Khám sức khỏe định kỳ phát hiện khối u hạ vị kích thước 15cm

Ngày đăng: 11/06/2014 Lượt xem 11505

Khám sức khỏe định kỳ phát hiện khối u hạ vị kích thước 15cm


GS. TS. Mai Trọng Khoa, TS. Phạm Cẩm Phương, BS. Nguyễn Thị Lựu

Trung tâm y học hạt nhân và Ung bướu Bệnh viện Bạch Mai

Bệnh cảnh: Bệnh nhân Ngô Viết Th., nam 73 tuổi, Nhập viện vào Trung tâm Y học hạt nhân và Ung bướu-Bệnh viện Bạch Mai ngày 04 tháng 7 năm 2012 vì lý do đi khám sức khỏe định kỳ siêu âm phát hiện tổn thương u vùng hạ vị (trong ổ bụng) đường kính 10cm.

Bệnh nhân có tiền sử: Cao huyết áp, có bệnh lý cơ tim giãn cách đây 3 năm, đang được điều trị: Zestril 10mg uống 1 viên/ngày; Spiromide 20/50mg uống 1 viên/ngày; Procorolan 7,5mg uống 2 viên/ngày; Dilatrend 6,25mg uống 1 viên/ngày.

Khám lúc vào viện: Bệnh nhân thể trạng béo, chiều cao: 165cm; cân nặng 70kg. Mạch: 85 lần/phút. Huyết áp: 110/60mmHg.

Da niêm mạc bình thường. Hạch ngoại vi không sờ thấy.

Nhịp tim đều, tần số 85 lần/phút, không thấy tiếng bệnh lý. Phổi 2 bên rì rào phế nang rõ, không rales. Bụng mềm, không có phản ứng thành bụng, gan lách không sờ thấy, khối u vùng hạ vị kích thước 10x10cm, chắc, di động. Các dấu hiệu khác không có gì đặc biệt.

+ Xét nghiệm công thức máu: (trong giới hạn bình thường)

Hồng cầu:4,40 T/l; Hb: 131g/l ; HCT: 0,389l/l. Bạch cầu: 9,54G/l;

BC trung tính: 61,1% (5,82G/l); Tiểu cầu: 185G/l

+ Xét nghiệm sinh hóa máu: (chức năng gan tốt, chức năng thận giảm nhẹ)

Ure: 8,7mmol/l. Glucose: 5,8mmol/l; Creatinin: 112 micromol/l; Acid uric: 367 micromol/l; Calci: 1,00mmol/l; ASAT: 17U/l; ALAT: 14U/l; Natri: 144mmol/l; Kali: 3,8mmol/l; Clo : 107mmol/l; CRP: 0,7mg/dl; Alfa FP: 2,30ng/ml; CEA: 1,56ng/ml; CA19-9: 11,94U/ml; CA 72-4: 0,99U/ml; Cyfra 21-1: 2,8ng/ml; PSA: 0,55ng/ml

+ Xét nghiệm đông máu: Tỷ lệ Prothrombin: 100,2%

+ Nhóm máu: A

+ Xét nghiệm vi sinh: Hbs Ag (-), HIV (-)

+ Xét nghiệm nước tiểu: bình thường

+ Siêu âm ổ bụng:

Gan không to, bờ đều, đường mật trong và ngoài gan không giãn, không có sỏi. Tụy, lách bình thường

Thận phải kích thước bình thường, nhu mô dày và đều bình thường. Đài bể thận không giãn, không có sỏi.

Thận trái kích thước bình thường, nhu mô dày và đều bình thường. Đài bể thận giãn không giãn, không có sỏi, cực dưới có nang đường kính 2,3x2,2cm.

Vùng hạ vị có khối hỗn hợp âm kích thước 12 x 6,3cm.

Kết luận siêu âm: Nang thận trái, khối u vùng hạ vị theo dõi u mạc treo

Hình 1. Hình ảnh siêu âm ổ bụng: Khối u vùng hạ vị có hoại tử bên trong

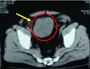
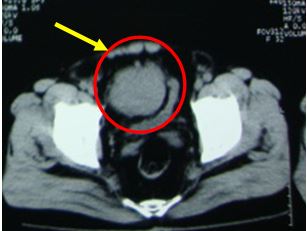
+ Bệnh nhân được tiến hành chụp cắt lớp vi tính ổ bụng để đánh giá cho thấy hình ảnh khối giảm tỷ trọng kích thước 70x90x100 mm, ranh giới rõ, bờ thùy múi, ngấm thuốc cản quang sau tiêm, trung tâm có vùng hoại tử không ngấm thuốc, khối u đè đẩy bàng quang ra sau và sang trái

Kết luận: Khối u vùng tiểu khung theo dõi lymphoma

 

 

Hình 2. Hình ảnh chụp cắt lớp vi tính ổ bụng: Khối u vùng hạ vị đè một phần vào bàng quang, đẩy bàng quang ra sau và sang trái

+ Siêu âm tim: Buồng thất trái giãn, chức năng tâm thu thất trái giảm. Hở hai lá nhẹ; hở chủ nhẹ, tăng áp lực động mạch phổi nhẹ. EF 37%.

 

Hình 3. Hình ảnh siêu âm tim

                Bệnh nhân được chẩn đoán sơ bộ: khối u vùng hạ vị nghĩ đến u đại tràng, ruột non hoặc u mạc treo/ Cao huyết áp-Suy tim.

Chúng tôi tiếp tục điều trị cao huyết áp-suy tim và tiến hành kiểm tra nội soi đại tràng.

+ Kết quả nội soi đại tràng cho thấy: có một số polyp đại trực tràng (mũi tên đỏ) và một số túi thừa đại tràng

Hình 4. Hình ảnh nội soi đại tràng

Bệnh nhân đã được các bác sỹ chuyên khoa ung bướu, ngoại, tim mạch hội chẩn quyết định phẫu thuật cắt bỏ khối u làm xét nghiệm mô bệnh học từ đó sẽ đưa ra hướng điều trị tiếp theo.

Ngày 13 tháng 7 năm 2012 bệnh nhân được tiến hành phẫu thuật cắt bỏ tổn thương u. Kết quả cho thấy: gan không có tổn thương di căn, hạch mạc treo không sờ thấy; khối u nằm dưới rốn đường kính khoảng 12cm, dính với phúc mạc vùng hố chậu phải và phúc mạc trên đáy bàng quang. Khối u xuất phát từ thành bên đoạn giữa ruột non, có cuống rất nhỏ khoảng 1cm. Phẫu thuật viên đã tiến hành cắt bỏ tổn thương u và một phần ruột non.

Hình 5. Hình ảnh ruột non với khối u đã được cắt bỏ

Hình 6. Hình ảnh khối u đã được phẫu thuật cắt bỏ gọn gàng: Khối u vừa được lấy ra, được đựng trong khay. Khối u có kích thước 15x10x10cm

Hình 7. Hình ảnh trung tâm khối u dạng nang, lồi lõm nham nhở, chứa máu cục

Hậu phẫu bệnh nhân ổn định.

Kết quả xét nghiệm mô bệnh học cho thấy:

+ Đại thể: khối bệnh phẩm đường kính 15x10x10cm; có vỏ bọc ranh giới khá rõ. Diện cắt màu trắng đục, mềm. Trung tâm khối u dạng nang, lồi nham nhở, chứa máu cục.

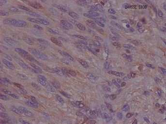
+ Vi thể: các mảnh cắt mô u thấy có vỏ khá mỏng, các tế bào u hình dài, hình thoi, nhân lớn, hạt nhân rõ, rải rác có nhân chia, xắp sếp thành bó, dày, xoáy. Mật độ tế bào u cao nhiều nhân chia, rải rác có vùng hoại tử.

+ Kết luận: U tế bào hình thoi ác tính nghĩ nhiều đến U mô đệm ruột non (GIST: Gastrointestinal stromal tumors) đề nghị nhuộm thêm hóa mô miễn dịch CD117, CD34, S100, Vimentin, Desmin, GFAP.

Hình 8. Hình ảnh mô bệnh học (vi thể) của khối u

Bệnh nhân đã được nhuộm hóa mô miễn dịch cho thấy: các tế bào u phản ứng dương tính với các markers: CD 117, Vimentin và âm tính với các markers: CD34, S100, Desmin, GFAP.

Bệnh nhân đã tiếp tục được điều trị cao huyết áp, suy tim và điều trị thuốc Glivec. Kinh nghiệm của chúng tôi cho thấy với các bệnh nhân u mô đệm ruột non đã được phẫu thuật và điều trị bổ trợ có tiên lượng khá tốt. Trong phần tiếp theo chúng tôi sẽ cập nhật tiếp về diễn biến và phương pháp điều trị cho bệnh nhân này.


Tin liên quan