Điều trị ung thư vú di căn não bằng hóa chất kết hợp với xạ trị và xạ phẫu dao gamma quay tại Trung tâm Y học hạt nhân và Ung bướu- Bệnh viện Bạch Mai

Ngày đăng: 09/07/2015 Lượt xem 5362

Điều trị ung thư vú di căn não bằng hóa chất kết hợp với xạ trị và xạ phẫu dao gamma quay tại Trung tâm Y học hạt nhân và Ung bướu - Bệnh viện Bạch Mai

GS.TS. Mai Trọng Khoa, Ths.BS. Vương Ngọc Dương

 Trung tâm Y học hạt nhân & Ung bướu, bệnh viện Bạch Mai

Tóm tắt: Ung thư vú là bệnh lý ác tính hay gặp ở phụ nữ, ngày nay có rất nhiều tiến bộ trong chẩn đoán và điều trị ung thư vú như sàng lọc phát hiện sớm, phẫu thuật bảo tồn vú, xạ trị, hóa chất, nội tiết, sinh học... Vì vậy, tỷ lệ điều trị hiệu quả, khỏi bệnh và chất lượng sống của bệnh nhân ngày càng được nâng cao. Tuy nhiên, vẫn có một tỉ lệ tái phát và di căn sau điều trị, trong đó di căn não từ ung thư vú vẫn là một khó khăn lớn trong điều trị và thường có tiên lượng xấu. Xạ phẫu bằng dao gamma quay đã giúp giải quyết tổn thương di căn não của ung thư vú an toàn và hiệu quả. Chúng tôi xin giới thiệu một trường hợp ung thư vú di căn não đã điều trị có hiệu quả bằng phương pháp điều trị đa mô thức: hoá chất, xạ trị gia tốc toàn não và xạ phẫu bằng dao gamma quay tại Trung tâm Y học hạt nhân và Ung bướu, bệnh viện Bạch Mai.

Abtracts; Breast cancer is common cancer in women, although have many developments in diagnostic and treatment such as screening, conserving surgery, radiotherapy, endo, bio- chemotherapy bring to high rate curative treatment and improve quality of life but still have recurrent and metastatic occur. Brain metastasis from breast cancer is still difficult lesion to treat and worse pronogtic, rotating gamma knife is tool to help deal with this lesions safely and effectly. Case study of brain metastasis breast cancer, the author shows the role of multimodality in treatment of brain metastasis breast cancer

Ca lâm sàng

  • Họ tên bệnh nhân: Vũ Thị H., nữ 54 tuổi.
  • Địa chỉ: Thành phố Quảng Ninh.
  • Nghề nghiệp: Nghỉ hưu.
  • Lý do vào viện: Đau đầu, giảm và rối loạn thị lực.
  • Bệnh sử: Bệnh nhân phát hiện có u vú phải từ tháng 6 năm 2007, sau đó đến khám tại bệnh viện chuyên khoa, được chẩn đoán là ung thư vú phải. Bệnh nhân đã được điều trị phẫu thuật Patey vú phải, kết quả giải phẫu bệnh sau mổ là ung thư biểu mô thể ống xâm lấn độ II, ER (-), PR (-), HER 2 (++). Tại đây bệnh nhân đã được truyền hóa chất bổ trợ với phác đồ FEC (5Fu, Epirubicin, Cyclophosphamid) trong 6 chu kỳ. Đến tháng 5 năm 2012 xuất hiện di căn gan, phổi. Bệnh nhân tiếp tục được điều trị nhiều đợt hóa chất tiếp tại bệnh viện chuyên khoa như Gemcitabin+ Carboplatin 4 đợt, bệnh vẫn tiến triển nên được chỉ định điều trị hóa chất tiếp với Lipodox 2 đợt, nhưng bệnh không thuyên giảm và tiến tục tiến triển. Vì vậy, bệnh nhân đã được chỉ định truyền Docetaxel + Xeloda x 3 đợt. Nhưng đến tháng 6/2013 đã xuất hiện tổn thương mới, di căn ở não gây đau đầu, buồn nôn, giảm thị lực. Vì vậy, bệnh nhân đã được chuyển đến trung tâm Y học hạt nhân và Ung bướu, Bệnh viện Bạch Mai để điều trị.

Khám lúc vào

  • Bệnh nhân tỉnh, tiếp xúc được nhưng yếu, điểm thể trạng 1 theo ECOG.
  • Mệt ăn uống kém, đau đầu, buồn nôn, nhìn mờ.
  • Da niêm mạc bình thường.
  • Hạch ngoại vị khó xác định.
  • Sẹo mổ ngực phải mềm mại không có u cục.
  • Tim nhịp đều T1,T2 rõ, không có tiếng bất thường.
  • Gan và các bộ phận khác bình thường.

Các xét nghiệm

  • Công thức máu: Có thiếu máu nhẹ.
  • Sinh hóa máu: Men gan, chức năng thận trong giới hạn bình thường.
  • Chất chỉ điểm khối u: CA 153 150ng/ml(tăng cao).
  • Xquang vú đối bên: không có gì bất thường.
  • Siêu âm ổ bụng có nốt di căn gan 2- 3cm.
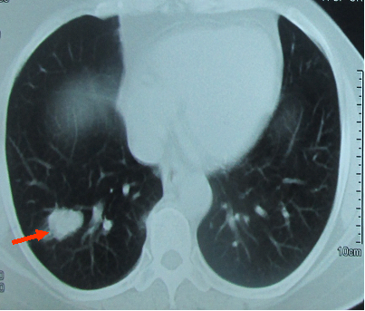
  • CT scanner phổi, nốt di căn phổi phải kích thước (1,8x2)cm (hình 1).
  • MRI sọ não cho thấy khối u vùng chẩm trái kích thước (3,5x5)cm ngấm thuốc sau tiêm, có phù não xung quanh (hình 2).

 

Hình 1: Hình chụp CT lồng ngực cho thấy u phổi phải dạng di căn, kích thước (1,8x2)cm ngấm thuốc mạnh sau tiêm

Bệnh nhân đã được chẩn đoán là ung thư vú di căn gan, phổi, não, đang tiến triển.

Vì vậy, Hội đồng hội chẩn quyết định xét phẫu thuật mở lấy u não chống chèn ép rồi xạ trị não - hóa trị toàn thân (do u di căn não kích thước lớn 5cm, vị trí u ở ngoại vi).

Tuy nhiên, bệnh nhân và gia đình đã từ chối phẫu thuật mở. Vì vậy, kế hoạch điều trị dã được thay đổi như sau:

Xạ trị gia tốc toàn não với liều 30Gy/10 buổi.

Phác đồ hóa chất là Navelbine uống 60mg/m2 ngày 1,8, chu kỳ 21 ngày. Kết quả cho thấy: Các triệu chứng lâm sàng, chất lượng sống cải thiện rõ rệt sau mỗi đợt điều trị.

Cụ thể là:

          Chất chỉ điểm khối u CA 15-3 giảm từng chu kỳ; trước điều trị CA15-3 là 153 ng/ml sau 3 tháng còn 52ng/ml và sau 6 tháng nồng độ CA 15-3 còn 27ng/ml (về mức giới hạn bình thường).

          Hình ảnh siêu âm ổ bụng sau 4 chu kỳ hóa chất Navelbine: không thấy hình ảnh u gan trên siêu âm.

Trên hình ảnh CT lồng ngực: khối u di căn ở phổi nhỏ dần (hình 3).

MRI sọ não: u não nhỏ, giảm chèn ép (hình 4).

 

Hình 2: Hình ảnh chụp MRI sọ não cho thấy khối u vùng chẩm trái, kích thước (3,5x5)cm ngấm thuốc sau tiêm,có phù não xung quanh.

Trước điều trị

Sau điều trị 4 tháng

Hình 3: Hình ảnh CT lồng ngực sau 4 tháng điều trị cho thấy u phổi thu nhỏ nhiều.

 

Trước điều trị


Sau điều trị

Hình 4: Hình ảnh chụp MRI sọ não sau 6 tháng cho thấy sau hóa chất Navelbine và xạ trị toàn não u não thu nhỏ nhiều, kích thước còn (1,8x2,5)cm.

Bệnh nhân đã được tạm ngừng điều trị 1 tháng, sau đó được tiến hành xạ phẫu bằng dao quay với liều 18Gy (hình 5).

 

Hình 5: Hình ảnh lập kế hoạch xạ phẫu bằng dao gamma quay với MRI mô phỏng không gian 3 chiều.

Lời bàn:

Ung thư vú là bệnh lý ác tính hay gặp ở phụ nữ, ngày nay có rất nhiều tiến bộ trong chẩn đoán và điều trị ung thư vú như sàng lọc phát hiện sớm, phẫu thuật bảo tồn vú, xạ trị, hóa chất, nội tiết, sinh học... giúp làm tăng tỉ lệ điều trị khỏi và chất lượng sống của bệnh nhân. Tuy nhiên, vẫn có một tỉ lệ tái phát di căn sau điều trị. Các vị trị di căn hay gặp như gan, phổi, xương, hạch thượng đòn, vú đối bên, di căn não... Trong đó, di căn não từ ung thư vú vẫn là vị trí di căn gây khó khăn cho điều trị và liên lượng xấu.

Hiện nay, ung thư vú di căn có thể coi là bệnh “mạn tính”. Để cân nhắc phương pháp điều trị cần dựa vào nhiều yếu tố như: vị trí di căn, tình trạng ER/PR, HER-2, tình trạng kinh nguyệt, thể trạng người bệnh, tuổi và bệnh lý kèm theo, các điều trị trước đây, thời gian sống không bệnh, thời gian sống bệnh không tiến triển, các yếu tố kinh tế, xã hội, tâm lý cũng như điều kiện trang thiết bị hiện có... Đó là các yếu tố cần cân nhắc kỹ trước khi quyết định phương pháp điều trị cho bệnh nhân, nhằm mục tiêu kéo dài thời gian sống thêm và tăng chất lượng cuộc sống, giảm các tác dụng phụ.

Hiện nay, các phương pháp điều trị phổ biến cho ung thư vú là nội tiết (tamoxifene, Arimidex, Fulvestrant..), đơn hóa trị đường uống (Navelbine, Capcitabine..), đa hóa trị với nhiều các phác đồ phối hợp, các thuốc điều trị đích như Trastuzumab, Lapatinib…, đến các phương pháp điều trị phối hợp như phẫu thuật, xạ trị triệu chứng, xạ phẫu (bằng dao gamma quay...), các thuốc chống huỷ xương... khi có di căn (não, xương...).

Ung thư vú di căn não là bệnh tiên lượng nặng, tuy nhiên sự phối hợp hợp lý các phương pháp điều trị vẫn có thể đem lại kết quả điều trị tốt, cũng như nâng cao chất lượng cuộc sống cho người bệnh.

Tin liên quan