Xạ trị cầm máu bệnh nhân ung thư cổ tử cung lan rộng và chảy máu âm đạo

Ngày đăng: 17/05/2015 Lượt xem 6863

Xạ trị cầm máu bệnh nhân ung thư cổ tử cung lan rộng và chảy máu âm đạo

GS.TS. Mai Trọng Khoa, TS. BS. Phạm Cẩm Phương, BSNT. Đặng Tài Vóc, BSNT Nguyễn Đức Luân

Trung tâm Y học hạt nhân & Ung bướu, bệnh viện Bạch Mai

Bệnh cảnh: Bệnh nhân: Trịnh T. D., nữ, 64 tuổi

Địa chỉ: Hà Nội.

Ngày vào viện: 18/02/2015 (30 Tết Âm lịch, Ất Mùi)

Bệnh sử: Tháng 9/2014, bệnh nhân phát hiện ra máu âm đạo, số lượng ít, màu đỏ tươi lẫn máu cục, đi khám phát hiện ung thư cổ tư cung (không rõ giải phẫu bệnh). Bệnh nhân không điều trị gì, về nhà uống thuốc nam kết hợp ăn chay và ngồi thiền. Trước vào viện khoảng 1 ngày bệnh nhân xuất hiện ra máu âm đạo số lượng nhiều (100 ml), máu đỏ tươi, kèm theo hoa mắt, chóng mặt, đau âm ỉ hạ vị. Bệnh nhân được chuyển đến Bệnh viện Bạch Mai.

Khám lúc vào viện:

Bệnh nhân tỉnh

Thể trạng suy kiệt, phù 2 chi dưới

Da xanh, niêm mạc nhợt

Mạch: 100 lần/phút

Huyết áp: 100/70 mmHg

Ra máu âm đạo, máu đỏ tươi, lẫn máu cục, số lượng 20 ml

Khám âm đạo qua mổ vịt: toàn bộ cổ tử cung có khối u sùi loét, kèm hoại tử, chảy máu đỏ tươi, chắc, ít di động

Các cơ quan khác chưa phát hiện bất thường

Xét nghiệm công thức máu cấp (thiếu máu nhiều): Hồng cầu 2,4 T/L, Hemoglobin: 42 g/l. Bạch cầu: 8,5 G/l. Tiểu cầu: 168 G/l.

Xét nghiệm sinh hóa máu (Chức năng gan thận trong giới hạn bình thường): Ure: 5,6 mmol/l; Creatinin: 86 µmol/l, Glucose: 5,4 mmol/l, AST: 16 U/L, ALT: 28 U/L

Xét nghiệm chất chỉ điểm khối u trong máu: CEA: 6,8 U/ml (tăng nhẹ)

Bệnh nhân được xử trí truyền 2 đơn vị hồng cầu khối cùng nhóm, thử phản ứng chéo tại giường (cấp). Dùng các thuốc cầm máu: Transamin 250 mg x 4 ống/ngày, kháng sinh, nâng cao thể trạng. Bệnh nhân được khám và hội chẩn chuyên khoa Sản, được tiến hành nhét mép âm đạo cầm máu.

Các ngày sau đó, bệnh nhân vẫn liên tục ra máu âm đạo, số lượng nhiều, có khi chảy ồ ạt số lượng nhiều (100 ml) máu đỏ tươi. Bệnh nhân được truyền hồng cầu khối khi Hemoglobin < 80 g/l, tiêm cầm máu transamin 250 mg 2- 4 ống/ngày, dùng kháng sinh, tiêm thuốc kích thích tủy xương tạo dòng hồng cầu (epokin 2000 UI x 3 lần/tuần), bổ xung sắt (Ferlatum 40 mg x 2 lọ/ngày)...

Sinh thiết: tổn thương cổ tử cung, kết quả mô bệnh học là ung thư biểu mô vảy

Chụp PET/CT:

-          Khối u vùng cổ tử cung (phía sau bàng quang) kích thước 5,7x6,1x7,6 cm tăng hấp thu FDG, max SUV = 10,88

-          Hai hạch chậu phải KT 2,2 cm tăng hấp thu FDG, max SUV = 6,81 và 2 cm tăng hấp thu FDG, max SUV 8,86

 

 

Hình 1. Hình ảnh PET/CT toàn thân: Khối u cổ tử cung kích thước lớn (mũi tên đỏ), hạch chậu phải (mũi tên vàng)

Chẩn đoán:Ung thư biểu mô tế bào vảy cổ tử cung T2N2M0, Giai đoạn: IIIb

Hướng điều trịBệnh nhân được tiến hành hội chẩn chuyên khoa Ngoại, nhưng do thể trạng bệnh nhân suy kiệt, yếu, ra máu âm đạo số lượng nhiều. Chưa có chỉ định phẫu thuật.

Bệnh nhân được hội chẩn và ý kiến của hội đồng hội chẩn: tiến hành xạ trị chiếu ngoài nhằm mục đích cầm máu, giúp thu nhỏ kích thước khối u và hạch. Xạ trị liều 36Gy vào vùng tiểu khung, sau đó xạ trị vào khối u đến tổng liều 50,4 Gy (phân liều 1,8 Gy/ ngày). Đồng thời nâng cao thể trạng, truyền máu, dùng thuốc cầm máu, tăng cường miễn dịch. Sau đó có thể xạ trị áp sát và tiến hành phẫu thuật.

Trong quá trình điều trị sau 22 ngày xạ trị bệnh nhân mới hết ra máu âm đạo.

Hiện tại, bệnh nhân đã xạ trị chiều ngoài xong: hết ra máu âm đạo, tăng 3 kg, thể trạng chung khá hơn trước, hết thiếu máu, tinh thần lạc quan hơn, hết lo lắng về bệnh.

Thăm khám âm đạo: khối u cổ tử cung thu nhỏ hơn trước, kích thước 1-1,5cm, cứng chắc, rút găng có máu theo găng.

Xét nghiệm công thức máu (đã hết thiếu máu): Hồng cầu 4,28 T/L, Hemoglobin: 121 g/l. Bạch cầu: 3,7 G/l. Tiểu cầu: 252 G/l.

Xét nghiệm sinh hóa máu (Chức năng gan thận trong giới hạn bình thường): Ure: 4,8 mmol/l; Creatinin: 74 µmol/l, Glucose: 5,1 mmol/l, AST: 22 U/L, ALT: 24 U/L

Xét nghiệm chất chỉ điểm khối u trong máu: CEA: 4,49 U/ml (tăng nhẹ)

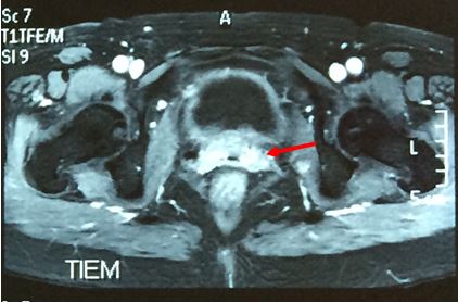
Chụp cộng hưởng từ tiểu khung cho thấy tử cung tư thế trung gian, kích thước bình thường, thành điều, nội mạc dày 5 mm, buồng tử cung không có dịch, không thấy khối khu trú. Vị trí thành trước buồng tử cung nghi ngờ có khối nhỏ kích thước 10x15mm ngấm thuốc mạnh sau tiêm. Vị trí cạnh bó mạch chậu 2 bên có vài hạch, hạch lớn nhất kích thước 18x23mm, trung tâm hạch hoại tử dạng dịch.

  

Hình 2. Hình ảnh cộng hưởng từ tiểu khung sau điều trị (khối u cổ tử cung thu nhỏ kích thước (mũi tên đỏ), hạch (mũi tên vàng)

Đây là một trường hợp xạ trị cấp cứu, nhằm thu nhỏ kích thước khối u và cầm máu. Nếu bệnh nhân này không cầm được tình trạng chảy máu âm đạo thì bệnh nhân sẽ có nguy cơ tử vong rất cao.

Bệnh nhân tiếp tục được xạ trị áp sát và điều trị hóa trị.

Tin liên quan