U máu thể hang (Cavernoma)

Ngày đăng: 19/07/2010 Lượt xem 46997

Dị dạng mạch máu não, biết đến như là một u máu dạng mao mạch hoặc u máu thể hang, là một tổ chức mạch máu hoặc tổn thương bất thường được tạo thành nhiều khoang nhỏ (tiểu thùy) giống như hình tổ ong hoặc hình quả dâu.


Những khoang nhỏ này chứa máu (hồ máu) ở các giai đoạn khác nhau của sự thoái hóa các tế bào hồng cầu; các hồ máu này được ngăn các với nhau bởi các màng mỏng. Khác với dị dạng động tĩnh mạch ở não (AVM:Arteriovenous malformation), u máu thể hang (Cavernoma)không có đường vào là động mạch nuôi kích thước lớn và không có đường ra là tĩnh mạch thoát kích thước lớn mà thường có các mạch nhỏ xuyên qua các u máu thể hang. 

Hầu hết u máu thể hang thường ở hai bán cầu đại não, đôi khi gặp ở vùng hố sau hoặc thân não, hiếm khi gặp ở vùng tủy sống.


U máu thể hang gặp khoảng 0,1-0,5% dân số, ít gặp hơn các dị dạng động tĩnh mạch não và phình động mạch não.

Đa số trường hợp u máu thể hang thường xảy ra một cách tự nhiên, một số trường hợp mang tính chất gia đình (di truyền). Trong các trường hợp bệnh lý mang tính gia đình, người ta thấy có sự bất thường của nhiễm sắc thể số 7.

Tùy thuộc vào kích thước và vị trí của u máu mà các biểu hiện lâm sàng của bệnh nhân khác nhau: có thể biểu hiện dưới dạng các cơn động kinh, các rối loạn thần kinh hoặc không có triệu chứng gì. Một số trường hợp biểu hiện dưới dạng tăng áp lực nội sọ (nhức đầu, buồn nôn, nôn, rối loạn thị giác, buồn ngủ).

Các quá trình xuất huyết trong các hồ máu được lặp đi lặp. Các khoang máu của u máu thể hang có thể ở các độ tuổi khác nhau của các sản phẩm máu. Nguy cơ xuất huyết của u máu thể hang là 0,5-1%/năm. Tỷ lệ tái xuất huyết thay đổi từ 4-10%/năm.

Tùy theo kích thước và vị trí của u máu thể hang, mức độ và tính đa dạng của xuất huyết mà các biến chứng chính của u máu thể hang là gây co giật và suy giảm chức năng thần kinh.

U máu thể hang được phát hiện tốt nhất bằng cộng hưởng từ sọ não, có thể tiêm thuốc hoặc không tiêm thuốc. Chụp mạch máu não không phát hiện được u máu thể hang.

Điều trị u máu thể hang có hai phương pháp chính là phẫu thuật và xạ phẫu bằng dao gamma kinh điển, dao gamma quay (rotating gamma knife), Cyber knife... Trong những năm gần đây các nhà khoa học Hoa Kỳ đã cải tiến dao gamma cổ điển thành dao gamma quay với độ chính xác rất cao (độ sai lệch cơ học có thể dưới 0,1mm), được tự động hóa do đó hiệu quả điều trị cao, an toàn. 

Xạ phẫu bằng dao gamma quay có nhiều ưu việt, bởi vì có thể điều trị được u máu thể hang ở nhiều vị trí khác nhau trong não, là phương pháp ít xâm nhập, ít gây tai biến và biến chứng trong và sau điều trị.

Tại Trung Tâm Y học hạt nhân và Ung bướu Bệnh viện Bạch Mai cho đến nay đã điều trị cho khoảng 50 bệnh nhân u máu thể hang, đa số các trường hợp bệnh nhân đáp ứng tốt với điều trị, không có tai biến trong và sau điều trị. Sau đây là một số hình ảnh bệnh nhân u máu thể hang được điều trị tại Trung Tâm Y học hạt nhân và Ung bướu Bệnh viện Bạch Mai.

Trường hợp thứ 1: Bệnh nhân Vũ Thị T., nữ 33 tuổi, được chẩn đoán là u máu thể hang vùng thân não đường kính 14mm từ tháng 10 năm 2008; được điều trị xạ phẫu bằng dao gamma quay tháng 11 năm 2008. Cho đến nay bệnh nhân hoàn toàn khỏe mạnh, sinh hoạt và lao động bình thường.

   
Khối u máu thể hang vùng thân não trước điều
trị: kích thước 14mm (hình màu đen bên trong hình
đỏ). Trên lâm sàng bệnh nhân đau đầu nhiều,
chóng mặt, không đi lại được, lác trong mắt trái.
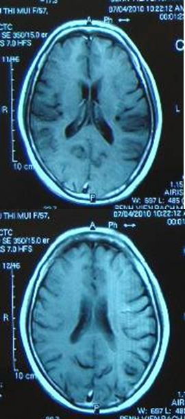
Tổn thương tan biến hoàn toàn sau điều trị 
6 tháng. Trên lâm sàng bệnh nhân hết 
đau đầu, hết chóng mặt, đi lại được, hết 
lác trong mắt trái. Sinh hoạt bình thường

Trường hợp thứ 2: Bệnh nhân Vũ Thị M. , nữ 56 tuổi được phát hiện khối u máu thể hang vùng đỉnh trái kích thước 19mm. Bệnh nhân được điều trị xạ phẫu bằng dao gamma quay liều 20Gy. Sau điều trị 3 tháng tổn thương u máu đã tan hết

Trước điều trị: Khối tổn thương u máu thể hang 
tại thùy đỉnh trái kích thước 19mm, hình màu đen 
bên trong hình đỏ.


Sau xạ phẫu dao gamma 
quay 3 tháng: Khối u máu đã tan hết

PGS.TS. Mai Trọng Khoa; PGS.TS. Trần Đình Hà; Ths. Phạm Cẩm Phương

TT Y học hạt nhân và Ung bướu Bệnh viện Bạch Mai

Tin liên quan