GS.TS Mai Trọng Khoa, BS Nguyễn Duy Anh
Trung tâm Y học hạt nhân và Ung bướu, bệnh viện Bạch Mai
1. Bệnh cảnh
- Bệnh nhân Đàm V.H, nam 31 tuổi
- Lý do vào viện: Nuốt nghẹn, gầy sút cân
2. Bênh sử
Trước vào viện 2 tháng bệnh nhân thấy đau bụng thượng vị từng cơn, đau tăng khi đói. Sau xuất hiện nuốt nghẹn tăng dần, đầu tiện khi ăn sau thấy nghẹn khi cả uống nước; buồn nôn và nôn sau ăn no. Đầy bụng chậm tiêu, gầy sút cân kèm có đại tiện phân đen từng đợt.
3. Tiền sử
- Không mắc bệnh gì trước đây.
- Sử dụng rượu ~ 200ml/ngày kéo dài trước khi vào viện; hút thuốc lá 6 bao/năm.
4. Khám lâm sàng lúc vào viện
Khám toàn trạng
- Da, niêm mạc hồng nhạt
- Thể trạng gầy: 170cm/40kg
- Không sốt, mạch 68, huyết áp 120/70mmHg
- Hạch ngoại vi không sờ thấy
Chỉ Chỉ số toàn trạng PS-1
Khám bộ phận
- Bụng mềm không chướng, sờ thấy khối chắc vùng bụng thượng vị.
- Ăn kém nuốt nghẹn, buồn nôn nôn sau ăn. Đại tiện phân sẫm màu.
- Tim nhịp đều.
- Phổi rì rào phế nang rõ, không ran.
- Đau âm ỉ cột sống thắt lưng không lan, hạn chế nhẹ vận động cúi và xoay lưng.
- Các cơ quan bộ phận khác chưa phát hiện gì bất thường.
5. Cận lâm sàng
- Nội soi thực quản- dạ dày: U sùi loét tâm vị dạ dày chảy máu, gây hẹp đèn soi khó đi qua, đã bấm sinh thiết tổ chức u làm xét nghiệm mô bệnh học. Kết quả sinh thiết: : Ung thư biểu mô tuyến típ kém biệt hóa
Hình 1: Hình ảnh khối u sùi tâm vị dạ dày qua nội soi
- Xét nghiệm máu:
+ Hồng cầu: 2,6T/L, HGB 96g/L; Bạch cầu: 13,6G/L
+ Chức năng gan – thận trong giới hạn bình thường
+ Chỉ số CEA: 11ng/mL, CA 72-4: 24,5U/mL
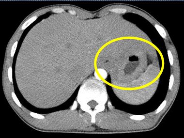
- Chụp CT bụng: U tâm vị dạ dày KT 35x48x52mm thâm nhiễm tổ chức xung quanh, hạch bờ cong nhỏ dạ dày KT 14mm.
Hình 2: Hình ảnh khối u tâm vị dạ dày có thâm nhiễm tổ chức xung quanh
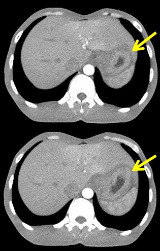
- Xạ hình xương: Tổn thương di căn xương đa ổ
Hình 3: Hình ảnh tổn thương xương đa ổ qua xạ hình xương
- Xạ hình thận chức năng:Chức năng lọc cầu thận trong giới hạn bình thường.
- X-quang phổi và điện tim: Bình thường
6. Chẩn đoán xác định
Ung thư dạ dày di căn hạch ổ bụng, xương giai đoạn T4N1M1
7. Điều trị
- Phẫu thuật mở thông dạ dày để nuôi dưỡng
- Hóa trị phác đồ EOX chu kỳ 21 ngày (Epirubicine 50mg/m2 da truyền TM ngày 1, Oxaliplatin 130mg/m2 da truyền TM ngày 1, Capecitabine 625mg/m2 da, uống 2 lần/ngày trong 21 ngày liên tục)
- Chống hủy xương
- Bảo vệ niêm mạc dạ dày
- Nâng cao thể trạng
8. Đánh giá sau điều trị hóa chất
- Sau điều trị 3 đợt: | + Bệnh nhân tăng cân 40kg -> 43kg + Ăn nuốt được đường miệng, nghẹn ít đã rút sonde mở thông dạ dày ăn hoàn toàn qua đường miệng |
- Sau điều trị 6 đợt: | + Cân nặng cải thiện, hiện tại 47kg + Ăn hoàn toàn qua đường miệng, đại tiện phân vàng. + Đỡ đau cột sống thắt lưng nhiều, có thể lao động nhẹ nhàng. + Bụng mềm, sờ không thấy khối bất thường |
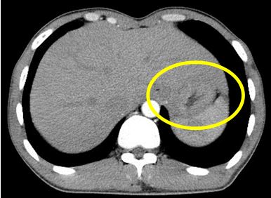
Trước hóa trị
Khối u thâm nhiễm tổ chức xung quanh | Sau 6 đợt hóa trị
Thành dạ dày bờ không đều, không còn thâm nhiễm tổ chức xung quanh |
Hình 4: Kết quả chụp CT bụng trước và sau 6 đợt hóa trị.
Trước hóa trị
| Sau 6 đợt hóa trị
|
Hình 5: Kết quả xạ hình xương sau hóa trị số lượng tổn thương xương giảm, những tổn thương còn lại giảm độ tập trung hoạt độ phóng xạ.

Bảng 1: Chỉ số xét nghiệm máu trước và sau hóa trị của bệnh nhân.
9. Kết luận
Phác đồ hóa trị EOX có thể kéo dài thời gian sống thêm và cải thiện chất lượng cuộc sống đáng kể cho bệnh nhân ung thư dạ dày giai đoạn muộn di căn xa.
Nguồn: ungthubachmai.com.vn