GS.TS. Mai Trọng Khoa, ThS. Trần Ngọc Hải
Trung tâm Y học hạt nhân và Ung bướu Bệnh viện Bạch Mai
Bệnh nhân nam 65 tuổi, địa chỉ Hà Nội.
Bệnh diễn biến 1 tháng bệnh nhân có biểu hiện động kinh, đau đầu, nôn và yếu nửa người trái. Bệnh nhân được chụp cộng hưởng từ sọ não phát hiện hình ảnh u não nên được chuyển vào Trung tâm Y học hạt nhân và Ung bướu – Bệnh viện Bạch Mai để điều trị.
Bệnh nhân vào viện trong tình trạng tỉnh, thể trạng trung bình, yếu đi lại khó khăn, điểm toàn trạng (PS) là 2.
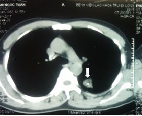
Tiền sử; khỏe mạnh, không hút thuốc. Các xét nghiệm khác trong giới hạn bình thường, chỉ số CEA 56 ng/ml. Chụp CT scanner Lồng ngực phát hiện u phổi trái.
Hình 1: Hình ảnh CT ngực có khối u phổi trái kích thước 2 cm, ngấm thuốc cản quang
Hình 2: Hình ảnh MRI sọ não có khối u não di căn bán cầu phải kích thước 2 - 3cm, phù não rộng xung quanh
Bệnh nhân được sinh thiết khối u phổi dưới hướng dẫn của chụp cắt lớp vi tính và mô bệnh học là: ung thư biểu mô tuyến của phổi, có đột biến gen EGFR mất đoạn exon 19.
Chẩn đoán xác định là: Ung thư phổi di căn não (T1N1M1).
Phác đồ điều trị: Bệnh nhân được điều trị triệu chứng; chống phù não, co giật, giảm đau, xạ phẫu bằng dao gamma quay ổ di căn não và điều trị đích Erlotinib (Tarceva) 150mg uống hàng ngày.
Sau 3 tháng điều trị, tổn thương tại phổi và não đáp ứng tốt gần hoàn toàn
Hình 3: Hình ảnh CT ngực (trái), MRI sọ não (phải): Khối u phổi trái và u não bán cầu trái tan gần hết.
Hình ảnh trước và sau điều trị 3 tháng
 Trước điều trị |  Sau điều trị |
Trước điều trị | Sau điều trị |
Kết luận: Sau 3 tháng điều trị bệnh nhân ung thư di căn não bằng dao gamma quay và điều trị đích (Erlotinib), kết quả bệnh nhân khỏe hơn, sinh hoạt tốt, không đau đầu, không nôn. Hình ảnh trên chụp cắt lớp và cộng hưởng từ u tan gần hoàn toàn và chỉ số CEA giảm từ 54 xuống 2,3 ng/ml.
Nguồn: ungthubachmai.com.vn