Giá trị của 18FDG-PET/CT trong chẩn đoán u lympho ác tính

Ngày đăng: 01/01/2013 Lượt xem 4442
Một trong những điểm mạnh của PET/CT là có thể phát hiện được các tổn thương trong cơ thể chỉ qua một lần chụp. Tổn thương hạch là triệu chứng phổ biến nhất của u lympho ác tính không Hodgkin.
PGS.TS. Mai Trọng Khoa

Trung tâm Y học hạt nhân & Ung bướu, Bệnh viện Bạch Mai

Trong những năm gần đây sự phát triển kỹ thuật PET/CT đã đem lại rất nhiều lợi ích trong chẩn đoán bệnh, đặc biệt là các bệnh lý ung thư. Chụp PET/CT toàn thân với 18FDG là kết hợp giữa hình ảnh chuyển hoá, chức năng ở mức độ phân tử, tế bào của PET với hình ảnh về giải phẫu, cấu trúc của CT, do đó làm cho khả năng phát hiện chính xác vị trí các hạch bệnh lý cũng như mức độ lan rộng của bệnh với độ nhạy và độ đặc hiệu cao hơn hẳn các phương pháp chẩn đoán hình ảnh thông thường hiện có.

PET là kỹ thuật chẩn đoán không xâm nhập, cho hình ảnh không gian 3 chiều, cung cấp nhiều thông tin chẩn đoán về chuyển hóa. PET sử dụng các dược chất phóng xạ tham gia vào các quá trình chuyển hóa sinh lý trong cơ thể (glucose, amino acid, tổng hợp DNA, …). Dược chất phóng xạ được ứng dụng nhiều nhất là FDG (fluoro-18-deoxyglucose). FDG được vận chuyển vào trong tế bào, nhờ quá trình phosphoryl hóa thành FDG-6-phosphate. FDG-6-phosphate không tham gia chuyển hóa được tiếp như glucose mà đọng lại trong tế bào. FDG-6 phosphate đạt tới mức cân bằng sau 45-60 phút từ khi tiêm thuốc phóng xạ. Khi đó ghi hình PET sẽ thấy được sự phân bố FDG trong toàn cơ thể, các ổ tăng hấp thu FDG sinh lý và bất thường.

Tăng sử dụng glucose là đặc tính của u lympho ác tính. Chính tính chất tăng chuyển hoá mạnh glucose của các tổn thương trong u lympho ác tính không Hodgkin đã giúp PET/CT trở thành công cụ rất có giá trị trong chẩn đoán, đặc biệt trong phân giai đoạn bệnh, đánh giá đáp ứng điều trị và tiên lượng bệnh. Các u lympho có độ ác tính cao thường hấp thu FDG mạnh hơn loại có độ ác tính thấp.

Một trong những điểm mạnh của PET/CT là có thể phát hiện được các tổn thương trong cơ thể chỉ qua một lần chụp. Tổn thương hạch là triệu chứng phổ biến nhất của u lympho ác tính không Hodgkin. Ngoài hạch, PET/CT còn có thể phát hiện được các tổn thương ở xương, phổi, não, gan, lách...

Mai Trọng Khoa và cộng sự đã tiến hành chụp 18FDG-PET/CT cho các bệnh nhân bị u lympho ác tính và nhận thấy các tế bào ác tính tại u nguyên phát và các tổ chức di căn hấp thu mạnh 18FDG và có sự chênh lệch rõ rệt hoạt độ phóng xạ của dược chất phóng xạ này so với các tổ chức xung quanh. Vì vậy 18FDG-PET/CT rất có giá trị trong chẩn đoán u nguyên phát và phát hiện các di căn của u lympho ác tính không Hodgkin với độ chính xác cao. Có thể thấy rõ hơn những nhận định trên qua các hình ảnh PET/CT của một số bệnh nhân u lympho ácc tính không Hodgkin tại Trung tâm Y học hạt nhân và Ung bướu, bệnh viện Bạch Mai.



Hình 1. Bệnh nhân Vũ D.L., nam, 56 tuổi. Chẩn đoán: Non Hodgkin Lymphoma , GPB: WF7. Hình PET/CT toàn thân thấy tổn thương hạch ở nhiều vị trí: vùng cổ, trung thất, hố nách, ổ bụng, bẹn (các mũi tên) tăng hấp thu FDG.


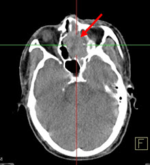
Hình 2. Bệnh nhân Trần V. V., nam, 57 tuổi. Chẩn đoán: u lympho hốc mũi; Giải phẫu bệnh: WF5. Hình CT, PET và PET/CT cho thấy tổn thương u ở vùng hốc mũi trái (mũi tên) tăng hấp thu FDG.



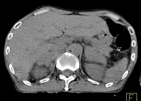
Hình 3. Bệnh nhân Lê V.T., nam, 73 tuổi. Chẩn đoán: U lympho ác tính không Hodgkin biểu hiện ở màng cứng ống tủy sống. Hình PET/CT cho thấy tổn thương tăng hấp thu FDG tại ống tuỷ sống (hình ovan).



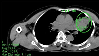
Hình 4. Bệnh nhân Nguyễn T.V., nữ, 72 tuổi. Chẩn đoán: U lympho ác tính không Hodgkin biểu hiện tại phổi, giải phẫu bệnh là: WF6. Hình CT và PET/CT cho thấy khối u phổi trái tăng hấp thu FDG (trong vòng tròn) với max SUV=7,94.

 
 
Hình 5. Bệnh nhân Nguyễn X.T., nam, 58 tuổi. Chẩn đoán: U lympho ác tính không Hodgkin, giải phẫu bệnh: WF6. Hình PET cho thấy tổn thương ở phổi, hạch, xương, tuyến thượng thận hai bên (mũi tên). Hình CT và PET/CT cho thấy tổn thương tăng hấp thu FDG tại vị trí tuyến thượng thận hai bên (mũi tên), max SUV=11,34.









Hình 6. Bệnh nhân Vũ D.L., nam, 56 tuổi. Chẩn đoán: Non Hodgkin Lymphoma , GPB: WF7.Hình PET/CT trước và sau điều trị. Trước điều trị bệnh nhân có tổn thương hạch tại rất nhiều vị trí trong cơ thể: hạch cổ, hạch trung thất, hạch ổ bụng. Sau điều trị hóa chất 6 đợt, bệnh nhân được chụp PET/CT để đánh giá đáp ứng điều trị thấy các hạch hoàn toàn biến mất. Bệnh đáp ứng hoàn toàn.

Tin liên quan