Ca lâm sàng: Điều trị ung thư biểu mô tế bào gan bằng thuốc điều trị đích Sorafenib tại Trung tâm Y học hạt nhân và Ung bướu, Bệnh viện Bạch Mai.

Ngày đăng: 29/01/2026 Lượt xem 519

Ca lâm sàng: Điều trị ung thư biểu mô tế bào gan bằng thuốc điều trị đích Sorafenib tại Trung tâm Y học hạt nhân và Ung bướu, Bệnh viện Bạch Mai.

GS. TS. Mai Trọng Khoa, BSNT. Trần Xuân Đoan, PGS. TS. Phạm Cẩm Phương, PGS. TS. Phạm Văn Thái,
TS. Nguyễn Thanh Hùng

Trung tâm Y học hạt nhân và Ung bướu, Bệnh viện Bạch Mai

Ung thư biểu mô tế bào gan (hepatocellular carcinoma –HCC)  là loại ung thư thường gặp đứng thứ hai theo ghi nhận của Tổ chức Globocan Việt Nam năm 2022, ước tính mỗi năm có 24,502 trường hợp bệnh nhân HCC mới mắc, và đây là nguyên nhân gây tử vong do ung thư đứng hàng đầu tại Việt Nam khi có gần 23,333 bệnh nhân tử vong do căn bệnh này[1].  

Khoảng 30 -40% tổng số bệnh nhân HCC được chẩn đoán ở giai đoạn đầu và có thể điều trị bằng các liệu pháp tại chỗ như phẫu thuật, ghép gan, đốt sóng cao tần RFA, nút mạch gan TACE... Tỷ lệ sống còn 5 năm lên tới 60 -70% [2].                                                                                       

Phần lớn bệnh nhân được chẩn đoán HCC giai đoạn tiến xa, chỉ một tỷ lệ nhỏ bệnh nhân đủ điều kiện để áp dụng các điều trị tại chỗ, và liệu pháp toàn thân thường là phương pháp điều trị cuối cùng cho những bệnh nhân này. Từ năm 2008 đến nay, sorafenib -một chất ức chế đa kinase đường uống, tác động ức chế sự tăng sinh  tế bào khối u và sự hình thành mạch máu khối u –vẫn được coi là điều trị tiêu chuẩn cho những bệnh nhân HCC giai đoạn tiến xa  không  phẫu thuật  được [3].

Nghiên  cứu SHARP đa trung tâm, pha III mù đôi có nhóm chứng với điều trị sorafenib trong HCC giai đoạn tiến xa đã đạt được mục tiêu chính với tỷ lệ sống còn toàn bộ (OS) là 10,9 tháng. Tỷ lệ kiểm soát bệnh DCR đạt 43%, tuy nhiên vẫn chưa cải thiện được trung vị thời gian đến khi có triệu chứng tiến triển [3].

Dưới đây là 1 bệnh nhân được điều trị ung thư biểu mô tế bào gan đã kháng TACE bằng Sorafenib tại Trung tâm Y học hạt nhân và Ung bướu, bệnh viện Bạch Mai

Bệnh nhân: L.T.L nữ 69 tuổi

Lý do vào viện: Đau bụng âm ỉ hạ sườn phải, gầy sút cân

Bệnh sử:

Khoảng Tháng 5/2023 bệnh nhân xuất hiện đau bụng âm ỉ hạ sườn phải,có lúc trội thành cơn, mỗi cơn kéo dài khoảng chừng 1 phút. Kèm theo đó có cảm giác mệt mỏi, ăn uống kém, gầy sút khoảng 3kg/tháng. Không nôn, không sốt, đại tiểu tiện bình thường, chuyển Trung Tâm YHHN và Ung bướu điều trị. Bệnh nhân được chẩn đoán Ung thư biểu mô tế bào gan BCLC B/ Viêm gan B. Bệnh nhân đã được nút mạch điều trị u gan (TACE) 4 lần, lần cuối khoảng tháng T12/2023 sau đó bệnh tiến triển, kháng TACE được chuyển điều trị toàn thân bằng Sorafenib 200mg x 2 viên/ ngày. Từtháng 6/2024

Tình trạng lúc nhập viện

Bệnh nhân tỉnh, tiếp xúc tốt

Thể trạng trung bình.

Huyết động ổn định

Tim nhịp đều, rõ

Phổi thông khí đều

Bụng mềm, gan lách chưa sờ thấy

Thăm trực tràng: không sờ thấy khối bất thường, không có máu theo găng

Các cơ quan khác chưa phát hiện bất thường

Tiền sử:

Bản thân: Viêm gan B điều trị thường xuyên

Gia đình: Chưa phát hiện bất thường

Quá trình theo dõi sau điều trị:

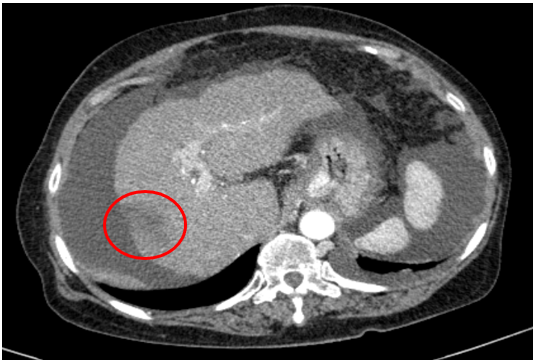
Tháng 8 năm 2024


 

Chụp cắt lớp vi tính ổ bụng

Gan: biến đổi hình thái, bờ không đều. Nhu mô gan phải có khối giảm tỉ trọng kích thước 26x25mm, ranh giới không rõ, co kéo bao gan lân cận,trong có hình ảnh tăng tỉ trọng của vật liệu nút mạch, sau tiêm có phần ngấm thuốc ngấm thuốc.

Dịch quanh gan 8mm., dịch tự do ổ bụng

=> Hình ảnh u gan phải sau điều trị hiện còn phần ngấm thuốc (Vòng tròn đỏ) /Xơ gan

Xét nghiệm máu


Chụp cắt lớp vi tính ngực, siêu âm hạch vùng cổ chưa phát hiện bất thường

Về lâm sàng: bệnh nhân gặp tình trạng tiêu chảy mức độ nhẹ trong thời gian đầu dùng thuốc

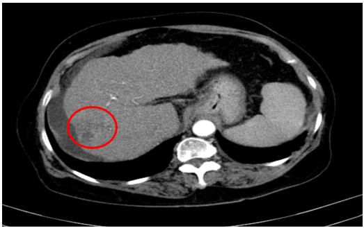
Tháng 12/2024

 

Chụp cắt lớp vi tính ổ bụng

Gan: Biến đổi hình thái, phì đại HPT I, bờ gan không đều. Nhu mô gan phải có khối giảm tỉ trọng kích thước 30x31mm, ranh giới không rõ, co kéo bao gan lân cận, tỷ trọng hỗn hợp, gồm phần tăng tỉ trọng của vật liệu nút mạch, phần tỷ trọng tổ chức vùng ngoại vi, sau tiêm ngấm thuốc mạnh thì động mạch, thải thuốc thì tĩnh mạch

Dịch quanh gan 22mm. Dịch tự do ổ bụng dày nhất 28mm

=>Hình ảnh u gan phải sau điều trị hiện còn phần ngấm thuốc sau tiêm (Vòng tròn đỏ), tăng nhẹ kích thước so với lần trước

Xét nghiệm máu


Chụp cắt lớp vi tính ngực, siêu âm hạch vùng cổ chưa phát hiện bất thường

Về lâm sàng: bệnh nhân hết tiêu chảy, ăn uống được và không gặp khó chịu gì khác

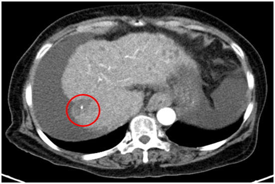
Tháng 4/2025:


 

Chụp cắt lớp vi tính ổ bụng

Gan: biến đổi hình thái, phì đại HPT I, bờ gan không đều.Nhu mô gan phải có khối giảm tỉ trọng hình chêm kích thước 37x35mm, ranh giới không rõ, co kéo bao gan lân cận, trong có phần tăng tỉ trọng của vật liệu nút mạch, ngấm thuốc kém sau tiêm. Dịch quanh gan 33mm. Dịch tự do ổ bụng

=>Hình ảnh u gan phải sau điều trị hiện không thấy phần ngấm thuốc sau tiêm (Bệnh đáp ứng điều trị nên không có tổ chức ngấm thuốc) (Vòng tròn đỏ)


Chụp cắt lớp vi tính ngực, siêu âm hạch vùng cổ chưa phát hiện bất thường

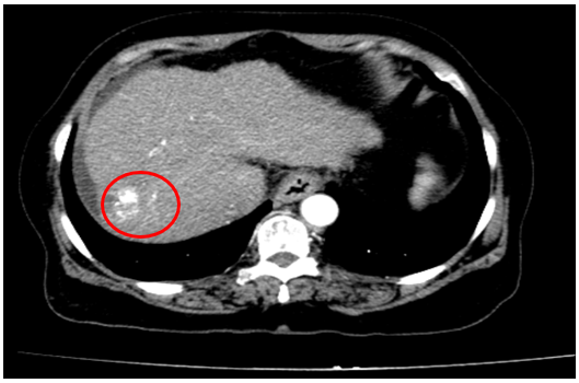
Tháng 7/2025



Chụp cắt lớp vi tính ổ bụng

Gan: biến đổi hình thái, phì đại HPT I, bờ gan không đều. Nhu mô gan phải có tổn thương giảm tỉ trọng kích thước 32x34mm, ranh giới không rõ, co kéo bao gan lân cận, trong có phần tăng tỉ trọng của vật liệu nút mạch, không ngấm thuốc sau tiêm

=>U gan hiện tại không còn phần ngấm thuốc trên phim (Vòng tròn đỏ)

Xét nghiệm máu


Tháng 11/2025


Chụp cắt lớp vi tính ổ bụng

Gan: biến đổi hình thái, bờ gan mấp mô không đều. Nhu mô gan có nhiều nốt giảm tỷ trọng trước tiêm, sau tiêm ngấm thuốc kém đường kính dưới 10mm dạng nốt xơ. Hạ phân thùy VII gan phải sát bao gan có nốt kích thước 22x31mm giảm tỷ trọng trước tiêm, sau tiêm không ngấm thuốc

Dịch tự do ổ bụng

=>U gan đã giảm kích thước, không còn tăng sinh mạch (Vòng tròn đỏ)

Xét nghiệm máu


Chụp cắt lớp vi tính ngực, siêu âm hạch vùng cổ chưa phát hiện bất thường

Bệnh nhân điều trị Sorafenib được khoảng 18 tháng bệnh ổn định dung nạp thuốc tốt, chủ yếu gặp tác dụng phụ như tiêu chảy độ I thoáng qua trong thời gian đầu dùng thuốc. Do đó bệnh nhân tiếp tục được duy trì Sorafenib và tái khám định kì theo hẹn của bác sĩ

Như vậy, sau 18 tháng điều trị, bệnh nhân vẫn đạt được đáp ứng tốt về cả lâm sàng và cận lâm sàng

Lời bàn:

Cách đây khoảng 10 năm về trước, ung thư gan là một trong những bệnh ung thư có tiên lượng xấu, đứng hàng đầu trong về tỷ lệ tử vong do ung thư. Bệnh nhân thường được phát hiện bệnh ở giai đoạn muộn với thời gian sống còn ngắn. Tuy nhiên, nhờ sự phát triển của sinh học phân tử trong chẩn đoán và các bước đột phá với liệu pháp điều trị đích, miễn dịch đã mang đến sự cải thiện đáng kể về hiệu quả điều trị. Và những liệu pháp điều trị này sẵn có tại Trung Tâm Y Học Hạt Nhân và Ung Bướu -  Bệnh Viện Bạch Mai.

Tài liệu tham khảo:

1. Ferlay JEM, Lam F, Laversanne M, Colombet M, Mery L, Piñeros M, Znaor A,Soerjomataram    I, Bray F. GLOBOCAN VIETNAM 2022 Lyon, France: International Agency for Research on  Cancer;  2024 [updated 08/02/2024. version 1.1:[Available from:https://gco.iarc.who.int/media/globocan/factsheets/populations/704-viet-nam-fact-sheet.pdf].

2. LlovetJM, Burroughs A, Bruix J. Hepatocellular   carcinoma.    Lancet.    2003;362(9399):1907-17.

3. Llovet  JM, Ricci S, Mazzaferro V, Hilgard P,Gane  E, Blanc JF, et  al.Sorafenib in  advanced

hepatocellular carcinoma. N Engl J Med. 2008;359(4):378-90 

Tin liên quan