Ca lâm sàng về Fulvestrant điều trị ung thư vú tái phát

Ngày đăng: 19/01/2015 Lượt xem 5380

Ca lâm sàng về Fulvestrant điều trị ung thư vú tái phát

GS.TS Mai Trọng Khoa, BS Vũ Hữu Khiêm, BS Nguyễn Đức Luân

I. Ca lâm sàng minh họa:

-          Bệnh nhân nữ, 78 tuổi.

-          Bệnh sử: Cách 10 năm bệnh nhân được chẩn đoán K vú trái, đã phẫu thuật Patey vú trái, xạ trị 50 Gy tại bệnh viện K. Năm 2013 bệnh tái phát thành ngực, sinh thiết tổn thương thành ngực, GPB: Ung thư biểu mô thể ống xâm nhập, ER (+), PR (+), Her-2 neu (+).

-          Bệnh nhân được điều trị:

+ Xạ trị gia tốc thành ngực 50 Gy, 2 Gy/ngày

+ Điều trị nội tiết Arimidex 1mg x 1viên/ngày

-          Sau điều trị 5 tháng, bệnh tiến triển tại thành ngực, bệnh nhân đau ngực nhiều. Bệnh nhân vào viện và được đánh giá bilan toàn thân:

        + Công thức máu, chức năng gan, thận bình thường, CA 15-3 bình thường

        + Xạ hình xương: không thấy tổn thương xương.

        + Cộng hưởng từ sọ não không thấy tổn thương thứ phát

-   Bệnh nhân được điều trị nội tiết bước 2: Exemestane x 1viên/ngày, bệnh tạm ổn định, u không phát triển thêm, đỡ đau ngực. Sau 3 tháng điều trị, bệnh nhân thấy đau ngực nhiều, khối u thành ngực to lên nhiều. Bệnh nhân được chụp Cắt lớp vi tính ngực (CT ngực).

 

Hình 1. Hình ảnh CT ngực: khối u vú trái tiến triển xâm lấn thành ngực, kích thước 6x7 cm (Vòng tròn đỏ)         
      

  • Bệnh nhân được xạ trị gia tốc lần hai, 18Gy, phân liều 4,5 Gy/buổi x 4 buổi
  • Điều trị nội tiết Fulvestrant (Faslodex) 500 mg, tiêm ngày 1, ngày 14, ngày 28 và lặp lại mỗi 1 tháng/lần.

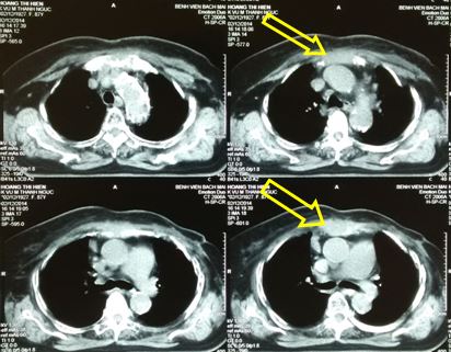
-          Sau 3 tháng điều trị xạ trị kết hợp Fulvestrant, trên lâm sàng bệnh nhân ổn định, hết đau ngực, u thành ngực thoái triển gần hết. Trên phim chụp CT ngực: khối u nhỏ lại, kích thước khoảng 2,5x1,5 cm (đầu mũi tên vàng)

-          . Hiện tại bệnh nhân vẫn đang được điều trị bằng Fulvestrant (Faslodex) 500 mg.

 

Hình 2. Hình ảnh CT ngực sau điều trị 3 tháng: khối u nhỏ lại, kích thước khoảng 2,5x1,5 cm (đầu mũi tên vàng)

-          So sánh trước và sau điều trị:



II. Một vài nét cơ bản về điều trị nội tiết trong ung thư vú.


Ung thư vú (Breast cancer) là bệnh ung thư nữ hay gặp nhất ở Việt Nam cũng như trên thế giới, và là nguyên nhân tử vong đứng thứ hai trong nguyên nhân chết do ung thư. Trong những năm qua, tỷ lệ mắc ung thư vú có xu hướng gia tăng nhưng tỷ lệ tử vong do ung thư vú được cải thiện rõ rệt nhờ các thành tựu đạt được trong phát hiện sớm và trong điều trị.

Việc điều trị ung thư vú là sự phối hợp điển hình giữa các phương pháp điều trị tại chỗ, tại vùng (phẫu thuật, tia xạ) với các phương pháp điều trị toàn thân (hoá chất, nội tiết, sinh học) cùng với thay đổi quan niệm ung thư vú không phải là bệnh tại chỗ mà là bệnh toàn thân, các phương pháp điều trị hệ thống ngày càng được áp dụng rộng rãi và có vai trò quan trọng trong điều trị ung thư vú.

Điều trị nội tiết được biết đến như một trong những phương pháp điều trị cơ bản trong ung thư vú, có khoảng 70-80% phụ nữ ung thư vú có thụ thể nội tiết dương tính. Ở phụ nữ còn kinh nguyệt nguồn sản xuất hai nội tiết tố estrogen và progesterone chủ yếu từ buồng trứng, một phần nhỏ được tiết ra từ mô mỡ và tuyến thượng thận qua chuyển hóa của men aromatase, qua đó tác động lên tuyến đích là mô vú và một số mô khác. Ở phụ nữ đã mãn kinh, buồng trứng teo nhỏ và giảm về chức năng, lúc này lượng estrogen chủ yếu được chuyển hóa từ các androgen ở tuyến thượng thận. Vì vậy, cơ sở của các biện pháp can thiệp nội tiết trong điều trị ung thư vú là làm giảm lượng estrogen hoặc làm cho estrogen không gắn được với thụ thể nội tiết hoặc làm giảm số lượng thụ thể nội tiết của tế bào ung thư.

Điều trị nội tiết được chỉ định khi thụ thể nội tiết (estrogen receptor: ER, progesterol receptor: PR) dương tính, điều trị bổ trợ trong ung thư giai đoạn I, II, III. Đối với ung thư vú tái phát, di căn (giai đoạn IV), nguy cơ thấp (tiến triển chậm, chỉ có di căn xương đơn độc và chưa di căn nội tạng), liệu pháp nội tiết là lựa chọn điều trị bước 1.

Các phương pháp điều trị nội tiết trong ung thư vú:

-          Cắt buồng trứng bằng ngoại khoa, xạ trị, hoặc sử dụng các dẫn chất ức chế GnRH như goserelin (Zoladex).

-          Phẫu thuật cắt tuyến thượng thận, cắt tuyến yên: hiện nay không được sử dụng do có nhiều biến chứng nặng nề.

-          Các thuốc điều hòa thụ thể estrogen chọn lọc: Tamoxifen, Raloxifen, Torexifen, Fulvestrant. Tamoxifen là thuốc nội tiết được sử dụng phổ biến trong điều trị ung thư vú. Thuốc thuộc nhóm phức hợp không steroid, gắn với các thụ thể ER, làm ức chế sự phát triển của các tế bào ung thư phụ thuộc estrogen. Fulvestrant cũng là một thuốc đối vận thụ thể estrogen, nhưng thuốc có ái lực cao hơn Tamoxifen nhiều lần. Hơn nữa, khi thuốc gắn vào ER làm tăng quá trình giáng hóa các thụ thể, làm giảm số lượng thụ thể này, thuốc cũng làm giảm điều vận thụ thể progenteron. Do vậy, thuốc ức chế hoàn toàn con đường dẫn truyền qua thụ thể ER. Các nghiên cứu đã cho thấy, Fulvestrant có hiệu quả cao đối với các trường hợp ung thư vú đã kháng với các biện pháp điều trị nội tiết khác.

-          Các thuốc ức chế Aromatase (AI) có tác dụng ngăn cản quá trình tổng hợp estrogen ở các mô có chứa enzyme này, aromatase có mặt trong mô của khối u vú, mỡ, cơ, não, nó giúp chuyển hóa các androgen của tuyến thượng thận thành các estrogen là estrone và estradiol. Thuốc không có tác dụng tới sản xuất estrogen tại buồng trứng ở phụ nữ chưa mãn kinh. Vì vậy, thuốc chỉ được chỉ định ở phụ nữ mà chức năng buồng trứng đã ngừng hoạt động chế tiết estrogen. Có 2 loại thuốc ức chế aromatase: các AI không steroid gồm anastrozol, letrozol và các AI steroid như exemestan. Các tác dụng phụ thường gặp như rối loạn lipid máu, gãy xương, đau cơ xương, do vậy các bệnh nhân điều trị vơi AI cần đánh giá và theo dõi mật độ xương, nồng độ lipid huyết thanh trước, trong và sau quá trình điều trị. Các tác dụng khác như thiếu máu não, huyết tắc huyết khối, nóng bừng mặt, chảy máu âm đạo thấp hơn so với tamoxifen.

Lựa chọn điều trị thuốc nội tiết tùy thuộc vào tình trạng thụ thể nội tiết, tình trạng kinh nguyệt, giai đoạn bệnh…Đối với bệnh nhân chưa mãn kinh, điều trị nội tiết 5 năm với tamoxifen vẫn là lựa chọn thích hợp nhất, ức chế buồng trứng hoặc cắt buồng trứng được chỉ định với những bệnh nhân có chống chỉ định hoặc không dung nạp với tamoxifen. Các thuốc ức chế aromatase chỉ được áp dụng ở bệnh nhân có thụ thể nội tiết dương tính đã mãn kinh. Việc quyết định điều trị ngay từ đầu với AI hay sau 2-3 năm điều trị với tamoxifen nên cân nhắc dựa trên các yếu tố như tuổi, nguy cơ tái phát, tình trạng xương, tiền sử bệnh tim mạch, bệnh mạch não, huyết khối huyết tắc. Các bệnh nhân điều trị với AI nên được theo dõi mật độ xương và nồng độ lipid huyết thanh. Tóm lại, điều trị nội tiết là biện pháp điều trị toàn thân có hiệu quả trên bệnh nhân có thụ thể nội tiết dương tính, làm giảm được 50% tỷ lệ tái phát. Thời gian điều trị tối ưu vẫn chưa được khẳng định chắc chắn, tuy nhiên tất cả bệnh nhân nên được sử dụng tối thiểu 5 năm.

Tin liên quan