Điều trị bệnh nhân ung thư phổi di căn màng phổi, xương bằng hóa trị kết hợp p-32 và thuốc chống hủy xương

Ngày đăng: 01/07/2015 Lượt xem 8322

Điều trị bệnh nhân ung thư phổi di căn màng phổi, xương bằng hóa trị kết hợp P-32 và thuốc chống hủy xương 

GS.TS. Mai Trọng Khoa, TS.BS. Phạm Cẩm Phương, BSNT. Đặng Tài Vóc

 Trung tâm Y học hạt nhân và Ung bướu - Bệnh viện Bạch Mai.

Ung thư phổi không tế bào nhỏ đang là một trong những bệnh ung thư hàng đầu về tỉ lệ mắc trên thế giới cũng như tại Việt Nam. Bệnh thường gặp ở nam giới trên 40 tuổi. Hút thuốc lá làm tăng nguy cơ mắc bệnh ung thư phổi. Các phương pháp điều trị bao gồm: phẫu thuật, xạ trị, hóa chất, sinh học. Việc lựa chọn và lập kế hoạch điều trị phụ thuộc vào thể trạng, giai đoạn bệnh và mô bệnh học của từng bệnh nhân.

Bệnh nhân ở giai đoạn sớm (giai đoạn I, II) điều trị triệt căn bằng phẫu thuật hoặc hóa - xạ trị kết hợp. Đối với giai đoạn tiến xa, điều trị chủ yếu dùng các phương pháp toàn thân như hóa chất, điều trị đích.

Điều trị trúng đích là phương pháp dùng thuốc hoặc các chất để ngăn chặn sự phát triển của tế bào ung thư bằng cách tác động vào các phân tử đặc hiệu cần thiết cho quá trình sinh ung thư và phát triển khối u. Phương pháp này bao gồm hai nhóm thuốc: kháng thể đơn dòng và các thuốc thuộc loại phân tử nhỏ. Nhóm thuốc phân tử nhỏ (ức chế tyrosine-kinase: Gefitinib, Erlotininib…) là một trong những lựa chọn điều trị bước 1 với bệnh nhân ung thư phổi biểu mô tuyến giai đoạn muộn có đột biến EGFR (Epidermal Growth Factor Receptor: thụ thể yếu tố phát triển biểu mô). Các nghiên cứu đã chứng minh được rằng đột biến gen tại các exon 19 và 21 sẽ làm tăng sự nhạy cảm của thuốc, ngược lại đột biến tại exon 20 có thể gây kháng thuốc, những trường hợp này hóa chất là sự lựa chọn thích hợp.

Điều trị hóa chất phù hợp với bệnh nhân thể trạng khỏe, loại biểu mô tuyến nhưng không có đột biến EGFR hoặc không rõ tình trạng đột biến, ung thư tế bào vảy… Các phác đồ hóa chất thường dùng là phác đồ phối hợp platinum (Cisplatin, Carboplatin) với nhóm Taxane (Paclitaxel, Docetaxel), Gemcitabine, Etoposid, Vinorelbine, Pemetrexed….

Sau đây chúng tôi xin trình bày một trường hợp bệnh nhân ung thư phổi giai đoạn muộn được điều trị thành công bằng phác đồ có Pemetrexed và Cisplatin.

Bệnh cảnhBệnh nhân Lê Ng. T., nam, 56 tuổi.

Địa chỉ: Hoàng Mai, Hà Nội.

Vào viện ngày 23/10/14, với lý do tức ngực trái, khó thở.

Bệnh sử: 1 tuần trước khi vào viện bệnh nhân xuất hiện đau ngực trái âm ỉ, thỉnh thoảng trội thành cơn, lan ra sau lưng, kèm theo khó thở, tăng dần khi gắng sức, đôi khi có ho khan, không sốt, mệt mỏi, ăn uống kém, gầy sút 2kg/tháng. Bệnh nhân đi khám được chụp phim XQ ngực thẳng có hình ảnh u phổi trái, tràn dịch màng phổi trái, bệnh nhân được chọc dịch màng phổi trái, ra khoảng 1500ml dịch hồng nhạt, kết quả xét nghiệm tế bào học dịch màng phổi (cellblocks): ung thư biểu mô tuyến, nhuộm hóa mô miễn dịch: Ung thư biểu mô tuyến di căn, nguồn gốc từ phổi.

Tiền sử:

- Bản thân: Chấn thương sọ não 3 năm trước

- Gia đình: chưa ai mắc bệnh liên quan

Khám lúc vào viện:

- Bệnh nhân tỉnh

- Tiếp xúc tốt

- Mạch: 80 lần/phút

- Huyết áp: 110/70mmHg

- Hội chứng 3 giảm đáy phổi trái

- Phổi rì rào phế nang rõ, không rales

- Bụng mềm, gan lách không sờ thấy

- Các cơ quan, bộ phận khác chưa phát hiện bất thường

- Chiều cao: 169cm, cân nặng: 74 cm. Diện tích da: 1,85 m2

Xét nghiệm cận lâm sàng:

- Công thức máu: trong giới hạn bình thường, với hồng cầu: 4,1T/L; Hemoglobin: 134g/l; Bạch cầu: 8,7G/L; Bạch cầu trung tính: 6,7T/L. Tiểu cầu: 256G/l.

- Chức năng gan thận trong giới hạn bình thường với Ure: 4,1mmol/l; Creatinin: 80µmol/l; Glucose: 5,1mmol/l; AST: 23U/L; ALT: 24U/L.

- Chỉ điểm khối u trong máu: CEA: 201U/ml , Cyfra 21-1: 5,21ng/ml.

Chẩn đoán hình ảnh:

- Hình ảnh XQ tim phổi thẳng lúc chưa chọc dịch.

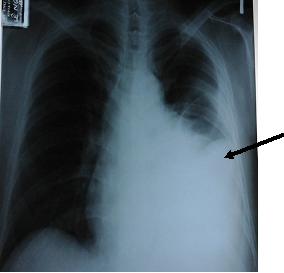
Hình 1. Hình ảnh XQ tim phổi lúc bệnh nhân chưa được chọc dịch màng phổi: tràn dịch màng phổi trái số lượng nhiều, gây xẹp phổi trái (mũi tên)

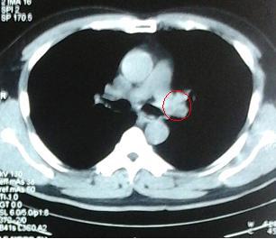
Hình 2. Hình ảnh chụp cắt lớp vi tính ngày 13/10/2014, khối u kích thước 4x4cm (vòng tròn vàng), tràn dịch màng phổi trái (mũi tên)

          Ngày 28 tháng 10 năm 2014, bệnh nhân được chụp PET/CT cho thấy: Thùy trên phổi trái có khối tăng hấp thu F-18 FDG, kích thước 4,3x4,1x4,2cm, max SUV=8,9. Dịch màng phổi trái 0,7cm không tăng hấp thu F-18 FDG.

Hình 3. Hình ảnh chụp PET/CT: khối u phổi trái tăng hấp thu F-18 FDG kích thước 4,3x4,1x4,2cm (vòng tròn đỏ), tràn dịch màng phổi trái (mũi tên vàng, đã chọc tháo dịch màng phổi trái trước đó)

- Đốt sống C7 tăng hấp thu F-18 FDG, max SUV=3,6 (kích thước 1,2x1,3cm)


Hình 4. Hình ảnh PET/CT: tổn thương tăng hấp thu F18- FDG tại cột sống C7 nghĩ đến tổn thương thứ phát (vòng tròn đỏ)

- Các cơ quan bộ phận khác: chưa phát hiện bất thường

Gỉải phẫu bệnh:

- Xét nghiệm khối tế bào (Cellblock) dịch màng phổi: Ung thư biểu mô tuyến di căn

- Hóa mô miễn dịch: Ung thư biểu mô tuyến di căn, nguyên phát tại phổi.

- Ngày 28/10/2014 bệnh nhân được làm xét nghiệm đột biến EGFR: âm tính.

Chẩn đoán xác định:

- Ung thư loại biểu mô tuyến phổi trái di căn màng phổi, di căn xương, giai đoạn: T2N0M1, giai đoạn IV, đột biến EGFR âm tính.

Điều trị:

- Bệnh nhân được điều trị 5 chu kì phác đồ Pemetrexed 500 mg/m2 phối hợp với Cisplatin 75mg/m2

- Chống hủy xương: Zometa 4mg truyền 28 ngày/1 lần

- Sau 1 tháng vào viện, bệnh nhân được uống Phospho-32: 1 đợt liều 7mCi nhằm mục đích giảm đau, tiêu diệt tế bào ung thư di căn xương.

Đánh giá sau điều trị:

Sau 3 đợt hóa trị + thuốc chống hủy xương + P32, bệnh nhân được chụp cắt lớp vi tính lồng ngực nhằm mục đích đánh giá đáp ứng sau điều trị. Trên hình ảnh chụp cắt lớp vi tính lồng ngực cho thấy: nhu mô phổi trái có khối dạng hình tam giác, ngấm thuốc đều sau tiêm, kích thước 23x11mm không có tràn dịch màng phổi trái, không có hạch to trung thất.

Hình 5. Hình ảnh chụp cắt lớp vi tính lồng ngực của bệnh nhân sau 3 đợt điều trị hóa chất (vòng tròn đỏ là tổn thương còn lại)

Xét nghiệm chất chỉ điểm khối u trong máu CEA: 128,2ng/ml

Bệnh nhân tiếp tục được điều trị hóa trị tiếp. Hiện tại sau 6 đợt hóa trị + chống hủy xương+ P32: bệnh nhân không đau ngực, không khó thở, không đau tại vùng di căn xương, đã tăng 3 kg, ăn ngủ tốt hơn trước.

Thăm khám lâm sàng:

- Bệnh nhân tỉnh.

- Tiếp xúc tốt.

- Mạch: 80 lần/phút.

- Huyết áp: 110/70mmHg.

- Phổi rì rào phế nang rõ, không rales.

- Bụng mềm, gan lách không sờ thấy.

- Các cơ quan, bộ phận khác chưa phát hiện bất thường.

Xét nghiệm máu:

Công thức máu: trong giới hạn bình thường, với hồng cầu: 4,3T/L; Hemoglobin: 139g/l; Bạch cầu: 8,1G/L; Bạch cầu trungtính: 6,6T/L. Tiểu cầu: 125G/l.

- Chức năng gan thận trong giới hạn bình thường với Ure: 4,3mmol/l; Creatinin: 79µmol/l; Glucose: 5,0mmol/l; AST: 30U/L; ALT:34 U/L.

Chỉ điểm u CEA (U/ml): 60,5ng/ml.

- Bệnh nhân được chụp PET/CT đánh giá sau 6 đợt hóa chất

 

Hình 6. Hình PET/CT sau 6 đợt hóa chất: còn tổn thương tăng FDG ở thùy trên phổi T (kích thước 25x15mm), max SUV: 6,0
 (vòng tròn đỏ)

Bệnh nhân được điều trị xạ trị vào khối u phổi trái và tiếp tục hóa trị duy trì. Chúng tôi hy vọng bệnh nhân sẽ đạt được ổn định bệnh lâu dài.


Tin liên quan