CASE LÂM SÀNG ĐIỀU TRỊ MIỄN DỊCH UNG THƯ PHỔI DI CĂN NÃO TẠI BỆNH VIỆN BẠCH MAI

Ngày đăng: 28/01/2026 Lượt xem 327

CASE LÂM SÀNG

ĐIỀU TRỊ MIỄN DỊCH  UNG THƯ PHỔI DI CĂN NÃO TẠI BỆNH VIỆN BẠCH MAI

GS.TS. Mai Trọng Khoa, BSNT. Nguyễn Đức Thịnh, PGS. TS. Phạm Cẩm Phương, PGS. TS. Phạm Văn Thái,

Trung tâm Y học hạt nhân và Ung bướu, Bệnh viện Bạch Mai

Ung thư phổi là một trong những bệnh ung thư thường gặp nhất. Tại Việt Nam, theo  số liệu GLOBOCAN 2022, các số liệu cho thấy ung thư phổi đứng hàng thứ ba về tỉ lệ mới mắc và thứ hai về tỷ lệ tử vong. Tiên lượng bệnh phụ thuộc vào nhiều yếu tố như độ tuổi, giới, thói quen sinh hoạt,tình trạng đột biến gen…trong đó yếu tố về giai đoạn bệnh đóng một vai trò lớn trong việc đánh giá tỉ lệ tái phát và tử vong. Đối với những bệnh nhân ung thư phổi giai đoạn tại chỗ, tỉ lệ sống thêm sau 5 năm khoảng 61%, tuy nhiên khi đã di căn xa, tỉ lệ này chỉ còn khoảng 7%. Một thách thức lớn ở Việt Nam cũng như các đất nước đang phát triển hiện tại là đa số các bệnh nhân phát hiện ra ung thư phổi đều đã ở giai đoạn muộn, bỏ qua cơ hội điều trị triệt căn. Điều này đặt ra thách thức lớn trong việc lập kế hoạch điều trị nhằm kéo dài thời gian sống thêm của căn bệnh này.

Đối với ung thư phổi giai đoạn cuối, ngoài những phương pháp điều trị kinh điển như hóa trị hay điều trị bằng liệu pháp đích nếu bệnh nhân có đột biến gen, trong những năm gần đây, liệu pháp miễn dịch đã mở ra một tương lai mới trong việc điều trị các bệnh ung thư bao gồm cả ung thư phổi. Đối với bệnh nhân ung thư phổi giai đoạn cuối, liệu pháp giúp cải thiện cả về thời gian sống thêm bệnh không tiến triển cũng như thời gian sống thêm toàn bộ cho bệnh nhân so với hóa trị liệu đơn thuần.

Dưới đây là ca lâm sàng minh chứng cho hiệu quả của liệu pháp miễn dịch Pembrolizumab kết hợp hóa trị trên bệnh nhân ung thư phổi giai đoạn cuối có di căn gan, não, được điều trị tại Trung tâm Y học hạt nhân và Ung bướu, bệnh viện Bạch Mai.

Case lâm sàng:

Bệnh nhân Trần V V, giới nam, 64 tuổi.

Bệnh nhân nhập viện tháng 03 năm 2025.

Lý do vào viện: Đau đầu, yếu nửa người trái.

Tiền sử: Tăng huyết áp, đái tháo đường type 2điều trị thường xuyên, kiểm soát tốt. Bệnh nhân không hút thuốc lá, thuốc lào.

Bệnh sử: Cách vào viện khoảng 5 ngày, bệnh nhân xuất hiện đau đầu âm ỉ, đôi khi trội thành cơn kèm yếu nửa người trái, run tay chân bên trái. Các triệu chứng tăn dần ảnh hưởng đến sinh hoạt của bệnh nhân. Bệnh nhân được đưa đi khám tại bệnh viện Bạch Mai.

Khám lâm sàng thời điểm vào viện:

Bệnh nhân tỉnh, không sốt.

Huyết động ổn định.

Tim đều, nhịp tim 85 lần/phút, tiếng tim rõ, không phát hiện tiếng bệnh lý.

Phổi rì rào phế nang hai phổi nghe rõ, không có ran.

Bụng mềm, không chướng.

Đau đầu vùng đỉnh phải kèm chóng mặt khi thay đổi tư thế.

Liệt không hoàn toàn nửa người trái, cơ lực 4/5.

Xét nghiệm cận lâm sàng:

Xét nghiệm công thức máu, sinh hóa máu trong giới hạn bình thường.

Các chất chỉ điểm u (Tumor marker): Cyfra 21-1 và CEA đều tăng:


Bệnh nhân được chụp cộng hưởng từ sọ não, phát hiện khối u vùng trán phải, kích thước 17 x 20 mm gây phù não rộng xung quanh theo dõi tổn thương thứ phát



Hình 1
. Hình ảnh cộng hưởng từ sọ não ngày 25 tháng 03 năm 2025 (hình bên trái: xung T1; hình bên phải: xung T2) cho thấy khối u não vùng trán phải (mũi tên).

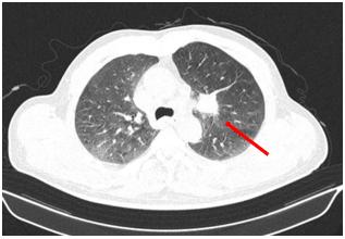
Bệnh nhân được chỉ định các xét nghiệm phương tiện cận lâm sàng khác. Trên phim chụp cắt lớp vi tính lồng ngực - ổ bụng của bệnh nhân phát hiện khối u phổi có kích thước ~ 32 x 30 mm ở thùy trên phổi trái và hình ảnh khối u gan ngấm thuốc viền - theo dõi thứ phát.


Hình 2.
Hình ảnh khối u phổi phải trên phim chụp Cắt lớp vi tính ngày 19 tháng 03 năm 2025 (mũi tên).


Hình 3.
Hình ảnh khối u gan (mũi tên)

Sinh thiết tổn thương u phổi trái cho kết quả mô bệnh học: Ung thư biểu mô tuyến. Xét nghiệm cho thấy không có đột gen EGFR, PD- L1 biểu hiện 85%.

Chẩn đoán xác định: Ung thư biểu mô tuyến phổi trái, giai đoạn 4, di căn gan, não EGFR (-), PD-L1 85%.

Sau khi hội chẩn hội đồng chuyên môn,bệnh nhân đã được quyết định điều trị với hóa trị liệu Pemetrexed + Carboplatin kết hợp liệu pháp miễn dịch Pembrolizumab. Bệnh nhân được theo dõi định kỳ qua triệu chứng lâm sàng, xét nghiệm và các phương tiện chẩn đoán hình ảnh.

Kết quả bắt đầu khả quan ở ngay sau chu kỳ đầu điều trị, trên lâm sàng bệnh nhân giảm hẳn đau đầu chóng mặt, tay chân đỡ yếu liệt. Bệnh nhân đã có thể tự đi lại, sinh hoạt gần như bình thường.

Sau 3 chu kỳ điều trị, bệnh nhân được làm lại các xét nghiệm và chụp lại kiểm tra. Kết quả cho thấy kích thước các khối u đều giảm đáng kể, thẻ hiện sự đáp ứng tốt với liệu trình điều trị của bệnh nhân


Hình 4.
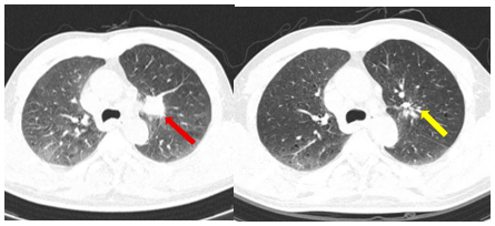
Hình ảnh phim chụp cắt lớp vi tính ngực ngày 10 tháng 7 năm 2025 (mũi tên vàng) so với ngày 19 tháng 03 năm 2025 (mũi tên đỏ), kích thước khối u giảm đáng kể so với phim chụp cũ.


Hình 5.
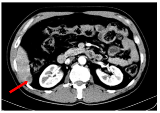
Hình ảnh phim chụp cắt lớp vi tính bụng ngày 10 tháng 7 năm 2025 (mũi tên trắng) so với ngày 19 tháng 03 năm 2025 (mũi tên đỏ) cho thấy hình ảnh khối u gan đã gần như biến mất hoàn toàn.


Hình 6.
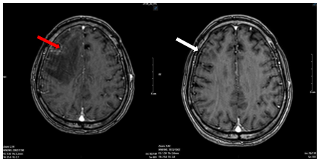
Hình ảnh phim chụp cộng hưởng từ não ngày 12 tháng 07 năm 2025 (mũi tên trắng) so với ngày 25 tháng 03 năm 2025(mũi tên đỏ) cũng thể hiện kích thước khối u đã giảm đáng kể so với phim chụp cũ.

Sau đó, bệnh nhân tiếp tục duy trì điều trị miễn dịch kết hợp hóa trị, sau gần 5 tháng điều trị, bệnh nhân vẫn đáp ứng rất tốt, không đau đầu, chóng mặt, gần như không còn yếu nửa người trái. Bệnh nhân có thể tự sinh hoạt tốt. Trên các kết quả xét nghiệm, chỉ điểm khối u CEA và Cyfra 21-1 cũng cho các kết quả tốt.


Kết luận:

Như vậy, trên đây là một trường hợp ung thư phổi giai đoạn IV di căn gan, não đáp ứng tốt với liệu pháp điều trị miễn dịch kết hợp hóa trị. Case lâm sàng trên là một minh chứng cho tác dụng của liệu pháp miễn dịch trong điều trị ung thư. Hiện nay, c ác thuốc điều trị miễn dịch ngày càng được ứng dụng điều trị trong ung thư phổi cũng như nhiều loại ung thư khác, đem lại lợi ích to lớn cả về kéo dài thời gian sống và chất lượng cuộc sống cho bệnh nhân.

 

Tin liên quan