Điều trị thành công bệnh nhân ung thư đại tràng di căn gan đa ổ bằng hóa chất kết hợp điều trị đích và xạ trị chiếu trong chọn lọc Y-90 tại bệnh viện Bạch Mai

Ngày đăng: 01/09/2015 Lượt xem 17216

Điều trị thành công bệnh nhân ung thư đại tràng di căn gan đa ổ bằng hóa chất kết hợp điều trị đích và xạ trị chiếu trong chọn lọc Y-90 tại bệnh viện Bạch Mai

GS.TS. Mai Trọng Khoa, TS.BS. Phạm Văn Thái, ThS.BS. Ngô Lê Lâm, BS. Trần Hải Bình và cs

Trung tâm Y học hạt nhân & Ung bướu bệnh viện Bạch Mai

Ung thư gan gồm 2 loại: nguyên phát và thứ phát. Ung thư biểu mô tế bào gan nguyên phát chiếm tỷ lệ khoảng 90% các tổn thương ác tính trong gan, có tỷ lệ mắc và tỷ lệ tử vong cao, xu hướng ngày càng tăng trên thế giới cũng như ở Việt Nam. Theo GLOBOCAN 2012 thì trên thế giới trong năm 2012 có đến 782.000 ca bệnh ung thư gan được phát hiện và 746.000 bệnh nhân tử vong vì căn bệnh này. Tỷ lệ mắc ung thư gan đứng thứ 5 trong các loại ung thư ở nam giới và đứng thứ 9 ở nữ giới, nhưng tỷ lệ tử vong đứng thứ 2 ở cả hai giới.

Tại Việt Nam ung thư gan đứng thứ 2 ở nam giới và đứng thứ 3 ở nữ giới về tỷ lệ mắc bệnh, tỷ lệ tử vong đứng thứ nhất ở cả hai giới. GLOBOCAN 2012 ghi nhận 21.997 ca ung thư gan mới mắc và 20.920 ca tử vong trong năm 2012 tại Việt Nam.

Ung thư gan thứ phát là do các loại ung thư khác di căn vào gan, chiếm tỷ lệ khoảng 10%, thường gặp nhất là do ung thư đường tiêu hóa di căn (ung thư đại trực tràng, ung thư dạ dày). Khoảng 60-70% ung thư đại trực tràng di căn vào gan và là nguyên nhân dẫn đến tử vong cho người bệnh.

Hiện nay,có nhiều phương pháp điều trị ung thư gan, mỗi phương pháp có vai trò, ưu nhược điêm khác nhau. Các phương pháp này bao gồm:

-         Phẫu thuật: cắt phần gan mang khối u; ghép gan.

-         Các phương pháp phá huỷ khối u tại chỗ bằng: sóng cao tần (RFA), vi sóng (Microwave), đông lạnh (CRYO); tiêm cồn, tiêm hoá chất, nút mạch bằng hoá chất (TACE).

-         Xạ trị: xạ trị chiếu ngoài, xạ trị bằng ion nặng, nút mạch u gan bằng hạt vi cầu phóng xạ (xạ trị chiếu trong chọn lọc - SIRT).

-         Điều trị toàn thân: điều trị nhắm trúng đích (Sorafenib), hoá trị, nội khoa.

Tùy theo giai đoạn và tình trạng bệnh nhân cụ thể mà áp dụng một hoặc phối hợp các phương pháp trên.

Nút mạch bằng hạt vi cầu phóng xạ là phương pháp xạ trị trong chọn lọc (SIRT – Selective Internal Radiation Therapy) hay còn gọi là phương pháp tắc mạch phóng xạ (RE - Radio Embolization). Khối u trong ung thư gan được nuôi dưỡng bởi các nhánh động mạch gan (90%) và tĩnh mạch cửa (10%). Các hạt vi cầu phóng xạ Ytrium (Y-90) có kích thước 20-40 micromet được bơm trực tiếp vào động mạch nuôi khối u. Các hạt này sẽ đi vào các nhánh động mạch nhỏ khắp trong khối u và gây tắc mạch, cắt nguồn dinh dưỡng nuôi u. Mặt khác, chúng phát ra bức xạ bêta với mức năng lượng 0,93 MeV, gây tiêu diệt các tế bào ung thư. Kết quả là làm giảm thể tích khối u hoặc tiêu hủy hoàn toàn khối u gan, trong khi ảnh hưởng rất ít đến tổ chức lành xung quanh.

Phương pháp này được chỉ định cho các bệnh nhân ung thư gan nguyên phát, ung thư đường mật trong gan, ung thư gan thứ phát không còn khả năng phẫu thuật với mục đích tiêu diệt hoàn toàn khối u hoặc làm giảm kích thước u, giảm xuống giai đoạn bệnh còn khả năng phẫu thuật được.

Đây là kỹ thuật điều trị ung thư gan bằng hạt vi cầu phóng xạ là kỹ thuật hiện đại, điều trị an toàn và hiệu quả, tăng thời gian sống thêm và tăng chất lượng cuộc sống cho các bệnh nhân ung thư gan nguyên phát hoặc thứ phát. Kỹ thuật này đã được áp dụng tại Mỹ, Úc, Châu Âu và một số nước Châu Âu, Châu Á và mang lại hiệu quả điều trị cao. Tại Việt Nam, tỷ lệ mắc ung thư gan cao, cần phát triển các kỹ thuật mới trong điều trị ung thư gan nhằm mang lại hi vọng cho người bệnh. Kỹ thuật nút mạch bằng hạt vi cầu phóng xạ là một kỹ thuật phức tạp, cần phải có sự phối hợp chặt chẽ giữa các chuyên khoa sâu như chuyên khoa ung bướu, y học hạt nhân, chẩn đoán hình ảnh, tiêu hóa, …, bên cạnh đó cần nhiều trang thiết bị như: máy chụp mạch, máy CT 64 dãy, máy SPECT, máy PET/CT. Nút mạch bằng hạt vi cầu phóng xạ là phương pháp đưa trực tiếp hạt vi cầu resin Yttrium 90 (Y-90) qua động mạch nuôi khối u vào trong khối u. Với tác dụng kép là gây tắc mạch cắt nguồn dinh dưỡng nuôi u và phát ra tia bức xạ bêta tiêu diệt tế bào ung thư tại chỗ, ảnh hưởng rất ít đến mô lành xung quanh. Ưu điểm nối bật của kỹ thuật này là tạo ra liều chiếu xạ cao tại khối u trong khi các tổ chức lành xung quanh chịu liều chiếu xạ thấp, vì thế ít gây ra các tác dụng phụ, giảm biến chứng điều trị. Người bệnh sau khi điều trị có thể ra viện ngay ngày hôm sau.

          Bằng phương pháp điều trị này không chi mang lại lợi ích cho các bệnh nhân ung thư gan nguyên phát không còn khả năng phẫu thuật mà còn cho cả các bệnh nhân ung thư đại trực tràng di căn vào gan. Tại Hội nghị ung thư quốc tế ASCO 2015 giáo sư người Úc Peter Gibbs đã trình bày kết quả nghiên cứu SIRFLOX về lợi ích của việc kết hợp nút mạch u gan bằng hạt vi cầu phóng xạ resin SIR – spheres Y-90 và hoá trị cho bệnh nhân ung thư đại trực tràng di căn vào gan: “Việc kết hợp 2 phương pháp này giúp kéo dài thời gian kiểm soát khối u trong gan trung bình 20,5 tháng và giảm 31% nguy cơ phát triển khối u ở gan, tăng 3 lần khả năng khỏi bệnh trong gan”.

Cho tới nay, đã có nhiều bệnh nhân ung thư gan nguyên phát và thứ phát được điều trị thành công bằng kỹ thuật xạ trị chiếu trong chọn lọc Y-90. Sau đây là 1 trong số các ca lâm sàng.

Họ và tên: N. Đ. T       Nam 59T

Nghề nghiệp: Cán bộ

Lí do vào viện: Đau tức hạ sườn phải

Bệnh sử: Diễn biến bệnh 2 tháng trước khi vào viện, khởi đầu có đau tức hạ sườn phải, người mệt mỏi, ăn kém, gày sút 3 kg/2 tháng, đại tiểu tiện bình thường, khám phòng khám tư, chẩn đoán u gan → Bệnh viện Bạch Mai

Tiền sử bản thân

Không nghiện rượu

Không mắc bệnh gì

Tiền sử gia đình

Không ai bị ung thư

Khám khi vào viện:                                     

Tỉnh, thể trạng gày cao 167, nặng 65 kg

Chỉ số toàn trạng : PS=1

Da, niêm mạc bình thường

Hạch ngoại vi không sờ thấy

Gan to 2 cm dưới bờ sườn

Bụng mền không chướng

Chụp MSCT ổ bụng

                

 Hình 1: Hình ảnh khối u hạ phân thuỳ 6 gan phải, kích thước 8,5 x7,2 cm, khối u gan trái 3,1 x2,1 cm

Xét nghiệm chất chỉ điểm khối u

+ CEA> 1000 ng/ml

+ AFP: bình thường

Xét nghiệm Virut

HbsAg (-), anti HCV(-)

Công thức máu: bình thường

Nội soi đại tràng: khối u ở đại tràng lên sinh thiết làm mô bệnh học

Kết quả: ung thư biểu mô tuyến.

Sinh thiết u gan dưới hướng dẫn của siêu âm

Kết quả mô bệnh học: Ung thư biểu mô tuyến

Nhuộm hoá mô miễn dịch: Ung thư biểu tuyến của đại tràng di căn gan

Phân tích đột biến gen: KRAS (-)

PET/CT

Hình 2: Hình ảnh khối u hạ phân thùy VI 8,6x7,0 cm, max SUV=7,49; khối u gan trái 3,0x2,0 cm, maxSUV=5,06

Hình 3: Hình ảnh khối u đại tràng 2,1 x2,6x 2,9 cm, max SUV=11,65  

Chẩn đoán: Ung thư đại tràng loại biểu mô tuyến di căn gan (TxN0M1), KRAS (-)

Điều trị

-         Hoá chất FOLFOX4 + Cetuximab (Erbitux)

-         Điều trị vi cầu phóng xạ Y-90 vào tổn thương di căn gan

Kêt quả điều trị sau 6 tháng

 

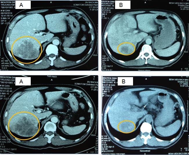
Hình 4: Hình ảnh khối u trước điều trị 7,0 x 8,6 cm (A) và sau điều trị 3,0 x 3,5cm (B)

Đánh giá về hình ảnh tổn thương:

Bệnh nhân đã được phẫu thuật cắt đoạn đại tràng có u + cắt u di căn gan

Hình 5: Hình ảnh phẫu thuật cắt u di căn gan (A), đoạn đại tràng có u (B), khối u di căn gan (C).                                             

Như vậy, việc kết hợp hoá chất FOLFOX 4 + Cetuximab (Erbitux) + xạ trị chiếu trong chọn lọc bằng vi cầu phóng xạ Y-90 đã mang lại hiệu quả điều trị cho bệnh nhân ung thư đại tràng di căn gan. Cụ thể ở bệnh nhân này, các biện pháp điều trị đã giúp:

-         Đáp ứng cơ năng hoàn toàn

-         Đáp ứng khách quan 1 phần

-         Tạo điều kiện thuận lợi cho phẫu thuật loại bỏ hoàn toàn tổn thương ra khỏi cơ thể.

Tin liên quan