GS.TS. Mai Trọng Khoa, BS. Trần Hải Bình
Trung tâm Y học hạt nhân & Ung bướu, bệnh viện Bạch Mai
Bệnh cảnh: Bệnh nhân Nguyễn T.Đ., nam 61 tuổi, được chuyển đến Trung tâm Y học hạt nhân và Ung bướu, Bệnh viện Bạch Mai ngày 23/09/2013 trong tình trạng khó thở, mất tiếng.
Bệnh sử: bệnh diễn biến trong 3 tháng (từ tháng 06/2013) bệnh nhân xuất hiện ho kéo dài, ho khan, không ho ra máu, khàn tiếng dần đến mất tiếng, khó thở tăng dần. Bệnh nhân đi khám và chụp phim CT, phát hiện có u phổi phải, được sinh thiết u qua nội soi phế quản, giải phẫu bệnh là ung thư biểu mô vảy tại bệnh viện tuyến dưới. Mấy ngày nay bệnh nhân khó thở tăng dần nên được chuyển lên Trung tâm Y học hạt nhân và Ung bướu
Khám lúc vào viện: bệnh nhân tỉnh, tiếp xúc được, khó thở, mất tiếng, đau nhiều vùng ngực – vai phải.
Da, niêm mạc bình thường.
Hạch ngoại vi không sờ thấy.
Mạch 90 lần/phút. Huyết áp 120/80 mmHg.
Nhịp thở 24-26 lần/phút. Sp O2 dao động trong 88-92%.
Phổi hai bên có rale rít.
Xét nghiệm cận lâm sàng:
-Công thức máu: hồng cầu 4,56 T/l, bạch cầu 9,86 G/l, tiểu cầu 301 G/l.
-Sinh hóa máu: glucose 6,0 mmol/l, ure 6,3 mmol/l, creatinin 104 umol/l, GPT 22 U/l, GOT 32 U/l; CEA 19,78 ng/ml.
- Vi sinh: HbsAg âm tính, HIV âm tính.
- CT ngực: hình ảnh khối u thùy trên phổi phải, hạch trung thất lớn trung thất trên chèn ép gây hẹp lòng khí quản.
- Hình ảnh PET/CT:
|
|
|
Kết quả PET/CT: Hình ảnh khối u thùy trên phổi phải (mũi tên đỏ) kích thước 5,6x6,9x9,0cm, tăng hấp thu F-18 FDG, max SUV=13,18, chèn ép làm hẹp lòng khí quản, hạch lớn trung thất tăng hấp thu F-18 FDG. Tổn thương đốt sống D2 (mũi tên vàng) tăng hấp thu F-18 FDG, max SUV=8,85. |
Chẩn đoán xác định:Ung thư phổi phải di căn hạch trung thất, di căn xương, giai đoạn IV (T3N2M1). Giải phẫu bệnh: ung thư biểu mô vảy.
Điều trị:
Bệnh nhân được hỗ trợ thở oxy, kháng sinh, chống viêm, corticoid, nâng cao thể trạng.
Bệnh nhân được truyền thuốc chống hủy xương Zometa 4mg chu kỳ 28 ngày.
Bệnh nhân được điều trị hóa chất phác đồ Gemcitabine – Cisplatin
- Gemcitabine (Gemzar) 1250 mg/m2 truyền tĩnh mạch ngày 1 và ngày 8.
- Cisplatin 100 mg/m2 truyền tĩnh mạch ngày 1
Chu kỳ 21 ngày.
Đáp ứng điều trị: ngay sau chu kỳ hóa chất đầu tiên, bệnh nhân đã cảm thấy dễ thở hơn, không cần hỗ trợ thở oxy. Sau 3 chu kỳ hóa chất bệnh nhân được chụp PET/CT lần thứ hai để đánh giá đáp ứng điều trị.

Trước điều trị: - Khó thở, mất tiếng - CEA=19,78 ng/ml - KT u 5,6x6,5x9,0cm - Max SUV=13,18 - Tổn thương D2 tăng hấp thu FDG | Sau điều trị 3 đợt chu kỳ - Không khó thở, khàn tiếng - CEA=7,96 ng/ml - KT u 3,0x2,5x6,2cm - Max SUV=8,01 - Tổn thương D2 không tăng hấp thu FDG. |
| | |
| | |
Bệnh nhân tiếp tục được điều trị 3 đợt hóa chất Gemcitabine – Cisplatin + xạ trị vào khối u đỉnh phổi phải và hạch trung thất với tổng liều 66 Gy.
Sau khi kết thúc điều trị bệnh nhân không còn khó thở, sinh hoạt bình thường, chỉ còn khàn tiếng nhẹ, hết đau vai – ngực phải. Xét nghiệm CEA=3,72 ng/ml.
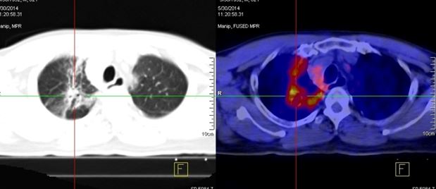
Hình ảnh PET/CT sau khi kết thúc liệu trình điều trị 1 tháng:
Kết quả PET/CT tháng 05/2014: tổn thương thùy trên phổi phải tăng hấp thu FDG nhẹ, theo dõi viêm sau xạ trị.
Hiện tại bệnh nhân vẫn đang được theo dõi kiểm tra định kỳ hàng tháng.
Như vậy với chiến lược điều trị tích cực và phù hợp, mặc dù tình trạng của người bệnh lúc mới vào Trung tâm Y học hạt nhân và Ung bướu bệnh viện Bạch Mai là khó thở do khối u chèn ép khí quản, cần hỗ trợ thở oxy, nằm tại giường, mất tiếng, đau, suy kiệt. Đến nay người bệnh đã hết khó thở, hết đau, nói lại được, sinh hoạt bình thường, kéo dài thêm cuộc sống và có chất lượng cuộc sống tốt hơn.