Điều trị viêm loét dạ dày tá tràng ở bệnh nhân u não sử dụng Corticoid kéo dài

Ngày đăng: 25/04/2015 Lượt xem 5141

Điều trị viêm loét dạ dày tá tràng ở bệnh nhân u não sử dụng Corticoid kéo dài

 GS.TS. Mai Trọng Khoa, Ts Nguyễn Quang Hùng

Trung tâm Y học hạt nhân và ung bướu, Bệnh viện Bạch Mai

1. Một số thông tin về viêm loét dạ dày tá tràng do dùng corticoid

U não là bệnh lý thường gặp thuộc hệ thần kinh trung ương. Biểu hiện lâm sàng của u não là hội chứng tăng áp lực nội sọ và dấu hiệu thần kinh khu trú. Khi khối u phát triển chèn ép tổ chức xung quanh gây phù não, việc sử dụng corticoid điều trị chống phù não cho bệnh nhân có dấu hiệu tăng áp lực nội sọ là rất cần thiết. Tuy nhiên, sử dụng corticoid kéo dài sẽ dẫn đến tình trạng viêm loét dạ dày tá tràng kèm theo. Tại trung tâm y học hạt nhân và ung bướu bệnh viện bạch mai không ít các bệnh nhân đến viện trong tình trạng bệnh ung thư có phối hợp với bệnh lý nội khoa, đặc biệt hay gặp nhất đó là viêm loét dạ dày tá tràng. Viêm loét dạ dày tá tràng kèm theo bệnh ung bướu sẽ làm giảm chất lượng sống và khó khăn cho việc sử dụng thuốc điều trị bệnh ung thư.

Theo thống kê của hội tiêu hóa châu Á thái bình dương tỷ lệ bệnh nhân viêm loét dạ dày tá tràng do sử dụng corticoid kéo dài chiếm 70-80%; đặc biệt những bệnh nhân ung thư sau kết thúc liệu trình hóa chất có sử dụng corticoid mắc viêm dạ dày tá tràng chiếm 80-90%. Trong đó thủ phạm chính gây viêm loét dạ dày tá tràng là do acid dịch vị và vi khuẩn HP (Helicobacter pylori), kết quả nội soi dạ dày tá tràng cho thấy 60-70% loét dạ dày có HP (+), 90-95% loét tá tràng có HP (+), 60% viêm dạ dày có HP (+), 80% ung thư dạ dày có HP (+). Vì vậy, điều trị viêm loét dạ dày tá tràng cần phải trung hòa dịch vị và diệt vi khuẩn HP.

Ngày nay tỷ lệ thất bại ở bệnh nhân được điều trị viêm loét dạ dày tá tràng ngày càng gia tăng. Nghiên cứu về vấn đề này cho thấy chủng HP ngày càng tăng khả năng đề kháng kháng sinh, kiểm soát dịch vị chưa hiệu quả, sự tuân thủ của bệnh nhân về phác đồ điều trị chưa cao.

Để đạt được hiệu quả trong điều trị, Hội đồng thuận Maastricht IV đã đưa ra khuyến cáo về phác đồ điều trị viêm loét dạ dày tá tràng do nhiễm HP như sau:

2. Ca lâm sàng   

Bệnh nhân đến Trung tâm y học hạt nhân và ung bướu Bệnh viện Bạch Mai chiếm tỷ lệ lớn là bệnh ung bướu phối hợp với bệnh lý nội khoa, trong đó một tỷ lệ không nhỏ là bệnh viêm loét dạ dày tá tràng ở bệnh nhân u não có sử dụng corticoid.

Dưới đây là một ca lâm sàng cụ thể:

Trường hợp bệnh nhân Nguyễn Ngọc D. nam, 67 tuổi.

Nghề nghiệp: Hưu trí.

Địa chỉ: Ninh Bình; Vào viện: ngày 12/3/2015

Lý do vào viện là đau đầu kèm theo đau thượng vị

Bệnh diễn biến 3 tháng, bệnh nhân xuất hiện đau đầu tăng dần kèm theo yếu nửa người trái được khám và điều trị tại Bệnh viện tỉnh Ninh Bình với chẩn đoán U tế bào thần kinh đệm bán cầu não phải.

Bệnh nhân được điều trị tại Bệnh viện tỉnh Ninh Bình theo phác đồ chống phù não, giảm đau trong 2 tuần:

+ Manitol 20% 250ml, TMC 80g/p sáng 1, chiều 1

+ Solumedron 40mg x 3 ống/ ngày,

+ Mobic 75mg x 2 ống/ ngày, sáng 1, chiều 1

+ Gastropugid x 2 gói/ ngày, sáng 1, chiều 1

                Một tháng gần đây xuất hiện đau thượng vị, ăn kém, nôn, ợ chua, gầy sút 4kg, mệt nhiều vào Trung tâm y học hạt nhân và ung bướu Bệnh viện Bạch Mai trong tình trạng:

  • Tỉnh, tiếp xúc được
  • Mạch 90l/p, Huyết áp 100/60mmHg
  • Hạch ngoại vi không sờ thấy
  • Không có dấu hiệu xuất huyết
  • Buồn nôn, ợ chua
  • Đau vùng thượng vị
  • Yếu nửa người phải

Xét nghiệm:

  • Công thức máu: có thiếu máu nhẹ
  • Hồng cầu: 3,08T/L
  • Huyết sắc tố: 98 g/l
  • Hematocrit: 0,4
  • Tiểu cầu: 203 G/L
  • Bạch cầu: 11 G/L

 Sinh hóa máu:

  • Ure, glucose, creatinin: bình thường
  • Bilirubin, Albumin, tryglycerid, cholesteron: bình thường
  • Chỉ số men gan GOT, GPT trong giới hạn bình thường
  • Điện giải đồ: bình thường

Bệnh nhân được tiến hành nội soi dạ dày tá tràng (hình 1)

Hình 1: Hình ảnh nội soi dạ dày tá tràng

Kết luận: Dịch dạ dày trong, niêm mạc dạ dày xung huyết, hang vị rải rác có trợt nông, mặt trước hành tá tràng có ổ loét đường kính 0,8cm bờ xung huyết, đáy có giả mạc; bấm sinh thiết có Helicobacter pylori - Hp (+)

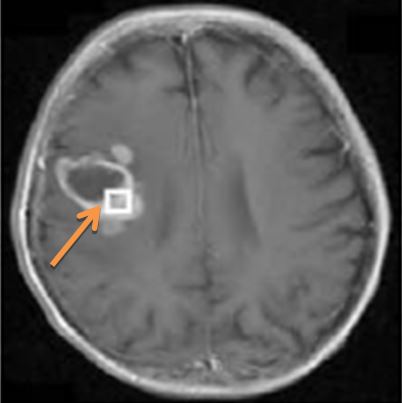
Chụp cộng hưởng từ sọ não (hình 2)

 

Hình 2: Hình ảnh chụp cộng hưởng từ sọ não

Kết luận: trên phim cộng hưởng từ sọ não có hình ảnh tổn thương bán cầu não (phải) kích thước 3x3,5cm, ngấm thuốc dạng viền, có nốt vệ tinh xung quanh, phù não quanh u, dấu hiệu chèn ép. Xung cộng hưởng từ phổ: tăng chuyển hóa Cholin. Kết luận: hình ảnh glioma bậc cao bán cầu não phải, kết quả sinh thiết kim xuyên sọ: glioblastoma multiform

Chụp CT lồng ngực: bình thường

Siêu âm ổ bụng: bình thường

Xạ hình xương không thấy tổn thương tiêu xương

Điện tâm đồ: bình thường

Xét nghiệm các tumor marker: CEA, CA199, CA724, AFP, GGT trong giới hạn bình thường

Các cơ quan khác chưa phát hiện gì bất thường

Bệnh nhân được chẩn đoán xác địnhViêm loét dạ dày tá tràng do Helicobacter pylori (Hp) trên bệnh nhân bị U não

Tiến hành điều trị

1. Điều trị u não

         Xạ gia tốc tại u tổng liều 64Gy, phân liều 2Gy/ngày

         Temodal 50mg x 2 viên/ngày, phối hợp với xạ trị trong 6 tuần

Chống phù não:

                Osmofundin20% 250ml, tm 80g/p, ngày 2 chai, sáng 1 chai, chiều 1 chai

                Verospiron 50mg, uống1 viên/ngày                            

                Ultracet, uống 2 viên/ngày, sáng 1 viên, chiều 1 viên

Bổ sung dinh dưỡng đường truyền: Kabiven, aminoplasma, lipofundin…

2. Điều trị viêm dạ dày: phác đồ nối tiếp 5 x5

  • 5 ngày đầu: pha dẫn nhập: (Nexium 40mg + Amoxcicilin 1000mg) x 2 lần/ngày
  • 5 ngày sau: pha diệt khuẩn: (Nexium 40mg + Clarithromycin 500mg + Metronidazole/Tinidazole 500mg) x 2 lần/ngày

Đánh giá sau 10 ngày điều trị:

  • BN tỉnh, tiếp xúc tốt
  • Ăn được
  • Không còn đau thượng vị
  • Mạch 80 l/phút, huyết áp 120/80mmHg
  • Công thức máu: trong giới hạn bình thường, Hồng cầu 3,4T/L; Huyết sắc tố 108G/L; Tiểu cầu 212G/L; Bạch cầu 9,7G/L
  • Sinh hóa máu: bình thường
  • Nội soi dạ dày tá tràng (hình 3)

Hình 3: Hình ảnh nội soi dạ dày tá tràng sau 10 ngày điều trị

Kết luận: Thực quản: bình thường; Dạ dày dịch trong, niêm mạc bình thường, nhu động mềm mại, không thấy ổ loét; Bờ cong lớn, bờ cong nhỏ không thấy xung huyết, không có ổ loét; Lỗ môn vị bình thường.

Bệnh nhân vẫn được tiến hành điều trị u não theo phác đồ xạ trị với tinh thần và chất lượng sống tốt hơn, ăn được, tăng cân.

Như vậy, ngoài lĩnh vực chuyên sâu về điều trị ung bướu, các bác sĩ ung bướu cần được trang bị, cập nhật thêm những kiến thức về điều trị nội khoa nhằm mang lại hiệu quả tốt hơn trong công tác chăm sóc và bảo vệ sức khỏe người bệnh.

Tin liên quan