Vai trò của FDG-PET/CT trong chẩn đoán ung thư phổi

Ngày đăng: 02/01/2013 Lượt xem 10986
Từ lâu, dược chất phóng xạ dùng trong chẩn đoán được sử dụng rộng rãi nhất để đánh giá giai đoạn ung thư phổi là 18F- fluodeoxyglucose (FDG), một chất giống glucose. PET toàn thân (Whole-body positron emission tomography) sử dụng 18F-2-deoxy-D-glucose (FDG) có thể phát hiện hạch trung thất và các di căn ngoài lồng ngực với tỷ lệ cao.
 
PGS.TS. Mai Trọng Khoa

Trung tâm Y học hạt nhân & Ung bướu, bệnh viện Bạch Mai

Ung thư phổi là loại ung thư phổ biến nhất trong trong các loại ung thư và là nguyên nhân gây tử vong hàng đầu trên thế giới ở nam và nữ. Theo tổ chức Y Tế Thế giới và Cơ quan nghiên cứu ung thư quốc tế (IARC) ung thư phổi đang có khuynh hướng gia tăng ở cả hai giới và là ung thư đứng đầu ở nam giới. Năm 2002 có 1,4 triệu trường hợp mới mắc và có đến 1,2 triệu trường hợp tử vong, điều này cho thấy ung thư phổi thật sự là một gánh nặng toàn cầu.

Việc chẩn đoán và xác định giai đoạn ung thư phổi dựa trên thăm khám lâm sàng, chụp X-quang tim phổi, chụp CT, MRI, xạ hình xương, nội soi phế quản, nội soi trung thất, sinh thiết hạch, u phổi chẩn đoán mô bệnh học, và đặc biệt gần đây là chụp PET/CT.

CT (Computer tomography) có vai trò quan trọng trong bước đầu xác định giai đoạn bệnh ung thư phổi. CT cung cấp những thông tin về hình thái học nhưng kém phân biệt những tổn thương lành và ác tính của hạch và các cơ quan khác như tuyến thượng thận, gan, hay xương. PET toàn thân (Whole-body positron emission tomography) sử dụng 18F-2-deoxy-D-glucose (FDG) có thể phát hiện hạch trung thất và các di căn ngoài lồng ngực với tỷ lệ cao. Hiện nay các máy PET có thể cho hình ảnh với độ phân giải không gian cao tới 4,5-6,0 mm ở tâm của trường chiếu theo trục dọc, nên những tổn thương có đường kính nhỏ hơn 1 cm cũng có thể được phát hiện dựa vào sự tăng hấp thu của FDG của tổ chức ác tính.

Từ lâu, dược chất phóng xạ dùng trong chẩn đoán được sử dụng rộng rãi nhất để đánh giá giai đoạn ung thư phổi là 18F- fluodeoxyglucose (FDG), một chất giống glucose. FDG cũng giống như glucose được vận chuyển qua màng tế bào bằng protein vận chuyển glucose và được phosphoryl hoá bởi hexokinase. Sau khi được phosphoryl hoá, FDG-6-phosphate được chuyển hóa. Theo cách như vậy, FDG cùng với glucose được tế bào hấp thụ và chuyển hoá.

Nhiều nghiên cứu cho thấy FDG-PET hoặc PET/CT là một phương pháp hữu ích để phân biệt tổn thương lành tính hay ác tính: PET có độ nhạy là 97% và độ đặc hiệu là 78%. Giá trị hấp thụ chuẩn (SUV) là phương pháp bán định lượng độ tập trung FDG. Giá trị ngưỡng của SUV được sử dụng để phân biệt các tổn thương lành tính và ác tính là 2,5. Đặc biệt là các khối u đặc của phổi đã được xác định trước trên phim X-quang phổi. FDG-PET và PET/CT có tác động lâm sàng mạnh mẽ. Nếu PET hay PET/CT không thể hiện sự tăng hấp thu FDG, mà chỉ thấy tổn thương trên hình ảnh CT thì đó là lành tính. Điều này có nghĩa là FDG-PET và PET/CT có thể cho kết quả âm tính đối với các khối u carcinoid phổi (Pulmonary Carcinoid Tumor), ung thư biểu mô phổi thể tiểu phế quản- phế nang và ung thư thể nhầy. Tổn thương ác tính là các tổn thương có sự tăng hấp thu FDG, mặc dù tỷ lệ dương tính giả cũng thấy trong các trường hợp viêm nhiễm nấm, lao hoặc nhồi máu phổi. Chính vì thế PET/CT không thay thế hoàn toàn được việc sinh thiết làm giải phẫu bệnh. Tuy vậy, hầu hết sự tăng hấp thu FDG trong các hạch rốn phổi là ác tính và nên được cắt bỏ.

Dưới đây chúng tôi xin giới thiệu một số hình ảnh chụp FDG - PET/CT của bệnh nhân ung thư phổi để chẩn đoán u nguyên phát, di căn, tái phát, đánh giá hiệu quả điều trị, mô phỏng lập kế hoạch xạ trị tại Trung tâm Y học hạt nhân và Ung bướu-Bệnh viện Bạch Mai.

a. 


b. Hình CT


c. Hình PET


d. Hình kết hợp PET/CT

Hình 1. a-d. Bệnh nhân Vũ V. C., nam, 48 tuổi; chẩn đoán: Ung thư phổi loại biểu mô tuyến. Bệnh nhân chụp PET/CT đánh giá giai đoạn bệnh. (a) Hình PET MIP cho thấy hình ảnh hấp thu FDG toàn cơ thể. (b-d) Hình CT đơn thuần, PET đơn thuần và kết hợp PET/CT cho thấy u phổi trái tăng hấp thu FDG mạnh (mũi tên vàng), di căn hạch trung thất (mũi tên xanh) và di căn xương cột sống (mũi tên đỏ).


















Hình 2. Bệnh nhân Lê Tr. Nh., 68 tuổi, chẩn đoán: Ung thư phổi trái/Xẹp phổi. Hình PET/CT cho thấy hình ảnh tăng hấp thu FDG mạnh ở một vùng thùy trên phổi trái (hình nhẫn). Hình CT ở lát cắt axial chỉ thấy một khối tăng tỷ trọng, không phân biệt được ranh giới giữa u và vùng xẹp phổi. Hình PET/CT ở lát cắt axial cho thấy rõ u, vùng xẹp phổi, vùng hoại tử, chỉ điểm chính xác vị trí sinh thiết chẩn đoán mô bệnh học và giúp xác định được thể tích xạ trị.
 





Hình 3. Bệnh nhân Nguyễn Q. Tr., 47 tuổi, chẩn đoán ung thư phổi di căn xương. Hình ảnh tái tạo khung xương 3D cho thấy tổn thương di căn xương tăng hấp thu FDG tại xương cột sống, xương chậu, xương đùi trái (mũi tên).

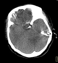
Hình CT ở lát cắt axial: không thấy tổn thương di căn não

 

 Hình PET ở lát cắt axial cho thấy 2 tổn thương di căn não tăng hấp thu FDG mạnh.

 

 Hình PET/CT ở lát cắt axial cho thấy 2 tổn thương di căn não tăng hấp thu FDG mạnh, max SUV=15,6; có viền phù não rộng xung quanh.

 
Hình 4. Bệnh nhân: Dương Th. T., nam, 56 tuổi. Chẩn đoán ung thư phổi di căn não. Hình PET và PET/CT cho thấy 2 tổn thương di căn não tăng hấp thu FDG mạnh, max SUV=15,6; có viền phù não (vùng giảm hấp thu FDG) xung quanh (mũi tên).
 





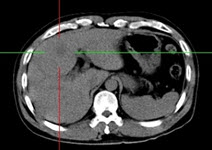
Hình 5. Bệnh nhân Nguyễn X. L., 51 tuổi. Chẩn đoán: Ung thư phổi di căn tuyến thượng thận. Hình PET/CT cho thấy tổn thương u phổi và tổn thương di căn tuyến thượng thận trái tăng hấp thu FDG mạnh.







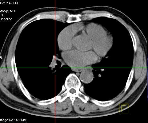
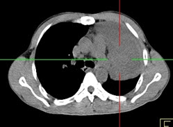
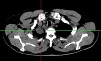
Hình 6. Bệnh nhân nam Nguyễn T. H., 60 tuổi, chẩn đoán là ung thư phổi phải. Chụp PET/CT với chỉ định tìm di căn xa và xác định giai đoạn bệnh. Các hình của CT, PET và PET/CT thấy tổn thương tăng hấp thu mạnh FDG tại phổi phải, tổn thương di căn gan và hạch thượng đòn trái.




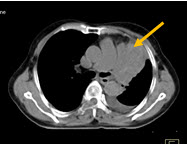
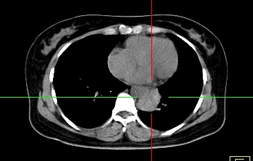
Hình 7. Bệnh nhân: Hoàng C. C., nam, 65 tuổi. Chẩn đoán Ung thư phổi phải. Chụp PET/CT với chỉ định tìm di căn xa và xác định giai đoạn bệnh, mô phỏng lập kế hoạch xạ trị gia tốc điều biến liều (IMRT). Trên hình PET cho thấy khối u thùy giữa phổi phải tăng hấp thu FDG mạnh. Trên hình CT không xác định được khối u.

a.


b.


Hình 8: a. PET/CT giúp xác định rõ ranh giới cũng như vị trí giải phẫu của khối u. Từ đó xác định được các thể tích xạ trị: BTV, CTV và PTV. BTV (đường màu vàng): thể tích đích sinh học. CTV (đường màu đỏ): thể tích đích lâm sàng. PTV (đường màu xanh): thể tích đích xạ trị.

b. (lập kế hoạch xạ trị): các trường chiếu và các đường đồng liều cho thấy liều xạ trị tập trung chính xác vào khối u, hạn chế chiếu vào các cơ quan lành xung quanh (nhu mô phổi lành, tim, tủy sống).


Hình ảnh PET/CT trước điều trị: khối u thùy trên phổi trái tăng hấp thu FDG mạnh, max SUV=7,2.



PET/CT sau 3 đợt hóa trị: khối u giảm kích thước, giảm hấp thu FDG, max SUV = 3,5. Như vậy bệnh đáp ứng tốt hóa chất. Bệnh nhân được tiếp tục điều trị hóa chất phác đồ ban đầu kết hợp xạ trị.



Hình ảnh PET/CT sau 6 đợt hóa chất và xạ trị: khối u hoàn toàn biến mất. Bệnh đáp ứng hoàn toàn.



Hình 9. Bệnh nhân Nguyễn B. Th., 61 tuổi: chẩn đoán: Ung thư phổi. Bệnh nhân được chụp PET/CT trước khi điều trị để đánh giá giai đoạn bệnh, sau khi hóa trị 3 đợt để đánh giá đáp ứng điều trị và mô phỏng lập kế hoạch xạ trị phối hợp và lần thứ 3 chụp PET/CT sau khi kết thúc hoàn toàn liệu trình điều trị nhằm đánh giá kết quả điều trị.


Hình ảnh PET/CT sau 6 đợt hóa chất và xạ trị: khối u hoàn toàn biến mất. Bệnh đáp ứng hoàn toàn.



Hình ảnh PET/CT sau điều trị (xạ trị + 6 đợt hóa chất) cho thấy khối u tan hết. Bệnh đáp ứng tốt điều trị.



Hình 10. Bệnh nhân Mai V. G., 73 tuổi, chẩn đoán ung thư phổi trái. Bệnh nhân được chụp PET/CT trước điều trị nhằm đánh giá giai đoạn bệnh và mô phỏng lập kế hoạch xạ trị; chụp lại PET/CT sau khi kết thúc xạ trị và 6 đợt hóa trị liệu.



Hình ảnh PET/CT trước điều trị: khối u phổi trái tăng hấp thu FDG mạnh (mũi tên vàng). Bệnh nhân được chuyển đi phẫu thuật.






Hình ảnh PET/CT sau phẫu thuật 3 tháng: bệnh tái phát di căn xương sườn và xương chậu bên trái (mũi tên xanh).



Hình 11. Bệnh nhân Nguyễn X. T., 48 tuổi, chẩn đoán ung thư phổi. Bệnh nhân được chụp PET/CT trước điều trị để đánh giá giai đoạn. Sau đó bệnh nhân được phẫu thuật. Sau phẫu thuật 3 tháng bệnh nhân chụp PET/CT lần 2 và phát hiện bệnh tái phát, di căn xương.






Hình 12. Bệnh nhân Nguyễn T. Đ. , 44 tuổi, chẩn đoán ung thư phổi trái đã hóa xạ trị. Bệnh nhân được chụp PET/CT sau điều trị 6 tháng để theo dõi và phát hiện tái phát. Hình ảnh CT cho thấy còn khối u còn nguyên sau điều trị, tuy nhiên trên hình PET/CT cho thấy khối u không tăng hấp thu FDG.
 image115 
image117




Hình 13. Bệnh nhân Phạm Ph. H., 58 tuổi, chẩn đoán ung thư phổi tế bào nhỏ. Hình ảnh PET MIP và PET/CT ở 2 lát cắt axial cho thấy khối u phổi trái tăng hấp thu FDG mạnh, max SUV=7,25.




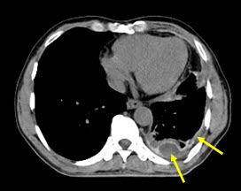
Hình 14. Bệnh nhân Lê Đ. V., 65 tuổi, chẩn đoán ung thư biểu mô màng phổi ác tính. Hình ảnh CT, PET và PET/CT cho thấy dày màng phổi không đều và tăng hấp thu FDG lan tỏa (mũi tên).

Tin liên quan