Điều trị ung thư phổi di căn não bằng dao Gamma Quay kết hợp với hóa trị liệu

Ngày đăng: 02/06/2010 Lượt xem 6555
Ung thư phổi là nguyên nhân gây tử vong do ung thư chủ yếu trên toàn thế giới. Theo Mạng lưới ung thư quốc gia Hoa Kỳ (NCCN: National Comprenhisive Cancer Network)-2010, năm 2009, ở Mỹ có khoảng 219.440 ca mới mắc và khoảng 159.390 người chết vì căn bệnh này.

Ở Việt Nam, chưa có con số chính thức nhưng theo thống kê của cơ quan nghiên cứu ung thư quốc tế (International Agency for Research on Cancer) của Tổ chức Y tế thế giới thì ung thư phổi có vị trí thứ nhất về tỉ lệ mắc bệnh và tỉ lệ tử vong trong số các bệnh ung thư. Yếu tố nguy cơ chính gây ung thư phổi lá hút thuốc lá (liên quan với trên 85% chết do ung thư phổi). Nguy cơ tăng ung thư phổi tăng theo số lượng thuốc lá hút mỗi ngày và số năm hút). Ngoài ra, các yếu khác như các hoá chất công nghiệp (amiăng, niken,..), phóng xạ… cũng được xem là nguyên nhân gây ung thư phổi.

Theo phân loại của Tổ chức Y tế thế giới, ung thư phổi bao gồm hai nhóm khác nhau về đặc điểm sinh học, điều trị và tiên lượng: ung thư phổi không phải tế bào nhỏ (chiếm khoảng 85%) và ung thư phổi tế bào nhỏ (15%). Đặc điểm của ung thư phổi giai đoạn tiến triển là thường di căn vào não, chiếm khoảng 1/3 các trường hợp ung thư di căn não. Việc lựa chọn phương pháp điều trị tuỳ thuộc vào giai đoạn bệnh, thể mô bệnh học, tình trạng toàn thân. Nhưng nhìn chung, điều trị ung thư phổi là sự kết hợp của đa phương pháp, đặc biệt khi bệnh ở giai đoạn muộn.

Trước đây điều trị ung thư phổi di căn não gặp nhiều khó khăn do phần lớn các thuốc hoá chất không hoặc ít qua được hàng rào máu não. Phẫu thuật chỉ định hạn chế cho các trường hợp di căn não đơn độc và có thể gây ra nhiều biến chứng nặng nề. Xạ trị toàn não có thể làm tổn thương nhiều mô não lành. Ngày nay, với sự ra đời của kỹ thuật xạ phẫu dao gamma, việc điều trị di căn não do ung thư phổi đã trở lên hiệu quả và an toàn hơn. Vì vậy, nó đã trở thành phương pháp được áp dụng phổ biến ở các nước phát triển trong điều trị ung thư di căn não nói chung, trong đó có ung thư phổi không phải tế bào nhỏ.

Tháng 7, năm 2007, Trung tâm Y học hạt nhân và ung bướu, Bệnh viện Bạch Mai bắt đầu ứng dụng kỹ thuật xạ phẫu bằng dao gamma quay trong điều trị các khối u và bệnh lý nội sọ. Dao gamma quay là một trong những thiết bị xạ phẫu rất hiện đại, được tự động hoá và có độ chính xác cao. Theo nhiều nghiên cứu của các Trung tâm xạ phẫu lớn trên thế giới thì dao gamma quay có hiệu quả điều trị tốt, an toàn cho bệnh nhân và người sử dụng. Từ đó đến nay, đã có rất nhiều bệnh nhân ung thư phổi di căn não được điều trị thành công bằng phương pháp này. Bên cạnh đó, chúng tôi kết hợp với các phác đồ hoá chất toàn thân với việc sử dụng các nhóm thuốc mới (paclitaxel, docetaxel,…) để điều trị các tổn thương ngoài sọ, nhằm tăng hiệu quả điều trị.

Sau đây, chúng tôi xin giới thiệu một trường hợp ung thư phổi không phải tế bào nhỏ được điều trị có kết quả tốt.

Bệnh nhân: Đào Văn H, nam 55 tuổi
Nghề nghiệp: Làm ruộng
Vào viện: 4/5/ 2009.
Lý do vào viện: Ho kéo dài và đau ngực phải

Tiền sử bản thân: Hút thuốc lá thường xuyên trong 30 năm nay, trung bình 0,5 bao/ngày.

Tiền sử gia đình: Không ai bị ung thư

Bệnh sử: Trước ngày vào viện khoảng 3 tháng, bệnh nhân xuất hiện ho khan kèm theo đau tức ngực phải, không sốt, không khó thở. Bệnh nhân đã được khám bác sĩ tư nhân tại địa phương với chẩn đoán viêm phế quản và điều trị bằng kháng sinh, giảm ho, giảm đau nhưng không đỡ. Bệnh nhân đến khám tại Phòng khám, Bệnh viện Bạch Mai. Tại đây, bác sĩ đã khám lâm sàng và chỉ định làm các xét nghiệm:

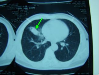
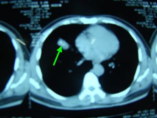
Chụp cắt lớp vi tính lồng ngực: Khối u thuỳ giữa phổi phải kích thước 26 ´ 13mm, không có hạch rốn phổi, trung thất.

 

Bệnh nhân được chuyển đến Trung tâm Y học hạt nhân và ung bướu.

Khám lâm sàng
Toàn thân: Tỉnh, tiếp xúc tốt

Thể trạng trung bình, cao 165cm, cân nặng 64Kg

Không phù, không xuất huyết dưới da

Hạch nách, hạch thượng đòn, hạch bẹn hai bên không sờ thấy

Bộ phận: Phổi: Rì rào phế nang 2 phổi rõ, không có ran

Các cơ quan bộ phận khác không có gì đặc biệt

Bệnh nhân được làm xét nghiệm:

- Các xét nghiệm cơ bản: Công thức máu, sinh hoá máu, nước tiểu, chức năng đông máu, siêu âm ổ bụng không có gì đặc biệt.

- Phản ứng mantoux âm tính
- BK đờm: 3 lần âm tính

Chúng tôi tiến hành sinh thiết u dưới hướng dẫn của chụp cắt lớp vi tính, lấy bệnh phẩm làm xét nghiệm mô bệnh học. Kết quả: Ung thư biểu mô tuyến.

Các xét nghiệm đánh giá giai đoạn

Xạ hình xương: bình thường

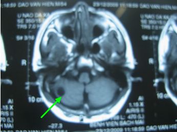
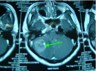
Chụp cộng hưởng từ sọ não


 
Kết quả: xuất hiện 1 khối tổn thương dạng thứ phát vùng bán cầu tiểu não phải kích thước 32x33mm, phù não quanh khối.

Chẩn đoán xác định: Qua các thông tin kể trên, chúng tôi chẩn đoán xác định, đây là trường hợp ung thư phổi (loại không phải tế bào nhỏ) giai đoạn IV- T1NoM1

Bệnh nhân đã được tiến hành điều trị

1. Điều trị xạ phẫu bằng dao gamma quay, liều 18Gy vào tổn thương di căn ở não

2. Điều trị 6 đợt hoá chất toàn thân, phác đồ PC

Paclitaxel liều 175mg/m2, truyền tĩnh mạch ngày 1

Carboplatin 300mg/m2, truyền tĩnh mạch ngày 1.

Chu kỳ 21 ngày.

Kết quả sau 6 tháng điều trị cho thấy:

Chụp cắt lớp vi tính lồng ngực


Trước điều trị: Hình ảnh khối u thuỳ phổi phải, kích thước 26x13mm


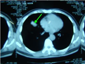
Sau điều trị: Không còn khối u, không có hạch trung thất

  

Chụp MRI sọ não


Trước điều trị: Xuất hiện 1 khối tổn thương dạng thứ phát vùng bán cầu tiểu não phải, kích thước 32x33mm, phù não quanh khối


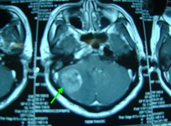
Sau điều trị: Khối tổn thương dạng kén dịch vùng bán cầu tiểu não phải, kích thước thu nhỏ còn 14x12mm, không có phù não xung quanh

PET/CT



Kết quả: Thành ngực, trung thất và nhu mô phổi 2 bên và các tổ chức ngoài não khác không thấy có hấp thu F-18 FDG bất thường.



Tóm lại, sau 6 tháng tính từ thời gian bắt đầu điều trị:

1. Tại não

· Khối u đã thu nhỏ kích thước (từ 33mm xuống còn 14mm), tổ chức khối u thoái hoá dạng nang (trên PET/CT, max SUV=3,54)

· Không có tổn thương mới

2. Tại phổi

· Khối u tan hoàn toàn

· Không xuất hiện tổn khác tại phổi và ngoài phổi

Như vậy, bệnh đáp ứng hoàn toàn tại phổi và khối u tại não đã được kiểm soát. Hiện tại bệnh nhân đang được theo dõi ở tháng thứ 11, không có bất thường gì về triệu chứng cơ năng và sinh hoạt hoàn toàn bình thường.

Di căn não là 1 trong những yếu tố tiên lượng xấu của ung thư phổi. Theo April F. Eichler, nếu bệnh nhân không được điều trị đặc hiệu (chỉ chăm sóc giảm nhẹ triệu chứng đơn thuần bằng các thuốc chống phù não, chống co giật,…) thì thời gian sống thêm trung bình là1-2 tháng.

Xạ trị toàn não với tổng liều từ 20-40 Gy, có tác dụng giảm nhẹ triệu chứng là chính nhưng có thể kéo dài thời gian sống thêm cho bệnh nhân từ 3- 6 tháng. Tuy nhiên, trong phương pháp này, toàn bộ nhu não lành cũng phải nhận một liều bức xạ giống như tổ chức khối u. Chính vì vậy, nhiều tác giả nước ngoài cho rằng, xạ trị toàn não có thể gây ra các rối loạn về khả năng nhận thức, suy giảm trí nhớ sau điều trị. Hơn nữa, để điều trị bằng kỹ thuật này bệnh nhân phải nằm viện từ 2 – 4 tuần với 10-20 buổi chiếu xạ. Do những hạn chế trên, ngày nay phương pháp này được áp dụng chủ yếu cho các tổn thương di căn não lan tràn, nhiều ổ, các trường hợp không thể phẫu thuật hay xạ phẫu được do có chống chỉ định hoặc không có điều kiện trang thiết bị để xạ phẫu.

Xạ phẫu bằng dao gamma với nguyên lí sử dụng các chùm tia bức xạ gamma phát ra từ nguồn Co-60, với một liều lượng cao hội tụ chính xác vào tổn thương để tiêu diệt tế bào ung thư nhờ vậy mà ít ảnh hưởng đến tổ chức não lành. Theo NCCN (National Comprehensive Cancer Network) của Hoa Kỳ, phiên bản mới nhất (năm 2010), coi xạ phẫu là phương pháp chuẩn mực cho các trường hợp ung thư di căn não 1- 3 ổ, trong đó có ung thư phổi không phải tế bào nhỏ. Nó có thể giúp cải thiện triệu chứng, tăng chất lượng sống, kiểm soát khối u tại chỗ và kéo dài thời gian sống thêm. Nghiên cứu của Baosheng Li và cs (2000) trên 70 bệnh nhân ung thư phổi di căn não được điều trị bằng xạ phẫu và xạ trị toàn não cho thấy hiệu quả điều trị ở nhóm bệnh nhân được xạ phẫu tốt hơn hẳn so với xạ trị toàn não về thời gian sống thêm trung bình (9,33± 0,59 so với 5,67 ± 0,38 tháng, p=0,0000), tỉ lệ đáp ứng (87% so với 48,4%, p=0,004), tăng chất lượng sống (chỉ sổ Karnofsky tăng 82,6 so với 41,1, p=0,003).

Kết quả nghiên cứu của các tác giả Mehta MP, Muacevic A, Schoggl A đều cho thấy thời gian sống thêm trung bình không có sự khác biệt giữa hai nhóm xạ phẫu và phẫu thuật. Tuy nhiên, phẫu thuật có thể để lại các biến chứng nặng như chảy máu, nhiễm trùng, tử vong trong bệnh viện và không phải tất cả các vi trị di căn trong não đều có thể tiến hành phẫu thuật được.

Như vậy, xạ phẫu bằng dao gamma quay có thể giải quyết được tổn thương di căn tại não trong ung thư phổi không phải. Để điều trị các tổn thương ngoại sọ bao gồm u nguyên phát ở phổi và các tổn thương di căn khác ngoài phổi thì chúng ta phải sử dụng kết hợp với một phương pháp điều trị toàn thân đó là hoá trị liệu. Cho tới nay, đã có rất nhiều phác đồ với các tác nhân khác nhau được sử dụng trong điều trị ung thư phổi không phải tế bào nhỏ. Tuy nhiên, các thử nghiệm lâm sàng đã chỉ ra các phác đồ có chứa cisplatin hoặc carboplatin được xem là có tỉ lệ đáp ứng cao nhất. Đặc biệt, khi kết hợp chúng với các thuốc hoá chất thế hệ mới như: paclitaxel, gemcitabin, vinorelbin, docetaxel,….Theo các tác giả Johnson DH, Edelman MJ, Langer CJ, thì hoá chất phác đồ PC (paclitaxel kết hợp carboplatin) trong điều trị ung thư phổi không phải tế bào nhỏ giai đoạn di căn xa có tỉ lệ đáp ứng từ 28-53% và tỉ lệ sống thêm toàn bộ sau 1 năm là 32-54%, đồng thời hoá chất giúp cải thiện các triệu chứng tại phổi. Ngày nay, phác đồ PC đã được ứng dụng rộng rãi trên lâm sàng và như là một sự lựa chọn đầu tay cho các thầy thuốc trong điều trị căn bệnh này.

Tóm lại, sự kết hợp giữa một kỹ thuật điều trị tại chỗ (xạ phẫu bằng dao gamma quay) và một phương pháp điều trị toàn thân bằng phác đồ paclitaxel kết hợp carboplatin là có cơ sở khoa học, đã được nhiều nghiên cứu của các tác giả nước ngoài chứng minh và đã trở thành một phác đồ chuẩn mực được sử dụng trong điều trị ung thư phổi không phải tế bào nhỏ di căn não ở các nước phát triển. Tại Trung tâm Y học hạt nhân và ung bướu-Bệnh viện Bạch Mai, phác đồ này cũng đã và đang được ứng dụng trong thực hành lâm sàng. Trường hợp ca bệnh kể trên như là một minh chứng cho điều này.

PGS.TS. Mai Trọng Khoa, ThS. Phạm Văn Thái,
ThS. Đoàn Xuân Trường và Cs
Trung tâm học hạt nhân và Ung bướu

Tin liên quan