Th. T. L., nữ, 66 tuổi, gần đây thấy xuất hiện ù tai trái, hạch cổ trái. Sinh thiết hạch cổ trái là ung thư biểu mô di căn hạch chưa rõ nguyên phát. Bệnh nhân được chỉ định chụp PET/CT để tìm ổ ung thư nguyên phát.







Hình 2: Hình PET toàn thân và hình PET/CT thấy tổn thương ở vùng vòm (mũi tên đỏ) và hạch góc hàm (mũi tên xanh) tăng hấp thu FDG. Hình ảnh hướng đến ung thư vòm di căn hạch góc hàm trái. Bệnh nhân đi nội soi và bấm sinh thiết vùng vòm trái cho kết quả ung thư biểu mô tế bào vẩy.

Tin liên quan