Chẩn đoán và điều trị bệnh nhân ung thư dạ dày và GIST mạc treo tại Trung tâm Y học Hạt nhân và Ung bướu – Bệnh viện Bạch Mai

Ngày đăng: 25/11/2024 Lượt xem 843
Chẩn đoán và điều trị bệnh nhân ung thư dạ dày và GIST mạc treo 
tại Trung tâm Y học Hạt nhân và Ung bướu – Bệnh viện Bạch Mai

GS.TS. Mai Trọng Khoa, TS. Phạm Cẩm Phương, Ths.BSNT. Phạm Minh Lanh, Sinh viên Trần Thị Ngọc Anh
Trung tâm Y học Hạt nhân và Ung bướu – Bệnh viện Bạch Mai
Trường Đại học Y dược Đại học Quốc gia Hà Nội 

Ung thư dạ dày là một trong những loại ung thư phổ biến trên thế giới.
Theo số liệu năm 2020 của Globocan, ung thư dạ dày đứng trong top 4 bệnh ung thư phổ biến nhất ở Việt Nam, với 17.906 ca mắc mới, chiếm 9,8%. Tỷ lệ tử vong của loại ung thư này cũng đứng thứ 3 trong top các bệnh ung thư chết người nhất với 14.615 ca tử vong, chiếm 11.9%. 
Khối u mô đệm đường tiêu hóa, còn được gọi là GIST - Gastrointestinal Stromal Tumor, loại phổ biến nhất phát sinh từ các tế bào Cajal trong khoảng kẽ. GIST là kết quả của đột biến ở thụ thể tyrosine kinase. Phần lớn là do đột biến gen C-KIT, trong khi một số là do đột biến gen PDGFRA. GIST thường phát triển chậm nhưng tình trạng này có nhiều khả năng là ác tính, có thể xuất hiện ở bất kỳ vị trí nào của đường tiêu hóa và rất hiếm khi ở mạc treo, phúc mạc.
Hóa mô miễn dịch có nhuộm dương tính với CD117 (C-KIT) và DOG-1 là đặc trưng bệnh để chẩn đoán GIST. Bệnh nhân thường được nội soi có sinh thiết và siêu âm nội soi để phân loại giai đoạn. 

Sau đây, chúng tôi xin giới thiệu một trường hợp lâm sàng hiếm gặp bệnh nhân u mô đệm mạc treo.
Bệnh nhân: H.H.B          Giới tính: Nam              Tuổi: 77
Ngày vào viện: 29/09/2023
Lý do vào viện: đau bụng 
Tiền sử
Bản thân:
- Rung nhĩ phát hiện T2/2023, đang điều trị Nebivolol 5mg/ngày và Pradaxa 110mg/ngày
- Tăng huyết áp: điều trị Furosemide 40mg x 1 viên/ngày
Gia đình: Người thân không có ai mắc bệnh lý liên quan
Bệnh sử
       T10/2023, bệnh nhân xuất hiện đau bụng thượng vị, đau âm ỉ, đau lan xuống rốn, ợ hơi, ợ chua, đi ngoài phân đen, nôn ra máu, rối loạn tiêu hoá. Sau đó bệnh nhân được chuyển vào trung tâm Y học hạt nhân và Ung bướu - Bệnh viện Bạch Mai
Khám lúc vào viện: 
- Bệnh nhân tỉnh, thể trạng trung bình
- Không sờ thấy hạch ngoại biên
- Bụng mềm, không chướng, ấn đau 
- Tim đều, T1, T2 rõ, 
- Phổi rì rào phế nang rõ, không rales
- Khám các cơ quan khác chưa phát hiện bất thường
Bệnh nhân được chỉ định làm các xét nghiệm hỗ trợ chẩn đoán và phẫu thuật:
+ Nội soi Thực quản-dạ dày-hành tá tràng: Tiền môn vị có ổ loét kích thước 2cm, niêm mạc phù nề xung huyết, đáy phủ giả mạc
 
Hình 1. Hình ảnh nội soi dạ dày-Thực quản: Tiền môn vị có ổ loét kích thước 2cm, niêm mạc phù nề xung huyết (mũi tên xanh)
  
Hình 2. Hình ảnh nội soi: Khối sùi đáy có giả mạc trắng (mũi tên xanh)
+ Siêu âm nội soi gây mê dạ dày: Tổn thương sùi lỗ môn vị chiếm hết ½ chu vi môn vị có cấu trúc giảm âm không đều. Chỗ dày đo được 1,1 cm. Tổn thương lan tới lớp thanh mạc thành môn vi. Gần tổn thương phía bờ cong nhỏ có hạch giảm âm kích thước 0.8 cm
+ Giải phẫu bệnh: Ung thư dạ dày với mô bệnh học là Ung thư biểu mô tuyến
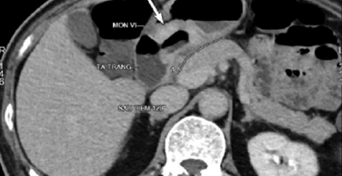
+ Chụp cắt lớp vi tính ổ bụng trước mổ: Dày thành không đều vùng hang môn vị, nơi dày nhất 15mm, không thấy thâm nhiễm xung quanh. Tổn thương sùi lỗ môn vị chiếm hết ½ chu vi môn vị mạc treo lân cận có 4 hạch, kích thước lớn

Hình 3. Hình ảnh chụp cắt lớp vi tính ổ bụng trước phẫu thuật: Tổn thương sùi lỗ môn vị chiếm hết ½ chu vi môn vị (mũi tên trắng)
+ Xét nghiệm huyết học: Hồng cầu: 4,22 T/l, Bạch cầu: 6,04G/l, Tiểu cầu: 229 G/l (trong giới hạn bình thường)
+ Các chất chỉ điểm khối u: CEA 1.56 ng/mL (trong giới hạn bình thường), CA 72-4: 1.54 U/mL và AFP: 3.5 ng/mL (trong giới hạn bình thường)
+ Xét nghiệm sinh hóa máu: Creatinin 96 umol/L, CRP 12.1 mg/L (trong giới hạn bình thường)
+ Xét nghiệm miễn dịch:  PSA total: 2.66 ng/mL, Troponin T hs 6.63 ng/L, FT4: 12.72 pmol/L, TSH: 5.43 ng/L, Cortisol: 354.98 nmol/L (trong giới hạn bình thường)
Chẩn đoán trước mổ: Ung thư dạ dày loại biểu mô tuyến /Rung nhĩ – Tăng huyết áp
Bệnh nhân được phẫu thuật cắt ¾ dạ dày, nối Finsterer trước mạc treo đại tràng ngang, nạo vét hạch 
Mô tả trong mổ: 
+ Mở bụng đường trắng giữa
+ Thăm dò ổ bụng 
+ Dạ dày bề mặt nhẵn, sờ thấy khối cứng kích thước 2x3cm mặt trước môn vị, chưa xâm lấn ra thanh mạc và các tạng xung quanh
+ Ruột non cách góc Treitz 50 cm có một khối xuất phát từ bờ mạc treo, mật độ nhẵn, có cuống, di động tốt, kích thước 1x3 cm
+ Điều trị: cắt ¾ dạ dày, nối Finsterer trước mạc treo đại tràng ngang, nạo vét hạch + cắt khối mạc treo ruột
+ Đóng bụng
Giải phẫu bệnh sau mổ: 
- U dạ dày: Ung thư biểu mô tuyến kém biệt hoá xâm nhập thần kinh, xâm lấn tới mô xơ mỡ xung quanh 
- U mạc treo: Nhuộm hóa mô miễn dịch thấy các tế bào u phản ứng dương tính với các dấu ấn CD117, DOG1, CD34, Ki67 (<1%) và phản ứng âm tính với các dấu ấn SMA, S100, Desmin. Vì vậy, hình ảnh mô bệnh học và hóa mô miễn dịch phù hợp với GIST nguy cơ thấp
Chẩn đoán sau mổ: Ung thư môn vị dạ dày giai đoạn IIIA pT3N1M0 - GIST mạc treo/Rung nhĩ - THA
Giải phẫu bệnh:
Khối u dạ dày Ung thư biểu mô tuyến
- Khối u mạc treo: GIST nguy cơ thấp
Chụp cắt lớp vi tính ổ bụng sau khi phẫu thuật: Dạ dày vị trí miệng nối thành không dày, không thấy hạch hay thâm nhiễm mỡ xung quanh. U máu gan phải kích thước 33x21mm
 
Hình 4. Hình ảnh chụp cắt lớp vi tính ổ bụng sau phẫu thuật: U máu gan phải kích thước 33x21mm (mũi tên xanh)
Hội chẩn điều trị bổ trợ:
- Với ung thư dạ dày giai đoạn IIIA, bệnh nhân có chỉ định điều trị với các phác đồ gồm hoá xạ trị kết hợp: phác đồ 5-FU + leucovorin + xạ trị (5 tuần, tổng liều 50Gy) 
Tuy nhiên do tình trạng bệnh lý đi kèm bao gồm rung nhĩ và tăng huyết áp, nên bệnh nhân  đã được chỉ định điều trị hóa chất đường uống Capecitabine 
- Với GIST mạc treo, đánh giá bệnh nguy cơ thấp, nên trước mắt chưa có chỉ định điều trị bổ trợ, cần tiếp tiếp tục theo dõi.
Điều trị
+ Bắt đầu điều trị Capecitabine từ 4/1/2024 sau phẫu thuật cắt bán phần dạ dày + vét hạch, cắt bỏ khối u mạc treo. Đã điều trị 8 đợt hoá chất.
+ Hoá chất bổ trợ dung nạp tốt, bệnh nhân ăn uống tốt, không đau bụng
Tác dụng phụ: khô da, sạm da, phồng rộp, tê bì bàn tay bàn chân
-> Bôi kem dưỡng ẩm
   
Hình 5. Tác dụng phụ gây sạm da, khô da của hoá chất

Lời bàn: Đây là một trường hợp bệnh nhân mắc ung thư môn vị dạ dày được chỉ định phẫu thuật cắt ¾ dạ dày. Trong khi phẫu thuật tình cờ phát hiện có GIST mạc treo nguy cơ thấp -  một thể bệnh khá hiếm gặp đã được phẫu thuật cắt bỏ đồng thời. Sau phẫu thuật, bệnh nhân được điều trị hoá chất bổ trợ Capecitabine. Bệnh nhân đáp ứng thuốc tốt, tuy nhiên có một số tác dụng phụ như Hội chứng bàn tay bàn chân (do enzyme thymidine phosphorylase chuyển 5-FU -> 5F-dUMP có chủ yếu ở tế bào và tế bào biểu bì vùng lòng bàn tay bàn chân). Bệnh nhân có CD117(+) là yếu tố di truyền nên con gái, con trai cần có những phương pháp sàng lọc sớm.
 

Tin liên quan