Lập kế hoạch xạ phẫu để điều trị u dây thần kinh số VIII bằng dao gamma quay tại Bệnh viện Bạch Mai.

Ngày đăng: 04/03/2013 Lượt xem 8698
Xạ phẫu bằng dao gamma quay (Rotating Gamma Knife) hiện nay là phương pháp điều trị ít xâm nhập và có hiệu quả tốt, an toàn đối với các bệnh nhân bị u dây thần kinh số VIII.
PGS. TS. Mai Trọng Khoa, ThS. Vương Ngọc Dương
Trung tâm Y học hạt nhân và Ung bướu, Bệnh viện Bạch Mai

Chỉ định xạ phẫu bằng dao gamma quay cho u dây thần kinh số VIII như sau:
  • Các u dây VIII kích thước < 3 cm.
  • Các u dây VIII kích thước >3cm không mổ được, hoặc bệnh nhân từ chối phẫu thuật.
  • Các u dây VIII còn sót lại sau phẫu thuật, tái phát sau phẫu thuật.
 Các bước tiến hành xạ phẫu bằng dao gamma quay:
  1. Cố định đầu bệnh nhân
  2. Chụp mô phỏng
  3. Lập kế hoạch xạ phẫu
  4. Tiến hành xạ phẫu
  5. Hoàn thành điều trị
Các bệnh nhân được xạ phẫu theo một quy trình thống nhất như trên, tương tự như khi xạ phẫu các loại u nội sọ khác. Tuy nhiên cần lưu ý trong bước cố định khung định vị. U dây VIII có vị trí thấp vùng góc cầu tiểu não nên cần hạ khung cố định đầu xuống thấp. Trong bước vẽ thể tích u và các vùng, cần chú ý vùng bảo vệ là ốc tai, thân não.



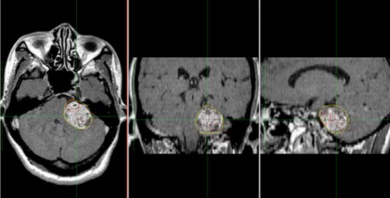
Hình 1. Hình ảnh chi tiết kế hoạch xạ phẫu bằng dao gamma quay ở ba mặt phẳng tọa độ của một bệnh nhân nữ, 64 tuổi, bị u dây thần kinh số VIII bên trái, tại Trung tâm Y học hạt nhân và Ung bướu-Bệnh viện Bạch Mai .
Dưới đây minh họa một số trường hợp bệnh nhân u dây VIII được xạ phẫu bằng gamma quay Tại trung tâm Y học hạt nhân và Ung bướu bệnh viện Bạch Mai
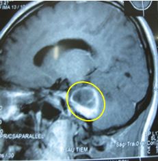
Trường hợp 1: Bệnh nhân Lê Văn C, nam, 71 tuổi. Được chẩn đoán là u dây thần kinh số VIII với triệu chứng ban đầu là đau đầu, ù tai. Bệnh nhân có tiền sử bệnh tim nên không còn chỉ định phẫu thuật mổ mở. Bệnh nhân được xạ phẫu bằng dao gamma quay với liều 14Gy. Sau xạ phẫu 6 tháng, về lâm sàng: hết đau đầu và ù tai, không có triệu chứng liệt mặt.

 
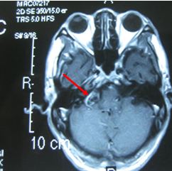
Trước điều trị:  u dây VIII bên phải có kích thước 2cm



Sau xạ phẫu 6 tháng: u nhỏ hơn về kích thước và có hoại tử trong u



Hình 2. Hình ảnh MRI u dây thần kinh số VIII trước và sau xạ phẫu bằng dao gamma quay
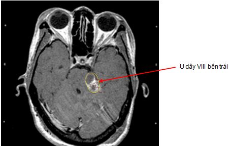
 Trường hợp 2: Bệnh nhân nam, 56 tuổi. Được chẩn đoán là u dây thần kinh số VIII bên trái có các triệu chứng ban đầu: đau đầu, nôn, tê nửa mặt trái. Trên hình ảnh MRI sọ não trước và sau 1 năm, sau 2 năm xạ phẫu bằng dao gamma quay cho thấy khôi u đã mất. Các triệu chứng lâm sàng ban đầu đều hết, bệnh nhân không bị liệt mặt, sinh hoạt bình thường, chất lượng cuộc sống tốt.

 
                        Trước điều trị: u dây VIII bên       Sau điều trị 1 năm: u hoại tử               Sau 2 năm: u tiêu biến


trái kích thước 1,8cm                            
 Hình 3: Hình ảnh MRI u dây VIII trước và sau xạ phẫu gamma quay
             Trường hợp 3: Bệnh nhân nam, 33 tuổi. Được chẩn đoán là u dây thần kinh số VIII bên trái, có các triệu chứng đau đầu, tê mặt trước điều trị. Bệnh nhân được xạ phẫu bằng dao gamma quay liều 13 Gy. Sau xạ phẫu 1 năm: kích thước u thu nhỏ (hình 2.8), các triệu chứng lâm sàng đều cải thiện tốt: hết đau đầu, không tê mặt, không liệt mặt.

 
           Trước điều trị: u dây VIII bên trái kích thước 3,2x2,5cm.



Sau điều trị 1 năm: u thu nhỏ kích thước 1,8x2cm    


 Hình 4: Hình ảnh MRI u dây VIII trước và sau xạ phẫu gamma quay
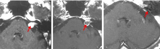
 Trường hợp 4: Bệnh nhân nam, 65 tuổi vào viện vì đau đầu, ù tai trái, mất thính lực, có bệnh kèm theo là đái tháo đường,tăng huyết áp. Chụp MRI chẩn đoán: U dây thần kinh số VIII bên trái, kích thước 3,5cm. Bệnh nhân không có chỉ định phẫu thuật mổ mở. Xạ phẫu bằng dao gamma quay với liều 14 Gy.
 
 
Trước điều trị: U dây VIII trái 3,5 cm, u ngấm thuốc mạnh.

 
Sau điều trị 6 tháng: u hoại tử.

 Hình 5: Hình ảnh MRI u dây thần kinh số VIII trước và sau xạ phẫu gamma quay

 Theo các kết quả nghiên cứu của Mai Trọng Khoa và cộng sự tại Bệnh viện Bạch Mai hệ thống dao gamma quay (Rotating Gamma Knife) có nhiều ưu điểm hơn hẳn hệ thống dao gamma cổ điển như: sử dụng hệ thống cố định đầu nhẹ, không gây bất tiện cho bệnh nhân, không yêu cầu phải dừng quá trình điều trị để thay đổi vị trí bệnh nhân và điều chỉnh trên mũ chụp; liều chiếu cho mô não lành xung quanh mô bệnh của bệnh nhân và cho nhân viên xạ trị thấp hơn. Xạ phẫu bằng dao Gamma quay là một phương pháp điều trị an toàn và hiệu quả đối với u dây thần kinh số VIII với tỉ lệ kiểm soát bệnh cao (>90%), đặc biệt rất ít tác dụng phụ và giúp bảo tồn các chức năng thần kinh quan trọng, nâng cao chất lượng sống của người bệnh.

Tin liên quan