Ca lâm sàng điều trị thành công bệnh nhân ung thư phổi không tế bào nhỏ bằng hóa chất toàn thân

Ngày đăng: 10/02/2015 Lượt xem 7492

Ca lâm sàng điều trị thành công bệnh nhân ung thư phổi không tế bào nhỏ bằng hóa chất toàn thân 


GS. TS Mai Trọng Khoa, Ths. BS Phạm Văn Thái, BSNT Nguyễn Thị Hoa Mai

Trung tâm Y học hạt nhân và Ung bướu, Bệnh viện Bạch Mai

Ung thư phổi không tế bào nhỏ đang là một trong những bệnh ung thư hàng đầu về tỉ lệ mắc trên thế giới cũng như tại Việt Nam. Bệnh thường gặp ở nam giới, hút thuốc lá làm tăng nguy cơ mắc ung thư phổi. Các phương pháp điều trị bao gồm: phẫu thuật, xạ trị, hóa chất, sinh học. Lựa chọn và lập kế hoạch điều trị phụ thuộc vào thể trạng, giai đoạn bệnh và mô bệnh học của từng bệnh nhân.

Bệnh nhân ở giai đoạn sớm (giai đoạn I, II) điều trị triệt căn bằng phẫu thuật hoặc hóa - xạ trị kết hợp. Đối với giai đoạn tiến xa, điều trị chủ yếu dùng các phương pháp toàn thân như hóa chất, điều trị đích.

Điều trị trúng đích là phương pháp dùng thuốc hoặc các chất để ngăn chặn sự phát triển của tế bào ung thư bằng cách tác động vào các phân tử đặc hiệu cần thiết cho quá trình sinh ung thư và phát triển khối u. Phương pháp này bao gồm hai nhóm thuốc: kháng thể đơn dòng và các thuốc thuộc loại phân tử nhỏ. Nhóm thuốc phân tử nhỏ TKIs (Geffitinib, Erlotinib) là một trong những lựa chọn bước 1 với bệnh nhân ung thư phổi biểu mô tuyến có đột biến EGFR. Các nghiên cứu đã chứng minh được rằng đột biến gen tại các exon 19 và 21 sẽ làm tăng sự nhạy cảm của thuốc, ngược lại đột biến tại exon 20 có thể gây kháng thuốc, những trường hợp này hóa chất là sự lựa chọn thích hợp.

Điều trị hóa chất phù hợp với bệnh nhân thể trạng khỏe, loại biểu mô tuyến nhưng không có đột biến EGFR hoặc không rõ tình trạng đột biến, ung thư tế bào vảy… Các phác đồ hóa chất thường dùng là phác đồ phối hợp platinum (Cisplatin, Carboplatin) với nhóm Taxane (Paclitaxel, Docetaxel), Gemcitabine, Etoposid, Vinorelbine, Pemetrexed….

Sau đây chúng tôi xin trình bày một trường hợp bệnh nhân ung thư phổi giai đoạn muộn được điều trị thành công bằng hóa chất toàn thân.

 1.Bệnh sử: Bệnh nhân nam, 59 tuổi, tiền sử chẩn đoán ung thư thùy trên phổi trái đã phẫu thuật cắt thùy trên phổi trái tại bệnh viện X cách 9 tháng, giai đoạn T2NoMo, giải phẫu bệnh sau mổ: ung thư biểu mô tuyến. Sau phẫu thuật bệnh nhân không điều trị gì. Đợt này, cách vào viện 3 tháng, bệnh nhân xuất hiện mệt mỏi, ăn uống kém, gầy sút 3kg/ 3 tháng,ho khan, đau tức ngực trái, khó thở tăng dần-> Vào viện.

2.Tiền sử:

-          Bản thân: Hút thuốc lá: 0,5 bao / ngày trong 10 năm, hiện đã bỏ, hút thuốc lào: 5 lần/ ngày trong 20 năm.

-          Gia đình: không ai bị ung thư.

3.Khám lúc vào viện:

-          Thể trạng gầy, cao 165 cm, nặng 54 Kg

-          Không phù, không xuất huyết dưới da

-          Hạch ngoại vi không sờ thấy

-          Tim mạch: Nhịp tim đều 80 ck/ph, T1,T2 rõ, không có tiếng thổi bệnh lý

-          Hô hấp: RRPN phổi trái giảm

-          Các cơ quan, bộ phận khác không có gì đặc biệt

4.Cận Lâm sàng:

-          Công thức máu, đông máu cơ bản trong giới hạn bình thường

-          Sinh hóa máu:

+ Chức năng gan, thận trong giới hạn bình thường

+ Chất chỉ điểm u: CEA tăng: 128 ng/ ml

                                 CA 19-9, CA 72-4, PSA, AFP trong giới hạn bình thường.

-          Vi sinh: HBsAg âm tính; HIV âm tính

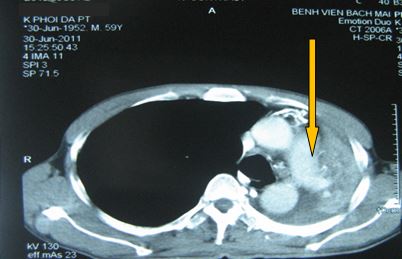
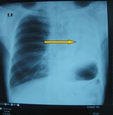
-          X- Quang tim phổi thẳng có hình ảnh đám mờ toàn bộ thùy trên phổi trái:

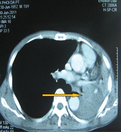
-          Bệnh nhân được tiến hành chụp cắt lớp vi tính ngực (CT ngực) đánh giá: có hình ảnh tổn thương toàn bộ thùy trên phổi trái

 

 

Hình ảnh tổn thương tái phát tương ứng với thùy trên phổi trái

 

-          Chụp cộng hưởng từ sọ não: kết quả không phát hiện gì bất thường

-          Xạ hình xương: Chưa có tổn thương di căn

5.Tiến hành sinh thiết xuyên thành ngực u phổi trái dưới hướng dẫn của CT- Scaner, kết quả giải phẫu bệnh: Ung thư biểu mô tuyến tại phổi.

6. Chẩn đoán xác định: Ung thư phổi trái loại biểu mô tuyến tái phát sau phẫu thuật T

7.Điều trị:

Tiến hành điều trị hóa chất toàn thân cho bệnh nhân theo phác đồ:

-          Vinorelbine 30mg/ m2 da, truyền tĩnh mạch ngày 1, ngày 8

-          Carboplatin 300mg/ m2 da, truyền tĩnh mạch ngày 1.

Chu kỳ 21 ngày x 6 chu kỳ

Đồng thời tiến hành điều trị triệu chứng: giảm ho, kháng viêm, giảm đau, nâng cao thể trạng.

8.Kết quả điều trị sau 5 tháng:

-          Lâm sàng: Sau điều trị bệnh nhân đáp ứng tốt, không ho, không đau tức ngực, không còn khó thở, tăng 2 kg

-          Cận lâm sàng:

+ Chất chỉ điểm khối u: CEA giảm xuống về mức bình thường: 4,16 ng/ ml

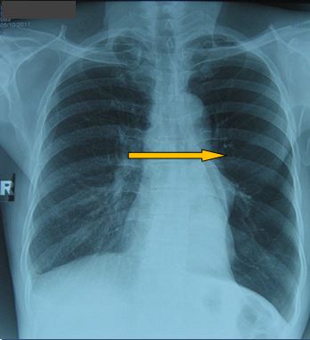
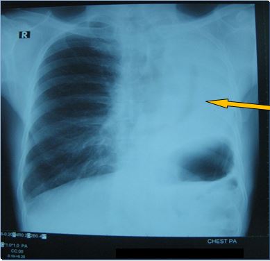
+ Chụp X- Quang ngực đánh giá lại sau 5 tháng điều trị: Khối u thùy trên phổi trái biến mất

 

Trước điều trị

Tổn thương đám mờ toàn bộ vị trí thuỳ trên phổi trái

Sau điều trị 5 tháng

Không rõ đám mờ

 

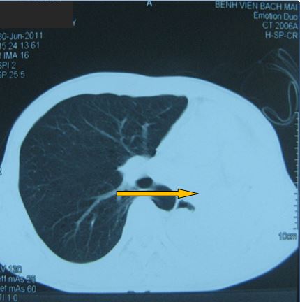
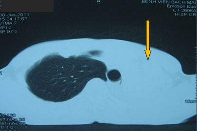
+ Chụp CT ngực đánh giá sau 5 tháng điều trị:

 

 

 

Trước điều trị

Tổn thương ở vị trí thuỳ trên phổi trái: khối đông đặc và tổ chức u

Sau điều trị 5 tháng

Không rõ tổn thương

Trong quá trình điều trị, bệnh nhân xuất hiện mệt mỏi, chán ăn, nôn tuy nhiên các triệu chứng này chỉ xảy ra trong vài ngày đầu sau khi truyền hóa chất.

9.Kết luận:

Bệnh nhân nam, 59 tuổi, chẩn đoán ung thư thùy trên phổi trái tái phát sau phẫu thuật. Sau điều trị 6 chu kì hóa chất bệnh đáp ứng hoàn toàn.

Tin liên quan