CA LÂM SÀNG: CHẨN ĐOÁN UNG THƯ DI CĂN CHƯA RÕ NGUYÊN PHÁT TẠI TRUNG TÂM Y HỌC HẠT NHÂN VÀ UNG BƯỚU BỆNH VIỆN BẠCH MAI

Ngày đăng: 23/01/2026 Lượt xem 327

CA LÂM SÀNG: CHẨN ĐOÁN UNG THƯ DI CĂN CHƯA RÕ NGUYÊN PHÁT TẠI TRUNG TÂM Y HỌC HẠT NHÂN VÀ UNG BƯỚU BỆNH VIỆN BẠCH MAI

GS. TS. Mai Trọng Khoa 1,2,3, PGS. TS. Phạm Cẩm Phương 1,2,3,PGS. TS. Phạm Văn Thái 1,2, Ths. BS. Nguyễn Xuân Thanh 1,BSNT. Nguyễn Minh Hiếu 2

(1)     Trung tâm Y học hạt nhân và Ung bướu, Bệnh viện Bạch Mai

(2)     Trường Đại học Y Hà Nội

(3)     Trường Đại học Y Dược – Đại học Quốc Gia Hà Nội

GIỚI THIỆU

Ung thư chưa rõ nguyên phát là một tình trạng bệnh lý ác tính đặc biệt, được chẩn đoán khi có bằng chứng mô học của ung thư di căn nhưng không xác định được vị trí u nguyên phát, ngay cả sau khi đã thực hiện đầy đủ các phương tiện chẩn đoán hiện đại như chẩn đoán hình ảnh học toàn thân, các xét nghiệm chất chỉ điểm khối u (tumor markers), mô bệnh học và hóa mô miễn dịch.

Theo GLOBOCAN 2020, có khoảng 20 triệu ca ung thư mới được chẩn đoán trên toàn cầu,và ung thư chưa rõ nguyên phát chiếm khoảng 1–2% trong con số đó, tương ứng với khoảng 400.000 trường hợp hàng năm. Mặc dù tỷ lệ này có xu hướng giảm nhờ những tiến bộ trong kỹ thuật chẩn đoán hình ảnh, y học hạt nhân và sinh học phân tử, thì ung thư chưa rõ nguyên phát vẫn là nhóm ung thư có tiên lượng xấu, với phần lớn bệnh nhân được phát hiện khi đã di căn lan rộng và thiếu định hướng cá thể hóa điều trị.

Tại Việt Nam, tuy chưa có ghi nhận một cách hệ thống dành cho ung thư chưa rõ nguyên phát, các báo cáo bệnh viện vẫn ghi nhận một tỷ lệ dao động từ 5 đến 10%gặp trong thực hành lâm sàng, đặc biệt phổ biến ở nhóm bệnh nhân lớn tuổi.Trong đó, các vị trí di căn phát hiện đầu tiên thường gặp có thể là hạch ngoại vi, gan, phổi và xương. Trong một số trường hợp, di căn hạch ngoại vi là dấu hiệu lâm sàng đầu tiên, đặt ra thách thức lớn trong việc xác định nguồn gốc nguyên phát khi không có triệu chứng tại bất kỳ cơ quan đặc hiệu nào.

Chiến lược tiếp cận bệnh nhân ung thư chưa rõ nguyên phát đòi hỏi sự phối hợp chặt chẽ giữa đánh giá lâm sàng toàn diện, phân tích mô bệnh học, hóa mô miễn dịch định hướng nguồn gốc, và chẩn đoán hình ảnh toàn thân như CT, MRI, và đặc biệt là các phương tiện chẩn đoán bằng Y học hạt nhân tiên tiến hiện nay như PET/CT. Tuy nhiên, trong thực tế, không ít trường hợp vẫn không xác định được nguồn gốc u dù đã sử dụng đầy đủ các phương tiện chẩn đoán hiện đại, buộc phải đưa ra phác đồ điều trị dựa trên đặc điểm mô học và mô hình di căn.

Trong bài viết này, chúng tôi giới thiệu một trường hợp là bệnh nhân: nam, 57 tuổi  đến khám tại tại trung tâm Y học hạt nhân và Ung bướu bệnh viện Bạch Mai.  Bệnh nhân có triệu chứng khởi phát tại hạch bẹn phải và tăng dần kích thước, sau đó được chẩn đoán ung thư biểu mô tuyến kém biệt hóa di căn hạch, nhưng không tìm thấy vị trí u nguyên phát, mặc dù đã tiến hành chụp PET/CT toàn thân, MRI ổ bụng, CT sọ não, CT ngực và các phân tích hóa mô miễn dịch. Trường hợp này không chỉ phản ánh những thách thức khi chẩn đoán ung thư chưa rõ nguyên phát trong bối cảnh thực tế lâm sàng, mà còn là cơ sở để thảo luận chiến lược tiếp cận chẩn đoán hệ thống cho một trong những nhóm bệnh nhân ung thư nhiều ẩn số nhất hiện nay.

BÁO CÁO CA LÂM SÀNG:

I.   HÀNH CHÍNH

Họ và tên: Đ. V. C

Giới tính: Nam

Năm sinh: 1967 (57 tuổi)

Dân tộc: Kinh

II.     CHUYÊN MÔN

1.     Lý do vào viện: Tự sờ thấy hạch bẹn phải

2.    Tiền sử

a.     Tiền sử bản thân:  Chưa phát hiện bệnh lý mạn tính

b.     Tiền sử gia đình: Chưa phát hiện ai mắc bệnh lý ung thư

3.     Bệnh sử:

Khoảng tháng 5/2025, bệnh nhân tự sờ thấy hạch bẹn phải, không sưng nề, không đau,kích thước tăng dần, bệnh nhân không gầy sút cân, không sốt, không ho, không đau ngực, không khó thở, đại tiện phân vàng, thành khuôn, không lẫn nhầy, máu,tiểu tiện vàng trong. Bệnh nhân đi khám được chọc tế bào hạch bẹn phải kết quả nghi ngờ ung thư biểu mô di căn → nhập Trung tâm Y học hạt nhân và Ung bướu bệnh viện Bạch Mai đánh giá và điều trị.

4.     Khám bệnh

4.1. Khám toàn thân

Bệnh nhân tỉnh, tiếp xúc tốt

Thể trạng trung bình, PS 0

Da,niêm mạc hồng, không tìm thấy tổn thương nốt, khối hoặc trợt, loét nghi ngờ

Hạch bẹn phải to, cứng, chắc, còn di động, không dính da, kích thước ~2cm

Không phù, không xuất huyết dưới da

Mạch 90 lần/phút, huyết áp 120/80 mmHg

Nhịp thở 18 lần/phút, spO2 99% tự thở

Thân nhiệt 36,8 độ C

4.2. Khám bộ phận:

4.2.1. Tim mạch: Tim nhịp đều, tần số 90 lần/phút, tiếng tim T1 T2 rõ, không có tiếng thổi bệnh lý, không có các dấu hiệu Harzer, chạm dội Barr.

4.2.2. Hô hấp: Nhịp thở đều 18 lần/phút, lồng ngực cân đối, di động theo nhịp thở, không có tuần hoàn bàng hệ, rì rào phế nang rõ, đều 2 bên, phổi không rale

4.2.3: Tiêu hóa:

Bụng mềm, không chướng, ấn không đau

Gan,lách không sờ thấy

Không có phản ứng thành bụng, không có cảm ứng phúc mạc

Thăm trực tràng không sờ thấy phối, phân vàng không lẫn máu, tuyến tiền liệt không to

4.2.4. Hệ tiết niệu:

Không có dấu hiệu chạm thận, bập bềnh thận

Không có điểm đau niệu quản, cầu bàng quang âm tính

4.2.5. Hệ cơ xương khớp

Không đau, không hạn chế vận động các xương và khớp tại trung tâm và ngoại biên

Không có biến dạng khớp

4.2.6. Các cơ quan khác: Chưa phát hiện dấu hiệu, triệu chứng bất thường

5. Các kết quả cận lâm sàng

Các chất chỉ điểm khối u (tumor markers) có nồng độ cao: CEA: 42.05 ng/mL; CA 19-9: 50.1 U/mL; CA 72-4 13.2 U/mL; Cyfra 21-1:15.75 ng/mL; 

Các chất chỉ điểm khối u khác đều trong giới hạn bình thường: fPSA/tPSA: 0.27/1.6 ng/mL, AFP:2.3 ng/mL; beta2-microglobulin: 1.67 mg/L; SCC: 0.5 ng/mL

Giải phẫu bệnh:

Bệnh nhân được sinh thiết hạch bẹn phải bằng phương pháp sinh thiết kim + nhuộm hóa mô miễn dịch: Hình ảnh mô bệnh học và hoá mô miễn dịch phù hợp với ung thư biểu mô tuyến kém biệt hoá di căn hạch.

Nhuộm hoá mô miễn dịch lần 2 với 5 dấu ấn thấy các tế bào u phản ứng:

- Dương tính với dấu ấn: CK7

- Âm tính với các dấu ấn: CK20, CDX2, TTF1, PSA

Chẩn đoán mô bệnh học:

Hình ảnh mô bệnh học và hoá mô miễn dịch phù hợp với ung thư biểu mô tuyến kém biệt hoá di căn hạch.

Mô u phản ứng âm tính với các dấu ấn định hướng nguồn gốc phổi, ống tiêu hoá, tuyến tiền liệt. Đề nghị phối hợp lâm sàng và xét nghiệm khác để định hướng nguồn gốc u.

Chụp CT scanner lồng ngực: Phổi phải: vài nốt đặc ở thùy trên phổi, lớn nhất đường kính 5 mm. Nốt vôi hóa ở thùy dưới phổi, đường kính 3 mm. Không thấy tổn thương hình mờ dạng lưới, không thấy giãn phế quản – phế nang. Đối chiếu với PET/CT: không tăng chuyển hóa FDG

Chụp CT scanner sọ não: Hiện tại không thấy bất thường

Nội soi thực quản - dạ dày: Viêm dạ dày trào ngược dịch mật. Chưa phát hiện tổn thương nghi ngờ ác tính.

Nội soi đại tràng: Hình ảnh nội soi đại trực tràng bình thường. Trĩ độ I. Chưa phát hiện tổn thương nghi ngờ ác tính

Nội soi tai mũi họng: Nấm ống tai ngoài bên trái. Chưa phát hiện tổn thương nghi ngờ ác tính các vùng khoang mũi, miệng, họng, thanh quản, ống 2 bên.

Chụp cắt lớp phát xạ positron PET/CT:

1. Hình ảnh vài hạch thượng đòn trái (SUVmax: 2.85), nhiều hạch ổ bụng (SUVmax: 4.89), hạch chậu hai bên (SUVmax: 4.66) tăng chuyển hóa FDG tương ứng với hạch ác tính. Đối chiếu với mô bệnh học, hóa mô miễn dịch. 

2. Hình ảnh tổn thương khuyết xương ở thân đốt sống L4, xương chậu phải, xương mu phải, tăng chuyển hóa FDG khả năng ác tính (SUVmax: 3.08).

3. Hình ảnh tăng chuyển hóa FDG ở amidam bên phải (SUVmax: 3.71) Đối chiếu với nội soi.

4. Hình ảnh nốt giảm tỷ trọng ở nhu mô gan hạ phân thùy IV, tăng nhẹ chuyển hóa FDG (SUVmax: 2.76). Cần phối hợp đánh giá thêm.

5. Hình ảnh vài nốt mờ dưới màng phổi và sát rãnh liên thùy ở thùy dưới phổi phải và thùy trên phổi trái, không tăng chuyển hóa FDG. Nên lưu ý bệnh lý viêm. (Đối chiếu với CT scanner lồng ngực: phù hợp với hình ảnh)

Hình 1. Hình ảnh PET/CT toàn thân của bệnh nhân.

Hình 2. Hình ảnh tăng chuyển hóa FDG ở amidam bên phải với SUVmax: 3.71 (được ký hiệu bằng mũi tên màu da cam, hình trên). Tuy nhiên, khi đối chiếu với hình ảnh nội soi tai mũi họng lại không có tổn thương nghi ngờ ác tính (Hình dưới).

Hình 3. Hình ảnh nhiều hạch ổ bụng (SUVmax: 4.89) tăng chuyển hóa FDG tương ứng với hạch ác tính (mũi tên đỏ). Đối chiếu với mô bệnh học, hóa mô miễn dịch.

Hình 4. Hình ảnh tổn thương xương chậu phải (mũi tên màu da cam), xương mu phải (mùi tên màu vàng), tăng chuyển hóa FDG khả năng ác tính (SUVmax: 3.08);hạch bẹn 2 bên tăng chuyển hóa FDG, với tổn thương có kích thước lớn và tăng bắt FDG rõ rệt ở hạch bẹn phải (mũi tên vàng), SUVmax: 4,66.

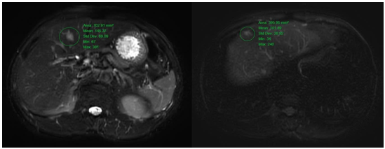
Hình 5. Hình ảnh các nốt tổn thương nhu mô gan hai bên tăng tín hiệu trên xung T2W cộng hưởng từ ổ bụng, hạn chế khuếch tán ở nốt hạ phân thùy V (vòng tròn màu xanh lá cây) kích thước lớn nhất ~ 14x16mm.

Hình 6. Hình ảnh nội soi tai mũi họng chưa phát hiện tổn thương nghi ngờ ác tính (Tai Phải: Ống tai ngoài có mảng trắng dạng nấm, Màng nhĩ dày đục; Tai trái: Màng nhĩ dày đục; Mũi: Khe sàn mũi sạch, cuốn mũi 2 bên bình thường; Vòm họng: Nhẵn, sạch, cân đối; Họng: Sạch; Thanh quản: Dây thanh 2 bên nhẵn, di động bình thường.) Mặc dù đối chiếu với PET/CT có tổn thương tăng bắt FDG tại amidan bên phải (SUVmax:3.71)

Hình 7. Hình ảnh nội soi thực quản-dạ dày chưa phát hiện tổn thương nghi ngờ ác tính

Hình 8. Hình ảnh nội soi đại tràng chưa phát hiện tổn thương nghi ngờ ác tính

6. Chẩn đoán: Ung thư biểu mô tuyến kém biệt hóa di căn hạch bẹn phải, hạch chậu 2 bên, hạch ổ bụng, di căn xương chưa rõ nguyên phát

LỜI BÀN

Ca lâm sàng này là một trong các trường hợp rất điển hình của ung thư chưa rõ nguyên phát, với bằng chứng ung thư ban đầu được tìm thấy tại hạch bẹn di căn, một vị trí không phổ biến nhưng có thể là biểu hiện đầu tiên của các ung thư vùng chậu như đại trực tràng, hệ tiết niệu – sinh dục, hoặc da… . Tuy nhiên, bệnh nhân không có triệu chứng cơ năng tại các vị trí nghi ngờ. Với trường hợp này, bệnh nhân được khảo sát toàn thân bằng các phương tiện chẩn đoán hình ảnh như CT sọ não, CT lồng ngực, MRI ổ bụng, nội soi các cơ quan thường gặp các khối u nguyên phát như tai-mũi-họng, đường tiêu hóa (thực quản-dạ dày-đại tràng), đồng thời kết hợp với xét nghiệm các dấu ấn hóa mô miễn dịch nhằm định nguồn gốc của u.

Hóa mô miễn dịch cho thấy kiểu hình biểu mô tuyến kém biệt hóa, âm tính với các dấu ấn định hướng nguồn gốc phổi (TTF-1), tiêu hóa (CDX2), và tuyến tiền liệt (PSA), qua đó loại trừ một số nhóm ung thư thường gặp ở nam giới > 50 tuổi.Ở trường hợp này chúng tôi cũng thấy được vai trò gợi ý của các chỉ dấu khối u trong huyết thanh bị giới hạn đáng kể, khi bệnh nhân có tới 4 dấu ấn, bao gồm CEA, CA 72-4, CA 19-9, Cyfra 21-1 đều tăng cao, nhưng mô bệnh học lại âm tính với tất cả các dấu ấn định hướng tới nguồn gốc từ phổi, đường tiêu hóa, cho thấy được sự phức tạp trong bản chất khối u, sự mâu thuẫn giữa kháng nguyên u được tiết ra và dấu ấn phân tử thể hiện trên bề mặt tế bào u, cũng minh họa rất rõ thách thức lớn trong chẩn đoán ung thư chưa rõ nguyên phát.

CT ngực, MRI ổ bụng, CT sọ não cũng không phát hiện được tổn thương nguyên phát.Trường hợp này của bệnh nhân là chỉ định tuyệt đối của chụp PET/CT nhằm tìm ra vị trí nghi ngờ có khả năng ung thư cao nhất.

Kết quả PET/CT toàn thân của bệnh nhân tuy không phát hiện được tổn thương nguyên phát, nhưng phát hiện được rất nhiều các tổn thương di căn hạch trong ổ bụng-tiểu khung như nhiều hạch cạnh động mạch chủ, hạch dọc bó mạch chậu 2 bênvới kích thước lớn và SUVmax cao, ngoài ra còn có xương đốt sống, cánh chậu, và gan. Với những thông tin có được từ PET/CT, bác sĩ lâm sàng có thể lựa chọn các vị trí khác nhau để sinh thiết lại tổn thương tìm nguồn gốc u (ví dụ: xương,gan). Đồng thời cũng đặt ra cân nhắc về nội soi tai mũi họng lần thứ hai để khẳng định lại tính chất của tổn thương amidan phải phát hiện trên PET/CT nhưng chưa nhìn được trong nội soi tai mũi họng lần đầu tiên.

Bệnh nhân này đã được hội chẩn hội đồng toàn trung tâm, có chỉ định lấy trọn hạch bẹn đánh giá lại nhằm loại trừ các trường hợp U lympho thường khó xác định trên mô bệnh học với bệnh phẩm lấy bằng phương pháp sinh thiết kim, đồng thời chỉ định nội soi đại tràng lần thứ hai nhằm cẩn trọng loại trừ lại tổn thương nguyên phát tại đại tràng trong trường hợp. Hiện tại, bệnh nhân này hiện vẫn đang tiếp tục được khảo sát thêm sự hiện diện của tế bào ung thư tại các cơ quan khác bằng các phương pháp sinh thiết xương (cánh chậu), sinh thiết khối giảm tỷ trọng tại gan, đồng thời khảo sát lại các cơ quan mà FDG-PET thường hạn chế đánh giá như hệ tiết niệu – bàng quang, bằng các xét nghiệm tế bào học nước tiểu, nội soi bàng quang – niệu quản ngược dòng để tìm ra nguồn gốc nguyên phát của ung thư. 

Ngoài yếu tố kỹ thuật, trường hợp này còn nhấn mạnh tầm quan trọng của cách tiếp cận đa chuyên khoa sự phối hợp chặt chẽ giữa bác sĩ lâm sàng ung bướu, chẩn đoán hình ảnh, giải phẫu bệnh học, cũng như vai trò rất lớn của chuyên ngành y học hạt nhân với PET/CT trong việc đưa ra quyết định chẩn đoán và điều trị hợp lý cho bệnh nhân ung thư chưa rõ nguyên phát.

Về mặt điều trị, chúng tôi hiện vẫn đang tiếp tục hoàn thiện chẩn đoán xác định cho bệnh nhân, tuy nhiên trong tình huống không thể xác định được nguồn gốc khối u, thì có thể điều trị liệu pháp toàn thân bằng các phác đồ hóa trị dựa trên nền tảng platinum, ví dụ như phối hợp carboplatin + paclitaxel, theo các guideline hiện hành khuyến cáo, trong khi chờ kết quả theo dõi sát hoặc đánh giá bổ sung nếu tình trạng cho phép.

TÓM LẠI

Ung thư chưa rõ nguyên phát là một nhóm ung thư đặc biệt, trong đó khó khăn lớn nhất là không thể xác định u nguyên phát dù đã sử dụng các công cụ chẩn đoán hiện đại. Trường hợp bệnh nhân nam 57 tuổi này, khởi phát bằng hạch bẹn phải di căn, mô học ung thư biểu mô tuyến kém biệt hóa, PET/CT, CT, MRI, nội soi các cơ quan vẫn chưa phát hiện được nguồn gốc u nguyên phát, là minh họa điển hình cho tính phức tạp và khó khăn của ung thư chưa rõ nguyên phát trong thực hành lâm sàng. Việc tiếp cận chẩn đoán ung thư chưa rõ nguyên phát cần được tiến hành hệ thống, kết hợp giữa lâm sàng, mô bệnh học, hóa mô miễn dịch, hình ảnh học và vai trò không thể thiếu của PET/CT trong lĩnh vực y học hạt nhân, đồng thời cùng với kết quả từ trí tuệ tập thể qua hội đồng hội chẩn chuyên gia. Khi không xác định được nguồn gốc, quyết định điều trị cần dựa vào mô hình di căn và phân nhóm tiên lượng. Trong bối cảnh hiện nay, cần tăng cường nghiên cứu dịch tễ học và ứng dụng sinh học phân tử để hỗ trợ định danh nguồn gốc u, từ đó cá thể hóa điều trị và cải thiện tiên lượng cho bệnh nhân.

Tin liên quan