Chẩn đoán ung thư buồng trứng bằng kỹ thuật FDG PET/CT

Ngày đăng: 02/01/2013 Lượt xem 4319
Chẩn đoán ung thư buồng trứng thường phải phối hợp nhiều phương pháp khác nhau khác nhau như siêu âm, CT, MRI…. Gần đây kỹ thuật chụp hình bằng FDG PET/CT đã được áp dụng cho chẩn đoán ung thư buồng trứng. Nhiều nghiên cứu thấy rằng các tổ chức ung thư buồng trứng nguyên phát và di căn hấp thu rất mạnh FDG, do vậy việc ghi hình với PET/CT đã cung cấp các thông tin chẩn đoán, phát hiện tái phát, di căn, đánh giá hiệu quả điều trị ung thư buồng trứng…với độ nhạy, độ đặc hiệu cao. Ung thư buồng trứng chiếm khoảng 4% các loại ung thư được chẩn đoán và 5% các trường hợp tử vong do ung thư. Ung thư buồng trứng thường có tiên lượng xấu và là nguyên nhân chính gây tử vong trong các ung thư phần phụ.
PGS. TS. Mai Trọng Khoa

Trung tâm Y học hạt nhân và Ung bướu, Bệnh viện Bạch Mai

Năm 2003, tại Mỹ có khoảng 25.400 số trường hợp mới mắc, trong số đó có khoảng 14.300 số trường hợp tử vong vì ung thư buồng trứng. Xấp xỉ khoảng 1,7% số phụ nữ trong suốt cuộc đời có nguy cơ mắc ung thư buồng trứng và 1 trong số 60 phụ nữ sẽ tử vong. Tuổi thường gặp nhất là 70-74 tuổi, chiếm tỷ lệ cao nhất trong các lứa tuổi (57/100.000 dân). Nhờ tiến bộ của phẫu thuật, hóa trị và các dịch vụ chăm sóc nên tỷ lệ sống thêm 5 năm qua các thập kỷ có tăng hơn, 37% trong năm 1976, 41% trong năm 1985, và 53% trong năm 1998. Tại Hà Nội, từ năm 2001-2004, tỷ lệ mắc là 4,7/100.000 dân, tại TP Hồ Chí Minh là 3,8%.

Chẩn đoán ung thư buồng trứng thường phải phối hợp nhiều phương pháp khác nhau khác nhau như siêu âm, CT, MRI…. Gần đây kỹ thuật chụp hình bằng FDG PET/CT đã được áp dụng cho chẩn đoán ung thư buồng trứng. Nhiều nghiên cứu thấy rằng các tổ chức ung thư buồng trứng nguyên phát và di căn hấp thu rất mạnh FDG, do vậy việc ghi hình với PET/CT đã cung cấp các thông tin chẩn đoán, phát hiện tái phát, di căn, đánh giá hiệu quả điều trị ung thư buồng trứng…với độ nhạy, độ đặc hiệu cao.

Trước đây đã có những tổng kết đánh giá về độ nhạy và độ đặc hiệu của ghi hình PET tương ứng là 84% và 88% khi sử dụng 2-18F-fluoro-D-glucose (FDG) áp dụng trên tất cả các loại ung thư. Sự thay đổi quan điểm điều trị nhờ có các kết quả ghi hình FDG-PET là khoảng 30%. Các kết quả này khiến việc ghi hình chuyển hoá sử dụng FDG-PET thành một công cụ thay thế và đôi khi là phương pháp bổ sung cho các kỹ thuật chẩn đoán hình ảnh về hình thái như CT và MRI. Trong cơ quan sinh dục của nữ giới, ghi hình FDG-PET được áp dụng chính trong chẩn đoán ban đầu ung thư cổ tử cung và buồng trứng, cũng như phát hiện các tổn thương tái phát, theo dõi đáp ứng điều trị và đánh giá tiên lượng riêng. Trong những năm gần đây, nhiều nghiên cứu tập trung vào đánh giá giá trị chẩn đoán của FDG-PET/CT đối với các khối u buồng trứng và cổ tử cung.

Ở Việt Nam, Mai Trọng Khoa và cộng sự đã tiến hành chụp PET/CT cho nhiều bệnh nhân có khối u ở buồng trứng và tử cung và cũng nhận thấy đối với các bệnh nhân này thường có sự tăng hấp thu FDG trên hình ảnh PET/CT. Kết quả của ghi hình FDG-PET rất có giá trị trong phát hiện các tổn thương tại chỗ và tái phát, đánh giá lại giai đoạn. Dưới đây là một số hình ảnh minh họa cho các nhận định ở trên.







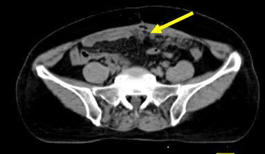
Hình 1. Bệnh nhân Nguyễn Th. H., nữ, 43 tuổi, chẩn đoán ung thư buồng trứng phải. Trên hình FDG-PET/CT thấy khối u buồng trứng phải tăng hấp thu FDG.




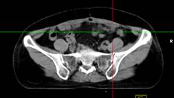
Hình 2. Bệnh nhân Lê Th. H., nữ, 58 tuổi, chẩn đoán: ung thư buồng trứng trái đã phẫu thuật và điều trị hóa chất năm 2011. Sau 8 tháng bệnh nhân kiểm tra thấy nồng độ chỉ điểm khối u CA 125 tăng cao (225ng/ml). Bệnh nhân được chỉ định chụp PET/CT kiểm tra. Trên hình PET/CT thấy tổn thương tái phát di căn màng bụng, trên hình CT không phát hiện được.

Tin liên quan