Case lâm sàng: Chẩn đoán ung thư phổi di căn não, thượng thận tại Trung tâm Y học hạt nhân và Ung bướu – Bệnh viện Bạch Mai

Ngày đăng: 14/01/2025 Lượt xem 1535
Case lâm sàng: 
Chẩn đoán ung thư phổi di căn não, thượng thận
tại Trung tâm Y học hạt nhân và Ung bướu – Bệnh viện Bạch Mai
GS.TS. Mai Trọng Khoa, PGS.TS. Phạm Cẩm Phương, BS. Lê Viết Nam,    
Sinh viên Nguyễn Thị Ngọc
Đặt vấn đề
Dữ liệu GLOBOCAN 2022 vừa được công bố cho thấy, toàn thế giới ước tính có khoảng 19,9 triệu ca ung thư mới và 9,7 triệu ca tử vong. Tại Việt Nam, thống kê có khoảng 180.000 ca mắc mới và hơn 120.000 ca tử vong do 3 loại ung thư có tỷ lệ hàng đầu theo số ca tử vong gồm ung thư gan, phổi, dạ dày. Cụ thể năm 2022, tỷ lệ mắc ung thư phổi xếp thứ 2 so với các bệnh ung thư với số liệu lần lượt 170.007 ca mắc tương ứng 17.8% ở nam , và 7.419 ca mắc tương ứng 8.7% ở nữ. Thực tế, một trong những lý do dẫn đến hậu quả trên là ở những đối tượng nguy cơ cao như hút thuốc lá, sống ở môi trường không khí ô nhiễm hay tiếp xúc với hóa chất thường đến khám khi bệnh đã ở giai đoạn tiến xa, do đó chúng ta nên tăng cường hiệu quả hoạt động tầm soát, phát hiện sớm ung thư phổi.
Tầm soát ung thư phổi có vai trò rất quan trọng, giúp tầm soát khoảng 80% ung thư phổi ở giai đoạn sớm – thời điểm điều trị đạt kết quả tốt hơn so với phát hiện bệnh giai đoạn muộn. Khi thực hiện tầm soát ung thư phổi bệnh nhân sẽ được thực hiện một số kiểm tra cơ bản và đánh giá yếu tố nguy cơ, đồng thời thực hiện thêm các xét nghiệm cận lâm sàng để tầm soát ung thư phổi như sau: xét nghiệm máu thông qua các thông số chất chỉ điểm ung thư gợi ý đến u nguyên phát tại phổi (CEA, CA - 125, Cyfra 21-1,...), chụp X-quang hoặc chụp cắt lớp vi tính (CT).
Ung thư phổi được chia thành hai loại chính là ung thư phổi tế bào nhỏ (small cell lung cancer) chiếm khoảng 10 - 15% và ung thư phổi không tế bào nhỏ (non small cell lung cancer) chiếm khoảng 85%.
Sau đây, chúng tôi xin phép báo cáo một trường hợp bệnh nhân mắc ung thư phổi đã di căn não, thượng thận được chẩn đoán và điều trị tại Trung tâm Y học hạt nhân và Ung bướu – Bệnh viện Bạch Mai. 
1. Hành chính
Bệnh nhân: N.V.X
Giới: Nam
Tuổi: 70
Nghề nghiệp: Cán bộ đã nghỉ hưu
2. Chuyên môn
Lý do vào viện: đau đầu, hay quên
Bệnh sử: Cách vào viện 3 tuần, bệnh nhân xuất hiện đau đầu, hay quên, nói không rõ tiếng, thỉnh thoảng ho khan kèm đau ngực, khó thở nhẹ, ăn uống kém, người mệt mỏi, tay chân đi lại không vững, không sốt, không nôn, không gầy sút, đại tiểu tiện bình thường. Bệnh nhân đi khám chụp phim cộng hưởng từ sọ não phát hiện tổn thương não theo dõi tổn thương dạng thứ phát.
Tiền sử
● Bản thân
- COPD hơn 10 năm điều trị thường xuyên Pulmicort 1mg/2ml, Combivent
- Đái tháo đường hơn 10 năm điều trị thường xuyên không rõ thuốc
- Tăng huyết áp cách vài năm điều trị thường xuyên không rõ loại
● Sinh hoạt:
- Hút thuốc lá: 25 bao x năm (số bao hút trong 1 ngày x số năm đã hút) (0,5 bao/ngày x 50 năm, đã bỏ 5 năm)
- Rượu, bia uống thường xuyên, đã bỏ 5 năm
• Gia đình:  Chưa phát hiện bệnh lý liên quan
Khám lâm sàng
-Bệnh nhân tỉnh, tiếp xúc tốt
- Không sốt, huyết động ổn, thể trạng trung bình, chỉ số toàn trạng PS:0
- Da niêm mạc hồng, không xuất huyết dưới da
- Tuyến giáp không to, hạch ngoại vi không sờ thấy
- Tim đều, tiếng T1, T2 rõ
- Bụng mềm, không chướng
- Nhịp thở 18 lần/phút, có điểm ấn đau ngực phải ở khoang liên sườn VI - VII từ đường giữa đòn đến đường nách trước
- Rung thanh phổi phải giảm, rung thanh phổi trái bình thường
- Gõ trong phổi trái, phổi phải hạn chế thăm khám
- Rì rào phế nang giảm ở đáy phổi phải, phổi trái bình thường
- Ran nổ rải rác 2 bên, chủ yếu bên P
-  Cơ lực 2 chi trên 5/5; 2 chi dưới 4/5
- Đại, tiểu tiện bình thường
- Các cơ quan khác chưa phát hiện bất thường
Cận lâm sàng
- Xét nghiệm máu, sinh hoá máu: trong giới hạn bình thường
- Siêu âm hạch vùng cổ: không thấy bất thường
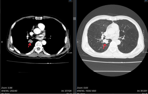
- CT lồng ngực:
 
Hình 1: Hình ảnh chụp cắt lớp vi tính lồng ngực cho thấy nhu mô thùy dưới phổi có khối kích thước 26x20mm, bờ không đều, sau tiêm ngấm thuốc. Hạch trung thất. Giãn phế nang hai phổi. Dải xẹp mành nhu mô thùy giữa phổi phải

- MRI não: 
 
- Hình 2: Hình ảnh cộng hưởng từ não cho thấy nhu mô bán cầu tiểu não trái, thùy thái dương trái, thùy đỉnh trái có các nốt và khối, khối lớn kích thước 35x36mm, tín hiệu tổ chức, bờ không đều, ngấm thuốc viền sau tiêm, phù não xung quanh.

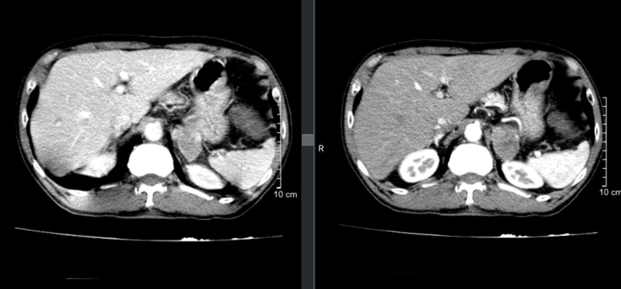
- CT bụng: 
 
- Hình 3: Hình ảnh cắt lớp vi tính ổ bụng cho thấy có khối ngấm thuốc tuyến thượng thận trái kích thước 44x30mm - theo dõi thứ phát.

- Sinh thiết u phổi dưới hướng dẫn cắt lớp vi tính: Ung thư biểu mô tuyến, Hóa mô miễn dịch: TTF1 dương tính, p40 âm tính, PD-L1 âm tính
- Sinh học phân tử: Không phát hiện đột biến gen EGFR, ALK, ROS1
Chẩn đoán: Ung thư biểu mô tuyến phổi phải di căn não và thượng thận,  T1N2M1 giai đoạn IV /COPD – Tăng huyết áp / Đái tháo đường.

Một vài nhận xét: 
Trên đây là một trường hợp phổ biến với ung thư phổi ở giai đoạn muộn di căn não và thượng thận, với một bệnh nhân có tiền sử COPD, hút thuốc lá nhiều năm (đối tượng nguy cơ cao) vào viện vì tổn thương di căn não chưa rõ nguyên phát, chúng tôi thực hiện các xét nghiệm tầm soát các bệnh ký hay gặp trước tiên qua chụp cắt lớp vi tính ngực - bụng có tiêm thuốc cản quang, cộng hưởng từ não, siêu âm hạch vùng cổ.
Với bệnh ung thư, phát hiện càng sớm, tỉ lệ chữa khỏi càng cao, tiết kiệm về chi phí; ngược lại nếu phát hiện ở giai đoạn muộn thì luôn để lại gánh nặng lớn về kinh phí và hiệu quả điều trị cũng giảm đáng kể. Do vậy, cần duy trì thói quen khám sức khỏe định kỳ ở những đối tượng có nguy cơ cao, khi có bất kỳ dấu hiệu nghi ngờ ung thư cần đến các cơ sở y tế chuyên khoa để được thăm khám, phát hiện sớm hoặc loại trừ bệnh ung thư.


Tin liên quan