Cần phân biệt ung thư gan nhiễm giun đũa chó mèo biểu hiện tại gan

Ngày đăng: 02/04/2015 Lượt xem 6086

Cần phân biệt ung thư gan nhiễm giun đũa chó mèo biểu hiện tại gan

 GS.TS Mai Trọng Khoa,TS.Phạm Cẩm Phương, BSNT.Đặng Tài Vóc

Trung tâm Y học hạt nhân & Ung bướu, bệnh viện Bạch Mai

Ca lâm sàng:

Bệnh cảnh:Bệnh nhân Nguyễn Đ. V., nam, 69 tuổi

Địa chỉ: Cầu Giấy, Hà Nội. Vào viện ngày 19/1/14 với lí do đau âm ỉ vùng thượng vị

Bệnh sử: Một tháng trước khi vào viện bệnh nhân xuất hiện đau vùng thượng vị, không ợ hơi ợ chua, ăn uống bình thường, không gầy sút cân. Bệnh nhân đã đi khám tại một phòng khám tư nhân ở Hà nội. Bệnh nhân được làm một số xét nghiệm: siêu âm ổ bụng và chụp cắt lớp vi tính ổ bụng: có ổ tổn thương tại gan phải, nội soi dạ dày có ổ loét môn vị dạ dày, sau đó bệnh nhân được vào Trung tâm y học hạt nhân và Ung bướu Bệnh viện Bạch Mai để khám và điều trị.

Tiền sử

- Bản thân: Có tăng huyết áp 3 năm nay đang dùng Amlordipin 5 mg x 1 viên/ ngày

- Gia đình: chưa ai mắc bệnh như bệnh nhân

Khám lúc vào viện

- Bệnh nhân tỉnh

- Tiếp xúc tốt, không vàng da vàng mắt

- Mạch:80 lần/phút

- Huyết áp: 110/70 mmHg

- Phổi 2 bên: Rì rào phế nang rõ, không rales

- Bụng mềm, gan lách không sờ thấy

- Các cơ quan, bộ phận khác chưa phát hiện bất thường

- Đại tiểu tiện bình thường

- Chiều cao:160 cm, cân nặng:60 kg

Xét nghiệm cận lâm sàng:

- Công thức máu: Hồng cầu: 4,1 T/L; Hemoglobin:125 g/l; Bạch cầu: 8,1 G/L; Bạch cầu trung tính: 6,0 G/L; Bạch cầu ái toan: 0,5%; Bạch cầu ái kiềm: 2,1% (trong giới hạn bình thường).

- Sinh hóa máu: Ure:4,5 mmol/l; Creatinin: 68 umol/l; Glucose:6.3 mmol/l (trong giới hạn bình thường).

- Chỉ điểm khối u trong máu: AFP:1,88 ng/ml (trong giới hạn bình thường); CEA 4.26 ng/ml; CA 19-9: 25,21 U/ml; CA 72-4 : 0,95 U/ml; PSA toàn phần: 1,77 ng/ml;

Xét nghiệm vi sinh:

- HIV : âm tính

- HbsAg : âm tính

Nội soi dạ dày:

- Niêm mạc hang vị xung huyết kèm một số trợt nông, trợt lồi, mặt trước hang vị có ổ loét nông kích thước 1,2 cm

 

Hình 1:Hình ảnh nội soi dạ dày(vòng tròn đỏ là tổn thương)

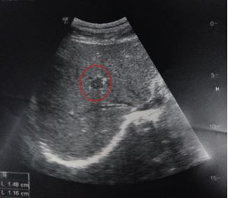
-          Siêu âm ổ bụng:

Hình 2:Siêu âm ổ bụng:nhu mô gan phải có nốt giảm âm kích thước 15 x 12 mm (vòng tròn đỏ), nghĩ tới tổn thương thứ phát

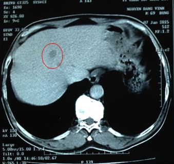
 Trên phim chụp cắt lớp vi tính ổ bụng: nhu mô hạ phân thùy VIII có nốt đường kính 12 mm, giảm tỷ trọng trước tiêm, ngấm thuốc ít sau tiêm, nghĩ tới tổn thương thứ phát.

Hình 3: Hình ảnh chụp cắt lớp vi tính ổ bụng: khối tổn thương tại gan phải (vòng tròn đỏ)

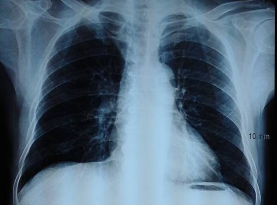
-          Chụp X- Quang tim phổi ngực thẳng: chưa phát hiện tổn thương bất thường

 

Hình 4: Hình ảnh chụp X- Quang tim phổi thẳng

Bàn luận: Kết quả các chất chỉ điểm u trong giới hạn bình thường, kết quả nội soi dạ dày cho kết quả niêm mạc hang vị xung huyết, tổn thương gan chưa rõ ràng nghiêng về tổn thương thứ phát. Chúng tôi tiến hành điều trị viêm dạ dày, kèm theo làm thêm một số xét nghiệm bổ xung cho bệnh nhân.

Chụp cộng hưởng từ ổ bụng cho thấy: nhu mô gan hạ phân thùy IV có tổn thương kích thước 10 x15 mm, bờ và ranh giới không rõ, có tính chất lành tính (cần làm thêm xét nghiệm loại trừ sán lá gan)

Hình 5: Hình ảnh chụp cộng hưởng từ ổ bụng (vòng tròn đỏ chỉ tổn thương)

Chúng tôi quyết định làm thêm xét nghiệm ELISA sán lá gan lớn, giun lươn, giun đũa chó mèo, những kí sinh trùng hay gặp ở người dân Việt Nam và có gây tổn thương tại gan.

Kết quá ELISA sán lá gan lớn(-), giun lươn(-), giun đũa chó mèo (+).

Bệnh nhân được làm xét nghiệm soi phân cho thấy: có hồng cầu trong phân

Do đó chúng tôi quyết định hội chẩn chuyên khoa truyền nhiễm để có hướng điều trị cho bệnh nhân. Bệnh nhân được điều trị Zentel 200 mg x4 viên ngày uống trong 15 ngày, sau đó 2 tuần sẽ được xét nghiệm lại ELISA giun đũa chó mèo, soi phân....

Hiện tại bệnh nhân đang được theo dõi thêm, chúng tôi sẽ cập nhập kết quả điều trị sau.

Phân biệt nhiễm giun đũa chó mèo và tổn thương thứ phát ở gan

Ở nước ta, chó mèo được nuôi không kiểm soát, thả rong, phân chó gặp ở khắp nơi, do đó mọi người đều có nguy cơ nhiễm giun đũa chó mèo. Ấu trùng giun đũa chó có thể sống trong cơ thể người đến 10 năm và bảo tồn sự sống bằng cách thải ra chất ngụy trang để chống lại sự tấn công của bạch cầu ái toan và kháng thể của chúng.

Ảnh 1: Sơ đồ nhiễm giun đũa chó mèo (Nguồn:Internet)

 

Đặc điểm lâm sàng của bệnh rất đa dạng, khó xác định, phụ thuộc rất nhiều vào số lượng, vị trí ký sinh của ấu trùng và đáp ứng của của cơ thể người bị nhiễm, chẩn đoán thường dựa vào miễn dịch học.

Các triệu chứng của bệnh hiếm khi điển hình, các triệu chứng hay gặp như: mệt mỏi, ăn mất ngon, thể trạng kém và có dạng dị ứng (nổi mẩn ngứa, nổi ban mày đay…). Gan là cơ quan hay bị xâm nhiễm nặng nhất và gan to là biểu hiện thường gặp mặc dù gan cũng như bất kỳ cơ quan nào cũng có thể bị xâm nhiễm. Tổn thương ở gan giống như một khối u dễ nhầm với ung thư di căn. Bạch cầu ái toan thường tăng trên 10% số lượng bạch cầu nhưng có tới 25% số bệnh nhân bạch cầu ái toan không tăng.

Chẩn đoán huyết thanh miễn dịch học giúp phát hiện những bệnh nhân nhiễm giun đũa chó nhưng có triệu chứng không rõ ràng. Thử nghiệm huyết thanh học ELISA dùng kháng nguyên ấu trùng giun toxocara, độ nhạy từ 75-90%. Ngoài ra chụp cắt lớp vi tính và chụp cộng hưởng từ cơ quan nghi ngờ tổn thương cũng cho phép định hướng tổn thương

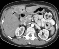
Ảnh 2: Tổn thương gây ra ở gan do giun đũa chó mèo (Nguồn:Internet)

 

Hình ảnh trên chụp cắt lớp vi tính cho thấy ổ tổn thương giảm tỉ trọng, ngấm ít thuốc ngoại vi, cần phân biệt với áp xe gan và tổn thương di căn gan (mũi tên đen). Khi đó làm xét nghiệm ELISA dùng kháng nguyên ấu trùng giun toxocara rất có giá trị. Tuy nhiên khi phân biệt với tổn thương di căn gan, cần làm thêm các xét nghiệm khác như chỉ điểm u (CEA, CA 19-9, CA 72-4, aFP….) và tiến hành nội soi dạ dày, nội soi đại trực tràng….

Tài liệu tham khảo

1.Trần Trọng Dương, “Nghiên cứu thực trạng, một số yếu tố nguy cơ nhiễm ấu trùng giun đũa chó trên người vàhiệu quả điều trị bằng albendazole tại 2 xã thuộc huyện An Nhơn, BìnhĐịnh (2011-2012)”.

2. Nguyễn Minh Thông,Phạm Duy Huề,Sách giáo trình chẩn đoán hình ảnh,dùng đào tạo Bác sĩ đa khoa,Nhà xuất bản Y học,2010.

3.Bệnh giun đũa chó mèo,Viện sốt rét-kí sinh trùng-côn trùng,Thành phố Hồ Chí Minh.

Tin liên quan