U nguyên bào thần kinh đệm ác tính của não không phải vô phương cứu chữa

Ngày đăng: 12/06/2015 Lượt xem 7698

U nguyên bào thần kinh đệm ác tính của não không phải vô phương cứu chữa

Gs. Ts Mai Trọng Khoa, Ts. Nguyễn Quang Hùng

Trung tâm Y học hạt nhân và Ung bướu, Bệnh viện Bạch Mai


U nguyên bào thần kinh đệm của não là một trong những bệnh lý u nguyên phát thuộc hệ thần kinh trung ương. Đây là loại u não có tiên lượng xấu, tiến triển nhanh và rất ác tính. Bệnh không điều trị kịp thời, đúng phương pháp bệnh nhân sớm rơi vào tình trạng diễn biến bệnh nặng với các dấu hiệu như sau: đau đầu, buồn nôn, nôn, yếu hay liệt nửa người, mất chức năng thăng bằng, phản ứng chậm chạp, hay quên, tinh thần u uất… Ngày nay, tỷ lệ mắc và tử vong do u nguyên bào thần kinh đệm ở não ngày càng gia tăng, bệnh nhân thường đến viện muộn nên việc điều trị chỉ giúp cải thiện chất lượng sống, kéo dài thời gian sống thêm.

Dưới đây là một trường hợp cụ thể:

Bệnh nhân: Đoàn Thị H, nữ, 30 tuổi.

Địa chỉ: Ba Vì- Hà Nội

Diễn biến bệnh: 2 tháng khởi đầu xuất hiện dấu hiệu đau đầu âm ỉ, dai dẳng, tinh thần u ám kèm theo yếu nửa người trái, bệnh nhân đã điều trị thuốc giảm đau không đỡ. 1 tháng sau tình trạng đau đầu nhiều hơn, liệt nửa người trái.

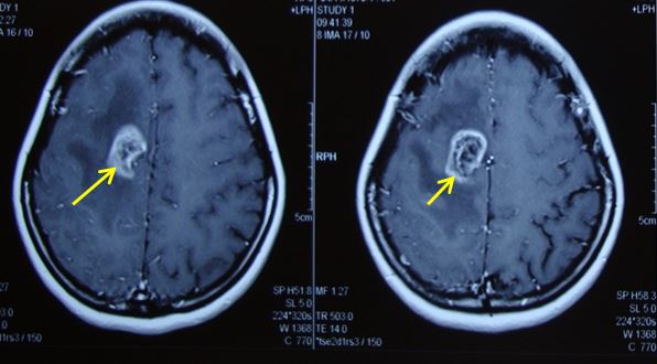
Bệnh nhân đã đến khám tại Bệnh viện Bạch Mai, chụp cộng hưởng từ sọ não phát hiện u não vùng đỉnh phải kích thước 2,5 x 3 cm, có phù não xung quanh và ngấm thuốc mạnh. Trên xung cộng hưởng từ phổ chất chuyển hóa Cholin tăng

Hình ảnh khối u trên phim cộng hưởng từ trước điều trị


Hình ảnh chuyển hóa Cholin, NAA, Creatin trên xung cộng hưởng từ phổ

Bệnh nhân đã được thông qua hội đồng hội chẩn xạ trị thường niên bao gồm các giáo sư, tiến sĩ, bác sĩ đầu ngành thuộc các chuyên khoa sâu như nội thần kinh, ngoại thần kinh, ung bướu, chẩn đoán hình ảnh, xạ trị, y học hạt nhân, giải phẫu bệnh…tại Trung tâm Y học hạt nhân và ung bướu, Bệnh viện Bạch Mai nhằm mục đích đưa ra phác đồ điều trị hiệu quả nhất.

Bệnh nhân được quyết định sinh thiết u xuyên xương sọ dưới hướng dẫn của chụp cắt lớp vi tính, kết quả mô bệnh học là u nguyên bào thần kinh đệm.

Bệnh nhân đã được tiến hành xạ gia tốc liều 64 Gy, phân liều 2Gy/ngày

kết hợp với Temozolomide uống liều 75mg/m2 da /ngày trong 6 tuần, sau đó nghỉ 4 tuần, tiếp tục điều trị duy trì Temozolomide liều 150mg/m2 da x 5 ngày, chu kỳ mỗi tháng, uống trong 6 tháng, xét nghiệm huyết động học sau mỗi chu kỳ.

Kèm theo thuốc chống phù não, nâng cao thể trạng

+ Mannitol 20% từ 80-100 ml cứ 6-8 giờ truyền tĩnh mạch 1 lần, tốc độ 80- 100 giọt/ phút.

    + Synacthène 1mg=1ml (thuộc loại Glucocorticoide) 3 ngày trước sinh thiết.

    + Furosemide 20mg (tĩnh mạch) 8 giờ/lần. Cân bằng nước và điện giải, nhất là K+.

    + Điều trị nâng cao thể trạng

    + Chống loét do nằm lâu, viêm phổi, nhiễm khuẩn tiết niệu.

Đánh giá kết quả sau điều trị hóa xạ trị và duy trì Temozolomide 3 tháng

Lâm sàng: Bệnh nhân tỉnh, tiếp xúc tốt, không còn đau đầu, không buồn nôn, sinh hoạt đi lại bình thường, tăng cân.

Dấu hiệu cận lâm sàng: trên hình ảnh chụp cộng hưởng từ, khối u đã nhỏ hơn so với trước điều trị, không còn ngấm thuốc, không còn phù não. Trên xung cộng hưởng từ phổ chất chuyển hóa Cholin giảm

Hình ảnh khối u trên phim chụp cộng hưởng từ sau điều trị


Hình ảnh chất chuyển hóa Cholin, NAA, Creatinin trên xung chụp cộng hưởng từ phổ sau điều trị

Các xét nghiệm khác: huyết động học, siêu âm, điện tim trong giới hạn bình thường.

 Từ kết quả trên cho thấy sự phối hợp hóa xạ trị đồng thời: xạ gia tốc + Temozolomide và duy trì temozolomide trong điều trị u nguyên bào thần kinh đệm đã giúp cải thiện chất lượng sống, kéo dài thời gian sống cho bệnh nhân.

Tin liên quan