CASE LÂM SÀNG: U HẦU HỌNG - THỰC QUẢN

Ngày đăng: 13/02/2026 Lượt xem 501

CASE LÂM SÀNG:  
U H
ẦU HỌNG - THỰC QUẢN

GS. TS. Mai Trọng Khoa, PGS. TS. Phạm Cẩm Phương, ThS. Lê Quang Hiển, Triệu Thị Vân Anh

Trung tâm Y học hạt nhân và Ung bướu, bệnh viện Bạch Mai

Trường Đại học Y Dược - Đại học Quốc Gia Hà Nội

Ung thư biểu mô tế bào vảy (Squamous Cell Carcinoma – SCC) của đường tiêu hoá trên và vùng đầu – cổ thường liên quan chặt chẽ với các yếu tố nguy cơ như hút thuốc lá và uống rượu, có thể đồng thời xuất hiện ở nhiều vị trí giải phẫu khác nhautrong ống hô hấp – tiêu hoá (upper aerodigestive tract). Nhiều nghiên cứu đã ghi nhận nhiều ung thư nguyên phát xuất hiện đồng thời ở bệnh nhân ung thư đầu – cổ và thực quản, với các khối u thứ hai có thể xuất hiện trong vòng 6 tháng sau chẩn đoán ung thư đầu – cổ hoặc thực quản, làm tăng độ phức tạp trong chẩn đoán và điều trị.

Tại Việt Nam, theo thống kê GLOBOCAN 2022, mỗi năm khoảng 180.480 ca ca mới mắc ung thư; ung thư thực quản là một trong những ung thư có tỉ lệ mắc đáng chú ý, với tỷ lệ mắc cao hơn ở bệnh nhân trẻ so với nhiều nước trong khu vực.2 Ở một nghiên cứu hồi cứu tại Bệnh viện Quân đội 108, 14,7% bệnh nhân ung thư biểu mô tế bào vảy vùng đầu – cổ được phát hiện có ung thư thực quản; trong đó một phần đáng kể được phát hiện đồng thời, gợi ý tầm quan trọng của tầm soát nội soi đường tiêu hoá trên ở nhóm nguy cơ cao.3

Dưới đây, chúng tôi giới thiệu một trường hợp ung thư biểu mô tế bào vảy thực quản ⅓ dưới giai đoạn, đồng thời có mắc thêm ung thư hầu miệng.

Bệnh nhân: V.V.S                Giới tính: Nam         Tuổi: 47 tuổi

Lý do vào viện: Nuốt khó

Tiền sử:

Bản thân: Uống rượu lâu năm (300ml/ngày), hiện nay vẫn chưa bỏ rượu.

                 Không hút thuốc

Gia đình: Chưa phát hiện bệnh lý liên quan

Bệnh sử: Tháng 12/2025 bệnh nhân ăn uống kém, nuốt khó độ 1, giảm 5kg/1 tháng, bệnh nhân không nôn không sốt không khó thở, có đau đầu vùng đỉnh trái lan xuống mặt, đau âm ỉ không tăng giảm theo tư thế, hoạt động, đi khám được nội soi phát hiện tổn thương sùi loét, bề mặt nham nhở, dễ chảy máu, vị trí cách cung răng ~30cm đến sát tâm vị có tổn thương sùi loét chiếm >50% chi vi thực quản, lấy tổn thương làm sinh thiết, kết quả giải phẫu bệnh là ung thư biểu mô tế bào vảy sừng hóa xâm nhập. bệnh nhân được nhập viện vào Trung tâm Y học hạt nhân và Ung bướu - BV Bạch Mai để điều trị tiếp.

Tình trạng lúc vào viện:

Bệnh nhân tỉnh, không sốt, da niêm mạc hồng, không phù không xuất huyết dưới da,

Huyết động ổn, huyết áp 160/98 mmHg, mạch 105l/p

Da niêm mạc hồng

Hạch ngoại vi không sờ thấy

Tim đều, T1, T2 rõ

Phổi thông khí đều 2 bên, rì rào phế nang rõ, không rales

Bụng mềm không chướng không có điểm đau khu trú

Xét nghiệm CLS

-       Xét nghiệm máu: Hồng cầu: 4.22 T/L  HGB 125 g/L HCT 0.371 L/L (trong giới hạn bình thường)

-      Sinh hoá máu: Các chỉ số xét nghiệm trong giới hạn bình thường

-      Định lượng CEA: 1.0ng/mL; SCC: 2.31 ng/mL (bình thường)

-       Nội soi Thực Quản - Dạ Dày - Tá Tràng - Đại Tràng: Trên nắp thanh môn có tổn thương sùi loét, bề mặt nham nhở, dễ chảy máu khi va chạm đèn soi.

Thực quản: Cách cung răng trên ~ 30cm đến sát tâm vị có tổn thương sùi loét chiếm > 50% chu vi thực quản, bề mặt nham nhở, dễ chảy máu khi chạm đèn soi, gây hẹp đường xuống

Hình ảnh 1. Nội soi Thực Quản - Dạ Dày - Tá Tràng - Đại Tràng

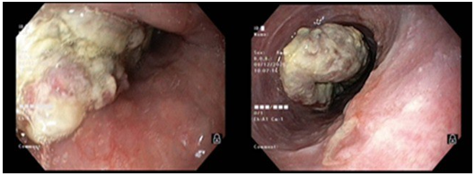
-      Nội soi tai - mũi - họng: Vùng họng trái có khối sùi, đè chảy máu, nắp phễu thanh thiệt bên phải có khối sùi

Hình ảnh 2. Nội soi tai mũi họng

-      Sinh thiết u thực quản làm xét nghiệm mô bệnh học:Ung thư biểu mô tế bào vảy không đánh giá được xâm nhập trên các mảnh sinh thiết

-      Sinh thiết u đáy lưỡi và xoang lê làm xét nghiệm mô bệnh học: Ung thư biểu mô vảy sừng hóa xâm nhập

-      Nội soi sinh thiết Siêu âm: Toàn bộ thành thực quản dày lên, mất cấu trúc các lớp, tổn thương trên một đoạn dài khoảng 10 cm, có đoạn thành thực quản mất liên tục trong với quai động mạch chủ.Quanh thực quản và động mạch chủ có nhiều hạch mất cấu trúc rốn hạch (6 hạch)

-       Siêu âm tuyến giáp & ổ bụng: không thấy bất thường

-       Chụp PET/CT: Hình ảnh dày thành thực quản ⅓ dưới thâm nhiễm mỡ, chưa xâm lấn động mạch chủ ngực ,tăng chuyển hoá FDG, SUVmax 11.36 (Hình 3).Hình ảnh amydal trái, gốc lưỡi, lan dọc thành trái hầu miệng tăng chuyển hoáFDG, SUV max:19,23 (Hình 4). Hình ảnh vài hạch cổ nhóm II hai bên kích thước lớn nhất 12mm tăng chuyển hoá FDG, SUVmax 4.71, khả năng do di căn. Hình ảnh vài hạch ở hố nách hai bên, đường kính <10mm, không tăng chuyển hóa FDG 


Hình ảnh 3. Hình ảnh PET/CT dày thành thực quản ⅓ dưới thâm nhiễm mỡ, chưa xâm lấn động mạch chủ ngực, tăng chuyển hoá FDG


Hình ảnh 4. Hình ảnh PET/CT amydal trái, gốc lưỡi, lan dọc thành trái hầu miệng tăng chuyển hoá FDG

Chẩn đoán xác định : Ung thư biểu mô vảy thực quản ⅓ dưới giai đoạn III cT4N3M0 - Ung thư hầu miệng giai đoạn IVA cT2N2M0

Hướng xử trí: Bệnh nhân được hội chẩn hội đồng chuyên môn,có chỉ định điều trị hoá chất theo phác đồ: CF (5 ngày): Cisplatin – 5FU

                        Bệnh nhân được theo dõi và điều trị bằng lâm sàng và cận lâm sàng.

Nhận xét

Trường hợp bệnh nhân V.V.S là một ca ung thư biểu mô tế bào vảy đa vị trí nguyên phát đồng thời, bao gồm ung thư thực quản 1/3 dưới giai đoạn III cT4N3M0 phối hợp với ung thư hầu miệng giai đoạn IVA cT2N2M0. Hai khối u đều có nguồn gốc biểu mô vảy và xuất hiện trong cùng trục hô hấp – tiêu hoá trên, phù hợp với cơ chế “field cancerization”, thường gặp ở các bệnh nhân có yếu tố nguy cơ chung dù tiền sử chưa ghi nhận rõ ràng. Bệnh được phát hiện khi đã ở giai đoạn tiến triển, với tổn thương thực quản lan dài, mất cấu trúc thành, hạch quanh thực quản và hạch cổ hai bên, làm hạn chế khả năng can thiệp phẫu thuật triệt căn.

Chẩn đoán được khẳng định nhờ phối hợp nội soi, mô bệnh học, siêu âm nội soi và PET/CT, trong đó PET/CT đóng vai trò quan trọng trong đánh giá giai đoạn,phân biệt tổn thương nguyên phát đa ổ và xác định di căn hạch. Trước tình trạng bệnh lan rộng, điều trị được lựa chọn theo hướng đa mô thức không phẫu thuật, ưu tiên hóa chất toàn thân nhằm kiểm soát bệnh, giảm triệu chứng nuốt khó và cải thiện chất lượng sống, phù hợp với thực hành lâm sàng hiện nay đối với các trường hợp ung thư đa vị trí tiến triển.

Qua ca bệnh này, cần nhấn mạnh rằng bệnh nhân ung thư biểu mô vảy vùng đầu – cổ hoặc thực quản nên được tầm soát toàn bộ đường hô hấp – tiêu hoá trên, đặc biệt bằng nội soi và hình ảnh học chức năng như PET/CT, để phát hiện sớm ung thư đa ổ nguyên phát.

Việc quản lý các trường hợp này đòi hỏi cần có hội đồng hội chẩn đa chuyên khoa, nhằm tìm ra phương án điều trị tối ưu nhất cho người bệnh theo hướng cá thể hoá điều trị, chú trọng chăm sóc nâng đỡ, dinh dưỡng và theo dõi đáp ứng điều trị, nhằm tối ưu hoá hiệu quả điều trị và chất lượng sống cho người bệnh.


Tin liên quan