Điều trị bệnh nhân ung thư đại tràng di căn phúc mạc, tuyến thượng thận tại Trung tâm Y học hạt nhân & Ung bướu, bệnh viện Bạch Mai

Ngày đăng: 24/06/2014 Lượt xem 12470

Điều trị bệnh nhân ung thư đại tràng di căn phúc mạc, tuyến thượng thận tại Trung tâm Y học hạt nhân & Ung bướu, bệnh viện Bạch Mai


GS.TS. Mai Trọng Khoa, TS. Phạm Cẩm Phương, BSNT. Bùi Quang Lộc

Trung tâm Y học hạt nhân & Ung bướu Bệnh viện Bạch Mai
 

CA LÂM SÀNG

Bệnh cảnh: Bệnh nhân Phạm Thị H., nữ,63 tuổi.

Nghề nghiệp : cán bộ hưu; Địa chỉ: Tùng Ảnh, Đức Thọ, Hà Tĩnh được chuyển đến Bệnh viện Bạch Mai tháng 8 năm 2013 sau khi được phẫu thuật cắt bỏ khối u đại tràng phải tại một bệnh viện ở Hà nội.

Bệnh sử: Bệnh diễn biến 6 tháng nay, khởi đầu bệnh nhân xuất hiện táo bón từng đợt; đau bụng vùng quanh rốn ; gầy sút cân 3kg. Bệnh nhân đã đi khám bệnh và được chụp cắt lớp vi tính ổ bụng cho thấy: khối u đại tràng góc gan, chưa thấy tổn thương di căn gan.

Bệnh nhân được nội soi đại tràng và sinh thiết tổn thương u tại đại tràng phải. Kết quả mô bệnh học: ung thư biểu mô tuyến. Bệnh nhân được chẩn đoán trước mổ: Ung thư đại tràng phải và dự kiến phẫu thuật nội soi cắt đoạn đại tràng và vét hạch.

Khi tiến hành phẫu thuật, các bác sỹ đã phát hiện bệnh nhân có nhiều tổn thương di căn phúc mạc (nhiều tổn thương nhỏ, dạng lấm tấm, trải đều toàn bộ phúc mạc nên không phát hiện được bằng các phương pháp chẩn đoán hình ảnh).

Chẩn đoán trong mổ: ung thư đại tràng phải di căn phúc mạc. Bệnh nhân được tiến hành phẫu thuật cắt đại tràng phải và vét hạch. Giải phẫu bệnh sau mổ: ung thư biểu mô tuyến biệt hoá vừa; 5/5 hạch không di căn.

Chẩn đoán giai đoạn bệnh sau mổ: Ung thư đại tràng phải di căn phúc mạc T3N0M1 giai đoạn IV. Hậu phẫu ổn định, sau phẫu thuật 4 tuần, bệnh nhân được chuyển đến Trung tâm y học hạt nhân và Ung bướu, Bệnh viện Bạch mai để điều trị tiếp.

Tiền sử:  Bản thân: Cao huyết áp, đang uống Amlor 5mg x 1 viên/ngày

Gia đình: Không có ai mắc bệnh ung thư

Tình trạng bệnh nhân lúc vào viện:

* Lâm sàng

   Bệnh nhân tỉnh; thể trạng gầy. Cân nặng 42 kg ; Chiều cao 150 cm

   Da, niêm mạc hồnh. Hạch ngoại vi không sờ thấy.

   Bụng mềm; không chướng; gan lách không sờ thấy.

   Nhịp tim đều; T1,T2 rõ; Huyết áp: 120/70 mmHg.

   Phổi 2 bên rì rào phế nang rõ, không rales.

* Cận lâm sàng :

+ Xét nghiệm công thức máu (trong giới hạn bình thường) với Hồng cầu: 5,12 T/L; Hb 141 g/l; Bạch cầu: 6,35G/L; Bạch cầu trung tính: 3,53G/l. Tiểu cầu: 216G/l

+ Xét nghiệm sinh hoá máu trong giới hạn bình thường với: Ure: 4,6 mmol/l; Creatinine 68 µmol/l. Glucose: 5,1 mmol/l. AST: 18U/l; ALT: 26 U/l

+ Xét nghiệm chất chỉ điểm khối u trong máu: tăng cao với CEA: 56,14 ng/ml (bình thường dưới 3,4ng/ml).

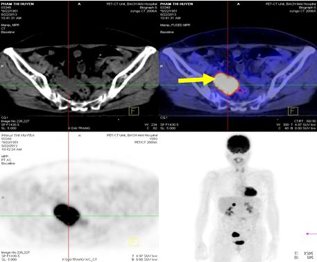
+ PET/CT :

Tại vị trí tuyến thượng thận phải có khối kích thước 3,3x3,0x4,7cm, tăng hấp thu F-18 FDG, max SUV = 15,3.

Hố chậu phải có khối kích thước 4,0x4,9x4,2cm, tăng hấp thu F-18 FDG, max SUV = 27,6.

 

Hình 1. Hình ảnh chụp PET/CT: Tuyến thượng thận phải có khối kích thước 3,3x3,0x4,7cm, tăng hấp thu F-18 FDG.

 

Hình 2. Hình ảnh chụp PET/CT: Hố chậu phải có khối kích thước 4,0x4,9x4,2cm, tăng hấp thu F-18 FDG

 Bệnh nhân được chỉ định làm xét nghiệm đột biến gen KRAS. Trong thời gian chờ đợi kết quả xét nghiệm đột biến gen KRAS, bệnh nhân được tư vấn điều trị hoá chất kết hợp với kháng thể đơn dòng loại kháng sinh mạch Bevacizumab (Avastin) tuy nhiên gia đình không đồng ý sử dụng loại thuốc này vì lo lắng huyết áp của bệnh nhân có thể tiếp tục tăng mà khó khống chế được.

Chúng tôi quyết định điều trị hóa chất phác đồ FOLFOX 4 cho bệnh nhân; Sau 2 đợt điều trị hóa chất phác đồ nói trên. Trên lâm sàng bệnh nhân không có dấu hiệu gì đặc biệt, cụ thể bệnh nhân không đau bụng, không sút cân, không nôn, không rối loạn tiêu hóa. Tuy nhiên chất chỉ điểm khối u trong máu CEA tiếp tục tăng.

                          Biều đồ 1. Nồng độ CEA tăng sau 2 chu kỳ hóa trị ban đầu

 Sau 2 chu kỳ hóa trị liệu, cũng là lúc bệnh nhân nhận được kết quả đột biến gen KRAS âm tính. Vì vậy bệnh nhân có chỉ đình dùng hóa trị phối hợp với kháng thể đơn dòng loại Cetuximab (Erbitux).

Bệnh nhân được quyết định điều trị phác đồ FOLFOX 4+ Erbitux mỗi 2 tuần. Sau 3 chu kỳ điều trị: toàn trạng bệnh nhân ổn định; không tăng cân; hạch ngoại vi không sờ thấy; bụng mềm, gan lách không sờ thấy.

Trên hình ảnh cắt lớp vi tính ổ bụng cho thấy: Hình ảnh khối tổn thương tại tuyến thượng thận phải đã thu nhỏ kích thước với đường kính u: 18x16mm

                        

Hình 3. Hình ảnh khối tổn thương tại thượng thận phải trên phim chụp cắt lớp vi tính lát cắt ngang

Hình 4. Hình ảnh khối thượng thận phải trên phim chụp cắt lớp vi tính lát cắt đứng ngang

Kết quả sau 10 đợt điều trị FOLFOX 4+Erbitux (tổng 12 đợt FOLFOX 4 + 10 đợt Erbitux):

+ Chất chỉ điểm khối u CEA giảm dần sau mỗi chu kỳ hóa trị:

Biều đồ 2. Nồng độ CEA giảm dần ở các chu kỳ hóa trị tiếp theo

Sau điều trị 12 đợt hóa chất: toàn trạng bệnh nhân tốt lên, tăng 3kg so với trước đây, không sốt, không đau bụng

Da, niêm mạc hồng; Có nổi mụn trên da vùng mặt (tác dụng phụ của Erbitux). Hạch ngoại vi không sờ thấy. Bụng mềm ; không chướng ; gan lách không sờ thấy.

Tim nhịp đều ; T1,T2 rõ ; Huyết áp ổn định: 120/70 mmHg (đang uống Amlor 5mg x 1 viên/ngày).

Phổi hai bên rì rào phế nang rõ, không rales

Trong quá trình điều trị bệnh nhân có tác dụng phụ nổi mụn trên da mặt, sạm da mặt, thỉnh thoảng mệt, buồn nôn và không ảnh hưởng nhiều đến sinh hoạt của bệnh nhân. Về các xét nghiệm huyết học và sinh hóa trong quá trình điều trị không gặp độc tính nào ở mức độ nặng

 Xét nghiệm máu sau 12 chu kỳ hóa trị:

+ Công thức máu: trong giới hạn bình thường với Hồng cầu: 4,64 T/L; Hb 135 g/l; Bạch cầu: 5,60G/L; Bạch cầu trung tính: 2,0G/l. Tiểu cầu: 194G/l

+ Xét nghiệm sinh hoá máu trong giới hạn bình thường với: Ure: 5,3 mmol/l; Creatinine 88 µmol/l. AST: 35U/l; ALT: 28 U/l.

+ Xét nghiệm chất chỉ điểm khối u trong máu: giảm hơn so với trước CEA: 5,73 ng/ml

 Chụp PET /CT đánh giá sau điều trị :

+ Không thấy hình ảnh tăng hấp thu và chuyển hoá FDG bất thường tại các vị trí trong cơ thể.

 

       Hình 5. Hình chụp PET/CT: Khối tổn thương tại tuyến thượng thận phải đã tan biến

Hình 6. Hình chụp PET/CT: Khối tổn thương phúc mạc tại hố chậu phải đã tan biến

Hiện tại bệnh nhân đang được điều trị duy trì bằng Capecitabine + Erbitux. Hy vọng bệnh nhân sẽ đạt được lui bệnh lâu dài.

Tin liên quan