Điều trị ung thư đường mật bằng liệu pháp miễn dịch phối hợp hóa chất tại Bệnh viện Bạch Mai

Ngày đăng: 15/07/2025 Lượt xem 860
Điều trị ung thư đường mật bằng liệu pháp miễn dịch phối hợp hóa chất tại Bệnh viện Bạch Mai


GS.TS Mai Trọng Khoa, BSNT Hữu Phát Huy, PGS.TS Phạm Cẩm Phương, TS.BS Nguyễn Thanh Hùng, 
Trung tâm Y học hạt nhân và Ung bướu, Bệnh viện Bạch Mai


Ung thư đường mật (UTĐM) là những tổn thương ác tính xuất phát từ tế bào biểu mô của đường mật, bao gồm: ung thư bóng Vater, ung thư túi mật, UTĐM trong gan và UTĐM ngoài gan. UTĐM có thể di căn ra ngoài ống mật đến các vị trí trong gan khác, phúc mạc và các cơ quan ngoài gan ở xa. 

Mặc dù đã có rất nhiều những tiến bộ trong điều trị ung thư như chẩn đoán hình ảnh, phẫu thuật, xạ trị hay điều trị hỗ trợ (dẫn lưu, đặt stent đường mật...) nhưng tiên lượng của ung thư đường mật vẫn còn rất hạn chế. Tại thời điểm phát hiện bệnh, khoảng 90% các trường hợp không thể áp dụng được các biện pháp điều trị triệt để (như phẫu thuật cắt bỏ khối u) do khối u đã xâm lấn và di căn. Trong trường hợp này, liệu pháp toàn thân là phương pháp điều trị được lựa chọn.  Trong những năm gần đây, liệu pháp miễn dịch đã mở ra một hướng đi mới trong điều trị các bệnh ung thư trong đó có ung thư đường mật. Kết quả của thử nghiệm pha III TOPAZ-1 cho thấy việc bổ sung durvalumab – một kháng thể đơn dòng chống PD-L1 – vào phác đồ Gemcitabine –Cisplatin cho kết quả sống còn (OS và PFS) tốt hơn hóa trị đơn thuần ở các bệnh nhân ung thư đường mật quá chỉ định phẫu thuật. Cơ chế của sự kết hợp này là tận dụng ưu thế của hóa trị trong việc giảm tải khối u đồng thời kích hoạt hệ thống miễn dịch của bệnh nhân để nhận diện và tiêu diệt tế bào ung thư, từ đó kéo dài thời gian sống không tiến triển và cải thiện chất lượng cuộc sống.

Sau đây chúng tôi xin  trình bày một trường hợp bệnh nhân ung thư đường mật giai đoạn quá chỉ định phẫu thuật được điều trị bằng sự kết hợp phác đồ hóa chất và durvalumab, mở ra triển vọng mới trong quản lý căn bệnh đầy thử thách này.

Họ và tên: N.T.H.                                             Giới Nữ     Tuổi: 50
Lý do vào viện: Đau bụng thượng vị và hạ sườn phải
Bệnh sử: 
Khoảng 1,5 tháng trước khi nhập viện, bệnh nhân bắt đầu xuất hiện cơn đau vùng thượng vị lan tỏa xuống hạ sườn phải, ban đầu chỉ từng cơn nhưng dần dần trở nên liên tục và xảy ra ngay cả khi nghỉ ngơi. Bệnh nhân cũng cho biết ăn uống kém, giảm cân khoảng 1 kg và có dấu hiệu củng mạc mắt vàng (không kèm vàng da). Sau đó, bệnh nhân được chuyển đến Trung tâm Y học Hạt nhân và Ung bướu, Bệnh viện Bạch Mai để được khám, đánh giá và điều trị.
Khám lúc vào viện:
- Bệnh nhân tỉnh,tiếp xúc được
- Huyết động ổn
- Thể trạng trung bình PS-0
- Không vàng da, củng mạc mắt vàng
- Không có tuần hoàn bàng hệ
- Nhịp tim đều, tần số 80 lần/ phút, không có tiếng tim bệnh lý
- Phổi rì rào phế nang rõ, không có rales
- Bụng chướng nhẹ, gan lách khó xác định
- Các cơ quan bộ phần khác chưa phát hiện bất thường
Tiền sử: Viêm gan virus B mạn tính 3 năm, hiện không điều trị thuốc

Xét nghiệm cận lâm sàng:
- Công thưc máu: Trong giới hạn bình thường
- Sinh hóa máu: Glucose  5,5 mmol/L, Creatinin 53µmol/L, Bilirubin toàn phần 10,7 µmol/L, AST/ALT 35/23  (trong giới hạn bình thường)
- Đông máu: PT-INR:0,97    ,PT%: 104,1 (trong giới hạn bình thường)     
- Chất chỉ điểm khối u: CA 19-9: 10,9 U/mL, CEA: 1,32 ng/mL (trong giới hạn bình thường), AFP: 676.0 ng/mL (tăng cao) 
-Vi sinh: HBsAg:dương tính, HCV âm tính, HIV âm tính
- Đo tải lượng vi rút viêm gan B: 191 IU/mL (tăng cao), HbeAg: Âm tính, HBeAg: dương tính
Đánh giá bilan toàn thân bao gồm: 
- Nội soi thực quản-dạ dày: Viêm dạ dày
- Nội soi đại tràng: hình ảnh nội soi đại tràng bình thường 
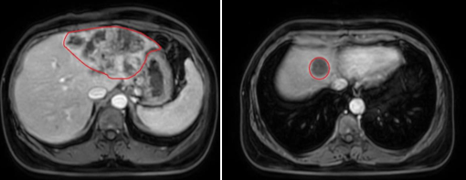
- Chụp cộng hưởng ổ bụng: Nhu mô gan hạ phân thùy II, III, IV, VIII có vài khối, kích thước lớn nhất 120x67 mm, bờ không đều ranh giới không rõ, co kéo bờ gan lân cận, tăng tín hiệu trên T2W hạn chế khuếch tán trên DWI/ADC, sau tiêm ngấm thuốc không đồng nhất thì động mạch. Vùng rốn gan đầu tụy có vài hạch, hạch lớn nhất kích thước 26x13mm. 
- Cắt lớp vi tính lồng ngực: không phát hiện bất thường
- Chúng tôi tiến hành sinh thiết tổn thương gan dưới hướng dẫn siêu âm để chẩn đoán phân biệt giữa ung thư biểu mô tế bào gan hay là ung thư đường mật trong gan. Kết quả cho thấy là ung thư biểu mô tuyến. Tiến hành nhuộm hóa mô miễn dịch để chẩn đoán xác định cho kết quả: Hình ảnh mô bệnh học phù hợp với ung thư biểu mô tuyến, gợi ý nguồn gốc mật tụy.


  
Hình 1. Hình chụp MRI: Hình ảnh Nhu mô hạ phân thùy hạ phân thùy II, IV, VIII có vài khối .Nhu mô gan hạ phân thùy II, III, IV, VIII có vài khối, kích thước lớn nhất 120x67 mm, bờ không đều ranh giới không rõ, co kéo bờ gan lân cận(viền màu đỏ) 

CHẨN ĐOÁN XÁC ĐỊNH
Ung thư biểu mô tuyến  đường mật trong gan theo dõi di căn hạch / Viêm gan B
ĐIỀU TRỊ: Bệnh nhân được hội chẩn hội đồng chuyên môn chỉ định điều trị liệu pháp toàn thân kết hợp với điều trị viêm gan B
Phác đồ cụ thể: Durvalumab phối hợp với hóa trị chuẩn, cụ thể:
Gemcitabine 1000 mg/m2, truyền tĩnh mạch ngày 1,8
Cisplatin 25mg/m2, truyền tĩnh mạch ngày 1,8
Durvalumab: 1500mg, truyền tĩnh mạch ngày  1
Chu kỳ 21 ngày, dự kiến đánh giá kết quả sau mỗi 3 chu kỳ
Điều trị khác: Tenofovir 300mg/ ngày

ĐÁNH GIÁ KẾT QUẢ SAU ĐIỀU TRỊ SAU 3 CHU KỲ
Lâm sàng: bệnh nhân ổn định, không đau bụng, không vàng mắt vàng da 
Công thức máu: trong giới hạn bình thường
Sinh hóa máu:

Chỉ số

Trước điều trị

Sau 1 chu kì

Sau 3 chu kì

Giá trị bình thường

AST (U/L)

35

29

36

<31

ALT(U/L)

23

24

32

<32

Bilirubin toàn phần (µmol/l)

10,7

3,2

4.2

<21

CA 19-9(U/mL)

10,9

7.0

12,3

<27


Kết quả cho thấy, nồng độ CA19-9 được duy trì ổn định trong suốt quá trình điều trị và nằm trong giới hạn bình thường là (<27U/ml).

Hình ảnh chụp cắt lớp vi tính sau 3 chu kỳ điều trị hóa chất: gan biến đổi hình thái, bờ không đều, phì đại hạ phân thùy 1. Nhu mô đồng nhất trước và sau tiêm thuốc cản quang. Vị trí hạ phân thùy 2,3,4,8 có các khối tổn thương kích thước lớn nhất 97x67mm, trước tiêm giảm tỷ trọng, sau tiêm ngấm thuốc kém, nhấm viền ngoại vi, xâm lấn gây huyết khối nhánh trái tĩnh mạch cửa.

  
Hình 2. Vị trí hạ phân thùy 2,3,4,8 có các khối tổn thương kích thước lớn nhất 97x67mm, trước tiêm giảm tỷ trọng, sau tiêm ngấm thuốc kém, nhấm viền ngoại vi( viền màu đỏ)

NHẬN XÉT: Sau 3 đợt điều trị, kích thước khối u giảm một phần (khối lớn nhất có kích thước 120x67mm giảm xuống còn 97x67mm) cho thấy có đáp ứng sau điều trị, chỉ số CA19-9 được duy trì ổn định trong giới hạn bình thường cho thấy không có dấu hiệu tăng sinh tiến triển của khối u, chức năng gan được bảo tổn sau 3 đợt điều trị. Điều này cho thấy phương pháp điều trị đang giúp kiểm soát tình trạng bệnh một cách hiệu quả, mang lại hy vọng tích cực cho quá trình điều trị tiếp theo.

TÀI LIỆU THAM KHẢO
1. Oh DY, He AR, Qin S, et al. Durvalumab plus Gemcitabine and Cisplatin in Advanced Biliary Tract Cancer. N Engl J Med. 2022;386(1):44-54. doi:10.1056/NEJMoa2113062.

2.Rimassa L, Lamarca A, O'Kane GM, Edeline J, McNamara MG, Vogel A, et al. New systemic treatment paradigms in advanced biliary tract cancer and variations in patient access across Europe. Lancet Reg Health Eur. 2025 Feb 19;101170. doi:10.1016/j.lanepe.2024.101170.

3.Valle, J. ∙ Wasan, H. ∙ Palmer, D.H. ∙ et al. Cisplatin plus gemcitabine versus gemcitabine for biliary tract cancer N Engl J Med. 2010; 362:1273-1281

4.SWOG 1815: a phase III randomized trial of gemcitabine, cisplatin, and nab-paclitaxel versus gemcitabine and cisplatin in newly diagnosed, advanced biliary tract cancers J Clin Oncol. 2023; 41 abstr LBA490

Tin liên quan