CASE LÂM SÀNG HIỆU QUẢ CỦA OSIMERTINIB TRONG ĐIỀU TRỊ BỆNH NHÂN UNG THƯ PHỔI DI CĂN NÃO TẠI BỆNH VIỆN BẠCH MAI

Ngày đăng: 11/07/2025 Lượt xem 852
CASE LÂM SÀNG
 HIỆU QUẢ CỦA OSIMERTINIB TRONG ĐIỀU TRỊ BỆNH NHÂN UNG THƯ PHỔI DI CĂN NÃO TẠI BỆNH VIỆN BẠCH MAI

GS. TS Mai Trọng Khoa, BSNT Nguyễn Đức Thịnh,  PGS. TS Phạm Cẩm Phương 
Trung tâm Y học hạt nhân và Ung bướu, Bệnh viện Bạch Mai

Ung thư phổi là một trong những bệnh ung thư thường gặp nhất. Theo GLOBOCAN 2022, các số liệu cho thấy trên thế giới, ung thư phổi có tỉ lệ mới mắc và tỉ lệ tử vong hàng đầu. Tại Việt Nam, ung thư phổi đứng thứ ba về tỉ lệ mới mắc và thứ hai về tỉ lệ tử vong. Điều này đặt ra thách thức lớn trong điều trị căn bệnh này.
Những năm gần đây, phương pháp điều trị đích đã mở ra một tương lai mới trong việc điều trị các bệnh ung thư bao gồm cả ung thư phổi, trong đó các thuốc ức chế tyrosin kinase (TKIs), nhất là các thuốc thế hệ 3 Osimertinib cho hiệu quả đáng kể trong điều trị ung thư phổi có đột biến EGFR khi thuốc giúp cải thiện cả về thời gian sống thêm không bệnh cũng như thời gian sống thêm toàn bộ cho bệnh nhân. Đặc biệt, đối với các bệnh nhân có di căn não, Osimertinib cho thấy hiệu quả vượt trội so với các thuốc TKI thế hệ trước, nhờ khả năng thấm tốt qua hàng rào máu não.
Dưới đây là ca lâm sàng minh chứng cho hiệu quả điều trị Osimertinib trên bệnh nhân ung thư phổi giai đoạn cuối có di căn não, được điều trị tại Trung tâm Y học hạt nhân và Ung bướu, bệnh viện Bạch Mai.

Case lâm sàng:
Bệnh nhân:  Đồng T L, nữ, 32 tuổi
Bệnh nhân nhập viện tháng 10 năm 2022.
Lý do vào viện: Co giật.
Tiền sử: Chưa phát hiện bất thường
Bệnh sử: Cách vào viện khoảng 1 ngày, bệnh nhân xuất hiện co giật. Cơn co giật toàn thể xuất hiện tự nhiên, mất ý thức trong cơn. Bệnh nhân được đưa đi cấp cứu tại bệnh viện Bạch Mai.
Khám lâm sàng thời điểm vào viện:
Bệnh nhân tỉnh, không sốt.
Huyết động ổn định.
Tim đều, nhịp tim 80 lần/phút, tiếng tim rõ, không phát hiện tiếng bệnh lý.
Phổi rì rào phế nang hai phổi nghe rõ, không có ran.
Bụng mềm, không chướng
Không đau đầu
Không yếu liệt chân tay
Xét nghiệm cận lâm sàng:
Xét nghiệm công thức máu, sinh hóa máu trong giới hạn bình thường.
Các chất chỉ điểm u (Tumor marker): CEA, Cyfra 21-1 không tăng.
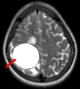
Bệnh nhân được chụp cộng hưởng từ sọ não, phát hiện khối u vùng đỉnh chẩm phải kích thước 39x46x43 mm, theo dõi tổn thương thứ phát
 
 Hình 1. Hình ảnh cộng hưởng từ sọ não ngày 27 tháng 10 năm 2022 khối u não vùng đỉnh chẩm phải (mũi tên).

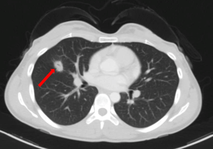
Sau đó bệnh nhân được chỉ định thêm các xét nghiệm cận lâm sàng khác. Trên phim chụp cắt lớp vi tính lồng ngực của bệnh nhân phát hiện khối u phổi dạng nang kích thước ~ 20x14mm ở thùy giữa phổi phải.
 
Hình 2. Hình ảnh khối u phổi phải trên phim chụp Cắt lớp vi tính ngày 27 tháng 10 năm 2022 (mũi tên).
Sinh thiết tổn thương u phổi trái cho kết quả mô bệnh học: Ung thư biểu mô tuyến. Xét nghiệm đột biến gen có đột biến EGFR xóa đoạn exon 19
Chẩn đoán xác định: Ung thư biểu mô tuyến phổi phải di căn não, EGFR (+).
Sau khi hội chẩn hội đồng chuyên môn, bệnh nhân đã được điều trị với thuốc Osimertinib 80 mg đường uống mỗi ngày. Bệnh nhân được điều trị và theo dõi định kỳ qua triệu chứng lâm sàng và các phương tiện chẩn đoán hinh ảnh.
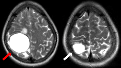
Sau 8 tháng điều trị, bệnh nhân không còn ghi nhận những cơn co giật, bệnh nhân không khó thở, không đau ngực. Trên phim chụp cộng hưởng từ não, kích thước khối u giảm đáng kể là một minh chứng cho sự đáp ứng tốt với thuốc của bệnh nhân. Phim chụp cắt lớp vi tính cũng ghi nhận kích thước khối u giảm hơn so với phim chụp cũ.
  
Hình 3. Hình ảnh phim chụp cộng hưởng từ não ngày 28 tháng 6 năm 2023 (mũi tên trắng) so với ngày 27 tháng 10 năm 2022 (mũi tên đỏ), kích thước khối u giảm so với phim chụp cũ.

  
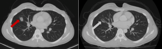
Hình 4. Hình ảnh phim chụp cắt lớp vi tính lồng ngực cho thấy kích thước khối u ngày 28 tháng 6 năm 2023 (mũi tên trắng) giảm hơn so với phim chụp ngày 27 tháng 10 năm 2022 (mũi tên đỏ).
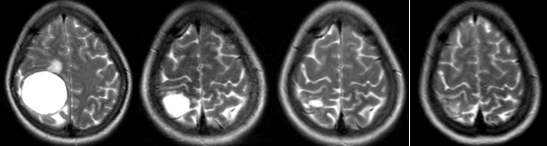
Sau đó, bệnh nhân tiếp tục duy trì điều trị với osimertinib đến thời điểm đánh giá lại tháng 9 năm 2024, sau gần 2 năm điều trị, bệnh nhân vẫn đáp ứng rất tốt, không đau ngực, không khó thở, chỉ điểm khối u CEA và Cyfra 21-1 duy trì ở mức bình thường. Hình ảnh u phổi trên phim cắt lớp vi tính không thay đổi nhiều song trên phim cộng hưởng từ, kích thước khối u giảm đáng kể.
    
Hình 5: Hình ảnh khối u não trên phim cộng hưởng từ qua các mốc thời gian 10/2022, 6/2023, 6/2024 và 9/2024.
Như vậy, trên đây là một trường hợp đáp ứng tốt với thuốc điều trị đích với thời gian đến 2 năm và đến nay, bệnh nhân vẫn tiếp tục tuân thủ điều trị. Thuốc điều trị đích ngày càng được ứng dụng điều trị trong ung thư phổi với giai đoạn muộn và thậm chí cả trong giai đoạn sớm, đem lại lợi ích cả về kéo dài thời gian sống và chất lượng cuộc sống cho bệnh nhân.

Tin liên quan