Điều trị thành công bệnh nhân u máu thể hang (Cavernoma) ở thân não bằng dao gamma quay tại Trung Tâm Y học hạt nhân và Ung Bướu bệnh viện Bạch Mai

Ngày đăng: 19/07/2010 Lượt xem 6599
Bệnh cảnh: Tháng 10 năm 2008 chị Vũ Thị T., nữ 33 tuổi được gia đình đưa đến khoa thần kinh bệnh viện Bạch Mai trong tình trạng đau đầu dữ dội, chóng mặt, ngồi dậy ngã, không đi lại được, lác trong mắt trái.

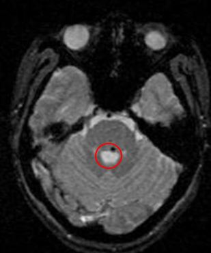
Tại khoa thần kinh bệnh viện Bạch Mai bệnh nhân nhanh chóng được chẩn đoán xác định bệnh; bệnh nhân được chụp phim cộng hưởng từ (MRI) sọ não cho thấy có hình ảnh khối u máu thể hang (cavernoma) tại vùng cầu não (thuộc thân não) bên trái, kích thước 14mm. Sau đó bệnh nhân được chuyển đến Trung tâm Y học hạt nhân và Ung bướu - Bệnh viện Bạch Mai.

Do vị trí khối tổn thương u máu thể hang tại vùng thân não nên không thể phẫu thuật được vì nguy cơ tử vong cao.

Vị trí khối tổn thương u máu thể hang cavernoma) vùng thân não : hình màu đen bên trong hình đỏ.

Đây là một trường hợp rất khó về lựa chọn phương pháp điều trị trên một bệnh nhân trẻ tuổi. Vì vậy bệnh nhân đã được hội chẩn thông qua Hội đồng hội chẩn gồm các chuyên gia của nhiều chuyên ngành ở nhiều bệnh viện khác nhau như phẫu thuật thần kinh, nội khoa thần kinh, ung thư, y học hạt nhân, giải phẫu bệnh, chẩn đoán hình ảnh, tai mũi họng… để lựa chọn và đưa ra phương án điều trị tốt nhất cho bệnh nhân. Bệnh nhân dã được chỉ định phương pháp điều trị là xạ phẫu bằng dao gamma quay (Rotating gamma knife) cho bệnh nhân nhằm mục đích tiêu diệt tổn thương u máu, giảm thiểu tối đa các biến chứng trong và sau điều trị cho bệnh nhân.

Điều trị: Bệnh nhân đã được điều trị xạ phẫu bằng dao gamma quay ngày 03/11/2008 với liều xạ phẫu là 16Gy.

Trong quá trình xạ phẫu bệnh nhân ổn định: không co giật, không nôn...

Sau khi điều trị xạ phẫu bằng dao gamma quay bệnh nhân tiếp tục được điều trị chăm sóc nội khoa; sau 1 tuần xạ phẫu và điều trị nội khoa bệnh nhân đỡ đau đầu, đỡ chóng mặt và có thể tự ngồi dậy được.

Bệnh nhân được tiếp tục điều trị nội khoa hằng ngày tại nhà.

Sau 1 tháng bệnh nhân cảm thấy người khỏe mạnh hơn, đỡ đau đầu nhiều, hết chóng mặt, đi lại được nhưng vẫn còn lác trong mắt trái. Bệnh nhân và gia đình thấy yên tâm hơn và hy vọng bệnh sẽ dần được chữa khỏi.

Sau 3 tháng điều trị xạ phẫu bằng dao gamma quay bệnh nhân cảm thấy người đã khỏe, hết hẳn đau đầu, hết chóng mặt, đi lại được bình thường, lác trong mắt trái đỡ hơn so với trước, thị lực hai mắt tốt. Trên phim chụp cộng hưởng từ sọ não khối tổn thương vùng cầu não bên trái đã thu nhỏ kích thước còn 10mm.

Sau 6 tháng: bệnh nhân ăn uống sinh hoạt bình thường, đặc biệt bệnh nhân đã hết lác mắt. Bệnh nhân đã hồi phục hoàn toàn, có thể tự chăm sóc hai con của mình, cơ hội sống đã trở lại với bệnh nhân.

Trên phim chụp cộng hưởng từ sọ não: tổn thương vùng cầu não đã tan biến hoàn toàn.

Tại thời điểm hiện nay sau khi điều trị xạ phẫu bằng dao gamma quay được 18 tháng bệnh nhân hoàn toàn khỏe mạnh, sinh hoạt và lao động bình thường. Chúng tôi cũng tiến hành chụp lại phim cộng hưởng từ sọ não cho bệnh nhân tại thời điểm tháng 3 năm 2010; trên phim chụp này không còn hình ảnh tổn thương tại não.

Kết quả chụp cộng hưởng từ sọ não ngày 24 tháng 3 năm 2010:
Hiện tại không thấy bất thường trên phim cộng hưởng từ sọ não.
Hình ảnh khối tổn thương vùng cầu não đã tan biến hoàn toàn

Đây là một trong những ca bệnh khó được điều trị thành công bằng dao gamma quay tại Trung tâm y học hạt nhân và Ung bướu Bệnh viện Bạch Mai. Xạ phẫu bằng dao gamma quay là phương pháp điều trị  hiệu quả, an toàn cho các bệnh nhân bị u máu thể hang (Cavernoma), nhất là với các vị trí tổn thương đặc biệt và nguy hiểm rất khó hoặc không thể phẫu thuật được như vùng thân não...

Chúng ta hy vọng rằng cùng với sự phát triển của khoa học và công nghệ, ngày càng nhiều bệnh nhân được chữa khỏi bệnh để trở về với cuộc sống và lao động bình thường.

PGS.TS. Mai Trọng Khoa; PGS.TS. Trần Đình Hà; Ths. Phạm Cẩm Phương

Trung tâm Y học hạt nhân và Ung bướu Bệnh viện Bạch Mai

Tin liên quan